서울오브치과병원
전체 틀니로 식사 불편 해결한 사례
안녕하세요. 전체틀니 서울오브치과병원 입니다.💚 나이가 들면서 치아가 약해지거나 빠지면 가장 먼저 불편해지는 것이 식사와 발음입니다. 특히 오래된 틀니는 잇몸 모양이 바뀌면서 헐거워지고 한쪽만 아프거나 들뜨는 느낌을 주기도 합니다. 오늘 소개해드릴 60대 환자분 역시 “틀니가 자꾸 뜨고 왼쪽만 눌리는 느낌이 싫다”며...
안녕하세요.
전체틀니 서울오브치과병원 입니다.💚
나이가 들면서 치아가 약해지거나 빠지면
가장 먼저 불편해지는 것이 식사와 발음입니다.

특히 오래된 틀니는
잇몸 모양이 바뀌면서 헐거워지고
한쪽만 아프거나 들뜨는 느낌을 주기도 합니다.
오늘 소개해드릴 60대 환자분 역시
“틀니가 자꾸 뜨고 왼쪽만 눌리는 느낌이 싫다”며
내원하신 케이스입니다.
음식 섭취가 불편해 부드러운 음식만 드시고 계셨고
외출 시에도 말하기가 불편해
스트레스가 많으셨습니다.



Previous image Next image
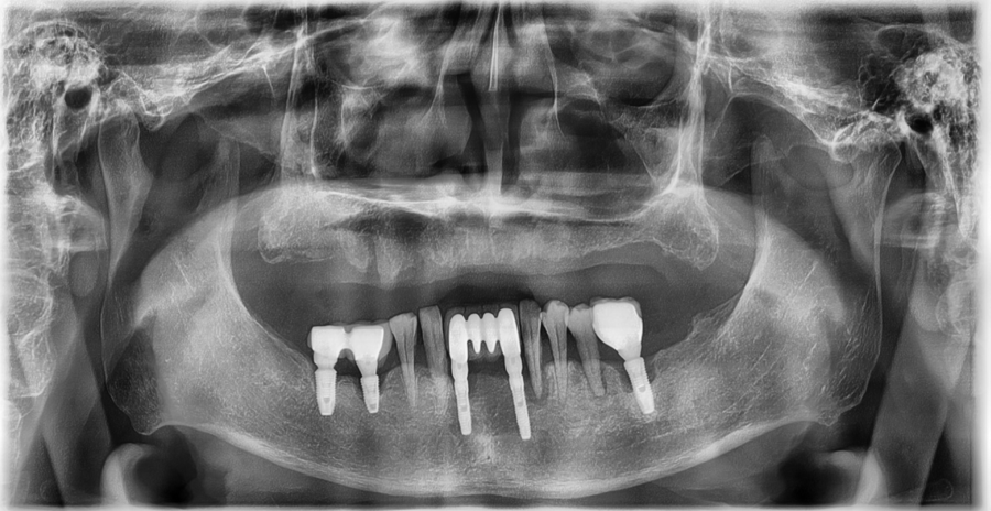
틀니가 잇몸과 맞지 않는 상황
초진 검사에서 확인된 상태는 다음과 같았습니다.

• 상악(윗니)에 남아 있는 치아가 없어
전체틀니가 필요한 상태
• 기존 틀니가 잇몸과 맞지 않아
들뜨고 헐리는 증상 반복
• 씹을 때 한쪽만 힘이 들어가는 비대칭 교합
• 말할 때 울리는 느낌과 틀니 움직임
잇몸 형태가 이전과 많이 달라진 데 비해
틀니는 오래된 상태라 정확히 맞물리지 않는 것이
가장 큰 문제였습니다.




Previous image Next image
전체틀니가 최선이라는 결론
파노라마 X-ray와 구강 스캔을 통해
현재 잇몸 높이, 잇몸 두께,
턱의 움직임까지 확인했습니다.
상악은 지지할 치아가 전혀 없어서
부분틀니로는 안정적인 고정이 불가능했습니다.

전체틀니를 새로 제작해야
양쪽 잇몸에 힘이 고르게
분산될 수 있는 상황이었습니다.
또한 기존 틀니가 환자분 잇몸 형태와 맞지 않아
말할 때 울리고, 씹을 때 들뜨는 현상이
생기고 있었습니다.




Previous image Next image
틀니는 보철과 전문의에게
이번 전체틀니 치료는
저희 잠실 치과 서울오브치과병원에
치과보철과 전문의
박지영 수석원장께서 직접 담당했습니다.

박 원장님은
틀니·보철·교합 치료를 전문으로 다루는
보철과 전문의로,
서울대학교 치의학대학원 석사,
서울아산병원 보철과 레지던트 수련을
마친 의료진입니다.


틀니는 잇몸과의 밀착·교합 조정이 핵심인데
박 원장님의 진료 방식은 아주 세밀하게
환자분의 말하기·씹기 습관까지
반영해 제작하기 때문에
틀니 적응이 빠르고 통증 발생이 적습니다.

이번 케이스에서도
환자분이 불편해하던 “왼쪽 압력 문제”가
정밀 조정을 통해 많이 개선될 수 있었습니다.
환자분의 입 모양에 맞춘 ‘맞춤 제작’
① 정확한 본뜨기(정밀 인상 채득)
틀니는 인상 단계가 가장 중요합니다.
조금만 틀어져도 압통이 생기기 때문에
상악 전체를 여러 번 나누어 정밀하게 본을 떴습니다.
② 교합(맞물림) 조정
기존 틀니는 씹을 때 왼쪽만 눌렸기 때문에
새 틀니는 양쪽이 균형 있게 닿도록
교합을 반복적으로 체크했습니다.
③ 시적(Wax Try-in)
완성 전 형태를 미리 착용해보며
말할 때 느낌과 씹는 높이를 확인했습니다.
환자분은 이 단계에서
“이전보다 들뜨는 느낌이 적다”고
말씀해주셨습니다.
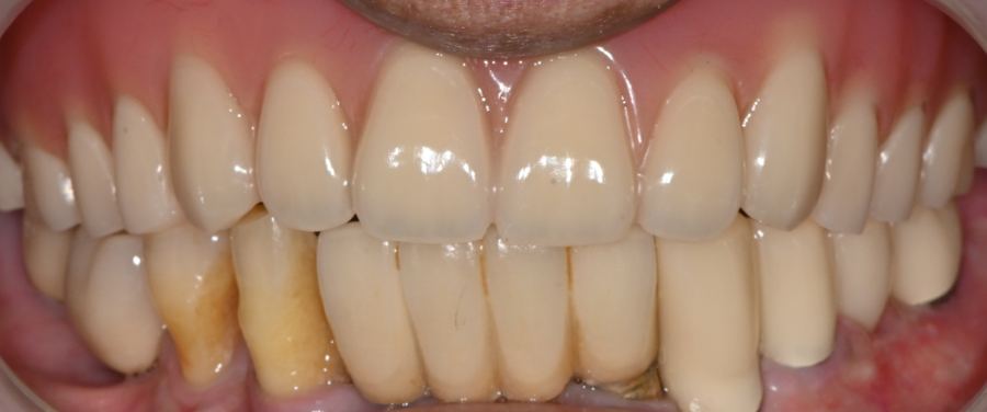
④ 최종 틀니 장착
색상, 높이, 교합을 다시 확인한 뒤
상악 전체틀니를 안전하게 장착했습니다.

장착 직후
“씹는 느낌이 훨씬 안정적이다.”
라고 말씀해주셔서 너무 뿌듯했습니다.


불편함이 크게 줄어들었어요
2주 뒤 재내원하셨을 때,
• 틀니가 잇몸에 더 안정적으로 적응
• 왼쪽만 아프던 느낌 사라짐
• 식사 시 덜 불편
• 외출 시 말할 때 자신감 올라감






Previous image Next image
전체틀니가 정확히 잇몸과 맞으면서
일상생활에서 느끼던 스트레스가
크게 줄어든 모습이었습니다.
틀니는 ‘정확한 맞춤’이 가장 중요합니다
틀니가 오래되면 잇몸 변화 때문에
처음은 편해도 시간이 지나
불편해지는 경우가 많습니다.

이 환자분처럼
정확한 인상과 교합 조정을 통해 새로 맞추면
식사와 말하기가 훨씬 편안해질 수 있습니다.
상악 전체틀니를 고민 중이라면
이번 사례가 도움이 되셨길 바랍니다.

서울오브치과병원 서울특별시 송파구 백제고분로 196 4층, 5층
전화문의 02-418-2275

전체 틀니의 가장 큰 위험은 잘못 제작되거나 잘못 시술되면 남은 평생을 불편하게 음식을 씹으며 살아야 한다는 것입니다. 이러한 위험을 방지하기 위해 서울오브치과병원에서는 서울대 출신 의료진과 원내 기공소를 통하여 수준 높은 의료 서비스를 제공합니다.
Explore More
Keep Browsing This Clinic's Korean Content Trail.
Return to the source archive for more posts, or move back to the clinic profile to compare the rest of the clinic's public channels.