Hello.
This is Seoul Ob Dental Hospital, specializing in full dentures.💚
As people get older and their teeth weaken or fall out,
the first things to become inconvenient are eating and speaking.

In particular, old dentures
become loose as the shape of the gums changes
and can also feel like they are pressing on only one side or lifting up.
Today’s patient in their 60s also came in saying,
“I don’t like it when the denture keeps lifting and only the left side feels pressed.”
Because eating was uncomfortable, the patient had been eating only soft foods,
and speaking while going out was also inconvenient,
which caused a lot of stress.



Previous image
Next image
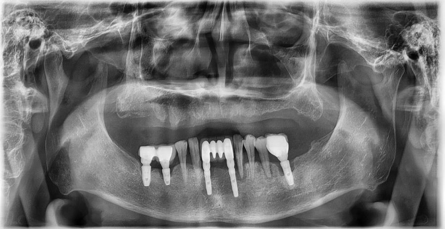
A situation where the denture did not fit the gums
The findings from the initial examination were as follows:

• There were no remaining teeth in the maxilla (upper jaw),
so a full denture was needed
• The existing denture did not fit the gums,
causing repeated lifting and irritation
• An asymmetrical bite in which force was applied only to one side when chewing
• A resonant feeling and denture movement when speaking
Compared with before, the shape of the gums had changed significantly,
but the denture was old, so it did not fit precisely,
which was the biggest problem.




Previous image
Next image
The conclusion was that a full denture was the best option
Through panoramic X-rays and oral scans,
we checked the current gum height, gum thickness,
and even the movement of the jaw.
Because there were no teeth at all in the maxilla to provide support,
a partial denture could not be stably fixed.

A new full denture needed to be made
so that force could be evenly
distributed across both sides of the gums.
In addition, because the existing denture did not match the patient’s gum shape,
it caused a resonant feeling when speaking and lifting when chewing.




Previous image
Next image
For dentures, see a prosthodontic specialist
This full denture treatment
was handled directly by Senior Director Park Ji-young,
a prosthodontic specialist at our Jamsil dental clinic, Seoul Ob Dental Hospital.

Director Park is
a prosthodontic specialist who focuses on
dentures, prosthetics, and occlusal treatment,
and is a medical professional who completed
a master’s degree at Seoul National University School of Dentistry
and prosthodontic residency training at Asan Medical Center in Seoul.


For dentures, close fit with the gums and bite adjustment are key,
and Director Park’s treatment approach is highly detailed,
reflecting the patient’s speaking and chewing habits
when making the denture,
so adaptation to the denture is faster and pain is less likely to occur.

In this case as well,
the patient’s discomfort from the “left-side pressure problem”
was greatly improved through precise adjustment.
Customized to fit the patient’s mouth
① Accurate impression taking (precise impression recording)
For dentures, the impression stage is the most important.
Even a slight misalignment can cause pressure pain,
so the entire maxilla was accurately impressed in several separate steps.
② Bite (occlusion) adjustment
Because the existing denture pressed only on the left side when chewing,
the new denture was repeatedly checked so that both sides would make balanced contact.
③ Try-in (wax try-in)
Before completion, the shape was tried on in advance
to check the feeling when speaking and the chewing height.
At this stage, the patient said
that it felt less lifted than before.
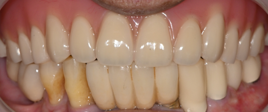
④ Final denture placement
After rechecking the color, height, and bite,
the full maxillary denture was safely placed.

Right after placement,
the patient said,
"The chewing feeling is much more stable."
which made us feel very rewarded.


The discomfort was greatly reduced
When the patient returned two weeks later,
• the denture adapted more stably to the gums
• the feeling of pain only on the left side disappeared
• eating became less uncomfortable
• confidence when speaking while going out improved






Previous image
Next image
As the full denture fit the gums precisely,
the stress felt in everyday life
was greatly reduced.
For dentures, precise customization is the most important thing
As dentures age, gum changes
often make them uncomfortable over time,
even if they felt fine at first.

As with this patient,
if a new denture is made through accurate impressions and bite adjustments,
eating and speaking can become much more comfortable.
If you are considering a full maxillary denture,
I hope this case was helpful.

Seoul Ob Dental Hospital
4th and 5th Floors, 196 Baekjegobun-ro, Songpa-gu, Seoul
Phone inquiries: 02-418-2275

The biggest risk of a full denture is that if it is made incorrectly or performed improperly, you may have to live the rest of your life chewing food uncomfortably. To prevent this risk, Seoul Ob Dental Hospital provides high-level medical services through medical staff from Seoul National University and an in-house dental lab.