서울오브치과병원
송파 치아미백 가격, 치료 후기
30대 이상이 되면 치아 색이 예전 같지 않다는 이야기를 많이 하십니다. 특히 커피·차·와인 섭취가 잦아지면서 치아 착색이 진행되고, 웃을 때 노랗게 보여 사진 찍기 불편하다는 고민으로 내원하는 분들이 많습니다. 이번 글에서는 30대 환자분의 치아미백 사례와 함께, 치아미백이 어떻게 진행되는지, 치아미백치과 선택...

30대 이상이 되면 치아 색이
예전 같지 않다는 이야기를 많이 하십니다.
특히 커피·차·와인 섭취가 잦아지면서
치아 착색이 진행되고,
웃을 때 노랗게 보여 사진 찍기 불편하다는
고민으로 내원하는 분들이 많습니다.


이번 글에서는 30대 환자분의 치아미백 사례와
함께, 치아미백이 어떻게 진행되는지,
치아미백치과 선택 시 어떤 점을 확인해야
하는지 자세히 말씀드리겠습니다.
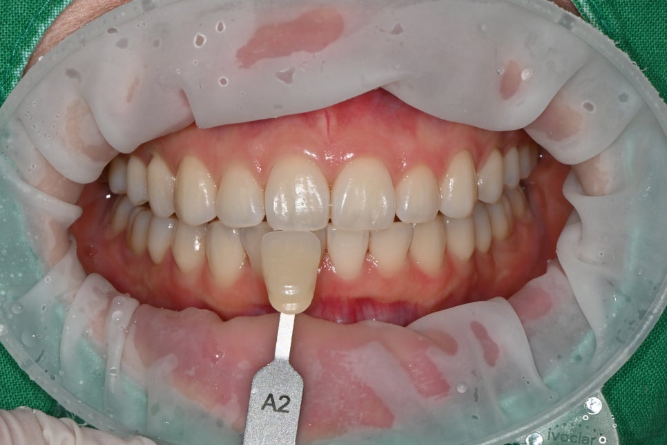
환자분 내원 당시

해당 환자분은 A2정도로
보통 환자분들의 색상을 가지고 있었지만,
중요한 모임을 앞두고 치아미백 효과가
확실한 치료를 찾다가
서울오브치과병원을 방문하셨습니다.
치아미백은 단순히 치아를 하얗게
만드는 시술이 아니라, 치아 표면에 남아 있는
색소를 안전하게 분해해 치아 본연의 밝기를
되찾아 주는 치료입니다.
나이와 생활습관에 따라 색이 변하기 때문에
30대여성에게 특히 효과적인 시술입니다.



왜 서울오브치과병원 치아미백이 효과적일까?
치아미백은 다음과 같은 장점 때문에 많이 찾아주십니다.
바쁜 일정에도 가능
: 내원 1회 기준 60분 정도면 완료
즉각적인 밝기 변화
: 치료 당일 변화 확인 가능
치아 삭제 없음
: 본래 치아를 그대로 유지하며 미백
앞니 라인 개선 효과
: 톤이 균일해져 인상이 밝아 보임
특히 카메라·조명에 노출되는 환경이 많은
직장인들은 치아미백만으로도 표정이
훨씬 자연스럽고 자신감 있는 느낌을 받을 수 있습니다.


치아 색 변화 원인부터 확인
미백치료는 모두에게 같은 방식으로
적용하는 것이 아니라 발생 원인과
현재 치아 상태에 따라 계획을 달리해야 합니다.


1.착색 정도
2.법랑질 두께
3.치아 예민함 여부
4.잇몸 상태
5.치아끼리의 명도 차이
서울오브치과병원에서는 미백 전
반드시 치과위생사가 잇몸 및 치아 상태를 확인하고
전문의가 미백 가능 여부를 판단합니다.
불필요한 미백을 권하지 않고,
밝기 변화가 잘 나타나는 조건에서만
치아미백을 진행합니다.



치아미백 시술 과정
1.사전 진단 및 톤 측정
색상 스케일을 이용하여 현재의 치아 색을 확인합니다.
환자분의 치아는 A2톤으로 어두운톤은 아니었습니다.
2.클리닝(필요 시)
잇몸 혹은 치아 표면에 이물질이 있으면
미백 효과가 떨어지기 때문에,
필요 시 간단히 스케일링 혹은 표면 정리를 진행합니다.
3.잇몸 보호 작업
미백제를 안전하게 도포하기 위해
잇몸을 보호하는 겔을 바르고 경화합니다.
4.전문 미백제 도포 후 광조사
치아미백치과에서 사용하는 인증된
농도의 미백제를 사용해
약 1회당 15~20분간 광조사가 진행됩니다.
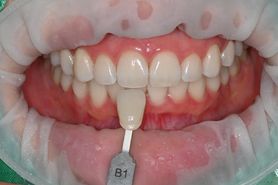
5.미백 후 색 변화 확인
치료 직후 톤이 A2 → B1까지 올라갔습니다.
즉각적으로 밝아졌지만,
자연스러운 느낌을 유지한 정도의 미백입니다.


before &after

<before>

<after>
“웃을 때 신경쓰였던 부위가 밝아졌어요!
특히 앞니가 균일하게 밝아져
전체적인 인상이 환해 보이는 효과가 나타났습니다.



치아 미백 후 관리법
치아미백은 밝기가 올라간 만큼 유지 관리가 중요합니다.
특히 시술 후 48시간은 다음을 피하는 것이 좋습니다.
1.커피·차·와인 등 색 있는 음료
2.김치·카레 등 착색이 강한 음식
3.흡연
또한 시술 후 일시적으로 시림이 생길 수 있으나
대부분 하루 이틀 내 안정됩니다.
치아미백치과에서는 시림이 우려되는
환자에게 보호제를 함께 적용해 불편함을 줄입니다.


치아 미백 가격은?

많은 분들이 ‘치아미백 가격’을 고민하시지만,
치아미백은 치아 삭제 없이 밝기를 되찾아
주는 시술이기 때문에 비용 대비 만족도가 높은 편입니다.
원데이 치아미백 3회
121,000원(부가세포함)
진행하고 있으며,
시술 시간이 짧고 당일 변화가 보여
중요한 일정을 앞두고 있는 분들께 적합합니다.
서울오브치과병원 소개

치아미백은 미백제 농도와 진행 방식에 따라
결과가 크게 달라집니다.
서울오브치과병원은 다음과 같은 이유로
환자들에게 많은 선택을 받고 있습니다.
서울대 출신 전문의 4인 진료
전 직원 전문 치과위생사 구성
원내 기공소 운영으로
보철·심미 치료 연결 시 강점
구강스캐너·구강내시경 보유
외국인 진료 가능
무료 주차 가능
(건물 뒤편 핑크색 주차장)
네이버톡톡·카카오톡으로 상담 가능
송파·잠실에서 접근성 우수
특히 미백 후 라미네이트나
앞니 보철을 고민하시는 분들에게 연계
상담이 가능해 만족도가 높은 편입니다.



치아미백, 작은 변화가 큰 자신감을 줍니다
치아미백은 단순히 치아를 밝게 만드는 시술이 아니라
표정의 분위기, 인상의 깨끗함,
자신감까지 바뀌는 치료입니다.
치아미백을 고려 중 이시라면
치아 상태에 맞는 정확한 진단과 안전한 재료를
사용하는 치아미백치과를 선택하는 것이 중요합니다.
서울오브치과병원은 불필요한 치료를 권하지 않으며,
치아미백이 필요한 경우에만
가장 안전하고 효과적으로 진행해드립니다.
서울오브치과병원 서울특별시 송파구 백제고분로 196 4층, 5층
Explore More
Keep Browsing This Clinic's Korean Content Trail.
Return to the source archive for more posts, or move back to the clinic profile to compare the rest of the clinic's public channels.