
When people are in their 30s or older, they often say that the color of their teeth
is not the same as before.
In particular, as coffee, tea, and wine consumption increases,
tooth staining progresses,
and many people visit because their teeth look yellow when they smile,
making it uncomfortable to take photos.


In this post, I will explain a teeth whitening case for a patient in their 30s,
a long with how teeth whitening is performed,
and what to check when choosing a dental clinic for teeth whitening.
When the patient visited the clinic

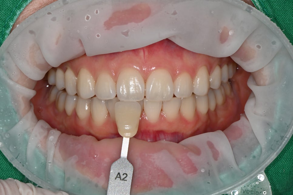
This patient had a shade around A2,
which is a fairly typical tooth color,
but they visited Seoul Of Dental Hospital after looking for a treatment with clear whitening effects
before an important gathering.
Teeth whitening is not simply a procedure that makes teeth white;
it is a treatment that safely breaks down the pigments remaining on the tooth surface
to restore the teeth’s natural brightness.
Because tooth color changes depending on age and lifestyle,
it is a particularly effective procedure for women in their 30s.



Why is teeth whitening at Seoul Of Dental Hospital effective?
Many people choose teeth whitening for the following advantages.
Possible even with a busy schedule
: Completed in about 60 minutes for one visit
Immediate brightness change
: You can check the change on the day of treatment
No tooth reduction
: Whitening while keeping your natural teeth intact
Improvement in the front tooth line
: The tone becomes more uniform, making the overall impression look brighter
Especially for office workers who are often exposed to cameras and lighting,
even teeth whitening alone can make their expressions feel much more natural and confident.


Check the cause of tooth color change first
Whitening treatment should not be applied in the same way to everyone;
the plan should differ depending on the cause and the current condition of the teeth.


-
Degree of staining
-
Thickness of the enamel
-
Whether the teeth are sensitive
-
Gum condition
-
Differences in brightness between teeth
At Seoul Of Dental Hospital, before whitening,
a dental hygienist always checks the gums and tooth condition,
and a specialist determines whether whitening is possible.
We do not recommend unnecessary whitening,
and we only proceed when conditions are suitable for noticeable brightness changes.



Teeth whitening procedure
- Pre-treatment diagnosis and shade measurement
We check the current tooth color using a shade guide.
The patient’s teeth were A2, so they were not on the darker side.
- Cleaning (if needed)
If there are foreign substances on the gums or tooth surface,
the whitening effect may decrease,
so scaling or surface cleaning is performed briefly if necessary.
- Gum protection
To safely apply the whitening agent,
a protective gel is applied to the gums and hardened.
- Application of professional whitening agent and light exposure
Using an approved concentration of whitening agent used at whitening dental clinics,
light exposure is performed for about 15 to 20 minutes per session.
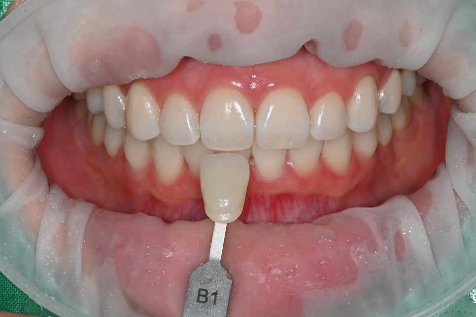
- Check the color change after whitening
Immediately after treatment, the shade improved from A2 to B1.
It became brighter right away,
while still maintaining a natural look.


before &after

<before>

<after>
“The area that stood out when smiling became brighter!
In particular, the front teeth became evenly brighter,
creating an effect that made the overall impression look more refreshed.



Aftercare for teeth whitening
Teeth whitening raises the brightness level, so maintenance is important.
In particular, for 48 hours after the procedure, it is best to avoid the following.
-
Colored beverages such as coffee, tea, and wine
-
Foods with strong staining power such as kimchi and curry
-
Smoking
Also, temporary sensitivity may occur after the procedure,
but in most cases it stabilizes within a day or two.
At the whitening dental clinic, protective agents are also applied to patients
who are concerned about sensitivity to reduce discomfort.


What is the price of teeth whitening?

Many people worry about the “teeth whitening price,”
but because teeth whitening restores brightness without removing tooth structure,
it tends to have a high level of satisfaction relative to cost.
One-day teeth whitening, 3 sessions
KRW 121,000 (VAT included)
is available,
and because the procedure time is short and changes are visible on the same day,
it is suitable for those with important events coming up.
Introduction to Seoul Of Dental Hospital

The results of teeth whitening can vary greatly depending on the concentration of the whitening agent and the method used.
Seoul Of Dental Hospital is chosen by many patients for the following reasons.
4 specialists from Seoul National University provide care
All staff are professional dental hygienists
In-house dental lab operation,
an advantage when connecting prosthetic and aesthetic treatments
Equipped with an oral scanner and intraoral endoscope
Foreign patient care available
Free parking available
(pink parking lot behind the building)
Consultations available via Naver TalkTalk and KakaoTalk
Excellent accessibility from Songpa and Jamsil
In particular, for those considering laminate veneers
or front tooth prosthetics after whitening,
linked consultations are available, which is one reason for the high satisfaction.



Teeth whitening, small changes bring great confidence
Teeth whitening is not simply a procedure that makes teeth brighter
It is a treatment that changes the mood of your expression,
the cleanliness of your impression,
and even your confidence.
If you are considering teeth whitening,
it is important to choose a whitening dental clinic that provides an accurate diagnosis based on your tooth condition
and uses safe materials.
Seoul Of Dental Hospital does not recommend unnecessary treatment,
and only proceeds with teeth whitening when it is needed,
doing it in the safest and most effective way.
Seoul Of Dental Hospital
4th and 5th Floors, 196 Baekjegobun-ro, Songpa-gu, Seoul