서울오브치과병원
어금니 깨졌을 때, 꼭 임플란트인가요?
어금니가 깨지거나 시리면 누구나 걱정부터 앞서죠. “이거 임플란트 해야 하나요…?” “전체임플란트까지 가는 건 아니겠죠…?” . . . 사실 실제로 진료해보면, 생각보다 임플란트까지 가는 경우는 많지 않습니다. 대부분은 보존치료로 잘 해결되고, 오래 쓰실 수 있는 경우가 훨씬 많아요. 오늘은 어금니가 부러지거나...

어금니가 깨지거나 시리면 누구나 걱정부터 앞서죠.
“이거 임플란트 해야 하나요…?”
“전체임플란트까지 가는 건 아니겠죠…?”
.
.
.


사실 실제로 진료해보면,
생각보다 임플란트까지 가는 경우는 많지 않습니다.
대부분은 보존치료로 잘 해결되고,
오래 쓰실 수 있는 경우가 훨씬 많아요.
오늘은 어금니가 부러지거나 충치가 깊을 때
치료가 어떻게 진행되는지,
그리고 어금니가 깨졌을 때
임플란트를 왜 고민해야 하는지
차근차근 정리해드릴게요.



어금니가 깨졌다고
바로 임플란트는 아니에요
어금니는 힘이 많이 들어가는 자리라 깨지기도 쉽지만,
그렇다고 무조건 뽑아야 하는 건 아닙니다.
치과에서는 제일 먼저
치아 뿌리가 괜찮은지,
잇몸뼈가 건강한지
이 두 가지를 확인해요.

둘 다 괜찮다면 대부분은
신경치료·인레이·크라운 같은 보존치료로
충분히 살릴 수 있습니다.
(참고: 실제로 깊은 충치에도 보존치료로
회복된 사례가 많았습니다)


충치가 깊어도 우선 인레이로 시도하는 경우가 많아요

어금니 속 충치가 조금 깊더라도,
신경이 아직 건강하면
인레이(부분 보철)을 먼저 시도합니다.
1.충치를 깨끗하게 제거하고
2.보철물이 들어갈 모양으로 다듬고
3.스캔해서 제작하고
4.임시 재료로 막아두는 과정이죠.
이때 통증이 없다면 아주 깔끔하게
치료가 끝나는 경우도 많아요.


시림이 계속되면 신경치료로 넘어가요

인레이를 했는데도 시큰거리거나,
시림이 계속되거나, 씹을 때 불편하면
치아 속 깊은 곳까지 염증이
있었다는 뜻일 수 있어요.
이럴 때는 치아를 오래 쓰기 위해
신경치료를 진행합니다.
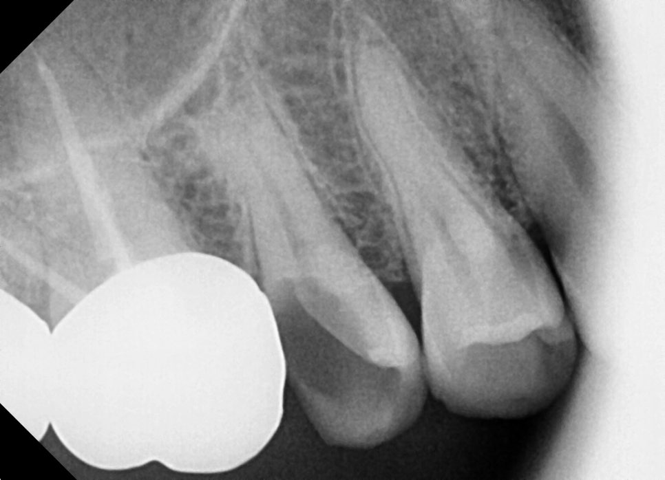
예를 들어 신경치료 사례예시를 보여드립니다.
초진내원당시

오른쪽 이가 깨졌는데 시리고 아파요


엑스레이를 확인해보니 충치가 너무 심해 치아가
깨진 상태로 오셨어요.
이렇게 어금니까 깨졌을 때에는
신경치료가 꼭 필요합니다.


신경치료는
1.치아 속 염증을 제거하고
2.내부를 깨끗하게 정리해서
3.다시 아프지 않도록 채워주는 과정입니다.



<치료 전 / 치료 후>
그리고 어금니는 힘을 많이 받는 부위라
신경치료 후에는 꼭 크라운으로 씌워서 보호해줘야 해요.

충치가 잇몸 아래까지 내려간 경우엔,
잇몸을 조금 정리하기도 해요
충치가 너무 깊어 잇몸 안쪽까지 파고들었을 때는
보철물이 제대로 붙지 않아서
나중에 다시 아프거나 누수·재충치가 생길 수 있어요.
그래서 어금니가 깨졌을 때에는 잇몸 국소 부위를
다듬어 시술 하기도 합니다.
조금 어렵게 들리지만,
쉽게 말하면 크라운이 잘 붙도록 잇몸 모양을
예쁘게 정리해주는 과정이라고 생각하시면 돼요.


이 과정이 들어가면 크라운이 훨씬 안정적으로 자리 잡고,
치아를 더 오래 쓰실 수 있어요.
(실제 치료에서도 이런 단계가 있었어요)
마지막은 지르코니아 크라운으로 단단하게 마무리

신경치료까지 끝나면 마지막은
지르코니아 크라운으로 마무리합니다.
지르코니아는 강도가 높고
오래가고, 잘 깨지지 않고
색도 자연스러워,
어금니에 정말 잘 맞는 재료예요.
이렇게 크라운까지 씌우면
어금니가 깨졌을 때에도
기능을 거의 원래처럼 회복할 수 있어요.
그럼 언제 임플란트를 해야 할까?

보존치료가 가능한 경우가 대부분이지만,
정말 필요한 상황도 있어요.
예를 들면
1.치아 뿌리까지 금이 간 경우
2.충치가 너무 넓게 퍼진 경우
3.잇몸뼈가 많이 녹은 경우
처럼 뿌리 자체를 살릴 수 없는 경우에는
임플란트를 고려하게 됩니다.
하지만 이런 상황은 흔하지 않아요.
대부분은 보존치료로 잘 해결됩니다.

“조금이라도 불편하면 빨리 확인받기”
이게 임플란트를 피하고 자연치아를
오래 쓰는 가장 좋은 방법이에요.
혹시 지금 비슷한 증상이 있다면
편하게 상담 받아보세요.
어떤 단계에서 치료를 시작하는 게 가장 좋은지,
임플란트가 필요한 상황인지 아닌지도
가장 좋은 방향으로 안내해드릴게요.
서울오브치과병원 서울특별시 송파구 백제고분로 196 4층, 5층
전화문의: 02- 418 -2275
<카카오채널문의>
서울오브치과병원 젊어질 나를 위해. 환자분들의 건강하고 아름다운 구강과 얼굴을 위한 파트너가 되겠습니다.
pf.kakao.com
Explore More
Keep Browsing This Clinic's Korean Content Trail.
Return to the source archive for more posts, or move back to the clinic profile to compare the rest of the clinic's public channels.