
If a molar breaks or becomes sensitive, anyone would start worrying.
“Do I need an implant for this…?”
“Is this going to turn into a full-mouth implant…?”
.
.
.


In actual treatment,
the cases that end up needing an implant are not as common as you might think.
In most cases, conservative treatment works well,
and there are many cases where the tooth can be used for a long time.
Today, I’ll organize how treatment progresses when a molar breaks or a cavity is deep,
and why you should consider an implant when a molar is broken,
step by step.



Just because a molar is broken,
it does not automatically mean an implant
Molars are in a place that takes a lot of force, so they can break easily,
but that does not mean they always have to be extracted.
At the dental clinic, the first thing we check
is whether the root of the tooth is okay
and whether the jawbone is healthy.

If both are fine, then in most cases
conservative treatments such as root canal treatment, inlay, or crown
are enough to save the tooth.
(Note: There have actually been many cases where even deep cavities
were restored through conservative treatment.)


Even if the cavity is deep, we often try an inlay first

Even if the cavity inside the molar is somewhat deep,
if the nerve is still healthy,
we first try an inlay (partial restoration).
-
Remove the cavity thoroughly
-
Shape the tooth for the restoration to fit
-
Scan and fabricate it
-
Seal it temporarily
If there is no pain at this stage, treatment often finishes very cleanly.


If the sensitivity continues, we move on to root canal treatment

If it still feels sore after an inlay,
if the sensitivity continues, or if it feels uncomfortable when chewing,
it may mean there was inflammation
deep inside the tooth.
In that case, to keep the tooth in use for a long time,
we perform root canal treatment.
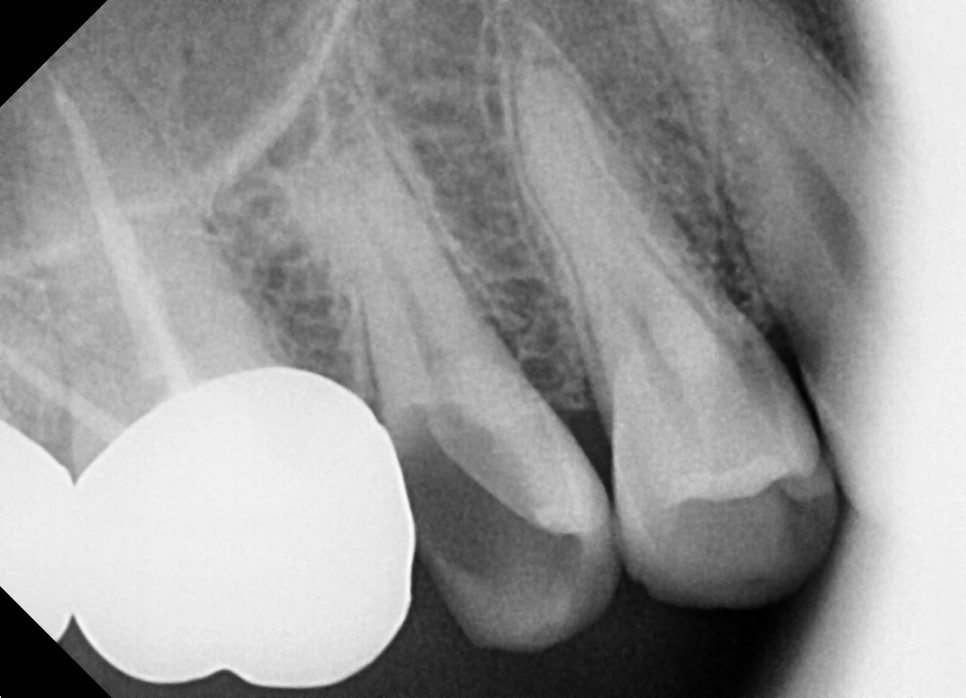
For example, here is a case example of root canal treatment.
At the initial visit

The right tooth broke, and it feels sensitive and painful.


After checking the X-ray, we found that the cavity was so severe that the tooth
had come in broken.
When a molar breaks like this,
root canal treatment is necessary.


Root canal treatment is
-
Removing inflammation inside the tooth
-
Cleaning out the inside thoroughly
-
Filling it so it won’t hurt again



<Before treatment / After treatment>
And because molars are areas that receive a lot of force,
after root canal treatment they must be protected by covering them with a crown.

If the cavity extends below the gum line,
we may need to clean up the gum a little as well.
When a cavity goes too deep and reaches inside the gum,
the restoration may not bond properly,
and later it could hurt again or lead to leakage or recurrent decay.
So when a molar breaks, we may also perform local gum contouring in the affected area.
It may sound a bit difficult,
but simply put, you can think of it as shaping the gum nicely
so the crown can adhere well.


With this step included, the crown settles much more stably,
and you can use the tooth for longer.
(This step was also included in the actual treatment.)
The final step is a strong finish with a zirconia crown

Once the root canal treatment is complete, the final step is
to finish with a zirconia crown.
Zirconia is highly durable,
long-lasting, resistant to breaking,
and has a natural color,
so it is a material that fits molars very well.
Once the crown is placed like this,
even when a molar breaks,
its function can be restored almost to how it was originally.
So when do you need an implant?

In most cases, conservative treatment is possible,
but there are situations where it is truly needed.
For example,
-
When the crack extends all the way to the tooth root
-
When the cavity has spread too widely
-
When a lot of the jawbone has been lost
In cases where the root itself cannot be saved,
an implant is considered.
But these situations are not common.
Most cases are well resolved with conservative treatment.

“Get checked quickly if anything feels even slightly uncomfortable”
This is the best way to avoid an implant and keep your natural teeth
for as long as possible.
If you have similar symptoms right now,
please feel free to come in for a consultation.
We’ll guide you toward the best direction,
including whether it’s best to start treatment at a certain stage
and whether an implant is necessary or not.
Seoul of Dental Hospital
4th and 5th Floors, 196 Baekjegobun-ro, Songpa-gu, Seoul
Phone inquiry: 02-418-2275
<Kakao Channel Inquiry>
Seoul of Dental Hospital
For the younger version of me. We will be your partner for patients’ healthy and beautiful oral health and facial care.
pf.kakao.com