서울오브치과병원
임플란트 시술 전 꼭 확인해야 할 것들
안녕하세요! 서울오브치과병원입니다! 치과에 내원하시는 60대 이상의 환자분들 중 가장 많은 고민은 어금니가 깨졌는데, 살릴 수 있을까요? 라는 질문입니다. 어금니는 하루에도 수백 번씩 강한 힘을 견뎌야 하기 때문에, 한 번 파절이 생기거나 염증이 반복되면 짧은 기간 안에 상태가 크게 악화되는 경우가 많습니다. ...

안녕하세요! 서울오브치과병원입니다!


치과에 내원하시는 60대 이상의 환자분들 중
가장 많은 고민은
어금니가 깨졌는데, 살릴 수 있을까요?
라는 질문입니다.
어금니는 하루에도 수백 번씩 강한 힘을
견뎌야 하기 때문에, 한 번 파절이 생기거나
염증이 반복되면 짧은 기간 안에 상태가
크게 악화되는 경우가 많습니다.
최근 저희 서울오브치과병원에도
비슷한 고민을 가진 환자분이 내원하셨고
임플란트 시술을 진행하셨습니다.


초진 내원 당시


60대 남성분으로, 오른쪽 위 어금니가
갑자기 깨지면서 씹을 때 통증이 심해졌고,
주변 잇몸까지 붓는 증상이 함께 있었습니다.
이런 분들께는 임플란트 시술이
가장 이상적인 방법입니다.


파노라마 검사와 CT 촬영을 통해
정밀 확인을 진행했습니다.

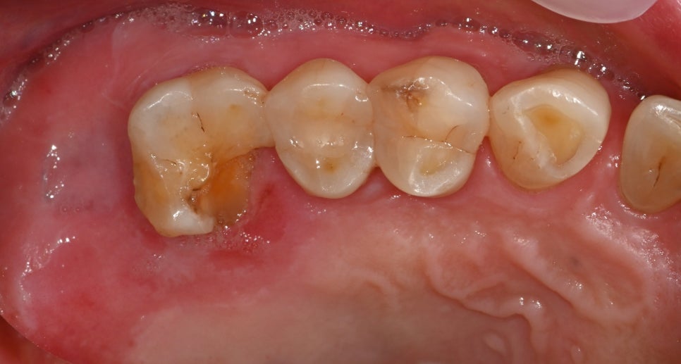
검사 결과는 단순한 충치나
크라운 파절이 아닌 치근 부위까지
금이 발생한 상태였습니다.
금이 뿌리 끝까지 뻗어 있는 경우에는
보존치료로 살리기 어렵고,
발치 후 임플란트 시술을 고려해야 합니다.
또한 위 어금니는 상악동과 가깝기 때문에,
뼈가 얇거나 염증이 심하면 뼈이식이나
상악동 거상이 함께 필요한 경우가 많습니다.



검사 결과에 따른 치료 결정 과정
이 환자분의 경우도 아래와 같은 요소를
종합해 임플란트시술 계획을 세웠습니다.
1.치근 파절 여부
뿌리 쪽까지 금이 퍼져 있어
남겨둘 수 없는 상황이었습니다.
2.주변 잇몸뼈의 흡수 정도
오랜 기간 반복된 염증으로
인해 뼈가 일부 줄어든 상태였습니다.
3.상악동 위치
위 어금니의 뼈 높이가 충분하지 않아,
작은 범위의 상악동 거상이 필요했습니다.
4.저작 습관 및 교합 상태
어금니 쪽 힘이 한쪽으로 과하게
집중되는 패턴이 확인되었습니다.
이러한 조건들은 ‘임플란트를 심느냐 마느냐’의
수준을 넘어서, 어떤 방식으로 식립할지,
뼈를 얼마나 보강해야 하는지,
치유 기간을 얼마나 잡을지 같은
세부 계획에 모두 영향을 줍니다.



발치, 임플란트 식립, 뼈이식을
하루에 진행한 이유

정확한 진단 후 임플란트시술은
당일 진행되었습니다.
파절된 치아는 깨끗하게 발치하고,
감염된 조직을 제거한 후 동종골 뼈이식과
동시에 임플란트를 식립했습니다.
발치 후 즉시 식립은 모든 환자에게 가능한 방식은
아니지만, 아래 조건이 충족되면
치료 기간을 단축할 수 있습니다.
1.염증이 조절 가능한 수준일 것
2.잇몸뼈의 기본 형태가
유지되어 있을 것
3.초기 고정력이 충분히
나오는 골질일 것
초기 고정력이 확보되어
즉시 식립이 가능했습니다.



수술 후 경과와 회복 과정

수술 다음날 내원하셨을 때는
처방받은 약 덕분에 통증이 크게 줄어든 상태였습니다.
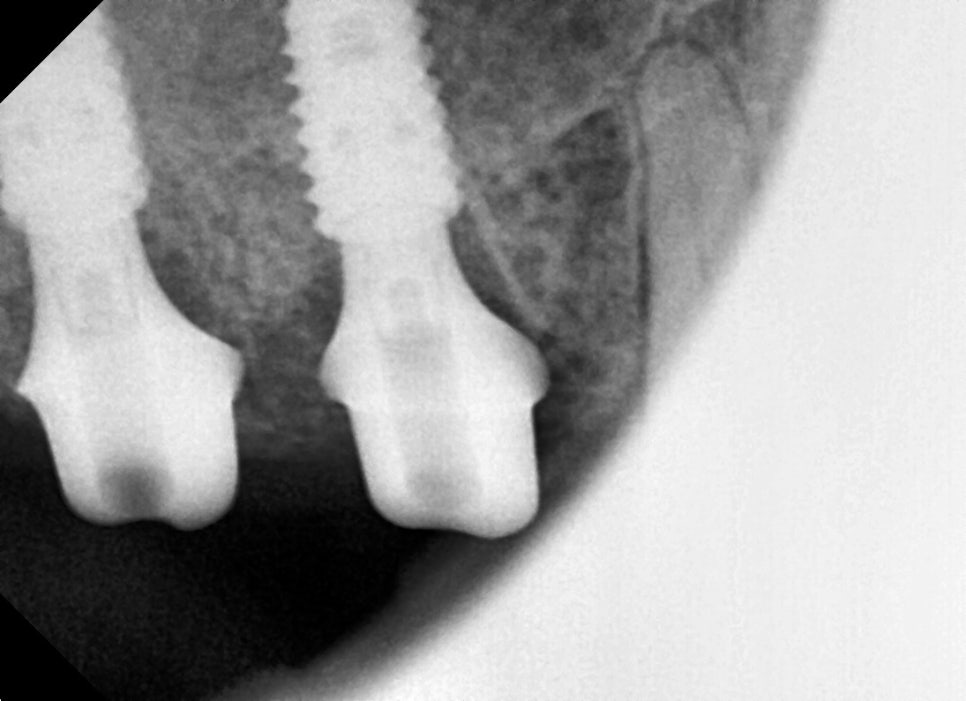
이후 약 2~3개월 간 잇몸뼈가 안정되는 기간을 거쳤고,
체크 내원 시 파노라마 검사에서
임플란트가 잘 자리 잡고 있는 것을 확인했습니다.



맞춤형 지대주 제작


임플란트의 마지막 단계는 보철(크라운)입니다.
겉으로 보이는 치아 형태가 완성되는 단계이지만,
실제로는 가장 섬세한 작업이 많이 들어갑니다.
교합(맞물림) 조정
잇몸과 보철물 사이의 밀착
주변 치아와의 높이·폭 조화
저작 방향에 따른 보철물 형태 조정
이 환자분은 맞물림이 한쪽으로 쏠리는 경향이 있어,
임플란트시술 보철 단계에서 이를 최대한
분산하는 방향으로 설계했습니다.
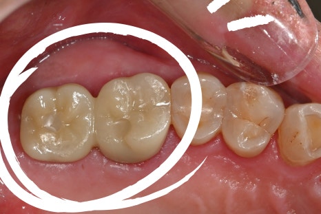
원내 기공소에서 스캔 데이터를 기반으로 맞춤 제작했고
장착 후에는 사진 촬영을 통해
잇몸과 보철물의 적합도를 다시 점검했습니다.



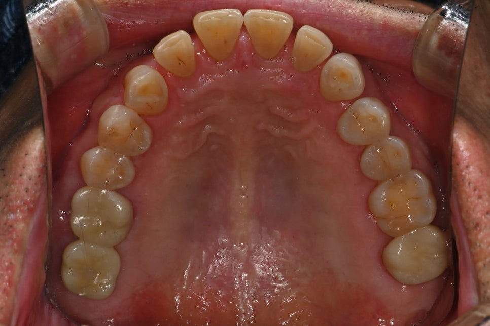
치료 후 변화

완성 후 환자분이 가장 먼저 말씀하신 것은
“씹는 게 편해졌다”는 점이었습니다.
오래 비워졌던 어금니가 제 기능을 찾으면
자연스럽게 턱의 균형이 잡히고,
음식의 질감도 훨씬 선명하게 느껴집니다.
또한 통증 걱정 없이 드실 수 있다는 점에서
생활의 질이 확실히 좋아집니다.
정기 검진 내원 시에도 잇몸과 임플란트 주변이
잘 유지되고 있었고, 관리 방법(치실·치간칫솔 사용)만
꾸준히 안내해 드렸습니다.



임플란트는 단순히 치아를 심는 치료가 아니라,
정확한 진단·해부학적 수술·정밀 보철·사후관리까지
이어지는 체계적인 과정입니다.
특히 어금니는 하루 사용량이 많고 저작력이 강해,
치료 과정에서 고려해야 할 요소가 더 많습니다.
서울오브치과병원은
전문의 4인 협진 진료
원내 기공소 운영
구강스캐너·CT 등 정밀 장비
상시 치과위생사 시스템
365일 진료 가능


을 기반으로 환자분의 상태에 가장 적합한
치료를 제안하고 있습니다.
비슷한 증상이나 고민이 있으시다면 언제든 상담해 주세요.
치아는 시간을 기다려주지 않기 때문에,
조기에 정확한 진단을 받는 것이 가장 중요합니다.
서울오브치과병원 서울특별시 송파구 백제고분로 196 4층, 5층
전화문의 02-418-2275
서울오브치과병원 젊어질 나를 위해. 환자분들의 건강하고 아름다운 구강과 얼굴을 위한 파트너가 되겠습니다.
pf.kakao.com
Explore More
Keep Browsing This Clinic's Korean Content Trail.
Return to the source archive for more posts, or move back to the clinic profile to compare the rest of the clinic's public channels.