
Hello! This is Seoul Ob Dental Hospital!


Among patients in their 60s and older who visit the dental clinic,
the most common concern is:
“Can the molar that broke be saved?”
Molar teeth must withstand strong forces hundreds of times a day, so once a fracture occurs or inflammation keeps recurring, the condition often worsens significantly in a short period of time.
Recently, a patient with a similar concern visited Seoul Ob Dental Hospital and underwent implant treatment.


At the first visit


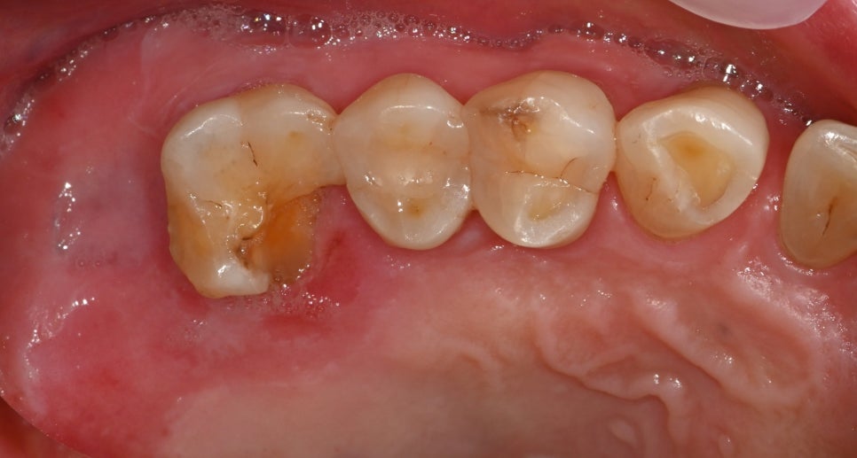
He was a man in his 60s. His upper right molar suddenly broke, and he experienced severe pain while chewing, along with swelling of the surrounding gums.
For patients like this, implant treatment is the most ideal method.


A detailed examination was carried out through panoramic imaging and CT scans.

The examination results showed not a simple cavity or crown fracture, but cracks extending to the root area.
If the crack extends to the root tip, it is difficult to save the tooth with conservative treatment,
and extraction followed by implant treatment should be considered.
Also, because upper molars are close to the maxillary sinus, bone grafting or sinus lifting is often needed if the bone is thin or inflammation is severe.



Treatment decision process based on examination results
In this patient’s case as well, an implant treatment plan was established by comprehensively considering the following factors.
-
Whether there was a root fracture
The crack had spread to the root area, so the tooth could not be left in place.
-
Degree of surrounding jawbone resorption
Due to repeated inflammation over a long period, some of the bone had already been reduced.
-
Position of the maxillary sinus
The bone height in the upper molar area was insufficient, so a small-scale sinus lift was needed.
-
Chewing habits and bite condition
A pattern was identified in which force was concentrated excessively on one side of the molar area.
These conditions go beyond the question of whether to place an implant or not. They affect all the detailed plans, such as how it should be placed, how much bone should be reinforced, and how long the healing period should be.



Why extraction, implant placement, and bone grafting were done on the same day

After an accurate diagnosis, the implant treatment was performed on the same day.
The fractured tooth was extracted cleanly, and after removing the infected tissue, the implant was placed at the same time as an allograft bone graft.
Immediate placement after extraction is not possible for every patient, but if the following conditions are met, the treatment period can be shortened.
- The inflammation must be at a manageable level
- The basic shape of the jawbone must be maintained
- The bone quality must provide sufficient initial stability
Sufficient initial stability was secured, making immediate placement possible.



Progress after surgery and recovery process

When the patient visited the next day after surgery, the pain had greatly decreased thanks to the prescribed medication. After that, a period of about 2 to 3 months was spent allowing the jawbone and gums to stabilize.
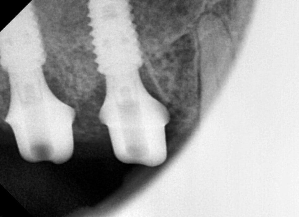
At the follow-up visit, panoramic imaging confirmed that the implant was settling in well.



Custom abutment fabrication


The final stage of an implant is the prosthesis (crown).
It is the stage where the visible tooth shape is completed, but in reality, it involves some of the most delicate work.
Bite adjustment
Fit between the gums and the prosthesis
Harmony of height and width with the surrounding teeth
Adjustment of the prosthesis shape according to the chewing direction
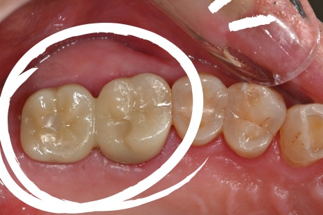
This patient tended to have a bite that leaned to one side, so in the prosthetic stage of the implant treatment, we designed it to distribute that force as much as possible.
It was custom-made at the in-house dental lab based on scan data, and after placement, photographs were used to check the fit between the gums and the prosthesis again.



Changes after treatment

After completion, the first thing the patient said was that “chewing became easier.”
When a molar that has been left empty for a long time regains its function, the balance of the jaw is naturally restored, and the texture of food is felt much more clearly.
Also, being able to eat without worrying about pain clearly improves quality of life.
At regular checkups, the gums and the area around the implant were well maintained, and we continued to provide guidance on care methods such as floss and interdental brush use.



An implant is not simply a treatment that places a tooth.
It is a systematic process that continues through accurate diagnosis, anatomical surgery, precise prosthetics, and post-treatment care.
In particular, molars are used heavily every day and have strong chewing forces, so there are more factors to consider during treatment.
Seoul Ob Dental Hospital offers:
4-specialist collaborative care
In-house dental lab operation
Precise equipment such as oral scanners and CT
An on-site dental hygienist system
365-day treatment availability


Based on this, we propose the treatment that is most appropriate for the patient’s condition.
If you have similar symptoms or concerns, please feel free to consult us at any time.
Tooth problems do not wait for time, so receiving an accurate diagnosis early is the most important thing.
Seoul Ob Dental Hospital
4th and 5th Floors, 196 Baekjegobun-ro, Songpa-gu, Seoul
Phone inquiries: 02-418-2275
Seoul Ob Dental Hospital
For the younger you. We will be your partner for the healthy and beautiful oral health and face of our patients.
pf.kakao.com