서울오브치과병원
넘어져 앞니와 입술을 함께 다쳤을 때 치료 과정 공개
앞니 외상 치료, 단순한 ‘부딪힘’이 아닙니다 안녕하세요! 서울오브치과병원입니다! 일상에서 예상치 못한 순간에 앞니를 다치는 경우가 적지 않습니다. 넘어지거나 부딪히는 가벼운 사고처럼 보이지만, 실제로는 치조골 골절, 치아 위치 변화, 잇몸 열상까지 함께 발생하는 경우가 많습니다. 최근 서울오브치과병원에는 식사 중...
앞니 외상 치료, 단순한
‘부딪힘’이 아닙니다
안녕하세요!
서울오브치과병원입니다!



일상에서 예상치 못한 순간에
앞니를 다치는 경우가 적지 않습니다.
넘어지거나 부딪히는 가벼운 사고처럼 보이지만,
실제로는 치조골 골절, 치아 위치 변화, 잇몸 열상까지
함께 발생하는 경우가 많습니다.

최근 서울오브치과병원에는
식사 중 어지럼증으로 넘어지며
입술과 잇몸이 크게 찢어지고,
앞니가 안쪽으로 밀려 들어간
50대 여성 환자분이 내원하셨습니다.
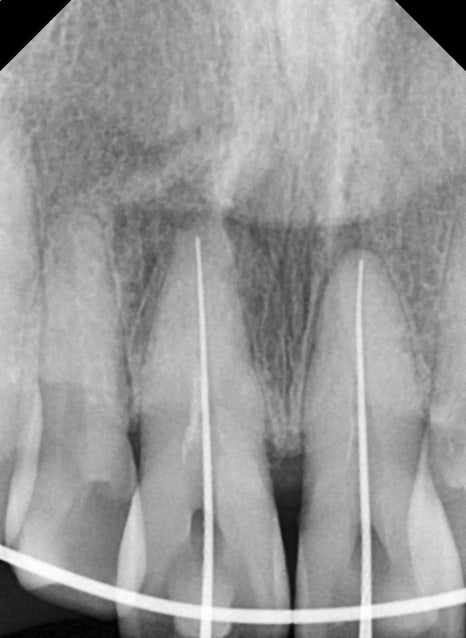
단순한 상처로 보였지만, CT 촬영 결과
앞니 주변 치조골 골절과 치아 변위가 확인되었습니다.
사고 직후 진단이 가장 중요합니다

앞니는 얼굴 중심에 있어 외상에 취약합니다.
겉으로 보기엔 “피만 조금 난 것 같은데…”라고 생각해도,
치근(뿌리) 파절
치조골 골절
치아 아탈구(제자리에서 벗어남)
신경 손상
입술·잇몸 깊은 열상
과 같은 후유증이 숨어 있는 경우가 많습니다.
해당 환자분 또한
파노라마와 CT 진단에서
앞니 두 개 주변 치조골 골절과 치아 위치 변위가
명확히 확인되었습니다.
즉시 전문적인 고정이 필요한 상태였습니다.



다발성 열상 봉합( 잇몸,입술,턱밑)


입안은 세균이 많아 염증 위험이 높기 때문에,
찢어진 부위는 정확한 봉합이 필요합니다.
환자분은
잇몸 안쪽 열상,
입술 바깥쪽 근육층까지 깊은 열상
아래 턱 밑 열상이 있어
바깥·안쪽을 나눠 봉합술이 진행되었습니다.
(구강내 봉합 + 안면부 봉합)
이는 추후 흉터, 입모양 변화,
잇몸 높이 비대칭을 막기 위한 중요한 과정입니다.


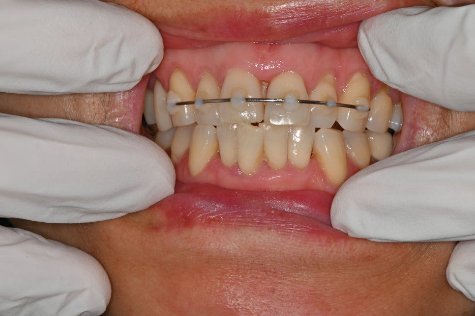
치조골 골절 및 앞니 고정장치
- 치조골 골절 & 앞니 고정술

충격으로 앞니가 뒤로 밀리거나 흔들리면,
반드시 제 위치로 되돌리고 일정 기간 고정해야 합니다.
이번 케이스에서도
-
부러진 잇몸뼈 제자리 정복
-
앞니 부목 지지대 고정 시술
이 이루어졌습니다.

이는 치아가 다시 안정적으로 뼈와 붙도록 돕는 과정입니다.
고정을 하지 않거나 늦어지면, 치아가 점점 더 움직이거나 신경이 괴사될 위험이 높습니다.
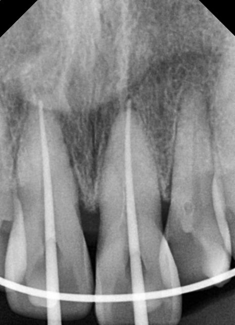
회복 기간 이후 앞니 신경치료까지

강한 충격을 받은 치아는
몇 주~몇 달 뒤 시림, 통증, 변색이 발생할 수 있습니다.
이는 신경 손상 때문입니다.


환자분도 앞니 두 개에서 신경 괴사 가능성이
확인되어 정확한 근관장 측정 후
신경치료가 진행되었습니다.
신경치료가 정확히 이루어지지 않으면 향후
치근단염이나 재신경치료가 필요할 수 있어,
앞니 외상에서는 “지켜보자”보다
적기에 치료하는 것이 안전합니다.


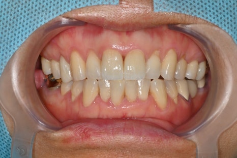
앞니 크라운 치료시행
충격을 크게 받은 앞니는 파절선이 생기거나 색이 변하고, 형태가 변형되기도 합니다.
환자분은 외상 이후 치아 모양과 기능이 변해
지르코니아 크라운으로 마무리 치료를 진행했습니다.

서울오브치과병원은
-
원내 기공소 운영
-
상주 치과기공사
-
구강스캐너를 통한 정밀 스캔
-
으로 앞니의 색·모양·길이를 자연스럽게 맞추는 데
강점을 가지고 있습니다.
최종 크라운 장착 후 환자분은
예전처럼 자연스럽게 웃을 수 있어 좋다
입술 흉터도 깔끔하게 잘 아물었다
고 말씀해 주셨습니다.



앞니를 다쳤을 때, 어떻게 해야할까?
앞니 외상은 시간이 매우 중요합니다.
✓ 즉시 치과 내원
✓ 파노라마 + CT로 치조골·뿌리·신경 상태 확인
✓ 치아 흔들림은 바로 고정
✓ 열상은 당일 봉합
✓ 3~6개월 동안 신경 변화 관찰
✓ 앞니 색 변화·통증 발생 시 즉시 신경치료 고려
조치를 빨리 할수록 치아를 살릴 확률이 높습니다.



서울오브치과병원은
-
서울대 출신 구강악안면외과 전문의 4인 협진
-
응급·외상 케이스 다수 경험(119 협력병원)
-
CT·구강스캐너 등 대학병원급 장비 보유
-
전 직원 치과위생사, 상주 치과기공사 운영
-
365일 진료 / 무료주차 / 외국인 진료 가능
얼굴·입안 외상 환자의 응급 봉합부터
보철 복원까지 원스톱으로 진행합니다.

앞니 외상은 단순한 상처가 아닌,
치조골·신경·잇몸·심미성까지 영향을 주는 복합 손상입니다.
초기 진단과 치료가 정확해야 후유증 없이
자연스러운 회복이 가능합니다.
서울오브치과병원은 사고 직후의 응급 봉합부터
신경치료, 고정술, 크라운 복원까지 전 과정을
체계적으로 진행해
환자분의 일상 복귀와 심미적 회복까지 책임지고 있습니다.
서울오브치과병원 서울특별시 송파구 백제고분로 196 4층, 5층
전화문의: 02-418-2275
서울오브치과병원 젊어질 나를 위해. 환자분들의 건강하고 아름다운 구강과 얼굴을 위한 파트너가 되겠습니다.
pf.kakao.com
Explore More
Keep Browsing This Clinic's Korean Content Trail.
Return to the source archive for more posts, or move back to the clinic profile to compare the rest of the clinic's public channels.