Front tooth trauma treatment is not just a simple
‘bump’
Hello!
This is Seoul Orbit Dental Hospital!



In everyday life, there are not a few cases
where the front teeth are injured at unexpected moments.
It may look like a minor accident such as a fall or impact,
but in reality, it often occurs together with an alveolar bone fracture, tooth displacement, and gum lacerations.

Recently, a woman in her 50s visited Seoul Orbit Dental Hospital
after falling due to dizziness while eating,
sustaining a deep tear to her lip and gums,
with her front teeth pushed inward.
Although it looked like a simple wound, CT imaging revealed
an alveolar bone fracture around the front teeth and tooth displacement.
Diagnosis immediately after the accident is the most important

The front teeth are vulnerable to trauma because they are at the center of the face.
Even if it looks like, “There’s just a little bleeding...,”
there are often hidden complications such as
root fracture
alveolar bone fracture
tooth subluxation (displacement from its normal position)
nerve damage
deep lip and gum lacerations
For this patient as well,
the panoramic X-ray and CT scan clearly confirmed
an alveolar bone fracture around the two front teeth and tooth displacement.
Immediate professional stabilization was needed.



Suturing of multiple lacerations (gums, lips, under the chin)


Because the inside of the mouth contains many bacteria and has a high risk of inflammation,
the torn areas need to be sutured precisely.
The patient had
a laceration inside the gums,
a deep laceration extending into the outer muscle layer of the lip,
and a laceration under the lower jaw,
so suturing was performed separately on the outside and inside.
(oral suturing + facial suturing)
This is an important step to prevent future scarring, changes in lip shape,
and asymmetry in gum height.


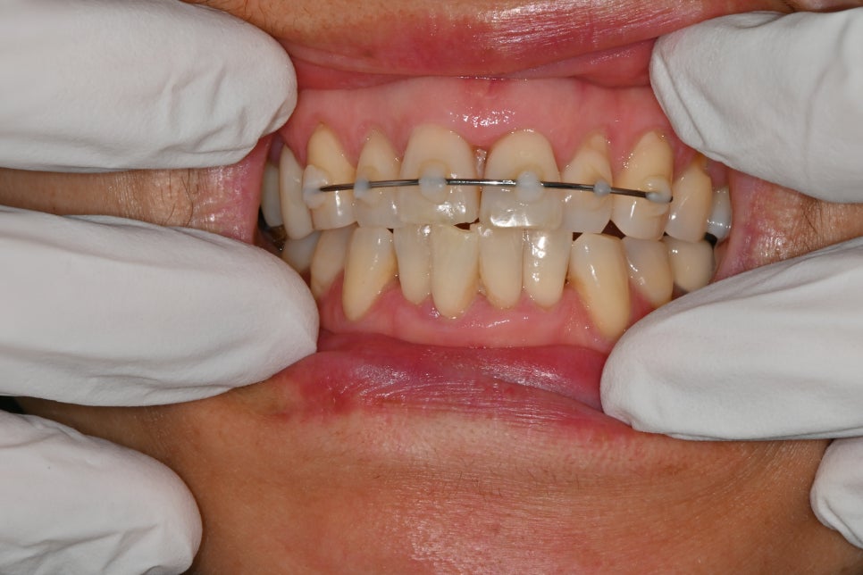
Alveolar bone fracture and front tooth stabilization device
- Alveolar bone fracture & front tooth stabilization

When a front tooth is pushed backward or becomes loose due to impact,
it must be returned to its proper position and stabilized for a certain period.
In this case as well,
were performed.

This helps the tooth reattach stably to the bone.
If it is not stabilized or if treatment is delayed, the tooth may move further and the risk of nerve necrosis increases.
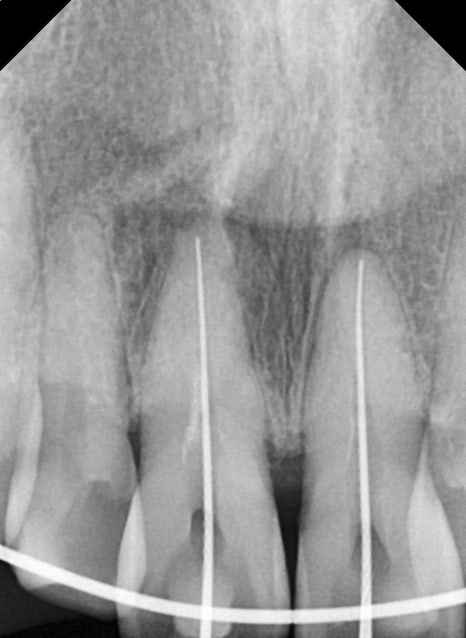
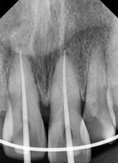
After the recovery period, root canal treatment for the front teeth

Teeth that have received a strong impact
may develop sensitivity, pain, or discoloration weeks to months later.
This is due to nerve damage.


For this patient as well, the possibility of nerve necrosis in the two front teeth was confirmed,
and after accurate working length measurement,
root canal treatment was performed.
If root canal treatment is not performed correctly, apical periodontitis or retreatment may be needed later,
so in front tooth trauma, it is safer to treat at the proper time rather than “just watch and wait.”


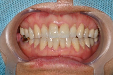
Front tooth crown treatment performed
Front teeth that receive a strong impact may develop fracture lines, discoloration, or changes in shape.
The patient’s tooth shape and function changed after the trauma,
so final treatment was completed with a zirconia crown.

Seoul Orbit Dental Hospital
-
In-house dental laboratory operation
-
Full-time dental technician on site
-
Precision scanning with an intraoral scanner
has strengths in naturally matching the color, shape, and length of front teeth.
After the final crown placement, the patient said
it was good to be able to smile naturally like before
the lip scar also healed neatly and well



What should you do when you injure a front tooth?
Time is extremely important in front tooth trauma.
✓ Visit a dental clinic immediately
✓ Check the condition of the alveolar bone, root, and nerves with a panoramic X-ray + CT
✓ Stabilize any loose tooth right away
✓ Suture lacerations on the same day
✓ Observe nerve changes for 3–6 months
✓ Consider immediate root canal treatment if discoloration or pain develops in the front tooth
The faster action is taken, the higher the chance of saving the tooth.



Seoul Orbit Dental Hospital
-
Cooperative care by four oral and maxillofacial surgery specialists from Seoul National University
-
Extensive experience with emergency and trauma cases (partner hospital with 119)
-
University hospital-level equipment including CT and intraoral scanners
-
All staff are dental hygienists; full-time dental technician on site
-
Open 365 days a year / free parking / available for foreign patients
From emergency suturing for facial and oral trauma
to prosthetic restoration, everything is handled in one place.

Front tooth trauma is not a simple wound,
but a complex injury that affects the alveolar bone, nerves, gums, and aesthetics.
An accurate initial diagnosis and treatment are necessary for recovery without lasting complications
and for a natural result.
Seoul Orbit Dental Hospital handles the entire process systematically,
from emergency suturing immediately after the accident
to root canal treatment, stabilization, and crown restoration,
and takes responsibility for helping patients return to daily life and recover aesthetically.
Seoul Orbit Dental Hospital
4th and 5th Floors, 196 Baekjegobun-ro, Songpa-gu, Seoul
Phone inquiries: 02-418-2275
Seoul Orbit Dental Hospital
For the younger me. We will be your partner for patients’ healthy and beautiful oral health and facial care.
pf.kakao.com