서울오브치과병원
라미네이트 가격 차이의 진짜 이유, 무삭제 오브제로 확인하세요
라미네이트는 앞니의 모양·색·비율을 개선하기 위해 치아 표면에 얇은 보철물을 부착하는 치료입니다. 하지만 기존 라미네이트는 치아 삭제량이 많거나, 인위적인 색과 광택 때문에 “딱 봐도 라미네이트 같다”는 느낌을 주는 경우가 적지 않았습니다. 오브제로(OVZERO) 라미네이트는 이러한 기존 단점을 보완한 최소...

라미네이트는 앞니의 모양·색·비율을
개선하기 위해 치아 표면에 얇은 보철물을
부착하는 치료입니다.
하지만 기존 라미네이트는 치아 삭제량이 많거나,
인위적인 색과 광택 때문에
“딱 봐도 라미네이트 같다”는 느낌을
주는 경우가 적지 않았습니다.

오브제로(OVZERO) 라미네이트는
이러한 기존 단점을 보완한 최소삭제 심미 보철 방식입니다.
치아를 과도하게 깎지 않으면서도, 실제 치아와 유사한 질감과 투명도를 구현하는 데 목적을 둡니다.

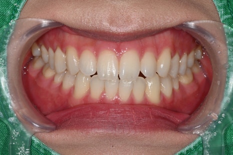
시술 전 사진


치아 삭제를 최소화한
‘미세삭제·무삭제’ 방식

오브제로 시술 전 사진
- 0.1~0.3mm 범위 안에서
필요한 부분만 미세하게 조정
2.치아를 보존하면서도 라미네이트가
안정적으로 자리 잡을 수 있게 설계
3.기존 치아 형태가 크게 손상되지 않아
장기적으로 부담이 적음
오브제로 라미네이트의 가장 큰 특징은
치아 손상을 줄이는 것입니다.
치료 후 시린 증상이나 붓기 같은 불편감도
상대적으로 적습니다.

자연치아와 유사한 질감·투명도
오브제로 라미네이트는 과한 광택이나
인위적인 백색감보다 ‘실제 치아 같은 느낌’을 우선합니다.
자연치아의 미세한 결 표현
투명층(Enamel Layer)의 은은한 깊이감
치아마다 다른 음영을 반영
플라스틱 같은 반짝임을 최소화
이러한 질감은 기공 과정에서
손작업 비중이 크기 때문에
정밀하게 제작할수록
자연스러운 결과를 얻을 수 있습니다.

개인 맞춤형 페이스 디자인
치아 하나만 예쁘다고
자연스러운 웃음이 완성되지 않습니다.
그래서 오브제로 라미네이트는
얼굴형·입술 라인·웃는 형태·치아 비율을 함께 고려합니다.
치료 계획 단계에서
앞니 절단면 높이
좌우 비대칭
치아의 비율(가로/세로)
미소 라인(Smile Line)
잇몸 라인(Gum Line)
이런 요소들을 종합적으로 분석해 디자인이 결정됩니다.

원내 기공소 제작

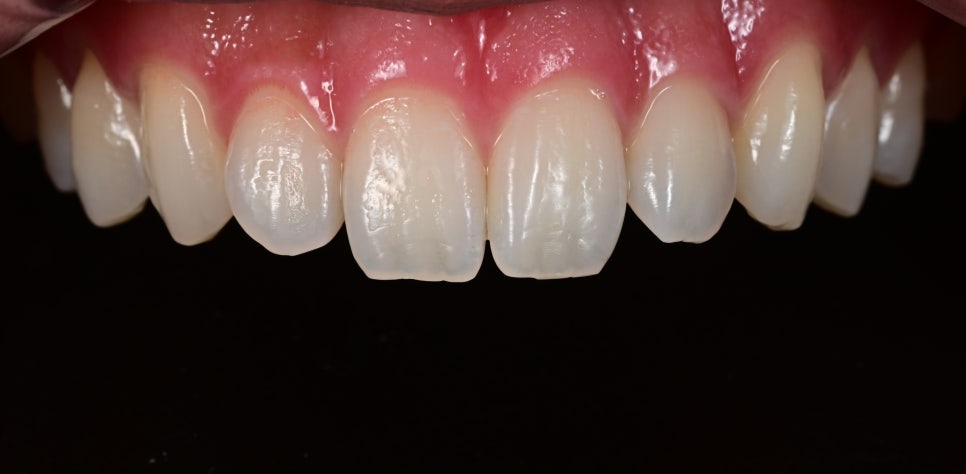
오브제로 시술 후 사진
오브제로 라미네이트는 제작 과정에서
세밀한 조정이 필요한 경우가 많습니다.
원내 기공소에서 직접 제작하면

-
즉각적인 색·형태 보정 가능
-
치아 모양·텍스처를 환자 맞춤으로 세밀하게 조절
-
시적(임시 부착) 후 수정 요청이 빠르게 반영
최종 보철물의 완성도를 높이는 데 도움이 됩니다.
어떤 분들께 적합할까?

오브제로 라미네이트는
다음과 같은 상황에서 특히 추천됩니다.
-
치아는 건강하지만 모양·대칭이 아쉬운 경우
-
앞니 사이 벌어짐이 신경 쓰이는 경우
-
과한 라미네이트 느낌 없이 자연스러운 결과를 원할 때
-
교정은 부담되지만 앞니 정리만 원할 때
-
치아 삭제가 걱정되는 경우
-
기존 라미네이트가 두껍거나 어색해 재시술이 필요한 경우
특히 ‘티 나지 않는 자연스러운 변화’를 원하는 20~30대 환자분들에게 선호도가 높습니다.

유지 관리 방법


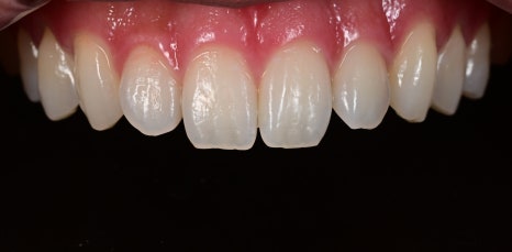
오브제로 시술 전


오브제로 시술 후
라미네이트는 일반 치아와 비슷하게 관리할 수 있습니다.
너무 단단한 음식은 앞니로 직접 물지 않기
이갈이·이악물기 있는 경우 장치 착용
정기검진으로 잇몸·부착 상태 체크
착색이 심한 음료는 양치·가글로 정리

오브제로 라미네이트는 단순히
치아를 ‘하얗게 만드는’ 시술이 아니라,
치아 본연의 느낌을 최대한 보존하면서
자연스럽게 앞니 라인을 개선하는 치료입니다.
삭제량을 줄이고, 개인별 디자인을 반영하며,
정교한 제작 과정을 거쳐 자연스러운
결과를 얻을 수 있다는 점에서
최근 많은 환자분들이 찾는 심미 보철 방식입니다.
서울오브치과병원 서울특별시 송파구 백제고분로 196 4층, 5층
전화문의 02-418-2275
<카카오톡채널문의>
서울오브치과병원 젊어질 나를 위해. 환자분들의 건강하고 아름다운 구강과 얼굴을 위한 파트너가 되겠습니다.
pf.kakao.com
Explore More
Keep Browsing This Clinic's Korean Content Trail.
Return to the source archive for more posts, or move back to the clinic profile to compare the rest of the clinic's public channels.