
Laminates are a treatment in which a thin prosthetic is attached to the tooth surface to improve the shape, color, and proportions of the front teeth.
However, traditional laminates often involved a large amount of tooth reduction, or had an artificial color and gloss, so in many cases they gave the impression of being “obviously laminated.”
OVZERO laminates are a minimally prepared aesthetic prosthetic method that addresses these drawbacks of conventional laminates.
The goal is to achieve a texture and translucency similar to real teeth without excessively shaving down the teeth.
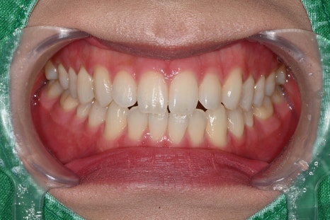
Before treatment photo


The “micro-preparation / no-preparation” method
that minimizes tooth reduction
OVZERO before treatment photo
-
Only the necessary areas are finely adjusted within a range of 0.1 to 0.3 mm
-
Designed so the laminate can be placed stably while preserving the tooth
-
Since the existing tooth shape is not greatly damaged, the long-term burden is relatively low
The biggest feature of OVZERO laminates is that they reduce damage to the teeth.
Discomfort after treatment, such as sensitivity or swelling, is also relatively less.
Texture and translucency similar to natural teeth
OVZERO laminates prioritize an “actual tooth-like feel” over excessive gloss or artificial whiteness.
Fine natural tooth grain expression
Subtle depth of the enamel layer
Reflection of different shades for each tooth
Minimized plastic-like shine
Because this kind of texture requires a large amount of handwork during the lab process, the more precisely it is made, the more natural the result.
Personalized face design
A natural smile is not completed just because one tooth looks good.
That is why OVZERO laminates consider face shape, lip line, smile shape, and tooth proportions together.
During the treatment planning stage,
front tooth incisal edge height
left-right asymmetry
Tooth proportions (width/length)
Smile Line
Gum Line
These factors are analyzed comprehensively to determine the design.
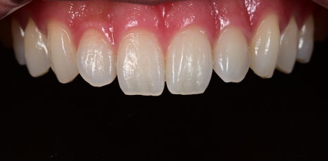
Fabricated in an in-house dental lab
OVZERO after treatment photo
OVZERO laminates often require detailed adjustments during the fabrication process.
If they are made directly in the in-house dental lab,

-
Immediate color and shape correction is possible
-
The tooth shape and texture can be finely adjusted to suit the patient
-
Revision requests after temporary placement can be reflected quickly
This helps improve the quality of the final prosthetic.
Who is it suitable for?

OVZERO laminates are especially recommended in the following situations.
- When the teeth are healthy, but the shape or symmetry is not ideal
- When spacing between the front teeth is a concern
- When you want a natural result without the look of overly obvious laminates
- When orthodontic treatment feels burdensome, but you only want to align the front teeth
- When you are concerned about tooth reduction
- When existing laminates are too thick or unnatural and need to be redone
They are especially popular among patients in their 20s and 30s who want a natural change that does not look obvious.
Maintenance method

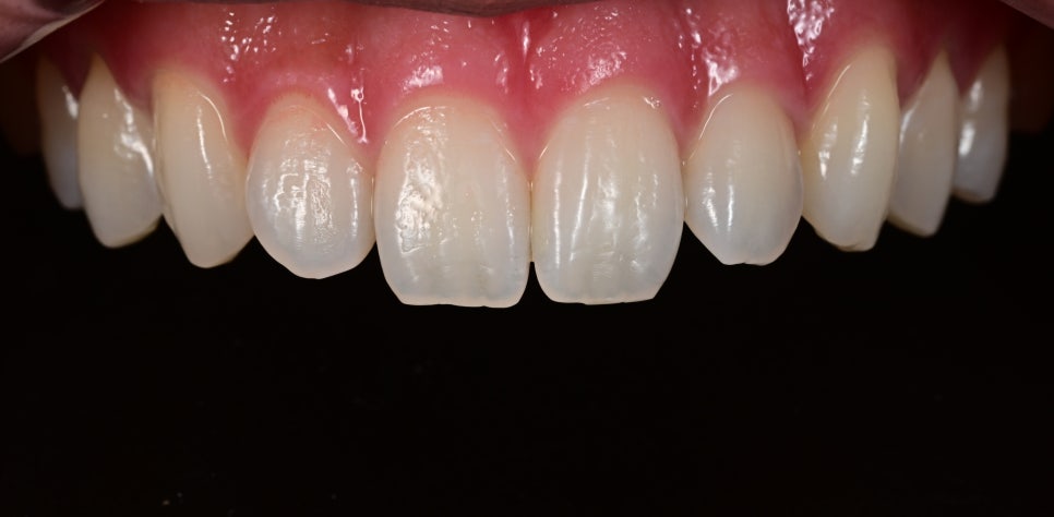
Before OVZERO treatment

After OVZERO treatment
Laminates can be cared for in a way similar to normal teeth.
Do not bite directly with the front teeth on very hard foods
If you grind or clench your teeth, wear a device
Check the gums and attachment status through regular checkups
For strongly staining drinks, clean up with brushing and mouth rinse

OVZERO laminates are not simply a treatment to make teeth “whiter,” but a treatment that improves the front tooth line naturally while preserving as much of the original feel of the teeth as possible.
By reducing the amount of reduction, reflecting individual design, and going through a meticulous fabrication process, it is an aesthetic prosthetic method that can produce natural results, which is why many patients have recently been seeking it.
Seoul OB Dental Hospital
4th and 5th Floors, 196 Baekjegobun-ro, Songpa-gu, Seoul
Phone inquiries: 02-418-2275
<KakaoTalk Channel Inquiry>
Seoul OB Dental Hospital
For the younger me ahead. We will be a partner for our patients’ healthy and beautiful oral health and facial care.
pf.kakao.com