서울오브치과병원
임플란트 가격 믿고 할만할까?
임플란트는 치아가 빠졌을 때 기능을 회복하는 가장 대표적인 방법입니다. 하지만 막상 높은 가격의 치료를 앞두면 “기간은 얼마나 걸릴까?” “붓기는 심할까?” “가격은 얼마일까?” Previous image Next image 같은 걱정이 먼저 들 수 있습니다. 오늘은 임플란트가 어떤 흐름으로 진행되는지, 그...

임플란트는 치아가 빠졌을 때
기능을 회복하는 가장 대표적인 방법입니다.
하지만 막상 높은 가격의 치료를 앞두면
“기간은 얼마나 걸릴까?”
“붓기는 심할까?”
“가격은 얼마일까?”



Previous image Next image
같은 걱정이 먼저 들 수 있습니다.
오늘은 임플란트가 어떤 흐름으로 진행되는지,
그리고 최근 서울오브치과병원에 내원하신
60대 환자 사례를 아주 살짝 참고해
임플란트 치료 과정을 알기 쉽게 정리해드립니다.
또한 글의 후반에는 서울오브치과병원이 제공하는
진료 환경과 시스템도 함께 소개해드려,
병원 선택 시 고려할 점까지 도움을 드리고자 합니다.
임플란트가 필요한 순간은 언제일까?


임플란트는 다음과 같은 상황일 때 고려됩니다.
치아가 빠지거나 흔들려서 씹기 어려울 때
오래된 보철물이 자주 깨질 때
치주염으로 치아를 더 유지하기 어려울 때
틀니가 불편하거나 더 안정적인 기능을 원할 때
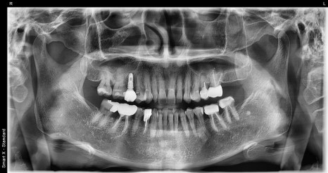
실제로 서울오브치과병원에 내원하신
60대 여성 환자분도 오른쪽 위 어금니가
계속 흔들리는 문제로 방문하셨습니다.



Previous image Next image
검사 결과 잇몸뼈가 많이 약해져 있어
자연치아 유지가 어려운 상태였고,
임플란트를 통해 기능을 회복하기로 결정하게 되었습니다.
이처럼 가격을 떠나서
잇몸뼈의 건강 상태가 임플란트 여부를
결정하는 데 가장 중요한 기준이 됩니다.
임플란트 전 검사
: 왜 CT·파노라마가 꼭 필요할까?


임플란트는 정확한 진단에서 시작됩니다.
서울오브치과병원에서는 파노라마 촬영과
CT 촬영을 통해 다음을 확인합니다.
잇몸뼈의 두께와 높이
신경의 위치
기존 염증 여부
주변 치아 상태
60대 환자분 역시 이 검사를 통해
“임플란트를 심기 전에 뼈를 보강해야 한다”는
결론을 얻었습니다.




Previous image Next image
이는 환자마다 뼈의 양 · 구조 · 잇몸 상태가
다르기 때문입니다.
같은 임플란트 가격이라도 사람마다
진행 방식이 달라질 수 있는 이유입니다.
임플란트는 이렇게 진행됩니다.

치료 기간은 보통 3개월 정도이며,
환자 상태에 따라 조금씩 달라질 수 있습니다.
전체적인 흐름은 아래와 같습니다.
① 손상된 치아 제거
필요한 경우에만 진행되며,
흔들리는 치아나 염증이 심한 치아는 먼저 제거합니다.
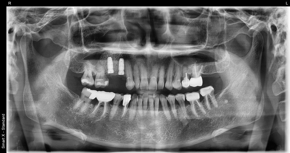
사례 환자분도 오른쪽 위 어금니 두 개를
발치한 후 다음 단계로 넘어갔습니다.
② 잇몸뼈 회복 또는 뼈 보강
잇몸뼈가 약하면 임플란트가 단단히 고정되기
어렵기 때문에 뼈를 보완하는 과정이 필요할 수 있습니다.
이는 임플란트 안정성을 높이기 위한 표준적인 과정입니다.

③ 임플란트 식립(나사 심기)
국소마취로 진행되며 비교적 짧은 시간 안에 끝납니다.
환자분들도 흔히 “생각보다 금방 끝났다”고
말씀하시는 편입니다.
위 사례에서도 두 개의 어금니 위치에
임플란트를 심는 수술이 안정적으로 마무리되었습니다.
④ 회복 기간(3~4개월)
임플란트와 잇몸뼈가 서로 잘 붙는 시간이 필요합니다.
이 기간에는 큰 통증보다는
뻐근함·붓기가 1~3일 정도 나타날 수 있으며,
대부분은 가볍게 지나갑니다.

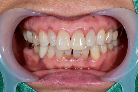
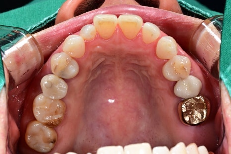
⑤ 최종 치아(크라운) 제작 및 장착
회복 후 구강스캐너로 본을 떠
개인 맞춤형 크라운을 제작합니다.
서울오브치과병원은 치과기공사가 상주하고 있어
제작과 수정이 빠르고 정밀한 것이 특징입니다.
합리적인 임플란트 가격에 수술이 가능하고

해당 환자분도 최종 보철 장착 후
“원래 내 치아 같은 느낌”이라고 말씀하셨습니다.
임플란트 후 관리
: 붓기·통증 걱정 줄이는 법




Previous image Next image
임플란트 후 초기 관리가 매우 중요합니다.
대부분은 다음과 같은 방법으로
편안하게 회복할 수 있습니다.



Previous image Next image
수술 당일 얼음찜질
자극적인 음식, 뜨거운 음식 피하기
흡연·음주 피하기
칫솔질은 부드럽게
안내받은 약은 규칙적으로 복용
붓기나 뻐근함은 자연스러운 회복 과정이며
보통 며칠 내로 줄어듭니다.




Previous image Next image
임플란트를 오래 사용하는 관리법
임플란트도 치아와 같습니다.
관리만 잘하면 오래 사용할 수 있으며,
관리가 부족하면 염증이 생길 수 있습니다.



Previous image Next image
가장 중요한 관리법은 크게 세 가지입니다.
-
정기 스케일링(3~6개월)
-
치실·치간칫솔 사용
-
정기검진을 통한 임플란트 주변 잇몸 체크
사례 환자분도 현재 3개월 주기
검진을 진행하며 적응 상태를 확인하고 있습니다.
서울오브치과병원이
임플란트 치료에 신경 쓰는 부분

서울오브치과병원은 송파·잠실 지역에
위치한 대형 치과병원으로
서울대 출신 전문의 4인 진료
전 직원 치과위생사
상주 치과기공사 운영(원내 기공소)
CT·구강스캐너·구강내시경 보유
외국인 진료 가능
무료 주차
네이버 톡톡·카카오톡 상담 가능
등의 시스템을 갖추고 있습니다.
임플란트 가격이 걱정되시거나
잦은 통증으로 힘드신 분들은
주저 없이 상담 받아보시기를
추천드립니다.
서울오브치과병원 서울특별시 송파구 백제고분로 196 4층, 5층
전화문의 02-418-2275
<카카오채널문의>
서울오브치과병원 젊어질 나를 위해. 환자분들의 건강하고 아름다운 구강과 얼굴을 위한 파트너가 되겠습니다.
pf.kakao.com
Explore More
Keep Browsing This Clinic's Korean Content Trail.
Return to the source archive for more posts, or move back to the clinic profile to compare the rest of the clinic's public channels.