
An implant is the most representative way to restore function
when a tooth is lost.
But when you are facing a treatment with a high price,
“How long will it take?”
“Will the swelling be severe?”
“What will the price be?”



Previous image
Next image
These are the same concerns that may come to mind first.
Today, we’ll explain how implant treatment progresses
and, by lightly referring to a case of a patient in their 60s
who recently visited Seoul Oue Dental Hospital,
we’ll organize the implant treatment process in an easy-to-understand way.
In the latter part of the article, we will also introduce
the treatment environment and system provided by Seoul Oue Dental Hospital,
so that this can also help you consider what to look for when choosing a hospital.
When is an implant needed?


Implants are considered in the following situations.
When a tooth is lost or loose and chewing is difficult
When old prosthetics break frequently
When it is difficult to keep a tooth due to periodontal disease
When dentures are uncomfortable or you want more stable function
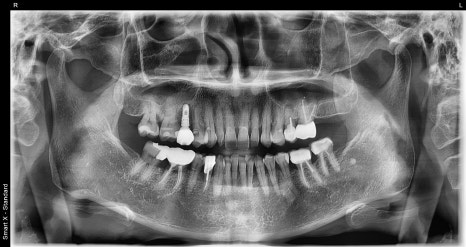
In fact, a female patient in her 60s who visited Seoul Oue Dental Hospital
came in because the upper right molar area kept becoming loose.



Previous image
Next image
The examination showed that the jawbone had weakened significantly,
making it difficult to preserve the natural tooth,
and it was decided to restore function through implants.
In this way, beyond price,
the health of the jawbone is the most important criterion
for deciding whether an implant is possible.
Pre-implant examination
: Why are CT and panoramic scans essential?


Implant treatment starts with an accurate diagnosis.
At Seoul Oue Dental Hospital, panoramic imaging and
CT scans are used to check the following:
The thickness and height of the jawbone
The location of nerves
Whether there is existing inflammation
The condition of surrounding teeth
The patient in their 60s also learned through these tests
that “the bone needs to be reinforced before placing the implant.”




Previous image
Next image
This is because the amount, structure, and gum condition of the bone
are different for each patient.
This is why, even with the same implant price,
the treatment approach can differ from person to person.
This is how implants are performed.

The treatment period is usually about 3 months,
and it may vary slightly depending on the patient’s condition.
The overall process is as follows.
① Removal of the damaged tooth
This is done only when necessary,
and loose teeth or teeth with severe inflammation are removed first.
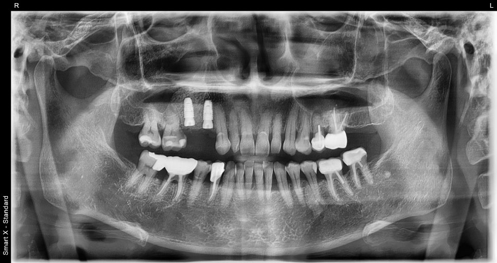
In the case example, the two upper right molars were extracted
before moving on to the next step.
② Recovery of the jawbone or bone grafting
If the jawbone is weak, it may be difficult for the implant to be firmly fixed,
so a bone supplementation process may be needed.
This is a standard procedure to improve implant stability.

③ Implant placement (screw insertion)
This is performed under local anesthesia and finishes in a relatively short time.
Patients often say, “It ended faster than I expected.”
In this case as well, the surgery to place implants in the positions of the two molars
was completed stably.
④ Recovery period (3–4 months)
The implant and jawbone need time to bond well with each other.
During this period, rather than severe pain,
stiffness and swelling may appear for about 1–3 days,
and in most cases they pass mildly.

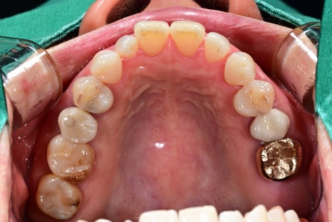
⑤ Fabrication and placement of the final tooth (crown)
After recovery, an impression is taken with an intraoral scanner
to make a custom crown.
Seoul Oue Dental Hospital has an in-house dental technician,
which is characterized by fast and precise fabrication and modifications.
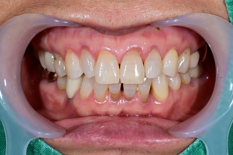
Implant surgery is possible at a reasonable price

After the final prosthetic was placed,
the patient said it felt “like my original tooth.”
Post-implant care
: How to reduce concerns about swelling and pain




Previous image
Next image
Initial care after an implant is very important.
Most people can recover comfortably
by following the methods below.



Previous image
Next image
Apply an ice pack on the day of surgery
Avoid spicy foods and hot foods
Avoid smoking and drinking alcohol
Brush gently
Take the prescribed medication regularly
Swelling and stiffness are natural parts of recovery and
typically decrease within a few days.




Previous image
Next image
How to care for implants so they last a long time
Implants are like teeth.
If you care for them properly, they can be used for a long time,
and if care is lacking, inflammation can occur.



Previous image
Next image
The three most important care methods are:
-
Regular scaling (every 3–6 months)
-
Use of floss and interdental brushes
-
Checking the gum around the implant through regular examinations
The patient in the case is also currently undergoing checkups every 3 months
to monitor how well they are adjusting.
What Seoul Oue Dental Hospital focuses on in implant treatment

Seoul Oue Dental Hospital is a large dental hospital located in the Songpa and Jamsil area,
and it has the following system:
4 specialists from Seoul National University
All staff are dental hygienists
In-house dental technician system (on-site dental lab)
CT, intraoral scanner, and intraoral endoscope available
Treatment available for foreign patients
Free parking
Naver TalkTalk and KakaoTalk consultation available
If you are worried about implant prices
or having a hard time because of frequent pain,
we recommend that you get a consultation without hesitation.
Seoul Oue Dental Hospital
4th and 5th Floors, 196 Baekjegobun-ro, Songpa-gu, Seoul
Phone inquiry: 02-418-2275
<Inquiries via Kakao Channel>
Seoul Oue Dental Hospital
For the younger me. We will be your partner for healthy and beautiful oral health and facial care for our patients.
pf.kakao.com