서울오브치과병원
송파 치과, 70대 남성 보도블럭에서 넘어져 열상 봉합 및 임플란트 수술
안녕하세요! 서울오브치과병원입니다. 오늘은 70대 남성 환자분이 길을 걷다 보도블럭에서 넘어지며 얼굴에 열상과 치아 손상을 입어 본원에서 열상 봉합술과 다수의 임플란트 수술을 진행한 사례를 소개해드리겠습니다. 초진 내원 당시 앞으로 넘어지면서 인중이 찢어졌어요 환자분은 길을 걷다가 보도블럭에 걸려 앞으로 넘어지면서 얼...

안녕하세요!
서울오브치과병원입니다.
오늘은 70대 남성 환자분이 길을 걷다 보도블럭에서 넘어지며 얼굴에 열상과 치아 손상을 입어
본원에서 열상 봉합술과 다수의 임플란트 수술을
진행한 사례를 소개해드리겠습니다.
초진 내원 당시

앞으로 넘어지면서 인중이 찢어졌어요
환자분은 길을 걷다가 보도블럭에 걸려 앞으로 넘어지면서 얼굴이 땅에 부딪혀 입술과 잇몸이 찢어지고
치아 여러 개가 손상된 상태로 내원하셨습니다.
앞니와 어금니가 깨지고 잇몸까지 찢어져서 음식도 못 먹고 외모도 너무 신경 쓰인다
긴급 진료를 원하셨습니다.
진단결과

정밀 진단 결과
입술·잇몸 열상 → 봉합술 필요
상악 앞니파절 및 발치 필요
하악 앞니 손상으로 발치 필요
잇몸과 치조골 상태는 전반적으로 양호하여
임플란트 식립 가능이라는 결과가 나왔습니다.

치료계획


1.응급 열상 봉합술 진행
2.손상된 치아 발치 및 잇몸 정리
3.임플란트 5개 식립
4.치유 기간 후 맞춤 보철물 장착

치료과정
치료기간: 2025년 3월 12일 ~ 2025년 9월 1일 (약 6개월)

① 응급 열상 봉합술
– 입술과 잇몸이 찢어진 부위를
깨끗하게 소독한 후 봉합했습니다.
– 감염을 예방하기 위해
항생제와 소염제를 병행했습니다.

열상부위 회복 된 사진
② 외상부위 회복 후 임플란트 식립
– 파절된 앞니와 하악 치아를 발치하고
주변 잇몸을 정리해 감염 위험을 줄였습니다.

③ 임플란트 식립 (총 5개)
– 여러 부위에 5개의 임플란트를 심었습니다.
– 일부 부위는 뼈 두께가 부족해
뼈이식(동종골 이식)을 병행했습니다.
– 디지털 장비를 통해 정확한 위치와 각도로 식립하여
심미성과 기능을 동시에 확보했습니다.
④ 치유 기간 (약 4개월)
– 연령을 고려해 충분한 안정 기간을 두었고
정기 내원 시 엑스레이와 잇몸 상태를 점검했습니다.

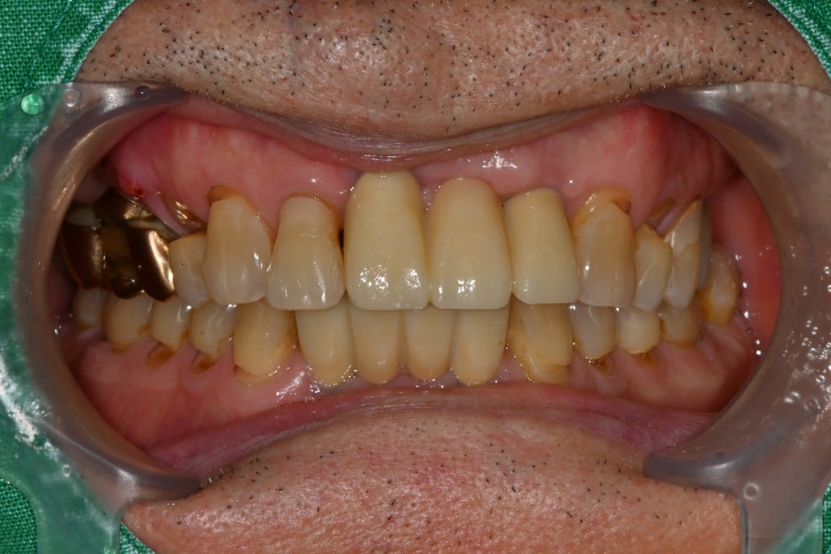
⑤ 보철물 제작 및 장착
– 원내 기공소에서 지르코니아 크라운을
맞춤 제작했습니다.
– 앞니는 자연스럽고 밝은 톤, 어금니는 강도와 내구성을
고려하여 제작했습니다.

치료결과

치료를 마친 환자분은
앞니가 다시 복원되어 웃을 때
자신감이 생겼고, 음식도 편하게
씹을 수 있게 되었어요.

크게 만족하셨습니다.
또한 얼굴 상처도 흉터가 최소화되어
주변에서 사고 흔적을 거의 알아보지 못했다고 하셨습니다.
자주 묻는 질문

Q1. 넘어져서 치아가 부러지면 무조건 뽑아야 하나요?
👉 아닙니다!
치아 뿌리가 건강하면 살릴 수 있지만
신경 손상이나 파절이 심하면
발치 후 임플란트가 필요할 수 있습니다.
Q2. 열상 봉합은 치과에서도 가능한가요?
👉 네!
서울오브치과병원은 구강악안면외과
전문의가 상주해 응급 외상 봉합이 가능합니다.
Q3. 고령자도 임플란트 수술이 안전한가요?
👉 네!
70대 이상도 충분히 가능합니다.
본원은 응급 장비와 전신 모니터링
시스템을 갖추고 있어 안전하게 수술할 수 있습니다.
Q4. 임플란트 치료 기간은 얼마나 걸리나요?
👉 보통 3~6개월 소요됩니다.
회복기간에 따라 달라질 수 있습니다.

이번 사례처럼 길을 걷다 넘어지면서 치아와
얼굴에 외상을 입은 경우, 신속하고
전문적인 처치가 무엇보다 중요합니다.
서울오브치과병원은 응급 외상 치료부터
임플란트 수술까지 한 곳에서 진행할 수 있는
전문성과 시스템을 갖추고 있어
고령 환자분들도 안전하게 치료받으실 수 있습니다.
본 글에 사용된 모든사진은
서울오브치과병원에서 치료한 증례 사진이며
환자분 동의하에 치과 의료에 대한
정보를 제공하기 위해 포스팅 하였습니다.
서울오브치과병원 서울특별시 송파구 백제고분로 196 4층, 5층
Explore More
Keep Browsing This Clinic's Korean Content Trail.
Return to the source archive for more posts, or move back to the clinic profile to compare the rest of the clinic's public channels.