
Hello!
This is Seoul Ob Dental Hospital.
Today, we will introduce a case in which a male patient in his 70s fell while walking on a sidewalk block, sustaining facial lacerations and tooth damage,
and received laceration suturing and multiple implant surgeries at our hospital.
At the time of the first visit

I fell forward and tore the area under my nose
The patient tripped on a sidewalk block while walking, fell forward, and hit his face on the ground, resulting in torn lips and gums
and damage to several teeth when he visited our hospital.
The front teeth and molars were broken, and even the gums were torn, so I couldn’t eat and I was very concerned about my appearance.
He requested urgent treatment.
Diagnostic results

As a result of the detailed examination,
Lip and gum lacerations → suturing required
Fracture of the maxillary front teeth and extraction required
Damage to the mandibular front teeth requiring extraction
The overall condition of the gums and alveolar bone was good,
and the result indicated that implant placement was possible.

Treatment plan


-
Emergency laceration suturing
-
Extraction of damaged teeth and gum cleaning
-
Placement of 5 implants
-
Fitting of custom prosthetics after the healing period

Treatment process
Treatment period: March 12, 2025 ~ September 1, 2025 (about 6 months)

① Emergency laceration suturing
– After thoroughly disinfecting the torn areas of the lips and gums,
we sutured them.
– To prevent infection,
antibiotics and anti-inflammatory medication were used together.

Photo of the healed laceration area
② Implant placement after recovery of the traumatized area
– The fractured front teeth and mandibular teeth were extracted,
and the surrounding gums were cleaned to reduce the risk of infection.

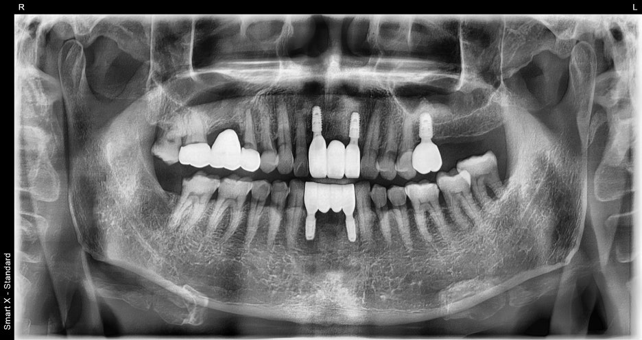
③ Implant placement (5 in total)
– Five implants were placed in multiple areas.
– In some areas, the bone thickness was insufficient,
so bone grafting (allograft) was performed together.
– Using digital equipment, the implants were placed at precise positions and angles,
securing both aesthetics and function.
④ Healing period (about 4 months)
– Considering the patient’s age, we allowed 충분한? (Wait translation must be English only) sufficient stability time,
and at each regular visit, we checked X-rays and gum condition.

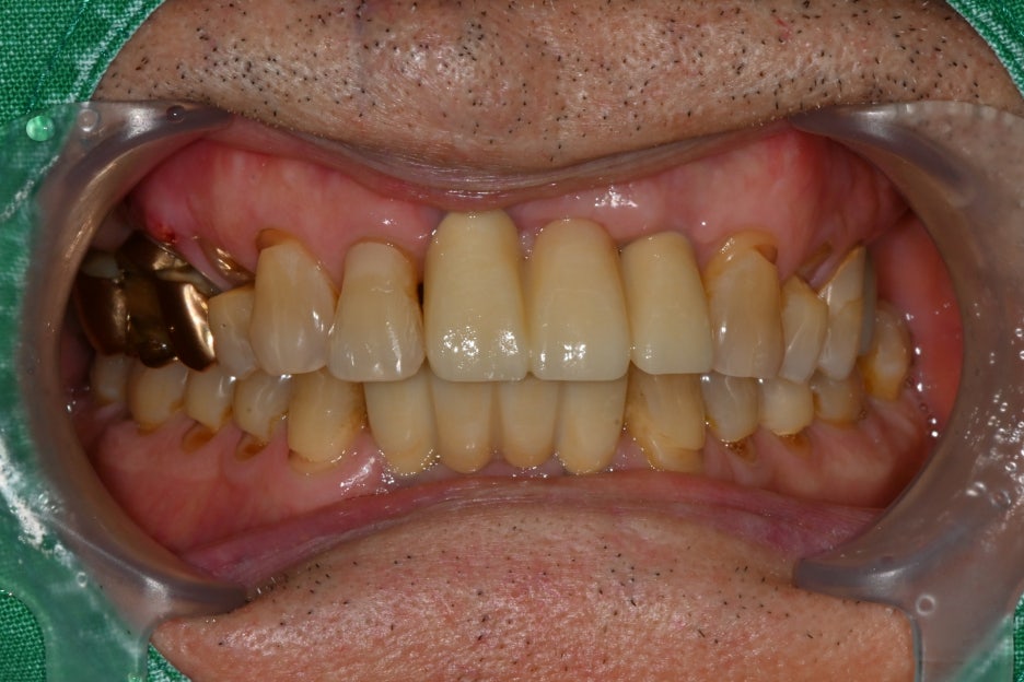
⑤ Prosthetic fabrication and placement
– Zirconia crowns were custom-made in our in-house laboratory.
– The front teeth were made in a natural and bright tone, while the molars were made with strength and durability in mind.

Treatment results

After completing treatment, the patient
regained his front teeth, which gave him more confidence when smiling,
and he was able to chew food comfortably again.

He was very satisfied.
Also, the facial wound healed with minimal scarring,
and he said people around him could hardly tell that an accident had occurred.
Frequently asked questions

Q1. If a tooth breaks from a fall, does it always have to be extracted?
👉 No!
If the tooth root is healthy, it can be saved,
but if nerve damage or fracture is severe,
extraction followed by implants may be necessary.
Q2. Can laceration suturing be done at a dental clinic?
👉 Yes!
Seoul Ob Dental Hospital has an oral and maxillofacial
specialist on site, so emergency trauma suturing is possible.
Q3. Is implant surgery safe for older adults?
👉 Yes!
It is fully possible even for patients in their 70s and older.
Our hospital is equipped with emergency equipment and a full-body monitoring
system, allowing surgery to be performed safely.
Q4. How long does implant treatment take?
👉 Usually 3 to 6 months.
It may vary depending on the recovery period.

In cases like this, where a person falls while walking and sustains trauma to the teeth and
face, prompt and
specialized care is more important than anything else.
Seoul Ob Dental Hospital has the expertise and system to provide everything from emergency trauma treatment to
implant surgery in one place,
so older patients can also receive treatment safely.
All photos used in this post
are case photos of treatment performed at Seoul Ob Dental Hospital, and they were posted with the patient’s consent
to provide information about dental care.
Seoul Ob Dental Hospital
4th and 5th Floors, 196 Baekjegobun-ro, Songpa-gu, Seoul