서울오브치과병원
송파 치과, 20대 여성 앞니 부러짐 신경치료 후 크라운 수복 사례
안녕하세요! 서울오브치과병원입니다. 오늘은 20대 여성 환자분이 넘어지면서 앞니 4개가 부러져 신경치료 후 크라운으로 수복한 사례를 소개해드리겠습니다. 앞니는 심미적으로도 중요하고 기능적으로도 발음과 저작에 큰 역할을 하기 때문에 환자분의 심리적 부담이 큰 케이스였습니다. 초진 내원 당시 넘어지면서 앞니가 부러졌어...

안녕하세요!
서울오브치과병원입니다.
오늘은 20대 여성 환자분이 넘어지면서
앞니 4개가 부러져 신경치료 후 크라운으로
수복한 사례를 소개해드리겠습니다.
앞니는 심미적으로도 중요하고
기능적으로도 발음과 저작에 큰 역할을 하기 때문에
환자분의 심리적 부담이 큰 케이스였습니다.

초진 내원 당시

넘어지면서 앞니가 부러졌어요.
외모도 걱정이고,
먹을 때도 너무 불편해요
라는 이유로 내원하셨습니다.
특히 20대 젊은 여성 환자분이라
심미적인 회복을
가장 중요하게 생각하셨습니다.

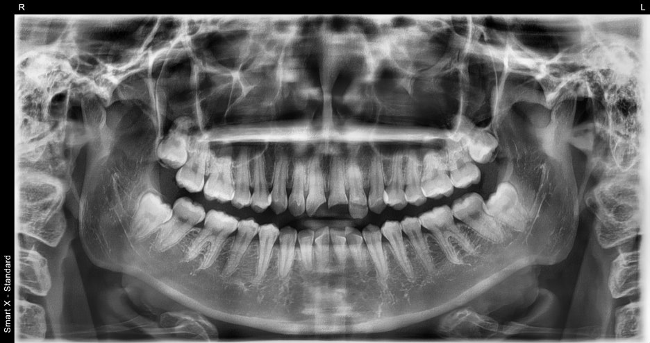
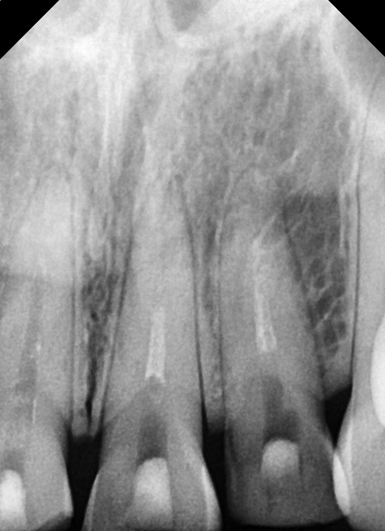
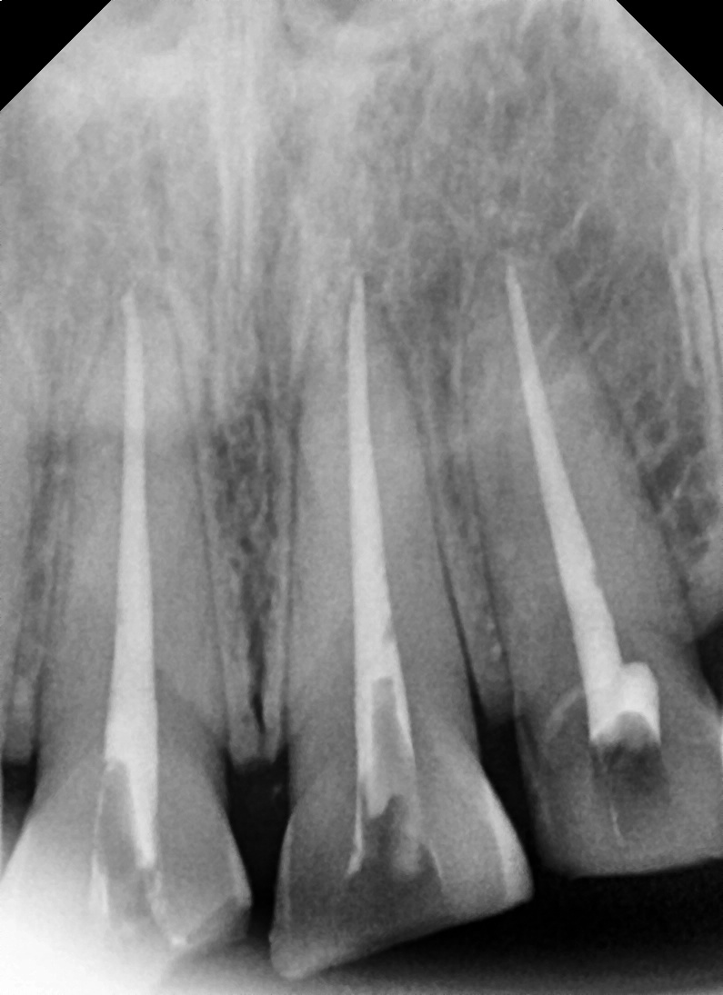
진단 결과



상악 앞니 4개 치아 파절 확인되었으며
일부 치아는 신경이 노출되어 신경치료 필요하고,
심한 변색과 파절로 인해 단순 레진 수복보다는
크라운 수복이 적합하다고 판단하였습니다.

치료과정
치료기간: 2025년 7월 18일 ~ 2025년 8월 8일 (약 3주)


① 신경치료
– 치아 내부에 염증과 손상된 신경을 제거하고,
치근관 치료를 통해 감염을 막았습니다.
② 치아 형태 다듬기
– 크라운이 잘 맞도록 치아를 다듬은 후
임시 보철물을 장착했습니다.

③ 최종 크라운 제작
– 병원 내 기공소에서 지르코니아
크라운을 맞춤 제작했습니다.
– 환자분이 원하시는 밝고 자연스러운 색상을
반영했습니다.
④ 최종 장착

– 교합(물림)과 발음을 세밀하게 체크하여
불편함 없이 마무리했습니다.

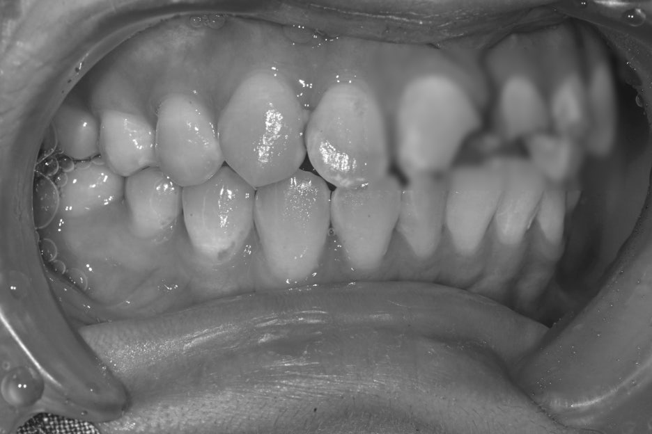
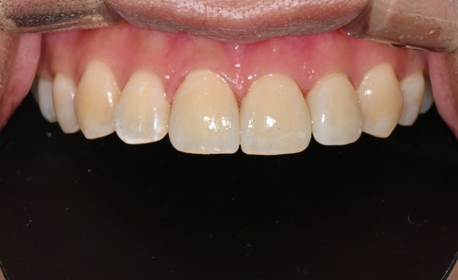
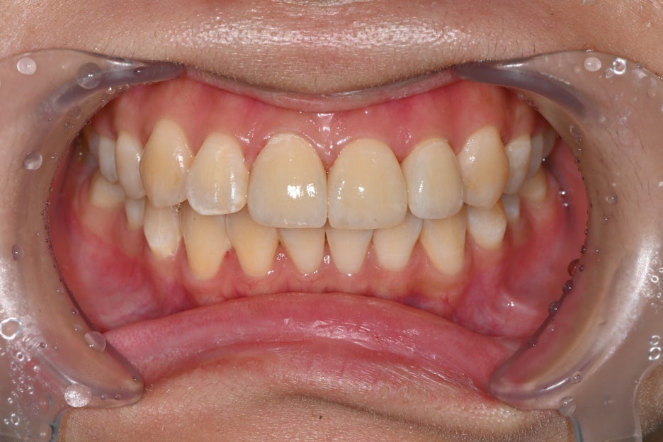
치료 전 후 사진


치료전, 치료후 사진
치료 후 환자분은
“앞니가 다시 가지런해져서 웃을 때
자신감이 생겼다”
며 만족감을 표현하셨습니다.
또한 주변 지인들이 자연스럽다고 말해주어
더욱 안심하셨습니다.

자주 묻는 질문
Q1. 앞니가 부러졌을 때 무조건 임플란트를 해야 하나요?
👉 아닙니다!
치아 뿌리가 건강하다면 신경치료와
크라운만으로도 충분히 살릴 수 있습니다.
Q2. 크라운은 어떤 재료로 만드나요?
👉 본원에서는 주로 지르코니아 크라운을 사용합니다.
강도가 높고, 색상이 자연스러워 앞니에도 적합합니다.
Q3. 신경치료 후에도 치아를 오래 쓸 수 있나요?
👉 네!
적절한 보철 수복과 관리가 병행되면 수십 년간
사용 가능합니다.
Q4. 치료 기간은 얼마나 걸리나요?
👉 신경치료 후 치유 기간을 포함해
약 3~4주 정도 소요됩니다.

이번 사례처럼
앞니 부러짐은 단순한 미용 문제가 아니라
기능적 회복까지 고려해야 하는 중요한 치료입니다.
서울오브치과병원은 전문의 협진 체계와
기공소 시스템을 통해 빠르고
정밀하게 치료를 진행합니다.
환자분 개개인의 얼굴 비율과
치아 색상을 반영해
자연스러운 심미성과 기능성을
동시에 회복시켜 드립니다.

Explore More
Keep Browsing This Clinic's Korean Content Trail.
Return to the source archive for more posts, or move back to the clinic profile to compare the rest of the clinic's public channels.