
Hello!
This is Seoul Ode Dental Hospital.
Today, we’d like to introduce a case of a woman in her 20s who fell and broke four front teeth, then underwent root canal treatment followed by crown restoration.
Front teeth are important both aesthetically and functionally, as they play a major role in speech and chewing, so this was a case with a significant psychological burden for the patient.

At the first visit

“I fell and broke my front teeth.
I’m worried about how I look,
and eating is very uncomfortable.”
She visited the clinic for these reasons.
Since she was a young woman in her 20s,
she was especially concerned with
aesthetic recovery.

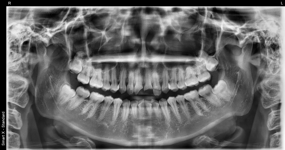
Diagnostic results



Fractures were confirmed in four maxillary front teeth.
Some teeth had exposed pulp and required root canal treatment,
and due to severe discoloration and fracture, we determined that
a crown restoration would be more appropriate than a simple resin restoration.

Treatment process
Treatment period: July 18, 2025 ~ August 8, 2025 (about 3 weeks)


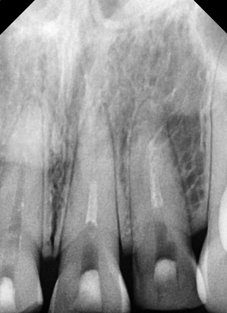
① Root canal treatment
– Removed inflammation and damaged pulp inside the tooth,
and prevented infection through root canal therapy.
② Tooth shaping
– After shaping the tooth so the crown would fit properly,
we placed a temporary restoration.

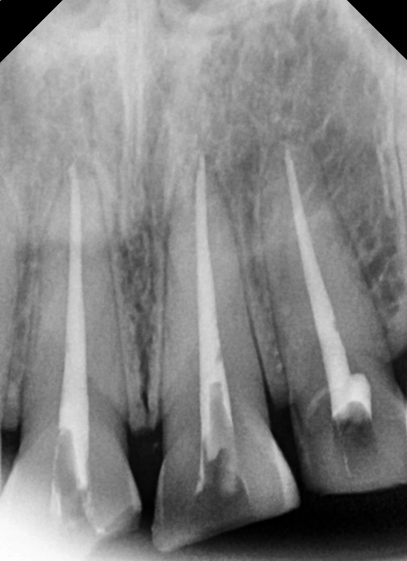
③ Final crown fabrication
– A zirconia crown was custom-made in the hospital’s in-house lab.
– We reflected the bright, natural color desired by the patient.
④ Final placement

– We carefully checked the bite and pronunciation,
and completed the treatment without discomfort.

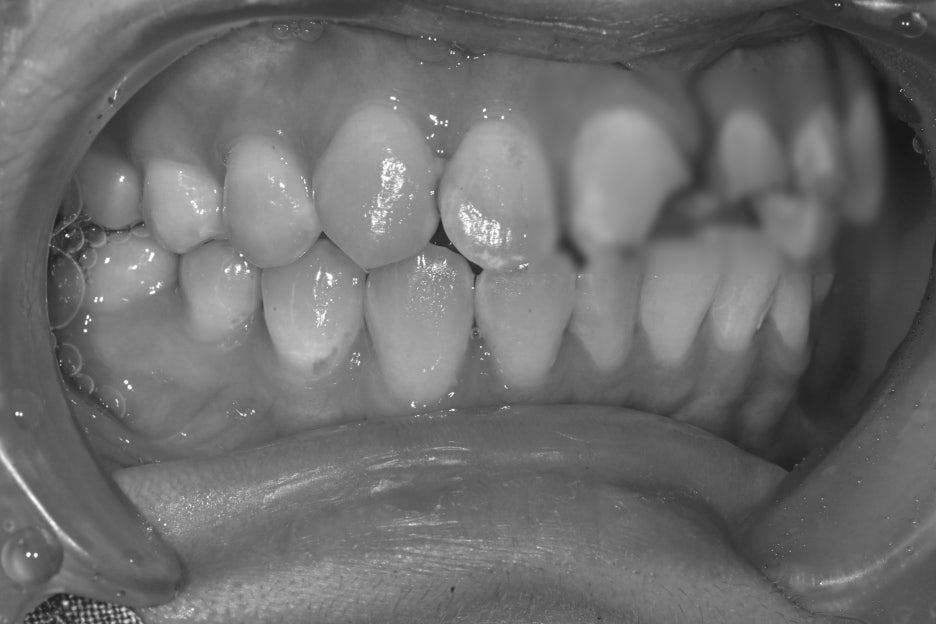
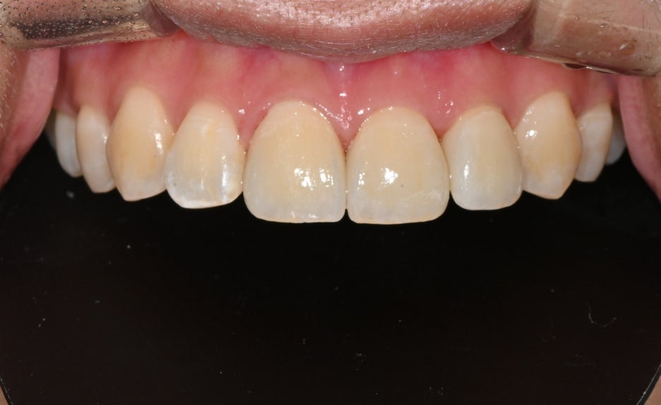
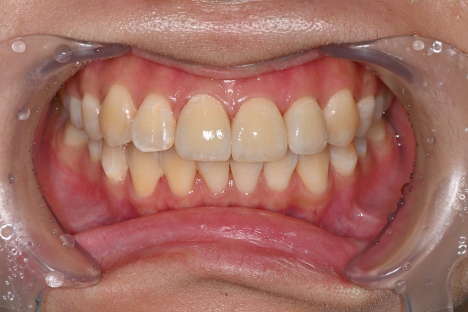
Before and after treatment photos


Photos before and after treatment
After treatment, the patient said,
“Now my front teeth are aligned again, so I feel more confident when smiling,”
and expressed satisfaction.
She also felt more reassured because people around her said it looked natural.

Frequently Asked Questions
Q1. If a front tooth is broken, do I have to get an implant?
👉 No!
If the tooth root is healthy, it can often be saved with just root canal treatment and a crown.
Q2. What material are crowns made from?
👉 At our clinic, we mainly use zirconia crowns.
They are strong and naturally colored, making them suitable for front teeth as well.
Q3. Can a tooth still be used for a long time after root canal treatment?
👉 Yes!
With proper prosthetic restoration and care, it can be used for decades.
Q4. How long does treatment take?
👉 Including the healing period after root canal treatment,
it usually takes about 3 to 4 weeks.

Like this case,
a broken front tooth is not just a cosmetic issue,
but an important treatment that must also consider functional recovery.
Seoul Ode Dental Hospital provides fast and precise treatment
through a specialist collaboration system and
an in-house lab system.
By reflecting each patient’s facial proportions and
tooth color,
we restore natural aesthetics and function
at the same time.
