서울오브치과병원
라미네이트 가격 비교 전 꼭 알아야 할 기준|오브제로
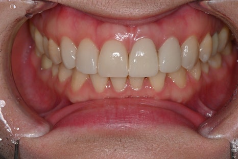
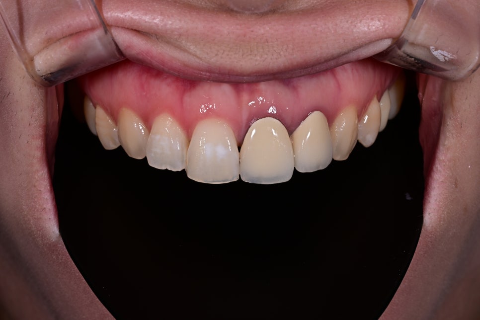
앞니 심미치료를 고민하는 분들 중에는 ‘ 내 치아가 너무 인위적으로 보이지 않을까’, ‘ 치아 삭제가 걱정된다’는 이유로 쉽게 결정을 내리지 못하는 경우가 많습니다. 치료 전, 후 비교 <BEFORE> <AFTER> 서울오브치과병원에서는 이러한 고민을 줄이기 위해 자연스러움과 최소한의 삭제(미세삭제)를 가장...

앞니 심미치료를 고민하는 분들 중에는 ‘
내 치아가 너무 인위적으로 보이지 않을까’, ‘
치아 삭제가 걱정된다’는 이유로
쉽게 결정을 내리지 못하는 경우가 많습니다.

치료 전, 후 비교
<BEFORE>

<AFTER>


서울오브치과병원에서는 이러한 고민을 줄이기 위해
자연스러움과 최소한의 삭제(미세삭제)를
가장 우선으로 하는 ‘오브제로 라미네이트’를
진행하고 있으며, 많은 환자분들이
본인의 치아와 조화로운 결과를 경험하고 있습니다.
최근 내원하신 30대 여성 환자분 역시
기존 앞니 보철의 색과 모양이 마음에 들지 않아
재치료와 함께 무삭제에 가까운
오브제로 라미네이트 상담을 원하셨습니다.

초진 내원 당시


환자분은 기존 크라운이 변색되고
잇몸과의 경계도 자연스럽지 않아
일상적인 대화나 사진 촬영에서
항상 신경을 쓰고 있었던 상태였습니다.

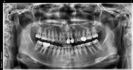
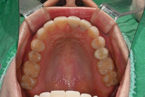
초진 시 파노라마와 구강 사진을 촬영해
전체 치아 상태를 확인했고,
특히 앞니 라인의 색·투명도·대칭이
전체적인 인상을 좌우하고 있어
라미네이트와 전치부 크라운을 조합한
설계가 가장 적합하다고 판단했습니다.

오브제로 라미네이트는 왜 자연스러운가
일반 라미네이트는 밝고 하얀 색만
강조되다 보니 주변 치아와 조화가
맞지 않는 경우가 적지 않습니다.
반면 서울오브치과병원의 오브제로는
세 가지 원칙을 기준으로 디자인합니다.

- 미세삭제 기반의 보존적 디자인
치아 본연의 형태를 최대한 보존하면서
필요한 부위만 미세하게 다듬어
자연스러운 윤곽을 유지합니다.
삭제량이 적기 때문에
시술 후에도 치아의 두께감이나
이질감이 크게 줄어듭니다.

- 실제 치아의 투명도와 층을 고려한 쉐이드 디자인
환자 개개인의 치아는 밝기뿐 아니라
뒤쪽에서 비치는 투명도,
절단면의 레이어 등이 모두 다릅니다.
오브제로는 이러한 '치아층 구조'를
기공 과정에서 그대로 재현해,
자연광에서도 티 나지 않는 결과를 만들어냅니다.

- 원내 기공 시스템의 강점
서울오브치과병원은 상주 기공사와
자체 기공소를 운영하고 있어,
시술한 원장이 기공사와 직접 소통하며
미세한 조정까지 가능하다는 점이 큰 장점입니다.
환자분의 입술·윗니 라인·웃을 때 보이는 범위까지
고려해 작은 디테일까지 맞춰갑니다.
크라운 재제작을 동반한 오브제로시술



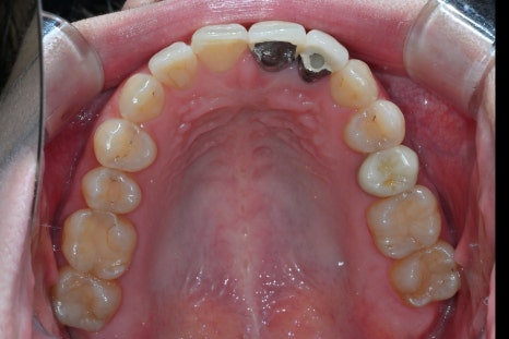
이 케이스에서는 총 6개 영역을 디자인했습니다.
오브제로 퓨어는 자연광에서의 재현력이 좋고,
지르코니아 크라운은 강도와 색 안정성이 높아
앞니 기능 회복과 심미를 함께 잡을 수 있는 조합입니다.
1.기존 크라운 제거 후 치아 상태 재확인


변색과 경계 문제를 해소하기 위해 기존 보철물 제거 후 잇몸 라인과 치아 모양을 새롭게 설계했습니다.
2.오브제로 퓨어 라미네이트 4개 지대치 형성 및 스캔


가능한 범위 내에서 삭제량을 줄였고, 구강스캐너로 정확한 형태를 채득했습니다.
3.전치부 크라운 2개 디자인 및 인상 채득
앞니 중심축과 교합 높이를 정확하게 형성했습니다.

4.임시치아 장착 후 기능·발음·심미 체크
환자분의 말하기 습관, 미소선, 발음 시 바람 빠짐
등을 꼼꼼히 확인했습니다.
5.최종 보철물 장착 및 오브제로 세팅


치료 당일, 전체 교합·색상·광택을 조정한 후 영구 접착
을 완료했습니다.
6.1주 후 Follow-up 점검


교합 안정도, 잇몸 적응 여부 등을 체크했고,
모든 영역에서 양호한 결과를 확인했습니다.

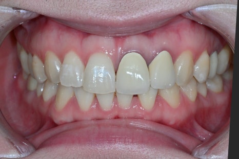
치료 전, 후 비교
<BEFORE>

<AFTER>

환자분은 가장 먼저 색의 자연스러움을 이야기하셨습니다.
기존 크라운은 주변 치아 대비 밝기 차이가 있어
‘덧씌운 티’가 난다고 표현하셨는데,
새로 디자인한 오브제로는 맨 얼굴에서도
어색함이 없고 자기 치아 같은 느낌이라고
평가해주셨습니다.

또한 절단면의 자연스러운 투명도와 볼륨감이 생기며,
웃을 때 입술 라인과 어울리는 조화가
크게 개선되었습니다.
사진 촬영 시에도 더 자연스럽게 보인다 말씀하셨습니다.
오브제로 라미네이트가 필요한 경우

-
기존 보철물 색이 너무 밝거나 어둡게 변색된 경우
-
치아 삭제가 두려워 최소 침습 치료를 원할 때
-
웃을 때 보이는 자연스러운 치열을 만들고 싶은 경우
-
잇몸 라인과 조화를 이루는 심미치료가 필요할 때
-
사진·영상 촬영이 잦아 자연스러운
-
화이트닝 효과가 필요할 때
서울오브치과병원의 라미네이트의 장점

서울오브치과병원은
서울대 출신 구강악안면외과·보철과 전문의 4인 협진,
전 직원 전문 치과위생사 구성,
상주 치과기공사·원내 기공소 운영,
구강스캐너·구강내시경 등 첨단 장비 보유,
외국인 진료 가능,
무료 주차 가능,
네이버·카카오톡 상담 가능
이라는 체계 아래 정교한 심미 디자인을 진행합니다.
특히 보철과 전문의가 직접 치아 디자인과 교합을 조정하고, 기공사가 즉시 수정할 수 있는 시스템은 자연스러운 라미네이트 유지력과 완성도에서 큰 차이를 만듭니다.

앞니는 얼굴의 중심이며, 작은 변화만으로도
인상이 크게 달라집니다.
오브제로 라미네이트는 과한 하얀색을 추구하기보다
본래의 치아처럼 자연스럽고 건강해 보이는 결과를
만드는 데 집중합니다.
이번 사례처럼 기존 보철물로 불편함을 겪고 계시다면,
전문의와 함께 정확한 진단을 통해 자신에게 맞는
심미치료를 계획해보시는 것을 추천드립니다.
서울오브치과병원 서울특별시 송파구 백제고분로 196 4층, 5층
Explore More
Keep Browsing This Clinic's Korean Content Trail.
Return to the source archive for more posts, or move back to the clinic profile to compare the rest of the clinic's public channels.