
Among those considering aesthetic treatment for the front teeth, many have difficulty making a decision because of concerns such as,
“Will my teeth look too artificial?” or
“I’m worried about tooth reduction.”

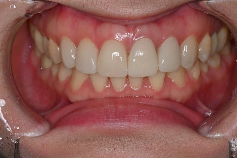
Comparison before and after treatment
<BEFORE>

<AFTER>


At Seoul Ob Dental Hospital, to reduce these concerns,
we provide “OBZERO Laminate,” which prioritizes
natural appearance and minimal reduction (micro-reduction),
and many patients experience results that harmonize
with their own teeth.
A female patient in her 30s who recently visited us also
was not satisfied with the color and shape of her existing front-tooth restoration
and wanted a consultation for OBZERO Laminate,
with treatment that was as close to no-prep as possible.

At the first visit


The patient’s existing crown had become discolored,
and the border with the gums was not natural,
so she was always conscious of it in daily conversations
and when taking photos.

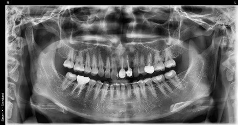
At the first visit, a panoramic image and oral photos were taken
to check the overall dental condition,
and because the color, translucency, and symmetry of the front tooth line
had a major impact on the overall impression,
we determined that a design combining laminate and anterior crowns
would be the most suitable.

Why is OBZERO Laminate natural?
Conventional laminate often emphasizes only a bright white color,
so it is not uncommon for it to fail to harmonize
with the surrounding teeth.
By contrast, OBZERO at Seoul Ob Dental Hospital
is designed according to three principles.

- Conservative design based on micro-reduction
While preserving the natural shape of the tooth as much as possible,
the necessary areas are delicately refined,
maintaining a natural contour.
Because the amount of reduction is small,
the thickness of the tooth and any sense of incongruity
are greatly reduced even after the procedure.

- Shade design considering the translucency and layers of real teeth
Each patient’s teeth differ not only in brightness,
but also in the translucency seen from the back
and the layering of the incisal edge.
OBZERO reproduces this “tooth layer structure”
as is during the lab process,
creating results that do not stand out even in natural light.

- Strength of the in-house lab system
Seoul Ob Dental Hospital operates with an in-house dental technician
and its own dental lab, which is a major advantage because
the treating doctor can communicate directly with the technician
and make even fine adjustments.
Small details are adjusted while considering the patient’s lips,
the upper tooth line, and the visible area when smiling.
OBZERO treatment involving crown remakes



In this case, a total of 6 areas were designed.
OBZERO Pure has excellent reproduction under natural light,
and zirconia crowns offer high strength and color stability,
making it a combination that can achieve both anterior function restoration
and esthetics.
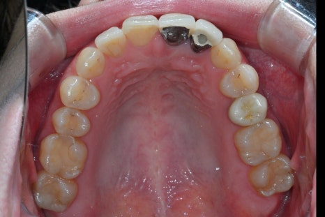
- Rechecking the tooth condition after removing the existing crown


To resolve discoloration and border issues, the existing restoration was removed,
and the gum line and tooth shape were newly designed.
- Shaping and scanning 4 abutments for OBZERO Pure laminate


Within the possible range, the amount of reduction was minimized,
and the exact form was captured with an intraoral scanner.
- Designing 2 anterior crowns and taking impressions
The central axis of the front teeth and the bite height were accurately established.

- Checking function, speech, and esthetics after placing temporary teeth
We carefully checked the patient’s speaking habits,
the smile line, and air leakage during speech.
- Final restoration placement and OBZERO setting


On the day of treatment, after adjusting the overall bite, color, and gloss,
permanent bonding was completed.
- One-week follow-up check


We checked bite stability and gum adaptation,
and confirmed good results in all areas.

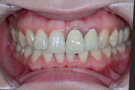
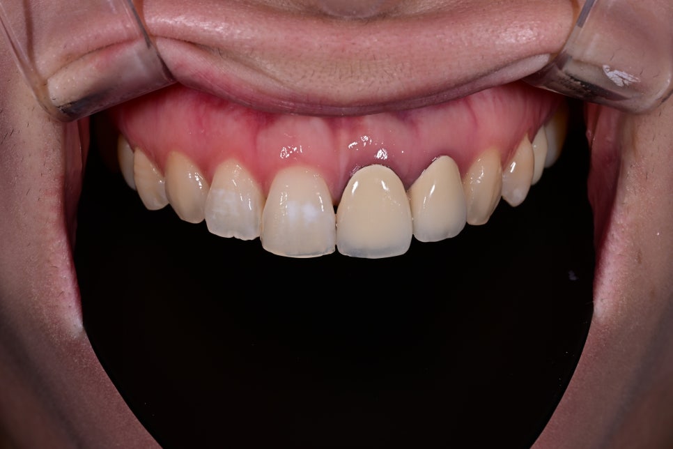
Comparison before and after treatment
<BEFORE>

<AFTER>

The patient first mentioned the naturalness of the color.
The existing crown had a noticeable brightness difference compared with the surrounding teeth,
which she described as looking like an “overlay,”
but the newly designed OBZERO looked natural even without makeup,
and she said it felt like her own teeth.

In addition, the incisal edge gained natural translucency and volume,
and the harmony with the lip line when smiling improved significantly.
She also said it looked more natural in photos.
When OBZERO Laminate is needed

-
When the color of an existing restoration has become too bright or too dark due to discoloration
-
When you want a minimally invasive treatment because you are afraid of tooth reduction
-
When you want to create a natural-looking arrangement of teeth visible when smiling
-
When esthetic treatment that harmonizes with the gum line is needed
-
When you frequently take photos or videos and want a natural
-
whitening effect is needed
Advantages of laminate at Seoul Ob Dental Hospital

Seoul Ob Dental Hospital
provides precise esthetic design under a system that includes
4 specialists in oral and maxillofacial surgery and prosthodontics from Seoul National University,
a team of dental hygienists with specialized training,
a resident dental technician and in-house lab,
advanced equipment such as an intraoral scanner and intraoral endoscope,
treatment for international patients,
free parking,
and consultation via Naver and KakaoTalk.
In particular, the system in which a prosthodontist directly adjusts the tooth design and bite,
and the technician can immediately make corrections,
makes a significant difference in the longevity and completeness of natural-looking laminate.

The front teeth are the center of the face, and even a small change
can greatly alter the impression.
OBZERO Laminate does not pursue an overly white color;
instead, it focuses on creating results that look natural and healthy,
like original teeth.
If you are experiencing discomfort with an existing restoration like in this case,
we recommend planning an esthetic treatment that suits you
through an accurate diagnosis with a specialist.
Seoul Ob Dental Hospital
4th and 5th Floors, 196 Baekjegobun-ro, Songpa-gu, Seoul, Republic of Korea