서울오브치과병원
잠실 무삭제 라미네이트, 치아를 깎지 않고 인상을 바꾼 실제 케이스
안녕하세요. 잠실 치과 서울오브치과병원입니다.💚 무삭제 라미네이트를 고민하시는 분들 중에는 “정말 치아를 하나도 안 깎아도 가능한가요?” “자연스럽게 바뀔 수 있을까요?” 이런 질문을 가장 많이 하십니다. 이번에 소개해드릴 사례는 앞니 총 8개 무삭제 라미네이트로 치아 삭제 없이 인상 개선을 진행한 실제 케이스입니다...
안녕하세요.
잠실 치과 서울오브치과병원입니다.💚
무삭제 라미네이트를 고민하시는 분들 중에는
“정말 치아를 하나도 안 깎아도 가능한가요?”
“자연스럽게 바뀔 수 있을까요?”
이런 질문을 가장 많이 하십니다.

이번에 소개해드릴 사례는
앞니 총 8개 무삭제 라미네이트로
치아 삭제 없이 인상 개선을
진행한 실제 케이스입니다.
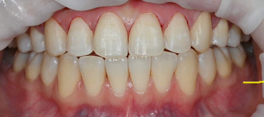
내원 당시 가장 고민하셨던 부분
환자분은 치아 건강 자체보다는
웃을 때 보이는 앞니 라인과 전체적인 인상이
정돈되지 않아 보이는 점을
가장 신경 쓰고 계셨습니다.

앞니 길이가 살짝 불균형하고
치아 배열이 미세하게 어긋나 있어
사진을 찍거나 웃을 때
치아가 고르지 않아 보인다는 느낌을
받으셨다고 합니다.
다행히 충치나 잇몸 질환은 없었고,
치아 두께와 배열 상태를 종합적으로 보았을 때
치아 삭제 없이 라미네이트가 가능한 상태였습니다.
무삭제 라미네이트 상담에서
가장 중요한 진단
무삭제 라미네이트는
단순히 “붙일 수 있느냐”보다
붙였을 때 과하지 않게 어울리느냐가
훨씬 중요합니다.






Previous image Next image
파노라마 촬영과 함께
구강 내·외 사진, 정면·측면 얼굴 사진을 촬영해
치아 길이, 돌출 정도, 잇몸 라인을
함께 분석했습니다.
이 과정에서
치아를 인위적으로 하얗게 만드는 방향이 아니라
얼굴 이미지에 어울리는 색감과
자연스러운 치아 비율을 기준으로
전체 디자인 방향을 먼저 설정했습니다.
진단모델로 미리 확인한 변화
무삭제 라미네이트는
실제 치료 전에 진단모델을 통해
완성될 모습을 미리 확인하는 과정이 중요합니다.
환자분 역시
라미네이트 후 치아 길이와 배열이
어떻게 달라지는지 직접 확인한 뒤
디자인을 조정해 나갔습니다.





Previous image Next image
이 과정 덕분에
“너무 티 나는 느낌은 싫다”는 요청과
“웃을 때는 정돈된 느낌이 있었으면 좋겠다”는
두 가지 요구를 모두 반영할 수 있었습니다.
치료를 결정하기까지, 환자분의 고민 포인트
무삭제 라미네이트를 고민하시는 분들 중에는
치아를 깎지 않는다는 점은 마음에 들지만,
“혹시 너무 밋밋해지지는 않을까”
“변화가 거의 없는 건 아닐까”를
함께 걱정하시는 경우도 많습니다.
환자분 역시 상담 초기에는
크게 튀지 않으면서도
사진을 찍었을 때는 인상이 정돈되어
보이기를 원하셨습니다.
그래서 진단모델 단계에서
치아 길이를 얼마나 조정할지,
웃을 때 보이는 앞니 비율을 어디까지 가져갈지를
여러 각도에서 함께 확인했습니다.

본 이미지는 AI로 생성된 이미지입니다
이 과정을 통해
‘이 정도 변화라면 부담 없겠다’는
기준이 명확해졌고,
치료에 대한 불안보다는 결과에 대한 확신을 가지고 다음 단계로 넘어갈 수 있었습니다.
무삭제 라미네이트는 치료 자체보다도
이처럼 사전에 충분히 확인하고 조율하는 과정이
결과 만족도를 크게 좌우하는 치료입니다.
치아 삭제 없이 진행된 실제 치료 과정
이번 케이스는
치아 삭제 없이 표면 정리만 진행한
무삭제 방식으로
스캔 및 인상 채득을 진행했습니다.

이후 제작된 임시 치아를 장착해
일상생활 중 불편함이 없는지,
발음이나 미소 라인에 어색함은 없는지
여러 차례 확인했습니다.
임시 단계에서 미세한 조정을 거친 뒤
최종 라미네이트를 제작해
하나씩 정확하게 장착했습니다.
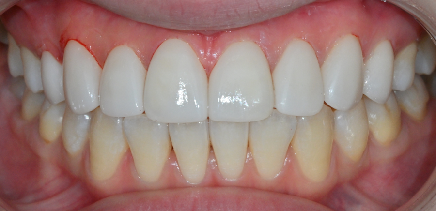
마무리 후 환자분의 반응
치료가 마무리된 뒤
앞니 라인이 정돈되면서
전체 인상이 훨씬 부드럽고
안정적으로 보이게 되었습니다.


특히
치아를 크게 드러내지 않아도
웃는 표정이 자연스럽게 보인다는 점을
가장 만족스러워하셨습니다.
“라미네이트를 했다는 느낌보다
원래 치아가 정돈된 것 같아서 좋다”는
말씀을 남겨주셨습니다.
무삭제 라미네이트, 비용보다 중요한 기준
무삭제 라미네이트는
모든 분께 적용되는 치료는 아닙니다.
치아 두께, 배열, 돌출 정도에 따라
미세 삭제가 필요한 경우도 있고,
다른 치료가 더 적합한 경우도 있습니다.

그래서 비용이나 개수만 보고 결정하기보다는
내 치아가 무삭제 라미네이트에 적합한지
정확한 진단을 먼저 받아보시는 것이
가장 중요합니다.
잠실에서 무삭제 라미네이트를 고민 중이시라면
상담만으로도 충분히 방향을 잡으실 수 있습니다.
편하게 문의 주세요.
02-418-2275/카카오톡 상담 가능
https://youtu.be/CW3Kgt3bkJw?si=o9d8SfSaMpf98Uco
서울오브치과병원 서울특별시 송파구 백제고분로 196 4층, 5층
잠실무삭제라미네이트
Explore More
Keep Browsing This Clinic's Korean Content Trail.
Return to the source archive for more posts, or move back to the clinic profile to compare the rest of the clinic's public channels.