Hello.
This is Seoul of Dental Hospital, Jamsil Dental Clinic.💚
Among those considering no-prep laminate veneers,
the most common questions are:
“Is it really possible without shaving down any teeth?”
“Can it still look natural?”

The case I’m introducing this time is
a real case in which the overall impression was improved
with no-prep laminate veneers on a total of 8 front teeth,
without removing any tooth structure.
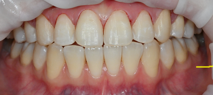
The main concern at the first visit
The patient was less concerned about dental health itself
and more worried that the front-tooth line visible when smiling
and the overall impression did not look well-balanced.

The front teeth were slightly uneven in length,
and the alignment was subtly off,
so the patient felt the teeth looked irregular
when taking photos or smiling.
Fortunately, there were no cavities or gum disease,
and after a comprehensive review of tooth thickness and alignment,
the teeth were determined to be suitable for veneers without tooth reduction.
The most important diagnosis in a no-prep veneer consultation
No-prep laminate veneers are not simply about whether they can be placed.
What matters much more is whether they will blend in naturally
without looking excessive once placed.






Previous image
Next image
Along with panoramic X-rays,
we took intraoral and extraoral photos, as well as front and side facial photos,
and analyzed the tooth length, degree of protrusion, and gum line together.
During this process,
rather than aiming to artificially whiten the teeth,
we first set the overall design direction based on colors that suit the face
and naturally balanced tooth proportions.
Changes confirmed in advance with a diagnostic model
For no-prep laminate veneers,
a diagnostic model is important so that the final result
can be checked in advance before treatment.
The patient also reviewed in person how the tooth length and alignment
would change after the veneers,
and the design was adjusted accordingly.





Previous image
Next image
Thanks to this process,
we were able to reflect both requests:
“Please don’t make it look too obvious,” and
“I’d like my smile to look more neat and balanced.”
The patient’s concerns before deciding on treatment
Among those considering no-prep laminate veneers,
many like the idea that the teeth do not need to be shaved,
but they also worry:
“What if it ends up looking too plain?”
“What if there’s almost no change?”
The patient also wanted the result to be noticeable enough to look polished in photos,
but not so bold that it would stand out too much.
So at the diagnostic model stage,
we checked from multiple angles how much to adjust the tooth length
and how far to bring the visible front-tooth proportion when smiling.

This image was generated by AI.
Through this process,
a clear standard was established for what level of change would feel comfortable,
and the patient was able to move on to the next step
with confidence in the outcome rather than anxiety about the treatment.
With no-prep laminate veneers, it is not just the treatment itself;
the process of checking and adjusting thoroughly in advance
has a major impact on satisfaction with the result.
The actual treatment process without tooth reduction
In this case,
a no-prep method was used with only surface refinement,
without reducing the teeth,
and scanning and impression taking were performed.

After that, temporary teeth were fitted
to check several times whether there was any discomfort in daily life,
or any awkwardness in pronunciation or the smile line.
After making fine adjustments at the temporary stage,
the final veneers were fabricated
and placed accurately one by one.
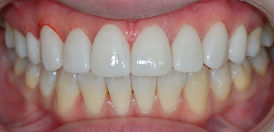
The patient’s reaction after completion
After the treatment was completed,
the front-tooth line became more balanced,
and the overall impression looked much softer
and more stable.


In particular,
the patient was most satisfied that the smile looked natural
even without showing the teeth too much.
The patient said,
“Rather than feeling like I had veneers,
I like that my original teeth just seem neater.”
No-prep laminate veneers: a standard more important than cost
No-prep laminate veneers are not a treatment that applies to everyone.
Depending on tooth thickness, alignment, and degree of protrusion,
slight reduction may be necessary in some cases,
and in others, a different treatment may be more appropriate.

So rather than deciding based only on cost or the number of teeth,
the most important thing is to first receive an accurate diagnosis
to determine whether your teeth are suitable for no-prep laminate veneers.
If you are considering no-prep laminate veneers in Jamsil,
a consultation alone can be enough to help you find the right direction.
Please feel free to contact us.
02-418-2275 / KakaoTalk consultation available
https://youtu.be/CW3Kgt3bkJw?si=o9d8SfSaMpf98Uco
Seoul of Dental Hospital
4th and 5th floors, 196 Baekjegobun-ro, Songpa-gu, Seoul
Jamsil no-prep laminate veneers