서울오브치과병원
라미네이트 가격, 오브제로 무삭제 라미네이트
서울오브치과병원 서울특별시 송파구 백제고분로 196 4층, 5층 안녕하세요! 서울오브치과병원입니다. 오늘은 앞니 6개 오브제로 라미네이트 치료 사례를 소개해드리겠습니다. 웃을 때 드러나는 앞니 모양과 색 때문에 오랫동안 고민하시던 환자분이 자연스러운 변화를 원해 내원하셨습니다. 처음 내원 당시 사진 “앞니가...

서울오브치과병원 서울특별시 송파구 백제고분로 196 4층, 5층
안녕하세요!
서울오브치과병원입니다.
오늘은 앞니 6개 오브제로 라미네이트
치료 사례를 소개해드리겠습니다.

웃을 때 드러나는 앞니 모양과 색 때문에
오랫동안 고민하시던 환자분이
자연스러운 변화를 원해 내원하셨습니다.
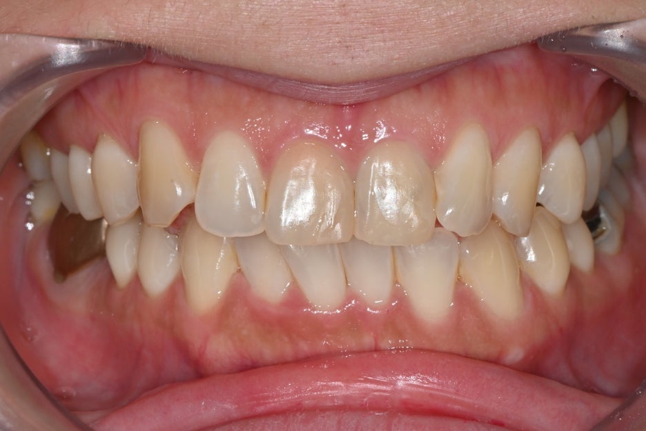
처음 내원 당시 사진

“앞니가 고르지 않고, 색이 누렇게 보여
사진 찍을 때마다 신경 쓰여요
환자분은 “앞니가 고르지 않고, 색이 누렇게 보여
사진 찍을 때마다 신경 쓰인다는 이유로 내원하셨습니다. 미백 치료도 고려했지만, 본인 치아 구조상 보다
확실한 개선과 심미성을 원하셔서
라미네이트를 선택하셨습니다.
오브제로 라미네이트란?

서울오브치과병원의
오브제로(OVZERO) 라미네이트는
‘Opus Veneer Zero Reduction’의 약자로
치아 삭제를 최소화(미세삭제)하면서
자연스러운 디자인을 구현하는 심미 치료 방법입니다.
과도하게 치아를깍는 일반 라미네이트와 달리,
오브제로는
자연치 보존 + 심미성 + 기능성을
동시에 추구합니다.
오브제로 라미네이트 가격


진단 및 치료 계획


환자분은 앞니 6개만 집중적으로
라미네이트를 진행하기로 했습니다.
배열: 앞니 사이의 간격과 비대칭 존재
색상: 누런 톤으로 자연스러운 개선 필요
요구사항: “너무 하얗지 않고, 자연스러운 앞니 디자인”
치료 계획
치아 상태 확인 및 미세삭제 진행
오브제로 라미네이트 6개 제작
환자 얼굴 비율에 맞춘 1:1 맞춤 디자인 적용
치료 과정
치료기간: 2025년 8월 3일 ~ 2025년 8월 10일
(약 1주일)

① 상담 및 디자인
– 환자분이 원하는 이미지를 충분히 상의했습니다.
특정 연예인 치아를 참고하되, 본인 얼굴형에
가장 잘 어울리는 자연스러움으로 맞췄습니다.
② 치아 준비 (미세삭제)
– 치아 삭제는 최소화하여 본래 치아를
최대한 보존했습니다.

③ 라미네이트 제작
– 병원 내 기공소에서 환자분 치아 톤과 어울리도록
6개 라미네이트를 정밀하게 제작했습니다.
반투명층을 살려 실제 치아 같은
자연스러움을 구현했습니다.
④ 최종 장착

– 7일 후 내원하여 라미네이트 6개를 부착했고
교합과 발음을 체크하며 불편함 없이 마무리했습니다.
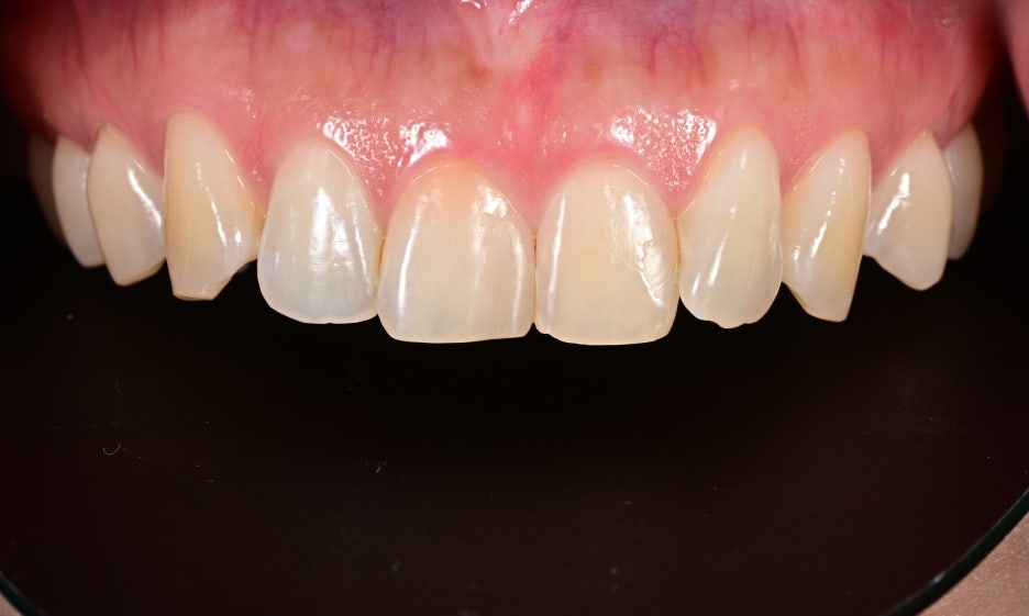
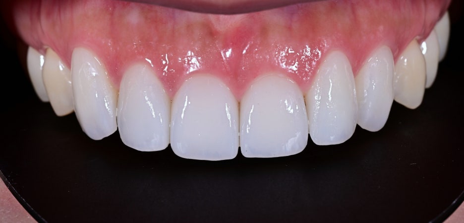
before & after /비포 & 애프터
BEFORE

AFTER

치료 결과
환자분은 시술 후 “치아가 자연스럽게 가지런해지고 웃을 때 더 자신감이 생겼다”고 만족감을 표현하셨습니다.
특히 동료들이 “치아가 훨씬 깨끗해 보인다”는
반응을 보여 만족도가 더욱 높았습니다.

자주 묻는 질문


자주 묻는 질문
Q1. 앞니 라미네이트는 몇 개 하는 게 좋을까요?
👉 웃을 때 드러나는 치아 개수에 따라 다르며, 보통 4~8개 정도가 적절합니다. 이번 사례처럼 6개만
시술해도 충분히 인상이 달라집니다.
Q2. 무삭제 라미네이트가 모두 가능한가요?
👉 치아 돌출 정도나 배열 상태에 따라
미세삭제가 필요할 수 있습니다.
Q3. 오브제로 라미네이트는 얼마나 오래 쓰나요?
👉 리튬 디실리케이트 재료를 사용하여
7~10년 이상 사용할 수 있습니다.

서울오브치과병원만의 강점
서울대 출신 전문의 4인 진료 (구강외과·보철과·심미보철)
전 직원 전문교육받은 치과위생사 근무
원내 기공소 운영 → 빠르고 정밀한 보철 제작
최신 장비 (구강스캐너 등) 보유
외국인 진료 가능
무료 주차 가능 (건물 뒤편 핑크색 주차장)
365일 진료, 송파 삼전역 인근 위치

웃을 때 드러나는 앞니가 고민이라면
앞니 6개만으로도 충분히 자연스럽고 아름다운 변화를
경험할 수 있습니다. 서울오브치과병원의
오브제로 라미네이트는 삭제를 최소화하고
자연스러움을 극대화하여 환자 개개인의 미소를
디자인합니다.
오브제로 라미네이트|고민 중이라면 꼭 보세요

Explore More
Keep Browsing This Clinic's Korean Content Trail.
Return to the source archive for more posts, or move back to the clinic profile to compare the rest of the clinic's public channels.