
Seoul Ob Dental Hospital
4th and 5th Floors, 196 Baekjegobun-ro, Songpa-gu, Seoul
Hello!
This is Seoul Ob Dental Hospital.
Today, we would like to introduce a case of treatment with Ovzero laminate for the six front teeth.

A patient who had long been concerned about the shape and color of the front teeth visible when smiling
visited us seeking a natural change.
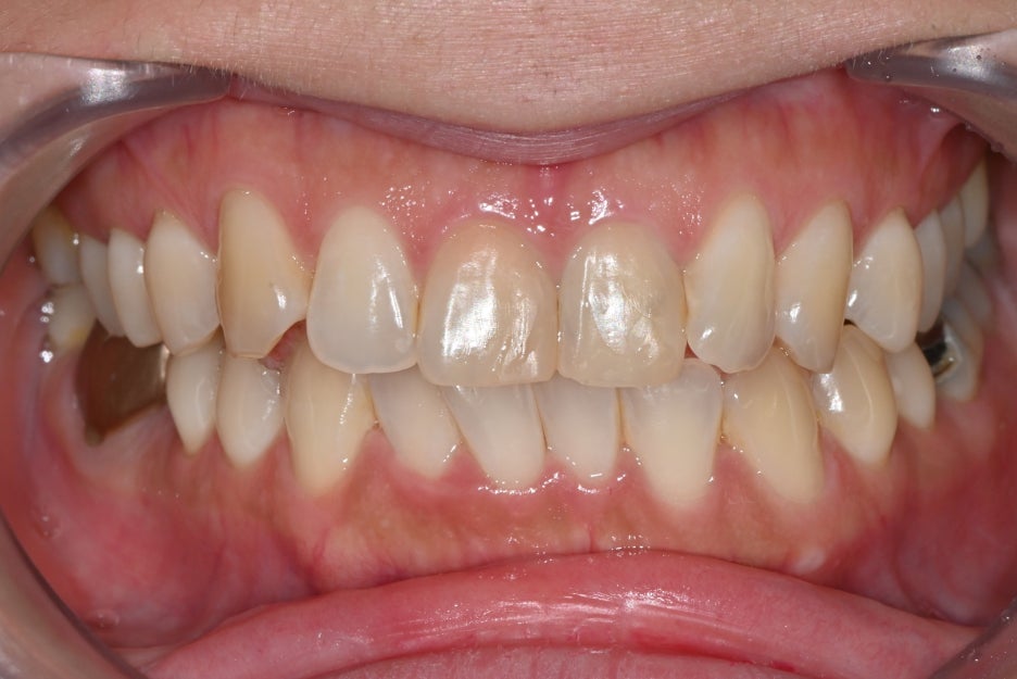
Photo at the first visit

“My front teeth are uneven, and they look yellow,
so I keep worrying about them every time I take a photo.”
The patient came in because uneven front teeth and a yellowish color made them self-conscious in photos. Whitening treatment was also considered, but because of the structure of their teeth, they wanted a more definite improvement and better aesthetics, so they chose laminate.
What is Ovzero laminate?

At Seoul Ob Dental Hospital,
Ovzero (OVZERO) laminate is
an aesthetic treatment method that stands for
‘Opus Veneer Zero Reduction,’ and
achieves a natural design while minimizing tooth reduction (micro-reduction).
Unlike regular laminates that excessively shave the teeth,
Ovzero pursues
natural tooth preservation + aesthetics + function
at the same time.
Ovzero laminate price


Diagnosis and treatment plan


The patient decided to proceed with laminate treatment focused only on the six front teeth.
Arrangement: gaps and asymmetry between the front teeth
Color: a yellowish tone requiring a natural improvement
Request: “Not too white, but a natural front-tooth design”
Treatment plan
Check tooth condition and perform micro-reduction
Fabricate six Ovzero laminates
Apply a 1:1 custom design matched to the patient’s facial proportions
Treatment process
Treatment period: August 3, 2025 ~ August 10, 2025
(About 1 week)

① Consultation and design
– We discussed in detail the image the patient wanted.
While referring to the teeth of a certain celebrity, we adjusted them to the natural look that would suit the patient’s facial shape best.
② Tooth preparation (micro-reduction)
– Tooth reduction was minimized to preserve the original teeth as much as possible.

③ Laminate fabrication
– In the in-house dental lab, six laminates were precisely fabricated to match the patient’s tooth color.
By preserving the translucent layer, we created a natural appearance similar to real teeth.
④ Final placement

– After returning seven days later, the six laminates were bonded, and we checked the bite and pronunciation to finish without discomfort.
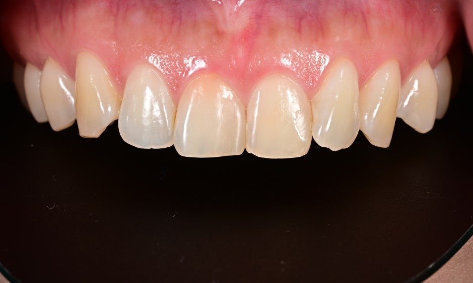
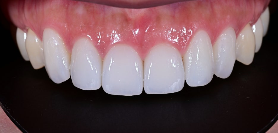
before & after / before & after
BEFORE

AFTER

Treatment results
After the procedure, the patient expressed satisfaction, saying, “My teeth became naturally aligned, and I feel more confident when smiling.”
In particular, their coworkers responded by saying, “Your teeth look much cleaner,” which made the patient even more satisfied.

Frequently Asked Questions


Frequently Asked Questions
Q1. How many front teeth should be treated with laminate?
👉 It depends on how many teeth are visible when smiling, but usually 4 to 8 teeth is appropriate. In a case like this, treating only 6 teeth can still make a sufficient difference in appearance.
Q2. Is zero-reduction laminate possible in all cases?
👉 Depending on the degree of tooth protrusion and the alignment condition,
micro-reduction may be necessary.
Q3. How long does Ovzero laminate last?
👉 By using lithium disilicate material,
it can be used for 7 to 10 years or more.

Strengths unique to Seoul Ob Dental Hospital
Four specialists from Seoul National University providing treatment (oral surgery, prosthodontics, esthetic prosthodontics)
All staff are dental hygienists with specialized training
In-house dental lab operation → fast and precise prosthetic fabrication
Equipped with the latest devices (such as an intraoral scanner)
Foreign patient care available
Free parking available (pink parking lot at the back of the building)
365-day treatment, located near Samjeon Station in Songpa

If you are concerned about the front teeth visible when you smile,
you can experience a sufficiently natural and beautiful change with just six front teeth.
Seoul Ob Dental Hospital’s
Ovzero laminate minimizes reduction
and maximizes naturalness to design each patient’s smile.
Ovzero laminate | If you are considering it, be sure to look at this
