서울오브치과병원
잠실 치과병원 임플란트 가격 및 치료사례
안녕하세요! 서울오브치과병원입니다. 오늘은 왼쪽 아래 어금니 임플란트 수술 사례를 소개해드리겠습니다. 환자분은 오래 전 발치 후 방치해 두었던 자리 때문에 씹는 불편함이 생겨 치료를 원하셨습니다. 초진 내원 당시 왼쪽 아래 어금니를 예전에 뽑았는데 요즘은 반대쪽으로만 씹다 보니 턱도 불편해요 환자분은 “왼쪽...

안녕하세요!
서울오브치과병원입니다.
오늘은 왼쪽 아래 어금니 임플란트
수술 사례를 소개해드리겠습니다.
환자분은 오래 전 발치 후 방치해 두었던 자리 때문에
씹는 불편함이 생겨 치료를 원하셨습니다.

초진 내원 당시



왼쪽 아래
어금니를 예전에 뽑았는데
요즘은 반대쪽으로만 씹다 보니
턱도 불편해요

환자분은 “왼쪽 아래
어금니를 예전에 뽑았는데
요즘은 반대쪽으로만 씹다 보니 턱도 불편하다”는
주호소로 내원하셨습니다.
치아가 오랫동안 결손된 상태라 양쪽 균형이 맞지 않고
음식물이 자주 끼면서 잇몸도 불편했다고 말씀하셨습니다.

진단 결과

파노라마 엑스레이 촬영 결과,
왼쪽 아래 어금니가 이미 발치된 상태로
주변 뼈 상태는 양호하여
추가 뼈이식 없이 임플란트 식립 가능으로 확인되었습니다.

치료 계획
치료기간: 2025년 6월 20일 ~ 2025년 10월 5일
(약 3.5개월)
① CT 촬영 및 수술 계획 수립
– 임플란트 위치, 각도, 길이를 정밀하게 계획했습니다.

② 임플란트 식립 수술

– 국소마취 하에 왼쪽 아래 어금니 부위에
임플란트를 심었습니다.
– 뼈와 잇몸 상태가 건강하여 별도의 뼈이식은
필요하지 않았습니다.
③ 치유 기간 (약 2개월)
– 임플란트가 뼈와 단단히 붙을 수 있도록
안정적인 치유 기간을 가졌습니다.
– 정기 내원 시 구강위생과 잇몸 상태를 확인했습니다.
④ 보철물(크라운) 제작 및 장착

– 원내 기공소에서 주변 치아와 어울리는 색상·형태로
지르코니아 크라운을 제작했습니다.
– 최종 장착 후 교합을 조정하여 편안한 저작이 가능하도록 마무리했습니다.

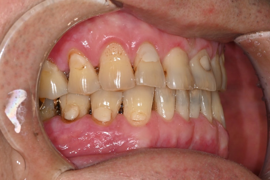
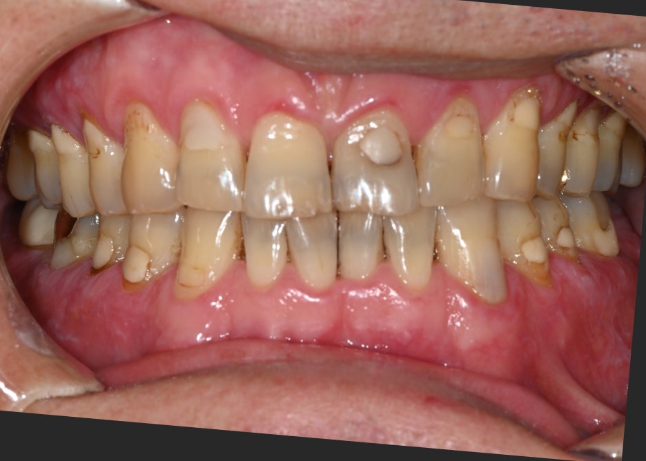
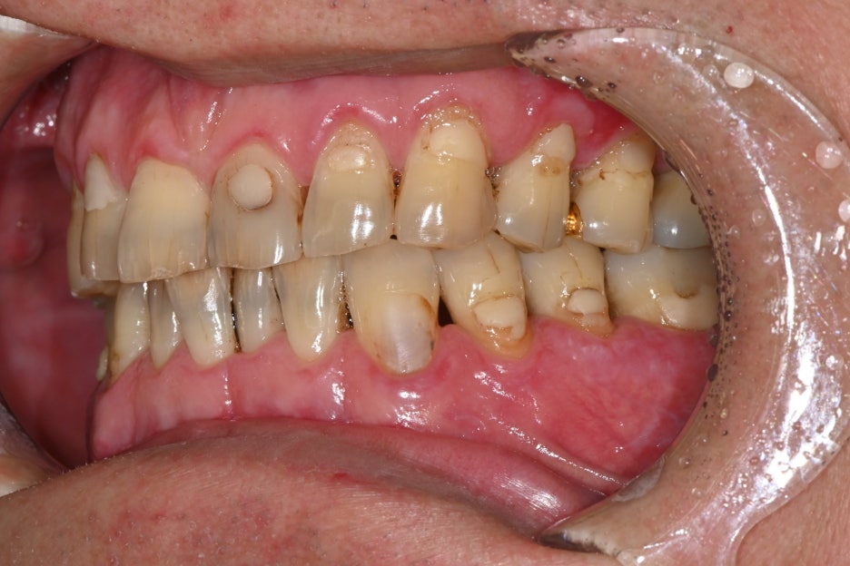
치료결과

양쪽으로 고르게 씹을 수 있어서
턱이 훨씬 편해졌어요
환자분은 수술 후 “양쪽으로 고르게 씹을 수 있어서
턱이 훨씬 편해졌다”며 만족감을 보이셨습니다.
심미적으로도 자연스러운 크라운이 장착되어
주변에서 전혀 티가 나지 않았습니다.
자주 묻는 질문

자주 묻는 질문
Q1. 발치 후 오랫동안 방치한 자리에도
임플란트가 가능한가요?
👉 가능합니다. 다만, 시간이 오래 지난 경우
뼈가 흡수되어 뼈이식이 필요할 수 있습니다.
Q2. 어금니 임플란트는 얼마나 오래 쓸 수 있나요?
👉 적절한 관리와 정기검진이 이루어지면 10년 이상
장기간 사용 가능합니다.
Q3. 수술 후 통증은 심한가요?
👉 국소 마취로 통증 없이 진행되며
수술 후에도 진통제로 충분히 조절 가능합니다.
Q4. 임플란트 치료 기간은 얼마나 걸리나요?
👉 평균 2~4개월 정도 소요됩니다.
뼈이식이 필요한 경우 기간이 더 늘어날 수 있습니다.

이번 환자분처럼 치아를 발치한 뒤 방치하면
저작 불균형, 잇몸 질환, 반대편 치아 과부하가 발생할 수 있습니다. 임플란트는 이러한 문제를 예방하고
자연치아와 유사한 기능을 회복할 수 있는
가장 확실한 방법입니다.
서울오브치과병원은 대학병원급 장비와
전문의 협진 체계를 갖추고 있어
발치 후 오랜 시간이 지난 환자분들도
안전하게 임플란트 치료를 받으실 수 있습니다.

서울대 출신 전문의 4인 진료 (구강외과·보철과·심미보철)
전 직원 전문교육받은 치과위생사 근무
원내 기공소 운영, 치과기공사 상주
→ 빠르고 정밀한 보철 제작
최신 장비 (구강스캐너 등) 보유
외국인 진료 가능
무료 주차 가능 (건물 뒤편 핑크색 주차장)
365일 진료 & 야간진료, 송파 삼전역 인근 위치
본 포스팅에 사용된 사진과 자료는 환자분 동의하에 실제 치료 사례를 바탕으로 작성되었습니다.

Explore More
Keep Browsing This Clinic's Korean Content Trail.
Return to the source archive for more posts, or move back to the clinic profile to compare the rest of the clinic's public channels.