
Hello!
This is Seoul Oven Dental Hospital.
Today, we will introduce a surgical case of a left lower molar implant.
The patient wanted treatment because the area that had been left untreated after a tooth extraction long ago was causing difficulty with chewing.

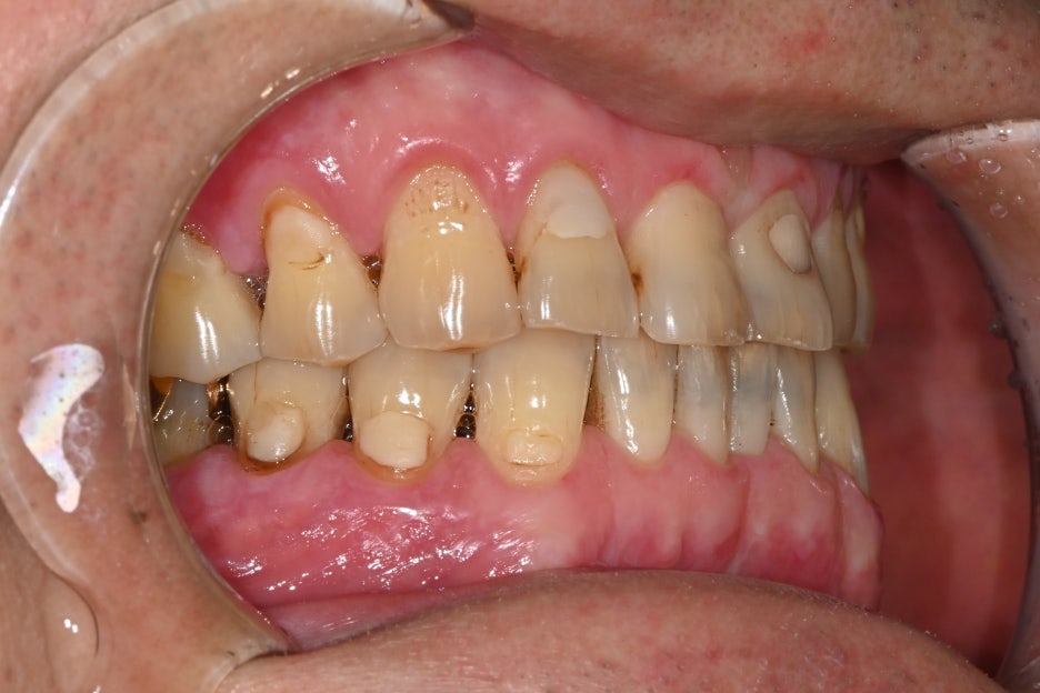
At the first visit



The lower left molar
was extracted a long time ago,
and lately I’ve been chewing only on the other side,
so my jaw feels uncomfortable too.

The patient visited with the chief complaint that “the lower left molar was extracted a long time ago, and lately I’ve been chewing only on the other side, so my jaw feels uncomfortable.”
Because the tooth had been missing for a long time, the bite was unbalanced on both sides, and the patient said food often got stuck and the gums felt uncomfortable.

Diagnosis results

According to the panoramic X-ray,
the lower left molar had already been extracted,
and the surrounding bone condition was good,
so implant placement was confirmed to be possible without additional bone grafting.

Treatment plan
Treatment period: June 20, 2025 ~ October 5, 2025
(about 3.5 months)
① CT scan and surgical planning
– The implant position, angle, and length were planned in detail.

② Implant placement surgery

– Under local anesthesia, an implant was placed in the lower left molar area.
– Since the bone and gum condition were healthy, no additional bone grafting was necessary.
③ Healing period (about 2 months)
– A stable healing period was allowed so that the implant could firmly integrate with the bone.
– At regular visits, oral hygiene and gum condition were checked.
④ Prosthesis (crown) fabrication and placement

– In the in-house dental lab, a zirconia crown was made in a color and shape that matched the surrounding teeth.
– After the final placement, the bite was adjusted to complete the treatment so that chewing would be comfortable.

Treatment results

I can chew evenly on both sides,
so my jaw feels much more comfortable.
After the procedure, the patient expressed satisfaction, saying, “I can chew evenly on both sides, so my jaw feels much more comfortable.”
A naturally shaped crown was also placed aesthetically,
so it was not noticeable at all to people around them.
Frequently Asked Questions

Frequently Asked Questions
Q1. Is it possible to get an implant in a spot that has been left untreated for a long time after extraction?
👉 Yes, it is possible. However, if a long time has passed, bone loss may have occurred, and bone grafting may be needed.
Q2. How long can a molar implant be used?
👉 With proper care and regular checkups, it can be used long-term for 10 years or more.
Q3. Is the pain severe after surgery?
👉 The procedure is performed under local anesthesia without pain, and the pain afterward can also be adequately controlled with pain relievers.
Q4. How long does implant treatment take?
👉 It usually takes about 2 to 4 months on average.
If bone grafting is needed, the period may be longer.

If a tooth is extracted and then left untreated, as in this patient’s case,
chewing imbalance, gum disease, and excessive load on the opposing teeth can occur. Implants can prevent these problems and
are the most reliable way to restore function similar to natural teeth.
Seoul Oven Dental Hospital is equipped with university-hospital-level equipment
and a collaborative system of specialists,
so even patients who have gone a long time after extraction
can receive implant treatment safely.

Treatment by 4 specialists from Seoul National University (oral surgery, prosthodontics, aesthetic prosthodontics)
All staff are dental hygienists with specialized training
In-house dental lab operation, on-site dental technician
→ Fast and precise prosthesis fabrication
Latest equipment (including intraoral scanner)
Treatment available for foreign patients
Free parking available (pink parking lot behind the building)
Open 365 days a year & evening hours, located near Samjeon Station in Songpa
The photos and materials used in this post were written based on an actual treatment case with the patient’s consent.
