서울오브치과병원
잠실 치아미백, 하루만에 효과 볼 수 있을까요?
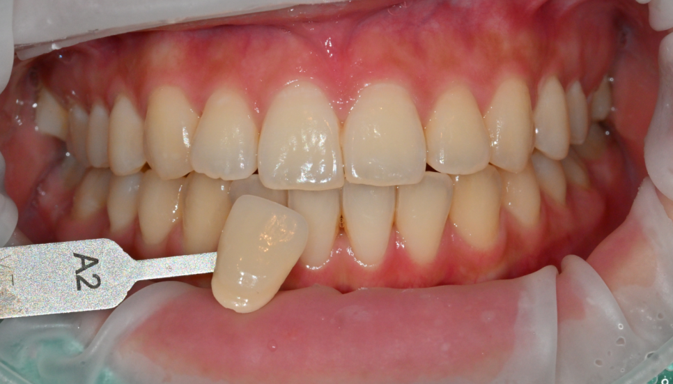
치아미백 시술 전 필독! 치아 미백은 모든 환자에게 동일한 효과가 나타나지는 않습니다. 치아 색이 변한 원인과 현재 상태에 따라 효과의 범위와 유지 기간이 달라지기 때문입니다. 서울오브치과병원은 모든 환자분들이 만족하실 수 있도록 3회의 미백 치료를 한 번에 이어서 진행해드리고 있습니다. 치료 후 일시적으로 치아...
치아미백 시술 전 필독!
치아 미백은 모든 환자에게 동일한 효과가
나타나지는 않습니다. 치아 색이 변한 원인과
현재 상태에 따라 효과의 범위와 유지 기간이
달라지기 때문입니다.
서울오브치과병원은 모든 환자분들이
만족하실 수 있도록 3회의 미백 치료를
한 번에 이어서 진행해드리고 있습니다.
치료 후 일시적으로 치아 시림 등의
증상이 발생할 수 있으며, 이는 빠른 시일 내에
가라앉으니 너무 걱정하지 않으셔도 됩니다.

잠실 치아미백, 서울오브치과병원
치아가 변색되는 이유
거울을 보거나 사진을 찍었을 때 치아가 유독
전체 인상보다 어둡게 느껴지는 순간이 있습니다.
(1) 커피, 와인 등 착색을 유발하는 음식
(2) 치아 마모로 인한 변색
(3) 흡연 등 변색을 유발하는 생활 습관
위와 같은 이유로 치아가 변색되는데,
모두 치아미백으로 개선할 수 있습니다.

잠실 치아미백, 서울오브치과병원

잠실 치아미백, 서울오브치과병원

잠실 치아미백, 서울오브치과병원
서울오브치과병원 서울특별시 송파구 백제고분로 196 4층, 5층

잠실 치아미백, 서울오브치과병원

잠실 치아미백, 서울오브치과병원
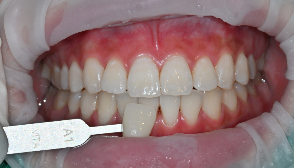
치아 미백의 효과에 개인 편차가 존재하는 데에는
이유가 있습니다.
치아 색은 단순히 겉면 문제만이 아니라
치아 내부 색, 착색의 깊이, 기존 충치나
보철 여부까지 여러 요소가 함께 작용합니다.
표면 착색이 주된 경우에는
미백 효과가 비교적 빠르게 나타나는 편이지만,
치아 자체 색이 어두운 경우에는
한 번의 미백으로는 한계가 있을 수 있습니다.
잠실 치아미백, 서울오브치과병원
그래서 치아미백은 시작 전에 어디까지 가능할지
설명을 듣는 과정이 중요합니다.
치아와 잇몸 상태가 안정적인 경우에는
병원에서 진행하는 원데이 치아미백으로
당일 톤 개선을 기대할 수 있습니다.
시술 시간은 비교적 짧은 편이며
시림이나 불편감을 최소화하는 범위에서
단계를 조절해 진행하게 됩니다.
무리하게 밝기를 올리기보다는
치아 상태에 맞춰
안전하게 진행하는 것이 중요합니다.

잠실 치아미백, 서울오브치과병원

잠실 치아미백, 서울오브치과병원
요즘은 눈에 띄게 새하얀 치아보다는
자연스럽고 깔끔한 인상을 원하는 분들이 많습니다.
치아미백에서도 현재 치아 색과 조화를 이루는
밝기를 설정하지 않으면 오히려
어색해 보일 수 있습니다.
그래서 치아미백은 밝기 자체보다
얼굴 전체 인상과의 균형을 함께 고려하게 됩니다.
치아미백을 결정하기 전에는
사진이나 후기만 보고 판단하기보다
실제 치아 상태를 확인하는 과정이 필요합니다.
잇몸 상태, 치아 표면과 내부 색, 기존 치료
이력에 따라 미백 방법과 기대 결과가
달라지기 때문입니다.

이 과정을 거치면 과한 기대나
불필요한 시술을 줄일 수 있습니다.
치아미백은 단순히 하얗게 만드는 시술이 아니라
치아 본연의 색을 정리하는 과정입니다.
지금 내 치아가 치아미백으로 얼마나
개선이 가능한지, 당일 미백이 적절한지,
자연스럽게 진행하는 게 좋은지 궁금하다면
한 번쯤은 현재 상태를 기준으로
설명을 들어보는 것만으로도
선택이 훨씬 쉬워질 수 있습니다.
Explore More
Keep Browsing This Clinic's Korean Content Trail.
Return to the source archive for more posts, or move back to the clinic profile to compare the rest of the clinic's public channels.