Must-read before teeth whitening treatment!
Teeth whitening does not produce the same results for every patient.
That is because the range of results and how long they last vary depending on the cause of the discoloration and the current condition of the teeth.
At SEOUL OF Dental Hospital, we provide three whitening treatments in a row in a single visit so that all patients can be satisfied.
Temporary symptoms such as tooth sensitivity may occur after treatment, but they usually subside soon, so there is no need to worry too much.

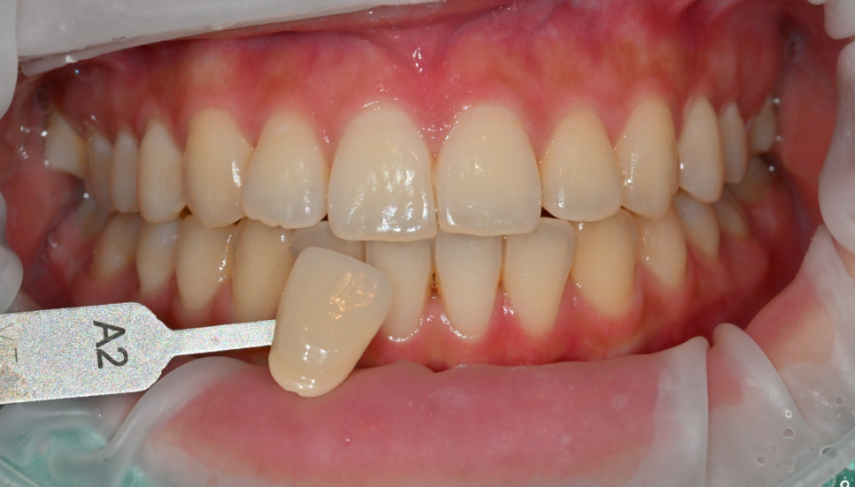
Jamsil Teeth Whitening, SEOUL OF Dental Hospital
Reasons teeth become discolored
There are moments when, looking in the mirror or taking a photo, your teeth seem especially darker than your overall impression.
(1) Foods that cause staining, such as coffee and wine
(2) Discoloration caused by tooth wear
(3) Lifestyle habits that cause discoloration, such as smoking
Teeth can become discolored for the reasons above,
and all of them can be improved with teeth whitening.

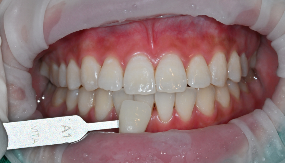
Jamsil Teeth Whitening, SEOUL OF Dental Hospital

Jamsil Teeth Whitening, SEOUL OF Dental Hospital

Jamsil Teeth Whitening, SEOUL OF Dental Hospital
SEOUL OF Dental Hospital
4th and 5th Floors, 196 Baekjegobun-ro, Songpa-gu, Seoul

Jamsil Teeth Whitening, SEOUL OF Dental Hospital

Jamsil Teeth Whitening, SEOUL OF Dental Hospital
There is a reason why the effects of teeth whitening vary from person to person.
Tooth color is influenced not only by the outer surface,
but also by multiple factors such as the internal color of the tooth, the depth of staining, and whether there is existing decay or prosthetic work.
If surface staining is the main issue,
the whitening effect tends to appear relatively quickly,
but if the tooth itself is naturally darker,
a single whitening treatment may have its limits.
Jamsil Teeth Whitening, SEOUL OF Dental Hospital
That is why, before starting teeth whitening,
it is important to receive an explanation of how far the treatment can go.
If the teeth and gums are stable,
in-clinic one-day teeth whitening can help improve the shade on the same day.
The procedure time is relatively short,
and it is adjusted and performed within a range that minimizes sensitivity and discomfort.
Rather than pushing for a dramatic increase in brightness,
it is important to proceed safely
according to the condition of the teeth.

Jamsil Teeth Whitening, SEOUL OF Dental Hospital

Jamsil Teeth Whitening, SEOUL OF Dental Hospital
These days, many people prefer a natural and clean impression
rather than teeth that are noticeably pure white.
In teeth whitening as well, if the brightness is not set in harmony with the current tooth color,
it can actually look unnatural.
That is why, with teeth whitening,
the overall balance with the face’s impression is considered more than the brightness itself.
Before deciding on teeth whitening,
rather than judging based only on photos or reviews,
it is necessary to check the actual condition of the teeth.
That is because the whitening method and expected results vary depending on the condition of the gums, the surface and internal color of the teeth, and any prior treatment history.

Going through this process can reduce overly high expectations
and unnecessary procedures.
Teeth whitening is not simply a procedure to make teeth white,
but a process of refining the teeth’s natural color.
If you are wondering how much your teeth can be improved with teeth whitening,
whether same-day whitening is appropriate,
or whether it is better to proceed naturally,
simply hearing an explanation based on your current condition
can make the decision much easier.