서울오브치과병원
교통사고 병원 진료, 합의금 받는 방법 추천
교통사고는 대부분 갑작스럽게 발생합니다. 크게 다치지 않았다고 느껴지는 상황에서도 사고 직후에는 긴장과 충격 때문에 몸의 이상을 바로 인지하지 못하는 경우가 많습니다. 실제로 교통사고 이후 며칠이 지나서야 불편함을 느끼고 치과에 내원하시는 분들도 적지 않습니다. 교통사고 이후 앞니가 절반가량 깨진 상태로 내원하신 환자...

교통사고는 대부분 갑작스럽게 발생합니다.
크게 다치지 않았다고 느껴지는 상황에서도
사고 직후에는 긴장과 충격 때문에
몸의 이상을 바로 인지하지 못하는 경우가 많습니다.
실제로 교통사고 이후 며칠이 지나서야
불편함을 느끼고 치과에 내원하시는 분들도 적지 않습니다.

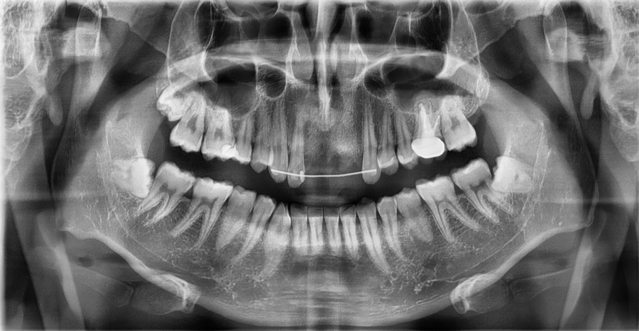
교통사고 이후 앞니가 절반가량 깨진 상태로
내원하신 환자분의 엑스레이입니다.
겉으로 보기에는 파절 부위만 문제로 보일 수 있지만,
치아 뿌리와 주변 잇몸뼈까지 함께 확인이 필요했던 사례입니다.

발치 후 임플란트 치료로 기능과 심미를 회복한 사례입니다.

- 사고 당일 1~2일 내 병원 방문·진료
'병원 갈 정도는 아닌 것 같은데'라는 생각이 들더라도
일단 병원에 방문해서 진료받으시는 걸 추천합니다.
사고 직후에는 몸이 긴장해서 통증이 늦게 나타나는
경우가 흔하고, 적절한 치료 시기를 놓치면
후유증이 생길 수 있기 때문입니다.
"교통사고로 내원했고, 상대방 보험으로 처리할 예정이다"라고 말씀하시면 직접 결제하지 않고 퇴원하실 수 있습니다.
- 상대방 보험사에 접수
일반적으로 상대 차주가 보험을 접수합니다. 이후 보험사에서 '사고 접수 번호'와 '담당자 연락처'를 전달해요.
병원에 접수 번호를 전달하면 이후 결제는 병원과 보험사가 알아서 처리해줍니다.
- 병원에서 보험 처리 진행
병원이 보험사와 진료비를 처리하는 과정입니다. 여기서 보험사가 치료 기간이나 증상 확인을 위해 연락을 합니다.
- 치료 지속 또는 종료
치료 후에도 증상이 남아있다면 추가 진료가 가능합니다. 보험사가 합의를 요청하기도 합니다.

서울오브치과병원에 교통사고 이후 내원하시는
환자분들 중에는 치아가 완전히 빠진 상태로
방문하시는 경우도 많습니다.
다만 모든 환자분이 처음부터
“치아가 부러졌다”, “피가 많이 난다”처럼
명확한 증상을 느끼고 오시는 것은 아닙니다.
앞니가 묘하게 흔들리는 느낌이 들거나,
씹을 때 물리는 감각이 평소와 달라졌다고 느끼는 경우,
잇몸이 욱신거리는 통증이 반복되는 정도의
애매한 불편감으로 내원하시는 분들도 많습니다.

교통사고 이후 구강·치아 후유증이 문제되는 이유는
바로 ‘겉으로 드러나지 않는 손상’ 때문입니다.
교통사고 충격은 치아 하나에만 전달되지 않습니다.
겉으로 보기에는 큰 이상이 없어 보이더라도,
실제로 구강 내부를 확인해 보면
치아를 지지하는 잇몸이나 잇몸뼈에 손상이
이미 시작된 상태인 경우도 흔합니다.
순간적으로 턱이 강하게 부딪히거나
입이 닫히는 과정에서 치아, 잇몸, 잇몸뼈, 턱관절,
입술 안쪽 연조직까지 동시에 영향을 받게 됩니다.
특히 버스 추돌 사고나 차량 간 충돌 사고처럼
짧은 순간에 큰 힘이 전달된 경우에는,
눈에 띄지 않는 미세한 손상이 남아
시간이 지나면서 후유증으로 이어질 수 있습니다.

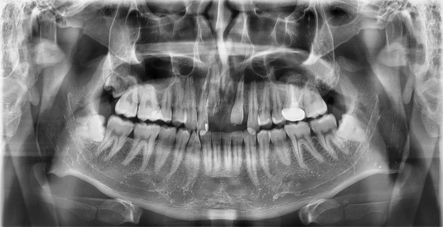
교통사고 충격으로 앞니가 완전히 빠진 상태로
내원하신 환자분의 엑스레이입니다.

치아를 지지하는 잇몸과 주변 구조를 안정시키기 위해
와이어를 이용한 임시 고정 치료를 먼저 진행한 사례입니다.
치료 시기를 놓치면 상대 차주에게 치료비를
요구하기 어려워지고 영구적인 불편을 겪을 수 있으니
사고 직후 반드시 병원에 방문하여
정밀한 진단을 받아보셔야 합니다.
실제로 사고 직후에는 통증이 거의 없다가,
며칠 뒤부터 앞니가 벌어지는 느낌이 들거나,
음식을 씹을 때 이전과 다르게 불편해졌다는 이유로
다시 내원하시는 환자분들도 계십니다.
잇몸에서 피가 자주 나거나, 양치할 때 유독 특정 부위가
아픈 경우도 교통사고 이후 나타나는
흔한 증상 중 하나입니다.

교통사고 후 치과 진료에서 중요한 점은,
단순히 치아가 부러졌는지 여부만 확인하는 것이 아닙니다.
치아 뿌리 상태, 잇몸뼈 손상 여부, 물림의 균형,
턱관절 움직임까지 함께 살펴봐야
이후 문제가 커지지 않습니다.
그래서 서울오브치과병원에서는 교통사고로 내원하신 경우, 현재 불편함이 어디에서 시작된 것인지부터 하나씩
확인한 뒤 진료 방향을 결정하고 있습니다.

교통사고 이후 앞니가 떨어진 상태로
내원하신 환자분의 엑스레이입니다.
사고 직후뿐 아니라, 이후 경과에 따라 주변 치아와
잇몸뼈 변화가 없는지 추가 확인을 위해 촬영한 이미지입니다.

탈구된 앞니를 재위치하고 고정 장치를 이용해 치료한 사례입니다.
엑스레이 촬영을 통해
치아 뿌리나 잇몸뼈 상태를 확인하다 보면,
겉으로는 멀쩡해 보이던 치아에서
미세한 균열이나 위치 변화가 발견되는 경우도 있습니다.
이런 상태를 그대로 방치할 경우, 시간이 지나면서 통증이
심해지거나 추가적인 치료가 필요해질 수 있습니다.






Previous image Next image
교통사고 후유증은 한 가지 증상으로만 나타나지 않습니다. 앞니 흔들림, 잇몸 통증, 출혈, 붓기, 입술 안쪽 상처,
턱이 뻐근한 느낌, 입을 벌릴 때 불편함 등 여러 증상이
함께 나타나거나, 시차를 두고 나타나는 경우도 많습니다.
그래서 사고 직후에는 괜찮다고 느꼈더라도,
조금이라도 평소와 다른 느낌이 든다면
상태를 확인해보는 것이 필요합니다.

서울오브치과병원에서는 교통사고 이후
내원하신 환자분들에 대해, 현재 나타난 증상만을 기준으로 서둘러 결론을 내리기보다는, 지금 상태에서 더 악화되지 않도록 구조를 안정시키는 것부터 진행하고 있습니다.
이후 경과를 지켜보며 단계적으로
치료 계획을 조정하게 됩니다.
교통사고 이후 구강이나 치아에 불편함이 느껴진다면,
참고 지내기보다는 현재 상태를 정확히 확인해보시는 것이
좋습니다. 빠른 확인이 이후 치료 부담을 줄이는 데
도움이 되는 경우도 많습니다.
서울오브치과병원 서울특별시 송파구 백제고분로 196 4층, 5층
Explore More
Keep Browsing This Clinic's Korean Content Trail.
Return to the source archive for more posts, or move back to the clinic profile to compare the rest of the clinic's public channels.