
Traffic accidents usually happen suddenly.
Even in situations where you feel you were not badly injured,
right after the accident, tension and shock
often prevent you from immediately noticing anything wrong with your body.
In fact, many people do not notice discomfort until several days after a traffic accident
and then come to the dentist.

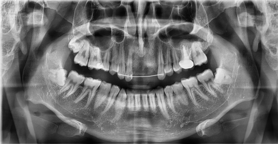
This is an X-ray of a patient who visited after a traffic accident with about half of the front tooth broken.
At first glance, the fractured area may seem to be the only problem,
but this was a case in which the tooth root and the surrounding jawbone also needed to be checked.

This is a case in which function and appearance were restored through implant treatment after extraction.

- Visit the hospital and receive treatment within 1–2 days of the accident
Even if you think, “It doesn’t seem bad enough to go to the hospital,”
we recommend visiting the hospital first and receiving treatment.
Immediately after an accident, the body is tense, so pain often appears late,
and if the proper treatment time is missed,
aftereffects can develop.
If you say, “I came in because of a traffic accident and plan to handle it through the other party’s insurance,” you can be discharged without paying directly.
- File a claim with the other party’s insurance company
In general, the other driver files the insurance claim. After that, the insurance company provides the “accident claim number” and the “contact information for the person in charge.”
If you give the claim number to the hospital, the hospital and the insurance company will take care of the payment process afterward.
- The hospital proceeds with insurance processing
This is the process in which the hospital handles the medical expenses with the insurance company. At this stage, the insurance company may contact you to confirm the treatment period or symptoms.
- Continue treatment or finish treatment
If symptoms remain after treatment, additional care is possible. The insurance company may also request a settlement.

Among patients who visit Seoul Obe Dental Hospital after a traffic accident,
there are many cases where a tooth has been completely knocked out.
However, not all patients come in from the start with clear symptoms such as
“my tooth is broken” or “there is a lot of bleeding.”
Many people visit with vague discomfort, such as feeling that the front tooth is strangely loose,
feeling that the bite when chewing has changed from usual,
or having repeated throbbing pain in the gums.

The reason oral and dental aftereffects become a problem after a traffic accident is precisely because of the “damage that is not visible on the outside.”
The impact of a traffic accident is not transmitted to just one tooth.
Even if there appears to be no major abnormality from the outside,
when the inside of the mouth is actually examined,
damage to the gums or jawbone supporting the teeth
has often already begun.
When the jaw is struck hard in an instant
or during the process of closing the mouth, the teeth, gums, jawbone, temporomandibular joint,
and even the soft tissue inside the lips are all affected at the same time.
In particular, in cases where a large force is delivered in a short moment,
such as a bus rear-end collision or a vehicle-to-vehicle collision,
small injuries that are not noticeable can remain and later lead to aftereffects.

This is an X-ray of a patient who visited with a front tooth that had been completely knocked out due to the impact of a traffic accident.

This is a case in which temporary splint fixation using wire was first performed to stabilize the gums and surrounding structures supporting the teeth.
If the timing of treatment is missed, it becomes harder to ask the other driver for treatment costs,
and you may suffer permanent discomfort,
so you must visit the hospital immediately after the accident
and receive a detailed diagnosis.
In fact, there are patients who have almost no pain right after the accident,
but then come back several days later because their front teeth start to feel like they are separating
or they feel discomfort while chewing food compared with before.
Frequent bleeding from the gums or pain in a specific area while brushing are also common symptoms after a traffic accident.

What is important in dental treatment after a traffic accident is not simply checking whether a tooth is broken.
The condition of the tooth root, whether the jawbone is damaged,
the balance of the bite, and the movement of the temporomandibular joint must all be examined together
so that later problems do not become worse.
That is why, at Seoul Obe Dental Hospital, when patients visit after a traffic accident, we first identify where the current discomfort started from,
one by one, and then decide the direction of treatment.

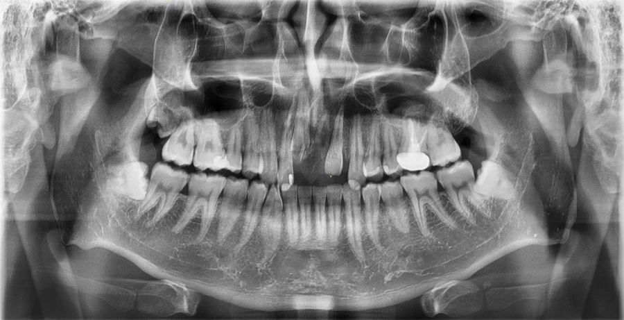
This is an X-ray of a patient who visited with a front tooth that had fallen out after a traffic accident.
In addition to the immediate aftermath of the accident, this image was taken for additional confirmation to check whether there were any changes in the surrounding teeth and jawbone depending on the subsequent progress.

This is a case in which a dislocated front tooth was repositioned and treated using a fixation device.
When X-rays are taken to check the condition of the tooth roots and jawbone,
tiny cracks or positional changes are sometimes found in teeth that seemed fine from the outside.
If such a condition is left as is, pain may worsen over time,
or additional treatment may become necessary.






Previous image
Next image
Aftereffects from a traffic accident do not appear as just one symptom. Front tooth looseness, gum pain, bleeding, swelling, wounds inside the lips,
a stiff feeling in the jaw, and discomfort when opening the mouth are among the many symptoms
that may appear together or at different times.
So even if you feel fine right after the accident,
if you notice even a slight difference from usual,
it is necessary to check your condition.

At Seoul Obe Dental Hospital, for patients who visit after a traffic accident,
rather than rushing to a conclusion based only on the symptoms currently present, we first work to stabilize the structure so that it does not worsen from its current state.
After that, we monitor the progress and
adjust the treatment plan step by step.
If you feel discomfort in your mouth or teeth after a traffic accident,
rather than just putting up with it, it is better to accurately check your current condition.
Quick confirmation can often help reduce the burden of later treatment.
Seoul Obe Dental Hospital
4th and 5th Floors, 196 Baekjegobun-ro, Songpa-gu, Seoul