서울오브치과병원
라미네이트와 임플란트 보철을 동시 시술한 사례
안녕하세요, 오브치과입니다. 라미네이트와 임플란트를 동시에 시술할 수 있다는 사실을 알고 계셨나요? 어떤 게 임플란트일까요? 오늘 소개해드릴 증례는 기존 앞니 임플란트의 부자연스러운 느낌을 개선하고 싶어 내원하신 환자분으로 오브제로 라미네이트와 임플란트 보철 치료를 함께 진행하여 보다 자연스럽고 아름답고 빛나는 미소를...
안녕하세요, 오브치과입니다.
라미네이트와 임플란트를 동시에 시술할 수 있다는 사실을 알고 계셨나요?

어떤 게 임플란트일까요?
오늘 소개해드릴 증례는 기존 앞니 임플란트의 부자연스러운 느낌을 개선하고 싶어 내원하신 환자분으로
오브제로 라미네이트와 임플란트 보철 치료를 함께 진행하여 보다 자연스럽고 아름답고 빛나는 미소를 완성한 케이스입니다.
특히 라미네이트와 임플란트를 같이 시술하는 게 좋은 이유, 20대부터 중년 이후에도 라미네이트를 추천하는 이유를 설명 드리겠습니다.

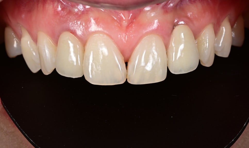
라미네이트, 임플란트 시술 전
앞니는 웃을 때 가장 먼저 보이는 부위인 만큼 작은 차이도 전체 인상에 크게 영향을 줍니다.
특히 기존 임플란트의 색감이나 모양, 위치감 때문에 어색해 보이는 경우에는 환자분들이 라미네이트를 고려하시는데, 라미네이트는 자연치아에만 시술할 수 있기 때문에 일부는 임플란트, 일부는 라미네이트로 시술해야 합니다.
여기서 중요한 점은 임플란트와 라미네이트의 생김새, 색이 동일해야 한다는 점입니다. 조금이라도 색이 다르거나 이질감이 들 경우 앞으로의 생활에서 매일같이 불편함을 느끼실 수도 있습니다.
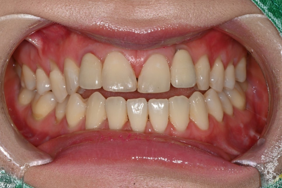
내원 전 고민
환자분은 기존 앞니 임플란트가 주변 자연치와 잘 어우러지지 않아 웃을 때마다 어색한 느낌이 신경 쓰인다고 하셨습니다.
특히 임플란트는 식립해놓은 보철물이 내려가거나 잇몸과의 경계가 깔끔하게 들어맞지 않으면 티가 굉장히 많이 납니다.

기존 임플란트
단순히 밝게 만드는 것보다는
-
전체적으로 조화로운 치아 배열
-
과하게 인위적이지 않은 하얀 느낌
-
임플란트가 티 나지 않는 자연스러움
이 세 가지를 가장 중요하게 생각하셨습니다.
실제로 앞니 심미치료에서는 단순히 치아 색만 맞춘다고 자연스러워지는 것이 아니라, 치아의 폭경, 길이, 라인, 표면 질감, 잇몸과의 조화, 좌우 대칭감까지 함께 고려해야 만족도 높은 결과가 나옵니다.
치료 계획
이번 케이스에서는 환자분의 기존 치아와 임플란트 상태를 면밀히 확인한 뒤, 전체적인 심미 밸런스를 맞추기 위해 다음과 같은 방향으로 치료를 계획했습니다.
저희 서울오브치과는 라미네이트 진료가 가능한 치아보철과, 구강악안면외과 전문의가 직접 진료하기 때문에 두 가지의 시술을 문제 없이 진행할 수 있습니다.

라미네이트, 임플란트 시술 전
- 기존 임플란트 보철의 어색한 부분 개선
앞니 임플란트는 자연치와 달리 빛 투과감이나 잇몸과의 연결감에서 차이가 나기 쉬워 보철 디자인이 매우 중요합니다.
기존 보철의 색감과 형태, 조화도를 다시 점검하여 주변 치아와 보다 자연스럽게 이어지도록 보철을 재설계했습니다.
- 오브제로 라미네이트를 통한 전반적인 심미 조화 개선
임플란트만 단독으로 수정하면 오히려 주변 자연치와의 차이가 더 도드라질 수 있기 때문에, 전체 앞니 라인을 고려하여 오브제로 라미네이트를 함께 진행했습니다.
오브제로 라미네이트는 단순히 치아를 하얗게 보이게 하는 것에 그치지 않고, 개개인 얼굴과 미소선, 기존 치아의 특징을 반영하여 보다 자연스럽고 세련된 인상을 만드는 데 강점이 있습니다.
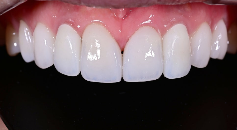
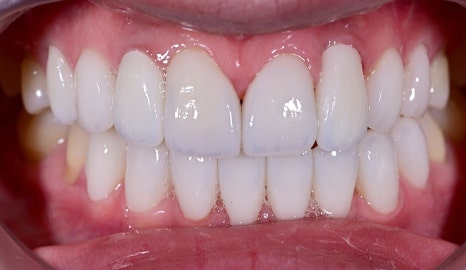
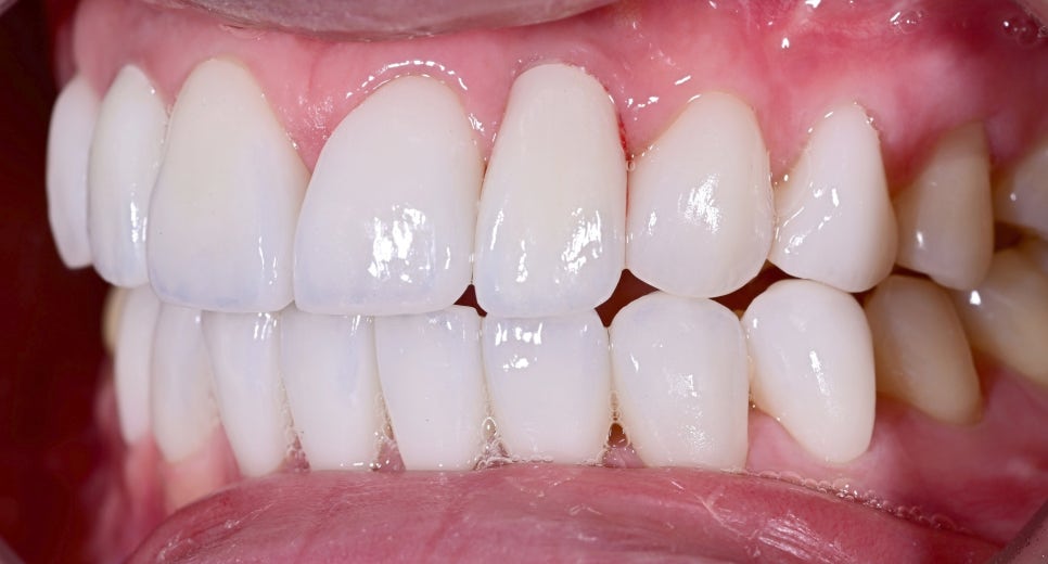
치료 후 변화
치료 후 가장 큰 변화는 “더 이상 임플란트가 따로 놀지 않는다”는 점이었습니다.
기존에는 임플란트 부위가 주변 치아와 미묘하게 다르게 보여 앞니 전체의 통일감을 해치고 있었지만, 치료 후에는 앞니의 색감과 형태, 비율이 훨씬 부드럽게 연결되면서 전체 인상이 한층 정돈되고 자연스러워졌습니다.


또한 너무 차갑거나 인위적인 흰색이 아니라 환자분 이미지에 어울리는 깨끗하고 고급스러운 화이트 톤으로 완성되어 웃을 때의 분위기 자체가 훨씬 밝아졌습니다.
임플란트 시술을 고민하시는 분들은 주로 저작(씹는) 기능에 문제가 있거나 치아가 많이 빠지신 분들인데, 그래서 기능적인 부분을 우선적으로 생각할 수 밖에 없습니다.
하지만 임플란트 치료 후 아픔 없이 음식을 씹을 수 있게 되고 나면 그때서야 색과 디자인이 아쉽게 느껴집니다. '더 예쁘게, 더 하얗게 만들 수 있었는데'라는 아쉬움을 느끼시지 않도록 처음부터 완성도 있게 만들어드리겠습니다.

앞니 임플란트가 어색해 보이는 이유는?
앞니 임플란트가 부자연스러워 보이는 원인은 꽤나 다양합니다.
-
주변 치아와 맞지 않는 색상
-
앞니 폭경과 길이 비율의 불균형
-
표면 질감 차이
-
잇몸 라인의 미세한 비대칭
-
인접 치아와의 연결감 부족
-
기존 보철의 두께감이나 형태 문제

이런 경우 단순히 보철 하나만 바꾸는 것으로 해결되지 않고, 주변 자연치와의 조화를 함께 봐야 더 좋은 결과를 얻을 수 있습니다. 그래서 이번 케이스처럼 라미네이트와 임플란트 보철을 함께 설계하는 접근이 매우 중요할 수 있습니다.
라미네이트+임플란트를 추천하는 경우

기존 앞니 임플란트가 유독 티 나 보이는 분
치아를 하얗게 만들고 싶지만 너무 인위적인 느낌은 원치 않는 분
앞니 모양과 비율까지 함께 개선하고 싶은 분
라미네이트와 임플란트를 조화롭게 치료하고 싶은 분
“예쁘다”보다 “자연스럽게 예쁘다”를 원하시는 분
많은 분들이 하시는 오해
"라미네이트는 치아를 삭제하고 얇은 두께 때문에 내구성이 약하다"라고 생각하시는 경우가 많습니다. 그러나 오브제로 라미네이트는 자연 치아를 보존할 수 있고, 매우 단단한 세라믹 소재를 사용하여 15년 이상 반영구적으로 사용 가능합니다.

오히려 치아 앞에 얇고 튼튼한 방패를 씌워 마모, 파절(깨짐)로부터 치아를 지켜주는 역할을 합니다. 그래서 고령의 환자분들에게도 자신있게 라미네이트를 권해드리고 있습니다.
오브치과가 중요하게 생각하는 심미치료
심미치료는 단순히 하얗게 만드는 치료가 아닙니다. 특히 앞니는 아주 작은 차이로도 인상이 크게 달라지기 때문에 각 치아 하나하나의 완성도보다도 전체 미소 안에서 얼마나 자연스럽게 어우러지는지가 더 중요합니다.
오브치과는 기존 임플란트의 어색함, 치아 모양의 불균형, 색감 차이 등을 세심하게 분석하여 환자분마다 다른 얼굴형과 인상, 미소 라인에 맞는 방향으로 치료를 계획합니다.
기존 임플란트가 어색하다고 해서 무조건 큰 치료만이 답은 아닙니다. 현재 상태를 정확히 분석하고, 필요한 부위를 적절하게 조합해 치료하면 보다 자연스럽고 아름다운 결과를 충분히 기대할 수 있습니다.

이번 환자분도 오브제로 라미네이트와 임플란트 보철 치료를 통해 기존 임플란트의 부자연스러운 느낌을 개선하고, 자연스럽고 아름다운 미소를 되찾으셨습니다.
어색한 임플란트가 신경 쓰이거나 자연스러운 심미치료를 원하신다면 충분한 상담과 정밀한 진단을 통해 알맞는 치료 방법을 찾아보시길 바랍니다.
서울오브치과병원 서울특별시 송파구 백제고분로 196 4층, 5층
Explore More
Keep Browsing This Clinic's Korean Content Trail.
Return to the source archive for more posts, or move back to the clinic profile to compare the rest of the clinic's public channels.