Hello, this is Ob Dental Clinic.
Did you know that laminate and implant treatment can be performed at the same time?

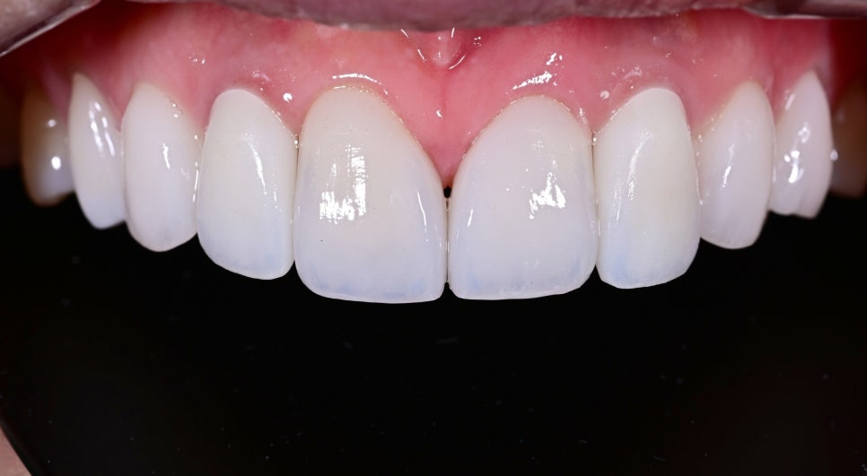
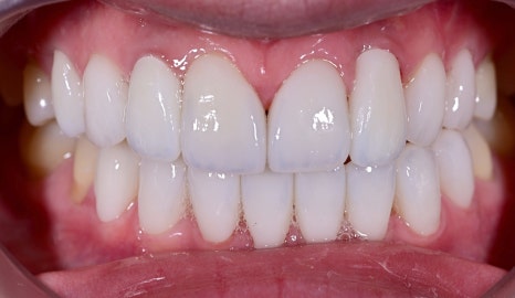
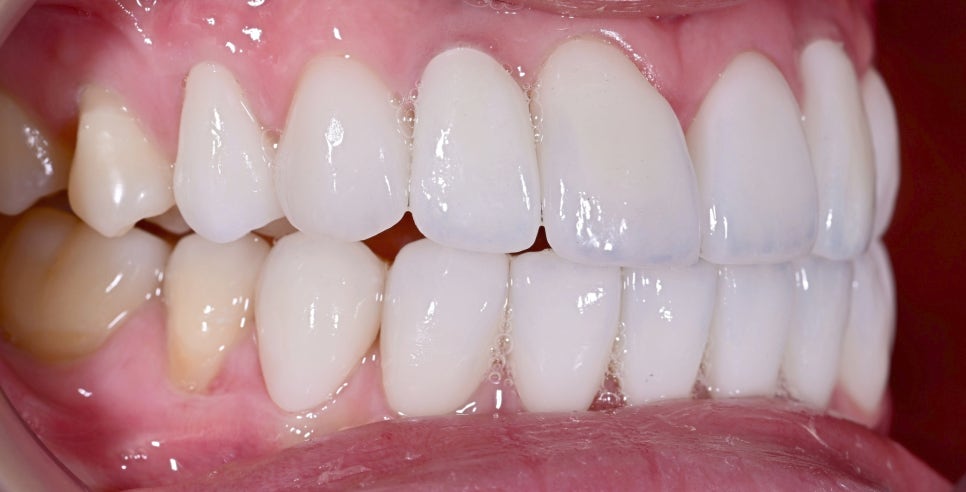
Which one is the implant?
The case we are introducing today is of a patient who visited us because they wanted to improve the unnatural look of a previously placed front-tooth implant.
Using Ob Zero, we carried out laminate and implant prosthetic treatment together to complete a more natural, beautiful, and radiant smile.
In particular, we will explain why it is beneficial to perform laminate and implant treatment together, and why laminate is recommended from the 20s through later adulthood.

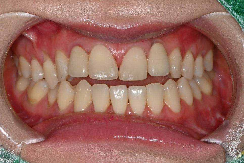
Before laminate and implant treatment
Because the front teeth are the first area seen when smiling, even small differences can have a major impact on the overall impression.
In particular, when the color, shape, or position of an existing implant looks awkward, patients often consider laminate. However, since laminate can only be performed on natural teeth, some teeth must be treated with implants and others with laminate.
The important point here is that the appearance and color of the implant and laminate must match. If there is even a slight difference in color or a sense of mismatch, you may feel discomfort every day in your future life.
Concerns before visiting the clinic
The patient said that their existing front-tooth implant did not blend well with the surrounding natural teeth, and that the awkward feeling every time they smiled was bothersome.
In particular, if the implant restoration appears to sit lower or the boundary with the gums does not fit neatly, it becomes very noticeable.

Existing implant
Rather than simply making it brighter, they valued these three points most:
-
A harmonized overall tooth arrangement
-
A white tone that does not look overly artificial
-
Naturalness so the implant does not stand out
In fact, in front-tooth aesthetic treatment, matching only the tooth color does not create a natural result. The width, length, line, surface texture of the teeth, harmony with the gums, and left-right symmetry must all be considered together to achieve a satisfying outcome.
Treatment plan
In this case, after carefully checking the patient’s existing teeth and implant condition, we planned treatment in the following direction to balance the overall aesthetics.
At Seoul Ob Dental Hospital, treatment is directly performed by a prosthodontist who can provide laminate care and an oral and maxillofacial surgeon, so both procedures can be carried out without issue.

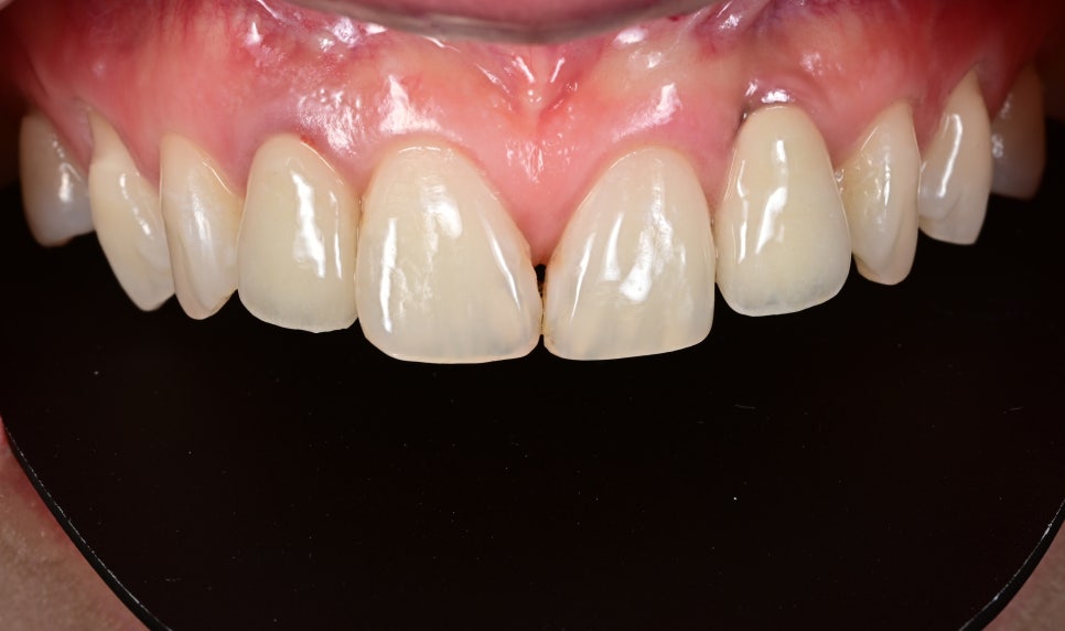
Before laminate and implant treatment
- Improving the awkward parts of the existing implant prosthesis
Front-tooth implants can differ from natural teeth in translucency and the way they connect with the gums, so prosthetic design is very important.
We reviewed the color, shape, and harmony of the existing prosthesis and redesigned it so it would blend more naturally with the surrounding teeth.
- Improving the overall aesthetic harmony through Ob Zero laminate
If only the implant is corrected on its own, the difference from the surrounding natural teeth may stand out even more, so we carried out Ob Zero laminate together while considering the entire front-tooth line.
Ob Zero laminate does not simply make teeth look whiter. Its strength lies in reflecting each individual’s face, smile line, and the characteristics of their existing teeth to create a more natural and refined impression.
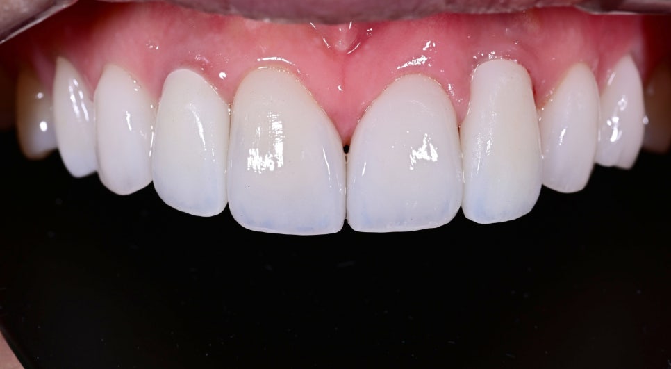
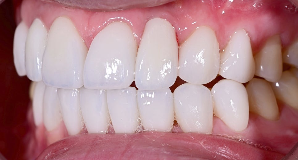
Changes after treatment
The biggest change after treatment was that the implant no longer looked separate.
Previously, the implant area looked slightly different from the surrounding teeth, disrupting the unity of the entire front-tooth area. After treatment, however, the color, shape, and proportions of the front teeth were connected much more smoothly, making the overall impression look more organized and natural.


It was also completed in a clean, luxurious white tone that suited the patient’s image, rather than a tone that felt too cold or artificial, making the overall atmosphere when smiling much brighter.
People considering implant treatment are usually those with chewing function issues or many missing teeth, so functional aspects must naturally come first.
However, once implant treatment allows you to chew food without pain, that is when the color and design may start to feel lacking. We aim to complete the treatment well from the beginning so you do not later feel, "It could have been made prettier, or whiter."

Why can front-tooth implants look awkward?
The reasons front-tooth implants can look unnatural are quite varied.
-
A color that does not match the surrounding teeth
-
An imbalance in the width-to-length ratio of the front teeth
-
Differences in surface texture
-
Slight asymmetry in the gum line
-
Lack of connection with adjacent teeth
-
Problems with the thickness or shape of the existing prosthesis

In such cases, simply replacing one prosthetic piece is not enough; you need to look at harmony with the surrounding natural teeth as well to achieve better results. That is why, as in this case, an approach that designs laminate and implant prosthetics together can be very important.
When laminate + implant treatment is recommended

For those whose existing front-tooth implant stands out noticeably
For those who want whiter teeth but do not want an overly artificial look
For those who want to improve the shape and proportions of their front teeth as well
For those who want laminate and implants treated in harmony
For those who want "naturally beautiful" rather than simply "beautiful"
A common misconception
Many people think, "Laminate requires removing tooth structure, and because it is thin, it is not very durable." However, Ob Zero laminate can preserve natural teeth and, because it uses a very strong ceramic material, it can be used semi-permanently for more than 15 years.

Rather, it serves as a thin and strong shield over the front of the teeth, protecting them from wear and fracture (breaking). That is why we confidently recommend laminate even to older patients.
Aesthetic treatment that Ob Dental Clinic values
Aesthetic treatment is not simply treatment that makes teeth white. Especially for front teeth, even very small differences can greatly change the impression, so more important than the perfection of each individual tooth is how naturally everything blends within the overall smile.
Ob Dental Clinic carefully analyzes the awkwardness of existing implants, imbalances in tooth shape, and differences in color, then plans treatment in a direction suited to each patient’s face shape, impression, and smile line.
An awkward existing implant does not necessarily mean that only a large-scale treatment will solve the problem. If the current condition is accurately analyzed and the necessary areas are treated in the right combination, a more natural and beautiful result is entirely possible.

This patient also improved the unnatural appearance of the existing implant and regained a natural, beautiful smile through Ob Zero laminate and implant prosthetic treatment.
If you are concerned about an awkward implant or want natural aesthetic treatment, we recommend finding the right treatment method through sufficient consultation and a precise diagnosis.
Seoul Ob Dental Hospital
4th and 5th floors, 196 Baekjegobun-ro, Songpa-gu, Seoul