아카이브 요약
이 페이지의 역할
레브치과의원 강남점의 네이버 블로그 원문을 보존한 아카이브 페이지입니다. 이웃공개 치과컨텐츠 카테고리의 신사역 무삭제 라미네이트 : 레브네이트 내츄럴 최소삭제 비니어. 50대 앞니 벌어짐 비용/후기/얼굴사진. 글을 통해 병원의 한국어 정보 제공 방식과 진료 관련 안내 톤을 확인할 수 있습니다.
원문 검증
필요하면 원문 블로그와 병원 프로필로 바로 이동해 문맥을 다시 확인할 수 있습니다.
출처 아카이브 열기아카이브된 블로그 글
레브치과의원 강남점 · Naver Blog
안녕하세요? 신사역 레브치과 대표원장 백원선입니다. 1년 363일 오픈하며, 원데이 라미네이트와 주7일 인비절라인 치아교정치료 등이 가능한 치과를 만든 포부를 포스팅 했었는데요, 저희 치과 소개를 동영상과 사진으로 잘 소개해보았습니다! 이제 유튜브도 시작해보려고 하는데, 예쁘게 봐주세요 :) 무삭제 최소삭제...
게시일
2025년 6월 12일
원문 기준으로 확인된 발행일입니다.
카테고리
이웃공개 치과컨텐츠
원문 블로그 카테고리를 정리해 함께 표시합니다.
이미지 수
18
현재 아카이브에 연결된 이미지 수입니다.
아카이브 요약
레브치과의원 강남점의 네이버 블로그 원문을 보존한 아카이브 페이지입니다. 이웃공개 치과컨텐츠 카테고리의 신사역 무삭제 라미네이트 : 레브네이트 내츄럴 최소삭제 비니어. 50대 앞니 벌어짐 비용/후기/얼굴사진. 글을 통해 병원의 한국어 정보 제공 방식과 진료 관련 안내 톤을 확인할 수 있습니다.
원문 검증
필요하면 원문 블로그와 병원 프로필로 바로 이동해 문맥을 다시 확인할 수 있습니다.
출처 아카이브 열기안녕하세요?
신사역 레브치과 대표원장 백원선입니다.
1년 363일 오픈하며, 원데이 라미네이트와 주7일 인비절라인 치아교정치료 등이 가능한 치과를 만든 포부를 포스팅 했었는데요,
저희 치과 소개를 동영상과 사진으로 잘 소개해보았습니다!
이제 유튜브도 시작해보려고 하는데, 예쁘게 봐주세요 :)

무삭제 최소삭제 라미네이트
레브네이트 내츄럴
오늘 소개해드릴 진료 주제는 무삭제 최소삭제 라미네이트입니다.
케이스를 보면서, 간단하게 리뷰해보고자 해요.

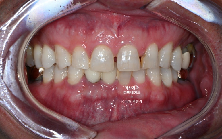
앞니의 벌어짐을 해결하고 싶어서 라미네이트 치료를 받으러 오신 50대 남자분이었습니다.
사실 교정치료로도 해결이 가능하겠지만, 이곳 저곳에 임플란트도 있고 오랜 기간 교정장치를 붙이고 싶어하지 않으셨어요.

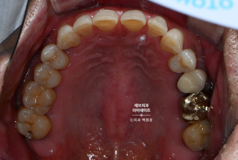
교합면에서 보면, 배열은 비교적 좋으신 편입니다.
다만 잇몸 아래 치석 (치은연하치석)이 있어보여서, 간단한 스케일링과 잇몸치료는 해야하는 상황.
이렇게 치아가 벌어지는 이유가 특별히 있을까요?
치아 주변에 천천히 쌓여가는 치석이 제 때 제거되지 못해서 만성치주염이 심해지면, 병적 치아이동이 일어나면서 앞니 벌어짐이 생길 수 있습니다.
하지만, 이 50대 남자분 같은 경우 그 정도로 잇몸이 안좋으신건 아니었고 선천적으로 앞니 벌어짐이 있었던 분이었습니다.

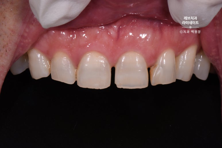
그리고 좀 더 자세히 보면, 앞니 벌어짐도 있지만, 치아의 끝이 조금씩 깨져나간 것을 보실 수 있을거에요.
내 치아를 오래 써온 중장년층 분들에게서 많이 보이는 형태입니다.
치아의 가장 바깥층인 법랑질이 깨져나가서 예쁘지 않아보이게 되는 것이죠..
잘 보시면 앞니 벌어짐을 해결하기 위해서 옆면 레진치료를 받은 흔적도 보이는데요,
레진이라는 재료는 시간이 지나가면서 갈색으로 변해가기 때문에 당장 몇 년은 그럴싸하게 쓸 수 있겠으나 점점 불만족이 쌓여가는 진료입니다.
레브치과의 라미네이트
레브네이트 내츄럴으로 치료계획을 세웠습니다.


가만히 있을 때는 모르겠지만, 살짝 웃으실 때 앞니 벌어짐이 너무 심하게 티가 나는 상황이셨어요.
앞니가 벌어지면 복이 달아난다는 얘기도 많이 하잖아요? 저희 신사역 레브치과의 라미네이트 라인업인 레브네이트 내츄럴로 치료해보기로 했습니다.
레브네이트 내츄럴 라인은 단지 하얀색의 라미네이트를 추구하는 것이 아닙니다.
색상이 한 두톤 정도 밝아지면서도, 모양을 가지런하지만 자연스럽게.. 인위적인 아름다움과 자연스러운 아름다움의 사이에서 개선을 이끌어내는 그런 아름다움을 추구하는 라미네이트입니다.
저희 레브치과 소속의 전담 세라미스트가 배정되어 스마일 라인부터 시작해서 얼굴의 정중선, 입술선의 위치, 피부색, 얼굴 근육의 배열 등을 고려해서 직접 디자인하고 컬러링해서 완성시키는 미들급의 라미네이트입니다.
무삭제 라미네이트 ?
최소삭제 라미네이트?
얼마나 치아를 깎는걸까요?

치아를 다듬기 전에 미리 치아 색상을 측정해둡니다.
현재는 4M1,2,3 쉐이드 가이드가 함께 찍혀있네요.
무삭제 라미네이트 라는 말이 엄청나게 유행입니다. 삭제를 안한다는 말인데.. 그럴리가 없죠?
왜냐면, 깨져있는 부분을 부드럽게 다듬기 위해서 치아를 아주 소량 깎아내야하고.. 0.1mm 단위라고 하여도 라미네이트를 위한 공간만큼 치아 삭제를 하긴 해야하거든요.
마치 오렌지 과즙 함량이 얼마 이상이면 표기가 가능해지듯, 무삭제라는 용어도 치료 목적으로 '시리지 않는' 선에서 살짝 다듬는 것까지는 무삭제로 많이들 사용하는 것 같습니다.
그리고 생각해보면 치아마다 삭제하는 양이 다르기에, 어느 녀석은 무삭제일수도 있지만 그 옆에 치아는 최소삭제일수도 있겠죠. 마케팅을 받아들일 땐 현명하게!

레이저를 이용해서 잇몸성형을 해주었고, 최소삭제를 시행하여 라미네이를 붙일 준비를 완료하였습니다.
위 아래 사진을 비교해보면 아실거에요. 오히려 치아가 깨끗해졌다는 것을(?)
이런 가지런한 모양으로 만들어드리면, 라미네이트를 제작할 준비가 끝난겁니다.
레브네이트 내츄럴
레브네이트 엑스퍼트

단 한 명만을 위한 6개의 라미네이트가 수작업으로 제작되었답니다.
보시면 약~간 비춰보이는 것 같다는 느낌을 받으실텐데요. 레브네이트 내츄럴 등급은 약 0.3mm 정도의 두께를 가집니다.
살짝 보시면, 라미네이트들이 천편일률적으로 자로 잘라낸 것 처럼 생기지 않았다는 생각이 드실거에요.
앞서 언급했듯, 자연스럽게 한 듯 안 한듯한 결과물을 원하셨기 때문에 이렇게 개인의 특성이 반영된 레브네이트 내츄럴을 제작했던 것입니다.
생각보다 실력이 엄청 좋은 전담 세라미스트가 있어야 가능한 작업입니다. 수제 공방같달까요.

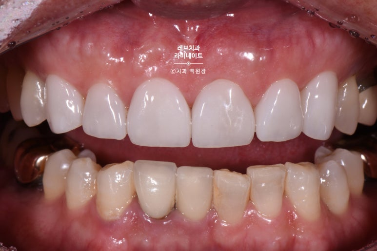
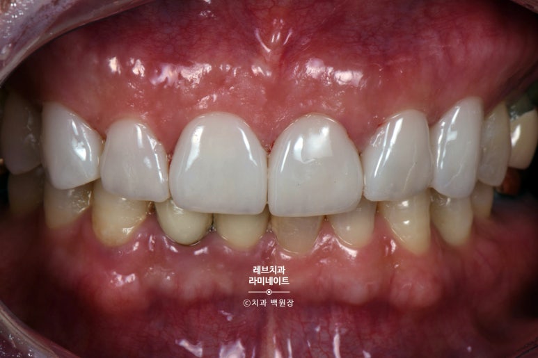
짜잔! 위에 있는 6개의 레브네이트가 셋팅된 사진입니다.
잇몸 성형과 단 6개의 레브네이트로 이렇게 달라진 모습을 보실 수 있습니다.

위 앞니 벌어짐은 모두 해결됐으며, 환자분이 원하셨던 약 2단계 정도의 밝아짐도 충분히 얻어냈습니다.
세라믹 재질의 레브네이트가 접착됨으로써, 치아는 더 윤기나보이고 레진으로 떼워서 변색이 있었던 곳도 감쪽같이 사라졌어요!
보통 라미네이트 하기로 처음 마음 먹으신 분들이 오면, 일단 위에 치아부터 해보시라 권유드립니다.
이렇게 드라마틱한 변화가 있기 때문에, 위에만 해도 만족감이 아주 크거든요!
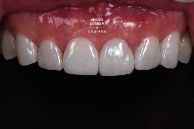
라미네이트의 완성은 얼굴 사진까지 보셔야 합니다.
치아가 다소 회색빛이 돈다고 생각하셨나요?
우리가 생각한 마냥 흰색깔... 마치 세면대 같은 밝은 하얀색이 아니라서 실망하셨나요?...


입 안 사진을 보시면 전혀 그렇지 않습니다.
사람마다 생긴 것이 다르고 미소가 다릅니다.
피부색도 다르고 웃는 입술의 모양도 다르죠...
그래서 정말 자연스럽게 예쁘게 하는게 어려운겁니다 !!
저희 신사역 레브치과에서 추구하는 레브네이트는 '당연히' 더 밝고 하얗게 개선됨도 있겠지만, 오래 봐도 질리지 않을 자연스러움을 추구합니다.
생각보다 너무 자기 치아처럼 예쁘게 잘 된 것 같은 케이스였습니다.

치아만 놓고 보았을 땐 왠지 뭔가 어두워 보였던 그 느낌이, 이렇게 입술과 함께라면 아!! 이게 자연스럽게 예쁜것이었구나 !! 라는 생각이 들게 만듭니다. ㅎㅎ
그래서 미적 감각이라는게 필요한가봐요 ^^;;
Before & After


드라마틱한 모양의 변화가 있었습니다. 위 앞니 벌어짐이 완벽히 해소되었습니다.
치아 끝이 깨져나감이 해결되었습니다. 이제는 젊어지는 기분으로 완전한 모양의 치아에 익숙해지세요.
치아 색상이 밝아지고 얼룩덜룩함이 없어졌습니다. 이젠 앞니 옆면을 레진으로 떼우는 세상이 아닙니다. 세라믹은 레진보다 완전한 재료입니다.
치아가 더욱 윤이나고 매끈해졌습니다. 이제는 치아도 안티에이징의 시대입니다.


사실 눈까지 모두 공개된 사진에서 더 자연스러운데, 초상권을 보호하기 위해 올리지 않습니다!
앞니 벌어짐을 해결하는 것 뿐만 아니라, 개인의 얼굴에 맞는 자연스러운 라미네이트를 해냈다는 것에 아주 큰 의의가 있는 것 같습니다.
또한 치아를 많이 삭제하지 않습니다. 정확히 치아를 다듬는 정도라고 생각하시면 됩니다. 얼마나 깎았는지는 사진속에 적나라하게 나와있으니깐요 ! 직접 눈으로 확인해보세요!!
그리고..... 저희 레브네이트 결과물을 보시고, 아내분도 그 날 똑같이 치료 결정해주신건 안비밀! 정말이에요. 후기 남기겠습니다 ^^
저희 레브치과 ; 장점이 참 많습니다.
좋은 재료 쓰고 좋은 가격으로 치과진료 서비스를 제공합니다.
꿈의 치과; 레브치과 라는 슬로건에 맞게, 밥먹을 수 있게 하는 진료 + 아프지 않게 하는 진료 + 예쁘게 만들어주는 진료 모두 잘 하는 치과가 되도록 최선을 다하겠습니다.
레브치과의 라미네이트 ; 레브네이트의 첫 소개를 마치겠습니다.
치료 받으신 기간은 1주일입니다. 내원 횟수는 2회입니다.
비용이 궁금하신 분들 또한 댓글을 달아주세요 :) 친절히 안내해드리도록 하겠습니다.
이상 '신사역 무삭제 라미네이트 : 레브네이트 내츄럴 최소삭제 비니어. 50대 앞니 벌어짐 비용/후기/얼굴사진.' 에 관한 포스팅의 치과 백원장이었습니다. 긴 글 읽어주셔서 감사드리며, 궁금한 점은 언제든지 댓글로 문의해주세요!
더 좋은 포스팅으로 또 찾아뵙겠습니다 ^^
본 포스팅은 환자분의 동의 후 작성하였습니다.
치료 시작: 2025.06.02
치료 완료: 2025.06.09
예상되는 부작용: 변색, 파절 등.
이상 백원장의 치과공부였습니다.
감사합니다.