아카이브 요약
이 페이지의 역할
레브치과의원 강남점의 네이버 블로그 원문을 보존한 아카이브 페이지입니다. 이웃공개 치과컨텐츠 카테고리의 옆면 어금니 충치 하루만에 가능한 논현동 치과. 치아미백 가격 후기. 글을 통해 병원의 한국어 정보 제공 방식과 진료 관련 안내 톤을 확인할 수 있습니다.
원문 검증
필요하면 원문 블로그와 병원 프로필로 바로 이동해 문맥을 다시 확인할 수 있습니다.
출처 아카이브 열기아카이브된 블로그 글
레브치과의원 강남점 · Naver Blog
안녕하세요? 논현동 레브치과 강남점 대표원장 백원선입니다. 요새 저희 레브치과에 치아미백하러 많은 환자분들이 방문하고 계셔요. 오늘 소개해드릴 분은 치아미백 가격 상담 받으러 왔다가 어금니 옆면 충치치료까지 받고 간 분입니다! 옆면 충치는 보통 '인레이'라는 치료로 마무리 되는데, 치과기공사가 함께 있는 저희 논현...
게시일
2025년 6월 23일
원문 기준으로 확인된 발행일입니다.
카테고리
이웃공개 치과컨텐츠
원문 블로그 카테고리를 정리해 함께 표시합니다.
이미지 수
10
현재 아카이브에 연결된 이미지 수입니다.
아카이브 요약
레브치과의원 강남점의 네이버 블로그 원문을 보존한 아카이브 페이지입니다. 이웃공개 치과컨텐츠 카테고리의 옆면 어금니 충치 하루만에 가능한 논현동 치과. 치아미백 가격 후기. 글을 통해 병원의 한국어 정보 제공 방식과 진료 관련 안내 톤을 확인할 수 있습니다.
원문 검증
필요하면 원문 블로그와 병원 프로필로 바로 이동해 문맥을 다시 확인할 수 있습니다.
출처 아카이브 열기안녕하세요?
논현동 레브치과 강남점 대표원장 백원선입니다.
요새 저희 레브치과에 치아미백하러 많은 환자분들이 방문하고 계셔요.
오늘 소개해드릴 분은 치아미백 가격 상담 받으러 왔다가 어금니 옆면 충치치료까지 받고 간 분입니다!
옆면 충치는 보통 '인레이'라는 치료로 마무리 되는데, 치과기공사가 함께 있는 저희 논현동 레브치과의 경우는 당일완성 치료가 되는게 장점입니다!!
사실 저희 치과는 무삭제 라미네이트에 진심인 치과로, 예뻐지는 치료도 많이 하는 곳입니다만..
당일 완성 원데이 라미네이트 시술을 추구하다보니, 모든 진료를 하루만에 해드리는 치과가 될 수 있었어요. ㅎㅎ

치아미백 가격 상담 받고 싶어요.
그리고 어금니에 까맣게 보이는 곳이 있다고 들었어요.

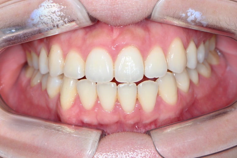
치아가 비교적 가지런한 편이지만, 약간은 노랗게 보이는 치아를 밝고 싶다는 이유로 오신 분이었어요.
요새 저희 논현동 레브치과가 치아미백 핫플인거 아시죠? ㅎㅎ 진짜 병원에 있는 치아미백 기계를 풀로 돌려도 손이 모자랄 정도......

치아 미백을 받으러 오신 분들은 이렇게 치아 색상표를 함께 두고 상담을 합니다.
보통 한국사람 치아는 A1,A2,A3,A3.5 등등 A계열의 색상이 많은 것 같아요~
참고로 숫자가 클수록 치아는 어두워집니다.

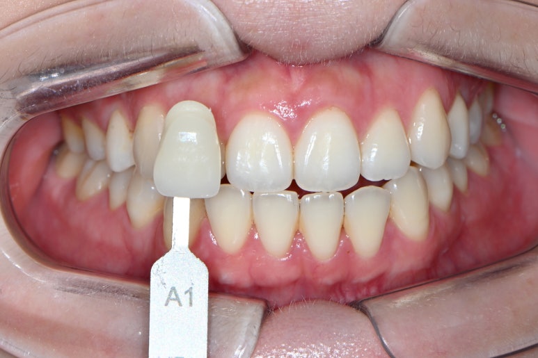
마치 A1 처럼 보이는 색상....
사실 더 밝아질 것은 없다고 생각하지만, 이런 경우 치아미백을 하면 노란색 끼가 없어지면서 더 블루한 느낌이 되는 원리로 밝아져 보이는 효과를 얻게 됩니다.

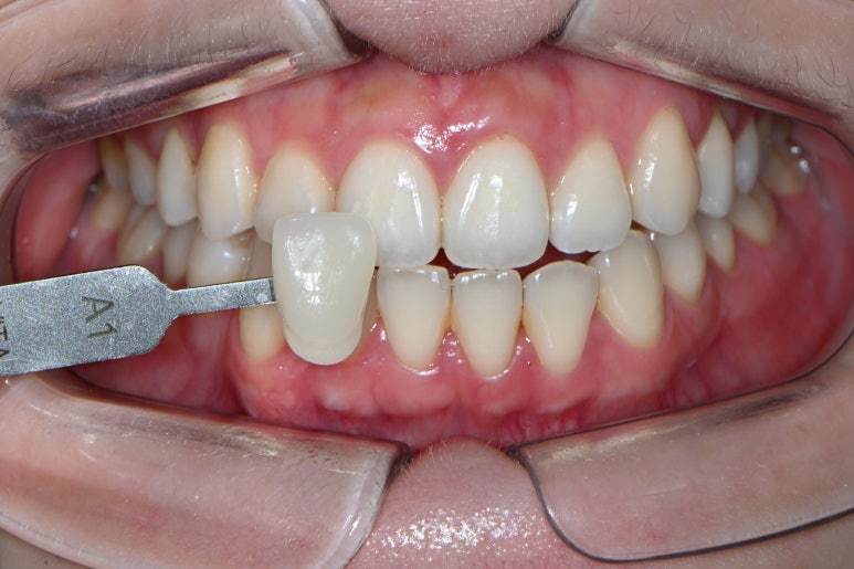
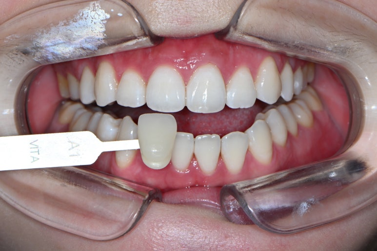
치아미백을 하고난 후 입니다!
VITA Shade guide를 사용했을 때, 치아미백 전에는 A1이랑 비슷했던 색감이 A1을 대면 확실히 더 하얘보이게 바뀐 것을 느끼실 수 있죠...?
전반적으로 노란색을 띄던 감이 많이 사라지고, 이렇게 하얀 톤으로 개선된 것을 보실 수 있을겁니다!!
왼쪽 위 어금니에 까맣게 보이는 곳이 있었죠!?

이렇게 입천장을 바라보는 샷을 저희는 교합면 뷰 라고 부릅니다.
잘 보면 충치가 어딨는지 아실 수 있을거에요~~ 잘 구별하실 수 있으시겠어요..?

알아보기 쉽게 충치가 있는 곳만 떼서 표시를 해봤습니다.
옆면 충치가 생기셔서 검게 멍든 것처럼 보이는 치아... 양쪽이 동시에 썩었더라구요...
치과용 파노라마 사진을 보시면, 아주 잘~~~보시면 까맣게 동그라미진 곳이 보이실거에요.
어쨌든 옆면 충치를 발견했기에, 3M 에서 나온 Lava Ultimate라는 비싼 재료의 레진인레이 치료 계획을 세웠습니다.
비교적 앞쪽의 치아이기 때문에, 크게 웃으면 보일수도 있어서 치아색의 인레이로 결정했습니다!
스카치 테이프 만드는 3M 회사입니다!
이젠 감쪽같이 치료가 마무리 되었습니다.

잘 보시면 똑같은 부위에 멍들어 보이던 치아가 이젠 깨끗이 치료된 것을 보실 수 있을거에요!

기억자와 니은자처럼 생긴 레진 인레이 두개가 예쁘게 자리잡아 있네요. 사랑니를 보기 위해 찍었던 파노라마 사진에서 확인할 수 있었답니다. 완전 깔끔 !!!

치과 전시회를 방문해보면, 이렇게 큰 기계들이 서있는 아름덴티스트리 매장을 볼 수 있습니다.
저희도 그 중 가장 보편적인 밀링 머신을 가지고 있는데요, 요 장비를 이용하면 레진인레이의 경우 하나당 15분이면 만들어낼 수 있어요! 두개니깐 30분이면 끝난다는 말씀~
후가공을 조금만 해주면, 바로 환자분이 붙이고 가실 수 있을 퀄리티로 완성됩니다.
보통 동네치과에서 인레이 치료 받으시면,
치아 깎고 -> 뽄뜨고 -> 치과 기공소로 택배 보내고 -> 치과 기공소에서 만들고 -> 치과 기공소에서 택배 보내고 -> 인레이 도착하면 상태 확인하고 -> 환자분께 붙여서 치료 완료!
이런 과정으로 1주일이나 걸리는데,
저희 논현동 레브치과의 원데이 진료 시스템으로
치아 깎고 -> 구강 스캐너로 입 안 사진찍고 -> 치과 기공실에서 만들고 -> 환자분께 붙여서 치료 완료!
택배를 거치지 않고 완전 디지털화된 데이터로만 작업해서
단 1-2시간이면 모든 치료가 끝나는 상태가 되어 있습니다.
지난번 포스팅에도 적어드렸지만, 저희 레브치과 참 장점이 많습니다.
그 중에서 환자분들의 편의를 위해 정말 고심하고 고심해서 갖춰낸 최고의 원데이 진료 시스템!
원데이 라미네이트가 가능한 치과라면, 보통 인레이와 크라운 그리고 브릿지 정도는 하루만에 치료를 끝낼 수 있습니다.
바쁜 현대인들을 위한 하루만에 완성되는 치과진료. 아직도 치과에 몇 번씩 가서 치료 받으시나요...?
수준높은 기공실을 보유한 저희 논현동 레브치과에 방문하시면 치과 진료의 신세계를 보실 수 있을겁니다!!!
치료 받으신 기간은 1일입니다. 내원 횟수는 1회입니다.
비용이 궁금하신 분들 또한 댓글을 달아주세요 :) 친절히 안내해드리도록 하겠습니다.
이상 '옆면 어금니 충치 하루만에 가능한 논현동 치과. 치아미백 가격 후기.' 에 관한 포스팅의 치과 백원장이었습니다. 긴 글 읽어주셔서 감사드리며, 궁금한 점은 언제든지 댓글로 문의해주세요!
더 좋은 포스팅으로 또 찾아뵙겠습니다 ^^
본 포스팅은 환자분의 동의 후 작성하였습니다.
치료 시작: 2025.06.07
치료 완료: 2025.06.07
예상되는 부작용: 조기 파절, 이차우식 등.
이상 백원장의 치과공부였습니다.
감사합니다.