안녕하세요?
압구정 치과 대표원장 백원선입니다.
오늘 소개해드릴 환자분은 40대 여자분으로, 앞니 벌어짐과 충치를 해결하기 위해 레진을 여러번 떼우다가 큰 마음 먹고 저희 레브치과의 라미네이트 치료를 받으러 오신 분입니다.
이전에 비슷한 케이스로 앞니 벌어짐을 해결하기 위해 방문했던 50대 남성분의 케이스를 소개해드렸습니다.
당시에 사용했던 '레브네이트 엑스퍼트'는 자연스러운 아름다움을 주는 사례였는데요,
이번에도 40대 여성분이 갖고싶어하신 아름다움의 개인적 기준에 맞춰 치료해본 케이스입니다.

무삭제 라미네이트
레브네이트 엑스퍼트
레브네이트 내츄럴이라는 네이밍이 다소 중성적이라, 전문가적 느낌을 부여하기 위해 '레브네이트 엑스퍼트'라는 라인업으로 이름을 바꾸었습니다.
저희는 압구정 레브치과는
제작될 라미네이트의 수준에 맞추어
레브네이트 베이직
레브네이트 엑스퍼트
레브네이트 마스터
세 단계로 치료계획을 세우고 있습니다.
아참,
라미네이트라고 다 똑같은 라미네이트가 아닙니다!!

이건 저희 치과에서 했던 케이스가 아니고, 다른치과에서 몇 년 전에 치료받아 오셨던 케이스입니다.
위에 썸네일에 보이는 라미네이트랑 너무 많이 차이나지 않나요.....?
탁하고 바둑알 스러운 라미네이트....... 윤기도 없고 질감이 얼마나 Matt 한지.. 정말 매력적이지 않은 라미네이트입니다. 이런 치료를 받으실 수도 있어요.
라미네이트 치료를 고민하신다면 반드시 잘하는 치과를 가셔야 합니다.
어떤 치료를 하고 있는지 보여주는 저희 레브치과 같은 곳을 방문하세요!!
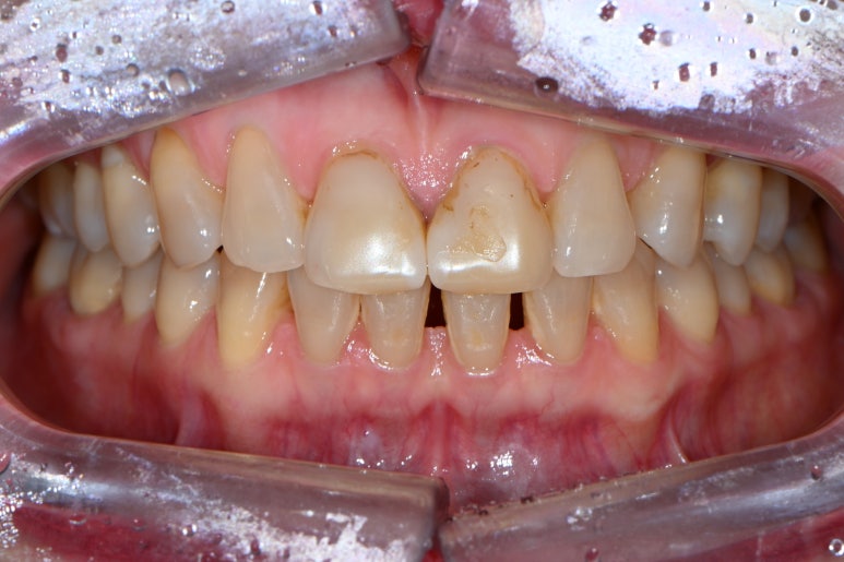
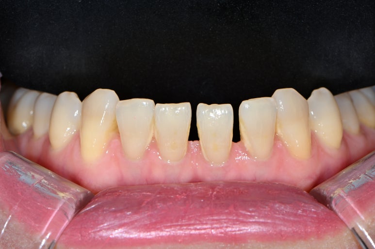
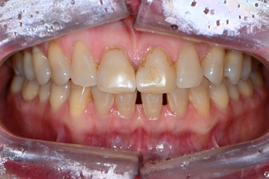
앞니 레진치료를 오랫동안 받아왔는데, 변색 때문에 괴로워요..
앞니 벌어짐도 해결하고 싶어요.

앞니 벌어짐과 앞니 레진 변색을 해결하고 싶은 마음에 압구정 치과에 방문하신 환자분입니다.
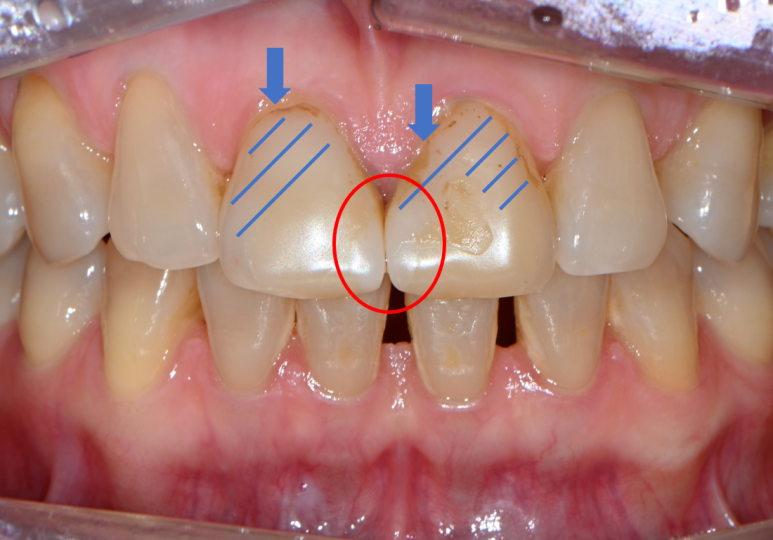
잘 보시면, 떼워놓은 앞니 레진 경계가 변색이 되서 갈색으로 보이시는 걸 확인하실 수 있죠??

파란색 빗금친 부위가 대략적으로 레진이 붙어있는 부위입니다.
물론 이만큼 레진으로 치료해내는 것부터 정말 고수이셨을 겁니다.
그렇지만, 시간이 지남에 따라 생기는 레진 변색은 거의 필연적이죠... 결국은 재치료 또 재치료....
빨간색으로 표시된 부위는 가운데 앞니의 빈틈을 메우기 위해 레진을 치아 옆에 붙여놓은 곳입니다.
그래도 요기는 변색은 없네요! 다만 색상의 부조화가 조금 있네요 ^^;;
세라믹 재질의 라미네이트가 솔루션이 될 수 있습니다.
라미네이트에 대한 오해를 지우고 싶습니다.

위 치아만 보면 변색이 더욱 도드라집니다. 치아가 얼룩덜룩하죠.?
계속 레진치료만 할 수도 없는 노릇입니다. 변색이 또 생기면 기존 레진 제거하고 더 넓게 떼우고... 또 레진 변색 생기면 더 넓게 떼우고...
혹자는 인스타그램 보면 기가멕히게 레진으로 잘 떼워주시는 분들도 있다고는 하는데, 솔직히 레진 치료 후 몇 년 뒤에 나타날 변색은 치과의사 그 누구도 예상할 수 없으리라 장담합니다.
앞니에 레진치료를 많이 받았던 분들. 과감히 라미네이트를 결정하실만한 이유가 된다고 생각합니다.
오히려 이런 레진 치료보다는 세라믹 재질의 얇~~은 라미네이트를 붙여주는게 훨씬 우월하고 깔끔한 치료니깐요.
저희 가족들도 (정확힌 부모님도) 같은 앞니 치료를 해드렸습니다. 정말이에요!

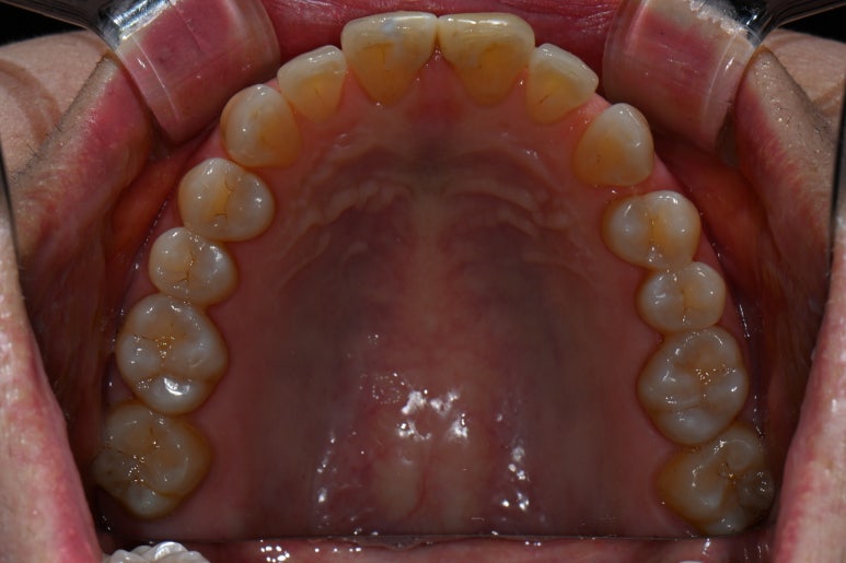
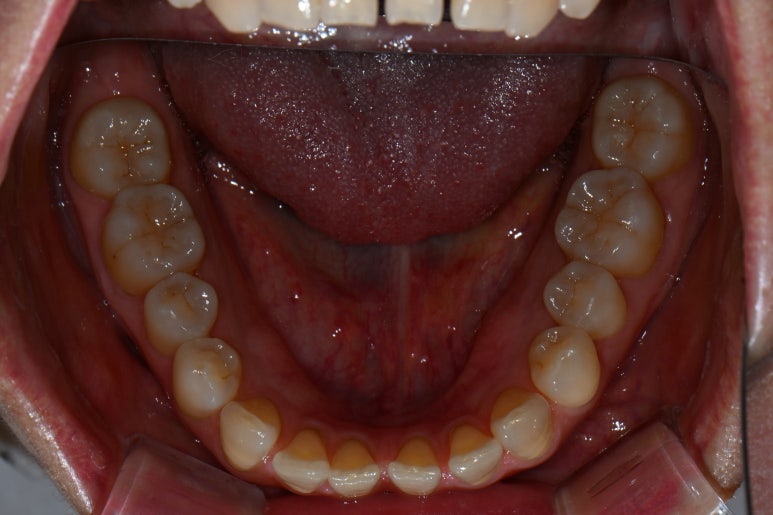
씹는 면에서 보시면 더욱 문제점이 잘 보입니다.
앞니 사이에 공간도 많으시고... 기존의 레진은 하염없이 두껍게만 붙여나가고 있는 수순이고..
앞니 벌어짐 + 레진 변색은 정말로 라미네이트 치료를 받기에 가장 적합한 경우라고 생각합니다.

그리고 하나 더 ! 이 분의 경우 아래 앞니에도 치아 사이 공간이 있어 많이 벌어짐이 있었는데요,
옛날부터 어르신들이 치아가 벌어져 있으면 복이 새어나간다고 하시잖아요~ 레진으로 양 옆에 붙여서 메꿔주는 것도 방법이지만, 얇은 세라믹을 붙여서 앞으로 변색 없이 완벽한 모양과 색상으로 유지해나가실 수 있을겁니다.

아래 앞니도 교합면에서 보면 생각보다 치아 사이 벌어짐이 많이 있으신 것을 보실 수 있을겁니다.
자, 이제 라미네이트 치료 과정을 살짝 볼까요?

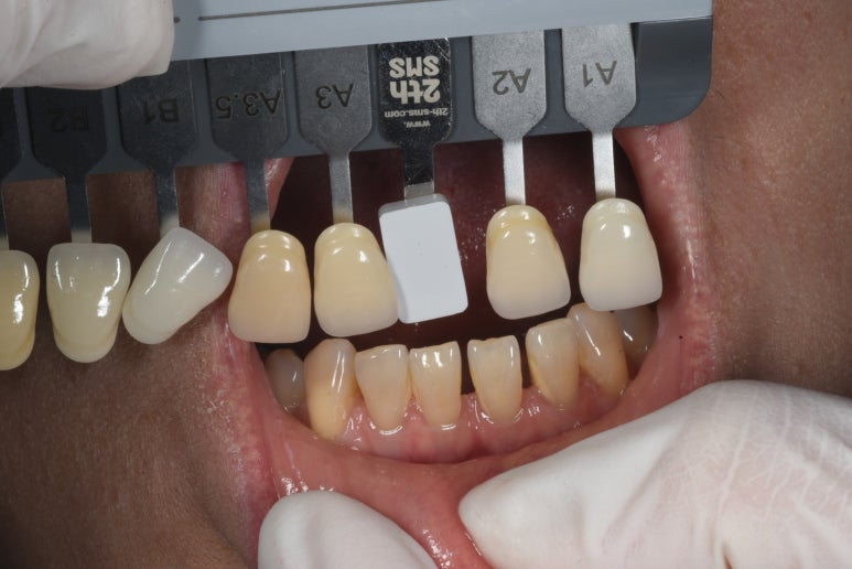
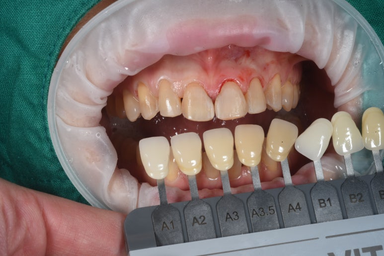
먼저 치아를 다듬기 전에 치아 색상을 측정해둡니다.
이 과정에서 환자분이 원하시는 치아의 색상과 모양을 기록해둡니다.

저희 압구정 레브치과에서는 치아의 모양과 색상을 상담하는 과정에서 주치의와 전담 세라미스트가 함께 참여하여 환자분의 니즈를 파악하기 위해 노력합니다.
이 과정이 가장 중요합니다!!! 환자분이 어떤 치아를 아시는 지 정확히 파악해야 여러번 치과에 오시지 않게 되거든요. 한 번에 잘 만들어드리기 위한 과정입니다 :)
최소한의 치아 다듬기가 필요합니다.

압구정 치과 라미네이트를 붙이기 전 치아를 다듬은 모습입니다.
이게 정말 끝입니다.
어쩌면, 치아가 더 예뻐졌다고 생각하실지도 모르겠습니다. (?!)
수직, 수평 모양을 맞추고 날카로운 부위를 둥글리는 과정 정도로 이해해주시면 됩니다.
또한 표면을 매끈하게 만들어 제작된 레브네이트가 치아에 딱 잘 적합되게 하는 과정이지요.
스크롤을 위아래로 오르락 내리락 하시면서 확인해보세요!
기술의 발달로 라미네이트는 더 강해지고 더 얇아져, 치아를 폴리싱 하는 정도만 손보아도 라미네이트를 제작할 수 있게 되었습니다.!!

자연스러운 웃음 기록은 필수 !!!
치아가 무조건 하얗다고 좋은 것은 아니에요~~
얼굴의 중심과 일치하는 치열을 만들기 위해서, 눈-코-입으로 이어지는 수평선을 맞추기 위해서,
스마일 라인과 조화로운 모양을 만들어드리기 위해서 반안모 사진은 필수입니다.
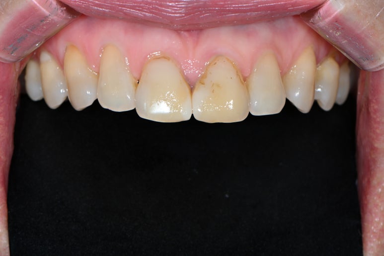
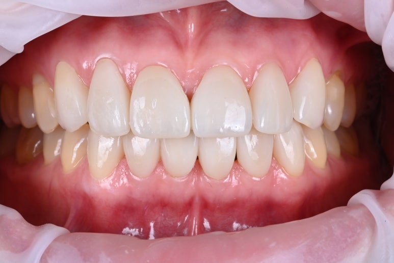
레브네이트 엑스퍼트... 전문가의 손길이 느껴지시나요?

이번 환자분 같은 경우 위 앞니 6개, 아래 앞이 6개를 '레브네이트 엑스퍼트'로 치료하였습니다.
REVENATE EXPERT
정말로 치과의사도 전문가, 전담 세라미스트도 전문가의 손길이 느껴지도록 열심히 만들어보았습니다.
우선 색상이 개선되었습니다.
상당히 자연스러운 색상인듯 느껴지며, 잘~ 보시면 실제 치아와 유사하게 보일 수 있도록 치아의 목 부위, 몸통 부위, 끝 부위의 색을 살짝 살짝 조정해놓은 것을 보실 수 있을거에요.
이게 뭔지 잘 모르신다면...

처음에 올려드렸던 다른 치과 라미네이트를 참고해보세요.
저희 압구정 치과에서 만들어낸 라미네이트는 정말로 품격이 다른 라미네이트라고 자부합니다.
그 다음으로 모양이 개선되었습니다.
좌우 대칭을 확보하였습니다. 조금 아쉽다면 위 앞니와 아래 앞니의 정중선이 약간 다른데, 치아를 최~대한 깎지 않다보니 위치까지 변경할 수 없기 때문이지요. 남들은 눈치못챌 포인트입니다.
앞니 벌어짐으로 생겼던 치아 사이 검은 공간이 사라졌습니다.
치아가 젊어지니 외모도 젊어집니다.


본연의 피부색과 어울리는 자연스러운 색상을 원하셔서, 오직 하얀 색깔만을 추구하는 것이 아닌 마치 젊었을 때의 치아 색상같은 모습으로 만들어드려보았습니다!
레브네이트 엑스퍼트는 이렇게 앞니 벌어짐, 잇몸사이 공간을 채워드리고, 치아의 수직 수평을 맞춰 안티 에이징의 효과까지 가져오는! 그런 멋진 작품이랍니다.
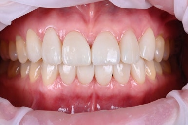
Before & After


모든 작품은 Before & After로 비교되어야 확실하게 확인할 수 있습니다.
전과 후의 사진이 진짜 같은 사람인가..? 싶을 정도로 드라마틱한 변화를 보여주고 있습니다.
미국에서 라미네이트 대가로 유명한 치과의사분도
라미네이트는 단지 하얗게 만들어 드리는 것이 아니라, 본인 얼굴에 맞게 치아를 디자인하고 안티에이징의 효과로 젊어지는 느낌을 찾아주는데 일조하는 성형이라고 얘기하시더라구요.


살짝 웃는 모습을 보았을 때, 더 확연히 라미네이트 치료의 효과가 보이는 것 같습니다.
어떠신가요? 오랫동안 여러번에 걸쳐 치료받았던 앞니 레진의 변색과 치아 벌어짐에서 자유로워지고, 이제는 더 자신감있게 미소를 지으실 수 있을 것 같이 않나요?
많은 분들이 이에 공감을 하실 것이라고 생각합니다!!
저도 연세대학교 치과대학을 나와 치아를 살리는 법을 배우기 위해 연세대학교 치과대학병원 본원에서 4년간 치주과 수련을 마쳤습니다.
흔들리는 치아를 살리기 위해 열심히 스케일링과 잇몸치료를 했었고, 치아의 소중함을 격히 알고 있습니다.
라미네이트는 앞니를 다 깎아버리는 무지성의 치료라는 생각을 했었던 때가 있습니다.
그런 제가 이젠 라미네이트 치료에 대해 180도 다른 시선을 갖게 되었구요.
예쁜 앞니를 갖는 다는 것은 아름다운 미소를 갖고 더 나아가 아름다운 얼굴, 이미지를 갖는데 아주 중요한 요소입니다. 교정치료를 하면 치아 배열은 이상적이게 될 수 있으나, 대칭적인 치아의 모양이나 밝은 치아를 가질 수는 없죠.
기술의 발달로 라미네이트는 이제 정말로 0.1mm 단위, 0.01mm 단위로 설계할 수 있게 되었습니다. 실제 두께는 0.1mm 정도에 그치는 경우도 많아요. 1mm 눈금의 1/10이니 얼마나 얇은지 감도 안오실거에요.
치아의 날카로운 부분을 다듬고 세라믹의 라미네이트를 제작하여 붙여 내가 자신감을 얻고 예뻐질 수 있다면, 그래서 컴플렉스에서 벗어날 수 있다면.. 저는 충분히 아름다운 그리고 필수적인 치료라고 생각합니다.
저희 압구정 레브치과에서는 최소한의 치아삭제 그리고 무삭제 라미네이트를 만들기 위해 노력하겠습니다.
치아에 악영향없이 예뻐지는 것이 우리 치과의사 사명 아니겠습니까!!
레브네이트를 응원해주세요!
이상 '앞니 무삭제 라미네이트 - 40대 벌어진 앞니에 변색된 레진은 이제 그만! 압구정 치과 추천.' 에 관한 포스팅의 치과 백원장이었습니다. 긴 글 읽어주셔서 감사드리며, 궁금한 점은 언제든지 댓글로 문의해주세요!
더 좋은 포스팅으로 또 찾아뵙겠습니다 ^^
본 포스팅은 환자분의 동의 후 작성하였습니다.
치료 시작: 2025.06.10
치료 완료: 2025.06.17
예상되는 부작용: 변색, 파절 등.
이상 백원장의 치과공부였습니다.
감사합니다.