안녕하세요?
신사역 레브치과 대표원장 백원선입니다.
앞니 임플란트로 고민중이신 분들을 위한 포스팅입니다.
앞니에 임플란트 할 일이 많이 없습니다만.. 크게 두 가지인 것 같습니다.
-
충치 혹은 외상으로 인한 앞니 부러짐이 있는 경우.
-
만성치주염으로 흔들리고 고름이 나오는 앞니가 있는 경우.
이전에 앞니 머리가 기둥째 부러진 케이스를 다뤄본 적이 있고,
너무 치주염이 심해서, 치아를 뽑고 브릿지로 깔끔하게 해결했던 적도 있었습니다.
모두 다 값진 케이스였죠!

앞니 부러짐.
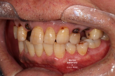
이차 충치로 인해 신경치료 받은 앞니가 부러졌어요.

오른쪽 가운데 대문니가 부러진 채로 내원했던 분이셨습니다.
비용 문제로 꽤나 오랫동안 내원을 망설였던 분이었어요.

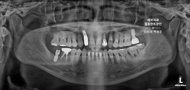
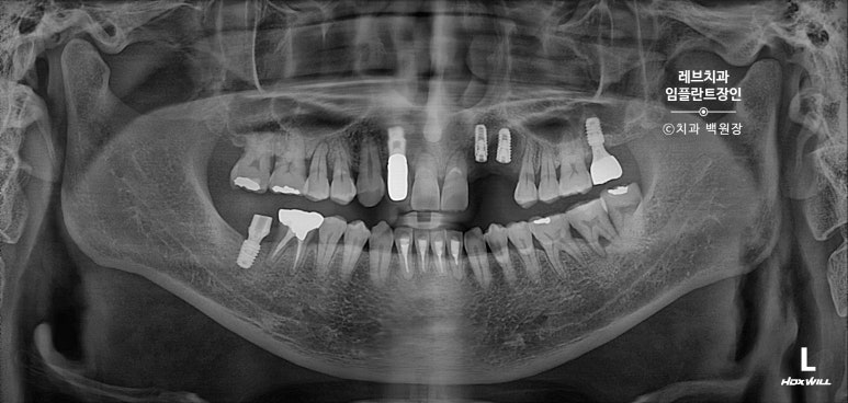
치과용 파노라마 사진을 보시면, 아주 짧은 뿌리만이 남아있는 것을 보실 수 있어요..


고개를 돌려서 보면, 뿌리만 있는 치아들이 몇개 보이고...
치아 목부위 (치경부)에 충치가 있는 치아들도 여러개 보여요.
이를 뽑으면서 바로 심어드렸습니다.
약간의 뼈이식도 함께 해드렸어요.

남은 치아가 작았기에 부러진 치아를 제거하면서 바로 임플란트를 심을 수 있었습니다.
치아를 제거한 곳과 임플란트 사이는 조금의 뼈이식으로 채워드렸어요.
위치가 알맞게 심긴 것을 확인하실 수 있을거에요.
3개월이 지나면 새 잇몸뼈와 임플란트가 골유착을 이루게 됩니다.

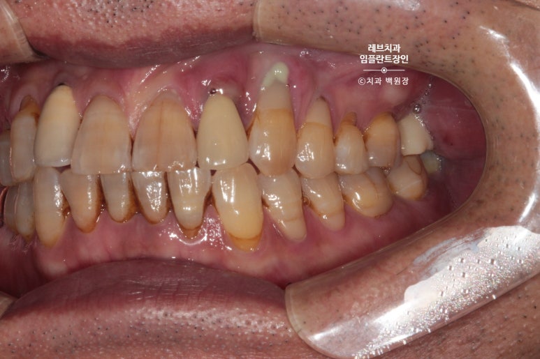
보시면 임플란트 주변으로 깔끔하게 잇몸이 아문 것을 보실 수 있죠?
그리고 또 하나의 변화! 기다리는 3개월의 치유기간동안 치아목의 충치들을 깔끔하게 치료해드렸습니다!
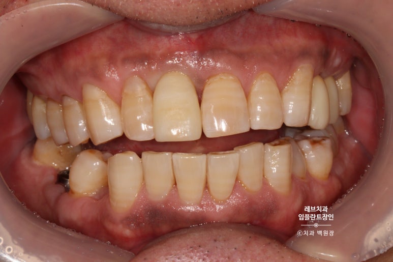
약~간 티가 나긴 하지만, 환자분은 매우 만족해하셨다는 후문.

저희 신사역 치과에 오시면, 치과 안에 기공소를 보유하고 있어서 앞니 임플란트의 경우 담당 기공사 선생님이 색깔과 모양을 직접 상담드립니다.
어찌됐건, 내 치아 보철물을 만들어주는 사람과 직접 이야기 할 수 있다는건 크나큰 메리트지요?

생각보다 특성을 살리기 어려웠던 줄무늬 치아.
약간의 아쉬움은 있지만, 환자분께선 나름 만족해하셨어요.

뒤에서 보면 나름 티가 많이 납니다. ㅎㅎ 이렇게 임시 접착 해드리고 1주일 써보시면 됩니다.

파노라마 엑스레이 사진에서도 알맞게 제작된 임플란트 크라운을 보실 수 있을꺼에요.
깔끔깔끔~~ 임플란트를 심는 것만이 중요한게 아니고, 머리까지 잘 만들어드려야 완성입니다~!
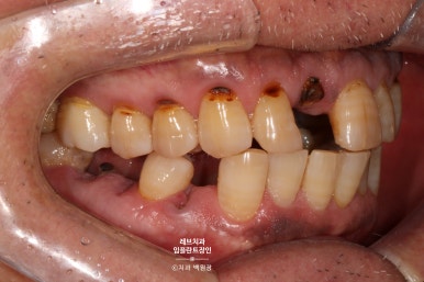
왼쪽 송곳니와 앞니가 흔들리고 고름이 나요.

왼쪽 위 송곳니 (앞니)에서 고름이 나온다는 말씀을 하시던 환자분입니다.
보시면 가만히 있어도 치아와 잇몸 사이에서 고름이 올라오는 것을 보실 수 있어요..
흡연을 좋아하시던 분이었고, 만성 치주염이 심해져서 치주농양까지 진행된 상태입니다.

치과용 파노라마 사진에서도 왼쪽 위 송곳니 주변으로 잇몸뼈가 사라진 것을 보실 수 있는데요,

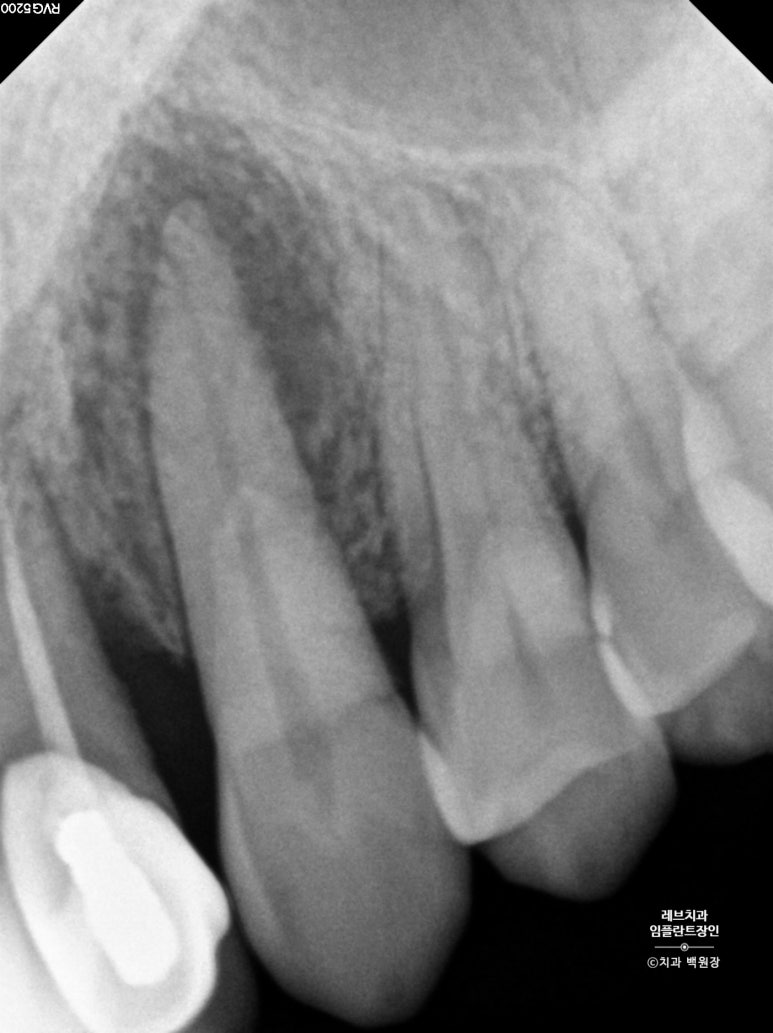
확대해볼 수 있는 치근단 방사선 사진을 보시면, 송곳니 뿌리 주변으로 거무딩딩하게 뼈가 없어진 것을 보실 수 있습니다.
만성치주염으로 상당히 많은 양의 잇몸뼈가 파괴되었죠.

이렇게 잇몸 염증이 심한 곳은....
뽑고 바로 임플란트를 심기가 생각보다 어렵습니다.
뽑고나면 뼈가 없으니깐요.. 주변에 고름도 많고...
그런 경우는 이를 뽑고 약 1달 정도 기다렸다가 임플란트 식립을 권해드립니다.
그 때 쯤이면 염증 소견은 모두 사라져 있을테고, 잇몸도 단단하게 아물어 있을것이니요.
그렇게 흔들림이 심했던 두 앞니를 뽑고,
한 달 뒤 임플란트 2개를 심어드렸습니다.
광범위한 뼈이식도 함께!

이렇게 잇몸 염증으로 앞니를 뽑은 경우, 한 달을 기다렸다 임플란트를 심더라도 꽤나 광범위한 뼈이식이 필요합니다. 앞선 환자분처럼 뿌리만 남아있지만 주변 뼈가 건강한 경우랑 조금 다르다고 할 수 있죠.

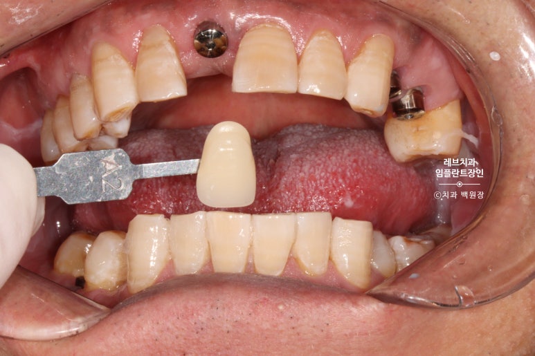
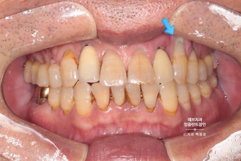
역시나 치아 색을 정하기 위해 shade guide를 이용하여 치아색 측정을 열심히 해봅니다.
어른들의 치아를 자세히 보시면, 생각보다 색구현이 어렵게 생겼음을 확인하실 수 있을거에요 ^^;;;

그리하여 유사하게 만들어본 앞니입니다.
왼쪽 위 작은 앞니와 송곳니를 합쳐서 2개짜리 보철물을 만들었어요!

완성 후 촬영한 치과용 방사선 엑스레이 사진에서도, 깔끔하게 완성된 보철물을 보실 수 있을겁니다.
치아를 뽑으면서 임플란트를 바로 심는 것이 능사는 아닙니다.
좋은 결과를 내기 위해서는 좋은 치료계획이 있어야겠죠?
전체적인 치료 시간을 줄일수는 있지만.. 이를 뽑으면서 임플란트를 심을 수 있는 가장 좋은 조건은 건강한 잇몸뼈를 가지고 있느냐 입니다. 그리고 이걸 캐치할 수 있는 치과의사여야겠죠?
첫번째 뿌리만 있었던 부러진 앞니가 바로 그런 케이스입니다. 비록 앞니는 뿌리 뿐이지만, 주변의 잇몸뼈는 아주 건강한 상태셨거든요. 이런 경우 간단 뼈이식과 함께 임플란트를 심어드리면, 치료 기간도 짧고 결과도 좋은.. 넘넘 좋은 케이스라고 할 수 있죠!
두번째 잇몸에서 고름이 나오고 치아가 흔들리는 환자분의 경우, 고름이 자리잡으면서 치아 주변의 잇몸뼈가 너무 광범위하게 파괴되어 있었기 때문에 생각보다 이를 뽑으면서 임플란트를 심어내기가 어렵습니다.
이러한 경우 무리해서 임플란트를 심느라 임플란트를 너~~~무 깊게 심게 되는 경우도 많아요.... 그러면 크라운까지 다 완성된 뒤부터 고생 시작입니다. 조심하셔야 해요.
본인이 가지고 있는 치아의 질병, 잇몸의 질병, 주변 치아의 상황, 나이, 건강상태 등등... 생각보다 치아 하나를 예쁘게 만들기 위해서 고려해야 할 상황이 아주 많습니다.
저도 강남구 신사역 치과로 개원해 있습니다만.. 그래서 충분히 훌륭할? 가격에 임플란트를 해드리고 있지만, 어쨌든 진심어린 치료계획 상담을 받을 수 있는 치과에서 치료 받으시길 권해드립니다.
맨날 임플란트 몇 개~ 돈이 얼마~ 이러고만 있으실 순 없잖아요. 내 몸을 소중히 여기고 현명한 소비자가 됩니다.
비용이 궁금하시면 댓글로 문의하셔도 좋고, 치과로 전화주셔도 됩니다.
이상 '앞니 부러짐? 뽑고 바로 임플란트 + 뼈이식. 앞니 흔들림? 뽑고 1달 기다리고 임플란트 + 뼈이식. 신사역 치과 후기/비용/과정.' 에 관한 포스팅의 치과 백원장이었습니다. 긴 글 읽어주셔서 감사드리며, 궁금한 점은 언제든지 댓글로 문의해주세요!
더 좋은 포스팅으로 또 찾아뵙겠습니다 ^^
본 포스팅은 환자분의 동의 후 작성하였습니다.
치료 시작: 각각 2023.04.28, 2021.03.30
치료 완료: 각각 2023.08.04, 2021.07.16
예상되는 부작용: 임플란트 주위염, 임플란트 파절 등.
이상 백원장의 치과공부였습니다.
감사합니다.