아카이브 요약
이 페이지의 역할
레브치과의원 강남점의 네이버 블로그 원문을 보존한 아카이브 페이지입니다. 이웃공개 치과컨텐츠 카테고리의 강남논현동치과 60대 치아부러짐 - 신경치료하고 기둥심고 앞니 크라운 잘하는곳! 가격/과정/후기/부작용. 글을 통해 병원의 한국어 정보 제공 방식과 진료 관련 안내 톤을 확인할 수 있습니다.
원문 검증
필요하면 원문 블로그와 병원 프로필로 바로 이동해 문맥을 다시 확인할 수 있습니다.
출처 아카이브 열기아카이브된 블로그 글
레브치과의원 강남점 · Naver Blog
안녕하세요? 논현동 레브치과 대표원장 백원선입니다. 지난번에 여러 이유로 앞니를 빼고, 임플란트 했던 케이스를 보여드렸습니다. 주요한 포인트는? 부러진 앞니는 뽑으면서 바로 심을 수 있지만, 고름이 심했던 앞니는 딱 1달만 기다렸다가 임플란트 수술을 하자!!! 그래야 뼈이식이 이쁘게 된다~ 이 얘기였습니다. 재밌게...
게시일
2025년 7월 11일
원문 기준으로 확인된 발행일입니다.
카테고리
이웃공개 치과컨텐츠
원문 블로그 카테고리를 정리해 함께 표시합니다.
이미지 수
16
현재 아카이브에 연결된 이미지 수입니다.
아카이브 요약
레브치과의원 강남점의 네이버 블로그 원문을 보존한 아카이브 페이지입니다. 이웃공개 치과컨텐츠 카테고리의 강남논현동치과 60대 치아부러짐 - 신경치료하고 기둥심고 앞니 크라운 잘하는곳! 가격/과정/후기/부작용. 글을 통해 병원의 한국어 정보 제공 방식과 진료 관련 안내 톤을 확인할 수 있습니다.
원문 검증
필요하면 원문 블로그와 병원 프로필로 바로 이동해 문맥을 다시 확인할 수 있습니다.
출처 아카이브 열기안녕하세요?
논현동 레브치과 대표원장 백원선입니다.
지난번에 여러 이유로 앞니를 빼고, 임플란트 했던 케이스를 보여드렸습니다.
주요한 포인트는? 부러진 앞니는 뽑으면서 바로 심을 수 있지만, 고름이 심했던 앞니는 딱 1달만 기다렸다가 임플란트 수술을 하자!!! 그래야 뼈이식이 이쁘게 된다~ 이 얘기였습니다.
재밌게 봐주셔서 감사합니다.
근데, 제가 보다보니 뭔가 앞니 크라운이 완벽한 느낌이 없는거죠....
사실 두 명의 환자 분 모두 지금의 논현동 레브치과가 아닌, 제가 전에 운영하던 치과에서 치료했던 케이스들이었거든요... 그래서 병원 내 기공사 선생님이 아닌, 치과기공소에 의뢰했던 케이스들이었어요..
지금의 우리 논현동 레브치과는 모든 앞니를 우리가 직접 만드는, 최고 하이엔드급 앞니 치료 치과인데!!
포스팅했던 작품이 덜 예쁘니 아쉬움이 너무 컸습니다.. (그치만 그 당시엔 최선이었어요......)
그래서 준비했습니다. 우리 레브치과에서 직접 만드는 하이 퀄리티 앞니 크라운은 어떤지 보여드려보자.

치아 부러짐.
밥먹다가 이가 부러졌어요. 빼고 임플란트를 해야하나요?

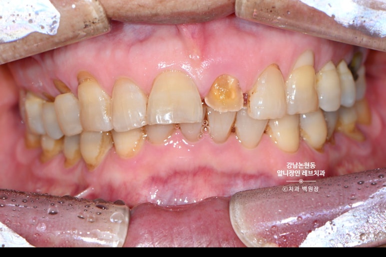
60대 남자 환자분이 저희 치과에 내원하셨습니다.
앞니가 부러져서 오신거에요.... 생니가 그냥 부러져 버렸습니다.
아마 씹는 힘도 세시고, 물리는 형태도 깊게 물리는 형태셔서 앞니가 너무 큰 힘을 받았을겁니다.
누적된 외력에 어느날 치아가 부러져 버린거죠.

윗니 아랫니 공간을 보시면, 치아가 얼마나 부러질만한 힘을 받았을지 상상해볼 수 있습니다..
고생했을 앞니.. 환자분은 다른 치과에서 뽑고 임플란트 해야한다는 설명을 듣고 살릴 수 없는지 문의해보러 오셨습니다.

그런데 말입니다? 교합면에서 보면 꽤나 치아가 많이 남아보인단 말이지요.
입천장쪽 면에는 꽤나 치아가 남아있는것을 보실 수 있습니다.
그래서... 살려보자고 마음 먹어봤습니다.
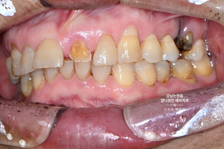
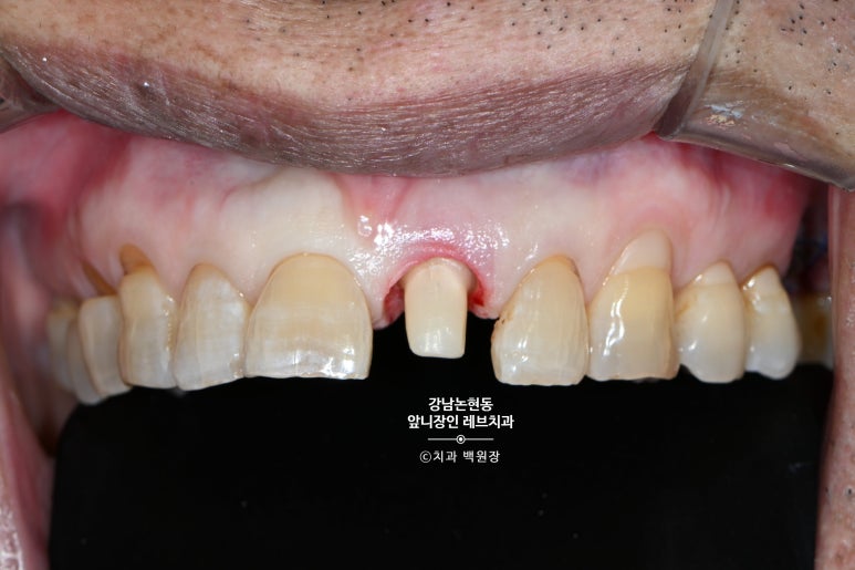
치아 머리가 너무 많이 없어지면,
신경치료 하고 기둥을 심어야 합니다.


신기하게도, 환자분이 통증은 거의 없다고 하셨습니다. 딱 봐도 아플 것 같은데.....
짧아져버린 치아부러짐을 해결하기 위해서 의도적으로 신경치료를 하게 되었습니다.
이는 치아에 기둥을 심기 전에, 반드시 해야하는 치료입니다.
신경치료는 치아 안의 신경을 제거하고, 재료를 채워넣는... 사실 치아의 생명을 뺏는 행위입니다만.
도리어 이 치아를 살리기 위해 기둥을 심어야하고 기둥을 심기 위해 신경치료를 하는 상황입니다.

신경치료를 잘 마무리하고나서 앞니를 찍어보았습니다.
세상 가장 어려운 치료 중 하나인
가운데 앞니 크라운 1개 만들기.

치료를 시작하기 전,
저희 강남논현동 레브치과는 앞니 지르코니아 크라운을 만들 예정인 담당 세라미스트 (치과기공사)가 와서 치아의 색상과 형태를 살펴봅니다.
그리고 환자분이 원하는 바가 있으시면, 반영하기 위해 자세히 기록하죠.

본 환자분 같은 경우 반대쪽 앞니와 같은 색깔로 맞춰주길 희망하셨습니다.
치아의 색도 난해하고...
세상 어려운 치료 중 하나인 앞니 싱글 지르코니아 크라운을 제작해야하는 상황이네요.
지르코니아 크라운 위에 포세린 (도자기) 빌드업을 계획했습니다.
PFZ라고 하면 되겠네요.
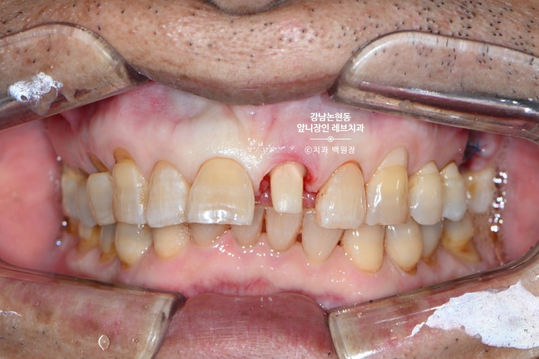
그리고 잇몸성형도 함께 해줍니다.

저희 논현동 레브치과의 자랑인 주성우 보철과 원장님이 아주 깔끔하게 치아를 다듬어 주셨습니다.
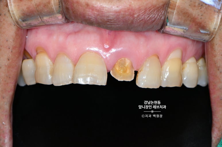
거의 무에서 유를 창조한 셈인데요.. 저 남아있는 치아 안에 굵직한 기둥이 심겨져 있습니다.
잘 보시면 뿌리쪽에 약간 어두운 치아가 있는데, 그것이 본래 갖고 계신 자기 치아이고,
보다 밝은 색으로 대부분을 이루고 있는 부분이 기둥 (fiber post) + 레진 코어 (resin core) 입니다.
그리고 많이 티는 안나지만, 대칭되는 가운데 앞니와 최대한 비슷하게 만들기 위해 잇몸 경계도 성형해줍니다.

이렇게 백그라운드로 검은색 판을 두고 사진을 찍으면 색상을 객관화 하는데 많은 도움이 됩니다.
요새는 정확한 색의 측정을 위해, 최대한 비슷한 광원의 환경을 만들고 색상을 채득할 수 있는 장비를 이용해서 색을 기록하고 제작합니다.

씹는 면에서 보면 꽤나 깊이 치아의 경계가 형성된 것도 확인할 수 있으실겁니다.
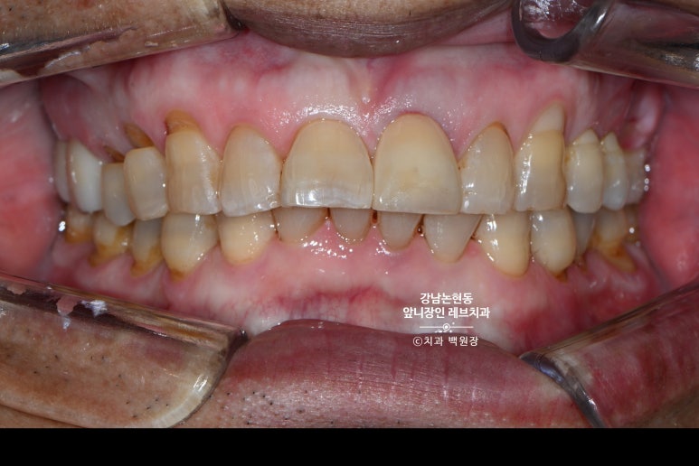
치아에 무늬도 많고, 색상도 독특하여 제작이 어려웠던 케이스..
어떻게 제작이 되었을까요?

최대한 인접한 치아의 색상과 형태를 반영하여 제작된 지르코니아 크라운 입니다.
정확히는 포세린으로 빌드업한 지르코니아 크라운이죠?
치아의 모양도 모양이지만, 약간 회색빛이 도는 색감과 세월의 흔적이 느껴지는 짙은 베이지색의 느낌.. 그리고 약간의 줄무늬까지 반영해서 제작하였다고 합니다.

디지털 카메라 앞에서 굴욕없는 피부가 거의 없듯, 사실 이렇게 사진상에서 이만큼 적합한 모양과 형태 그리고 색상을 갖게 하는 것이 너무너무 어려운 일입니다.
이 정도면 환자분 입안에 있는 그 자연스러움은 상상을 초월하죠.!!!!!!!!!!!!
Before & After


마지막은 왼쪽 위 가운데 앞니의 치료 전과 치료 후 사진으로 마무리 해보겠습니다.
앞니 보철치료를 상담해보신 분이라면 아실건데요,
치과 의사 선생님들이 짝수로 많이 권합니다. 2개, 4개, 6개, 8개....
라미네이트도 잘 보면 대부분이 개수가 짝수에요!!!
왜냐면, 사람의 눈이 간사하여 좌우의 차이를 매우 잘 캐치하기 때문입니다.
그래서 이렇게 홀수.. 특히 1개의 보철물을 치료하는 케이스가 제일 어렵습니다.
크라운 하나 빼고는 모두 자연치인 환경에서, 적절히 자연스럽게 하는건.. 예술작품을 하나 만들어내는 것과 같죠.
특히나 이번 환자분의 경우엔, 60대 나이를 가진 분으로
치아 고유의 마모도 심했고, 색상도 독특하며 옅은 가로줄무늬까지 있었습니다.
어렵게 하는 조건이 겹치면서 난이도 급상승 !!!
오히려 그냥 하얗게, 예쁘게 만드는 것을 더 쉬운 치료로 만들어버리는 그런 치료였습니다-
저희 강남논현동 레브치과는, 앞니 치료를 진행함에 있어 병원 안 기공실과 치과의사 간의 소통을 가장 중요하게 생각하고 있습니다. 그리고 때로는 기공실 인원과 주치의가 함께 진료실에 참여하여, 환자분과 이야기하고 원하시는 바를 반영하기 위해 노력합니다.
사진 몇 장으로 남는 케이스지만, 하나의 완벽한 앞니 크라운을 만들기 위해 저희 치과의 기공사분들은 수 시간을 쏟아붓는답니다. 항상 열심히 해준 기공실 선생님들께 고마운 말씀을 전합니다.
이상 '강남논현동치과 60대 치아부러짐 - 신경치료하고 기둥심고 앞니 크라운으로 살리기! 가격/과정/후기/부작용.' 에 관한 포스팅의 치과 백원장이었습니다. 긴 글 읽어주셔서 감사드리며, 가격 등 궁금한 점은 언제든지 댓글로 문의해주세요!
더 좋은 포스팅으로 또 찾아뵙겠습니다 ^^
본 포스팅은 환자분의 동의 후 작성하였습니다.
치료 시작: 각각 2025.06.13
치료 완료: 각각 2025.06.15
예상되는 부작용: 치아 파절, 이차 우식, 치근단 염증 등
이상 백원장의 치과공부였습니다.
감사합니다.