아카이브 요약
이 페이지의 역할
레브치과의원 강남점의 네이버 블로그 원문을 보존한 아카이브 페이지입니다. 치아미백의 성지 카테고리의 강남 치아미백 성지 레브치과. 가격/비용/부작용/전후사진. 글을 통해 병원의 한국어 정보 제공 방식과 진료 관련 안내 톤을 확인할 수 있습니다.
원문 검증
필요하면 원문 블로그와 병원 프로필로 바로 이동해 문맥을 다시 확인할 수 있습니다.
출처 아카이브 열기아카이브된 블로그 글
레브치과의원 강남점 · Naver Blog
안녕하세요? 강남 레브치과 대표원장 백원선입니다. 저희 치과에 최근 치아미백으로 많은 환자분들이 내원해주고 계십니다. 강남 치아미백의 성지가 되어가고 있는데요, 전후사진을 비롯해서 가격/비용/부작용을 궁금해하시는 분들이 많아 간단히 포스팅을 남깁니다. 이전에 치아미백에 대한 간단한 포스팅을 했었는데요, 이번 포스팅...
게시일
2025년 7월 16일
원문 기준으로 확인된 발행일입니다.
카테고리
치아미백의 성지
원문 블로그 카테고리를 정리해 함께 표시합니다.
이미지 수
16
현재 아카이브에 연결된 이미지 수입니다.
아카이브 요약
레브치과의원 강남점의 네이버 블로그 원문을 보존한 아카이브 페이지입니다. 치아미백의 성지 카테고리의 강남 치아미백 성지 레브치과. 가격/비용/부작용/전후사진. 글을 통해 병원의 한국어 정보 제공 방식과 진료 관련 안내 톤을 확인할 수 있습니다.
원문 검증
필요하면 원문 블로그와 병원 프로필로 바로 이동해 문맥을 다시 확인할 수 있습니다.
출처 아카이브 열기안녕하세요?
강남 레브치과 대표원장 백원선입니다.
저희 치과에 최근 치아미백으로 많은 환자분들이 내원해주고 계십니다.
강남 치아미백의 성지가 되어가고 있는데요, 전후사진을 비롯해서 가격/비용/부작용을 궁금해하시는 분들이 많아 간단히 포스팅을 남깁니다.
이전에 치아미백에 대한 간단한 포스팅을 했었는데요, 이번 포스팅은 저희 강남 레브치과에 내원하여 환자분들이 자주 물어보는 질문에 대한 내용을 다루고자 합니다.

치아미백은 몇 회나 해야하나요?
많은 치과에서 1회 얼마 - 혹은 3회 얼마 라는 식으로 광고를 많이 하고 있습니다.
저희 치과에서는 다음과 같이 안내드리고 있습니다.
1회 : 치아미백을 하고나서 효과가 정말 없는 경우도 빈번하다. (효과가 있을때도 있음.)
2회 : 치아가 밝아지긴 하는데, 맥시멈 밝아지는 것은 아니다.
3회 : 치아 미백으로 밝아질 수 있는 것의 최대치.

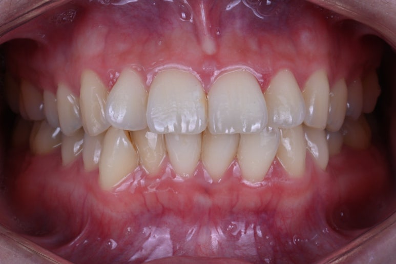
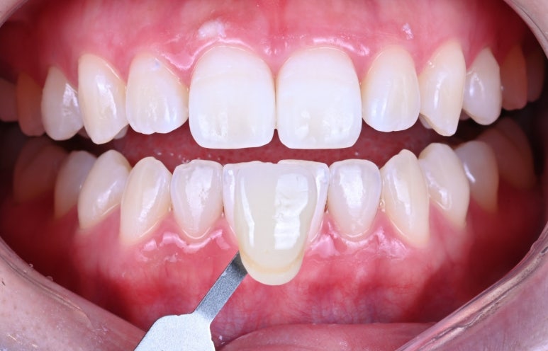
김OO 치아미백 전
저희 병원 환자분입니다. 치아를 보시면 다소 노리끼리한 색상을 갖고 계신 것을 보실 수 있죠.

치아 색상을 측정했을 때, A3 정도의 색으로 측정하였습니다.
A3 -> A2 -> A1 으로 갈수록 밝아진다고 보시면 됩니다.

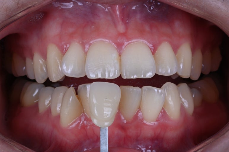
김OO 치아미백 후
3회 오스템 뷰티스 치아 미백 후 사진입니다.
A3 색상을 대고 보았을 때 확연히 밝아지신 것을 보실 수 있죠?
약 1.5~2단계 정도 밝아진 상태입니다.
스크롤을 위 아래로 하면서 보면, 얼마나 밝아졌는지 확인하실 수 있을거에요!
이게 바로 강남 치아미백의 성지 레브치과의 치아미백 효과입니다!
치아미백 약제는 선택할 수 있는 종류가 있나요?
오스템 뷰티스 그리고 W-gel.

오스템임플란트에서 만드는 제품인 하루에 미백을 완성하는 뷰티스라는 제품이 가장 유명합니다.
조금 더 비싼 수입산도 있지만, 사실상 미백제로썬 뷰티스가 전국통일을 하고 있다고 보시면 됩니다..

여러 성분이 들어있는 약제이지만, 과산화수소가 들어있어 치아 위에 도포 후 전용 광조사기를 사용하면 치아가 밝아지는 원리를 갖고 있습니다.
치아를 건조 후 약제를 1회 적용시 치아의 방어막을 해제하고, 2회 적용시 보다 적극적으로 약제가 적용. 3회 적용시 치아가 밝아질 수 있는 최대치까지 밝아지게 됩니다.
단, 그 전에 시림 증상을 느끼신다면 미백을 중단하는게 좋습니다.
W-gel이란

한국 기업인 메디클러스라는 회사에서 만든 미백제입니다.



치아미백을 받기 위해서는 보통 성형어플을 많이 검색하시게 되는데요,
(저희 치과도 모든 어플에 입점되어 있어요!)
가장 유명한 강남언니부터 바비톡, 여신티켓, 모두닥 등등에서 노출되고 있는 여러 치과를 보다보면 W-gel을 사용하는 곳이 몇몇 보이실겁니다.
아무래도 재료의 원가가 보다 저렴하여 치아미백을 저렴하게 제공하는 곳에서 쓰고 있는데, 소비자들은 미백제를 뭘 쓰는지 잘 모르니... 덥썩 싼 곳에서 W-gel을 사용한 미백을 받게 되죠.
사실 오스템 뷰티스와 W-gel의 차이가 무엇이냐! 라고 묻는다면 정확히 차이가 이것이다 라고 얘기할 치과는 없을겁니다.
제 임상적 경험상 뷰티스가 1일 3회미백을 돌리기에 최적화 되어있는 제품이고 이에 맞게 오스템 광조사기 '뷰티스라이트'를 만들었기 때문에 치아에 자극이 더 적은 것 같습니다.
그리고 똑같이 밝아져도 좀 더 화사하게 밝아지는 느낌이 있습니다.
하지만, 매우 주관적인 의견이니 참고만 하시길 바랍니다 ^^;;
치아미백은 얼마나 주기로 해야하나요?
6개월~1년!

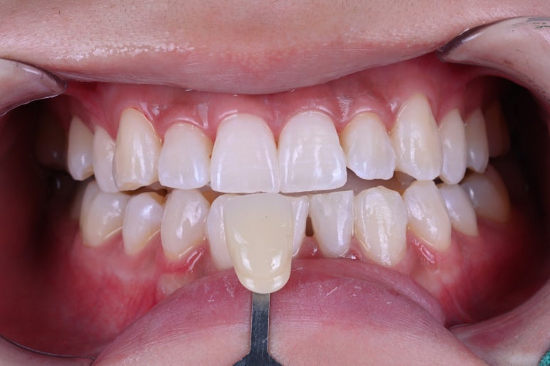
이ㅇㅇ 치아미백 전
치아미백을 받아본적이 있는 환자분이었습니다.
치아미백을 받아도 결국 색상이 다시 돌아오게 되는데요, 이론적으로 6개월~1년 정도면 돌아온다고 설명드립니다.
그래서 마지막 미백 후 5개월만에 방문한 환자분이었습니다.

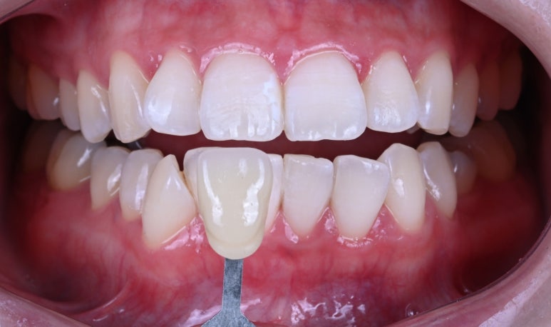
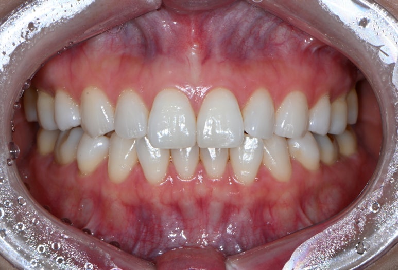
이ㅇㅇ 치아미백 후
오스템 뷰티스 3회 사용 후 확실히 밝아진 느낌이 생겼습니다!
색상표의 A2보다도 밝은 것처럼 보이네요.
하지만 군데군데 조금 어두워 보이는 포인트들이 있죠?
미백도 마치 내성이 생기듯이 하면 할수록 밝아지는 정도는 줄어들고 주기는 짧아집니다...
결국 영구적으로 밝고 가지런한 치아를 갖는 방법은 무삭제 라미네이트라는 결론이 내려지게 되죠...
저희 치과는 계획적으로 여러번 내원하시는 분들을 위해 패키지 행사도 진행중입니다!
궁금하신 분들은 치과로 문의주세요 :)
강남 레브치과가 치아미백의 성지인 이유?

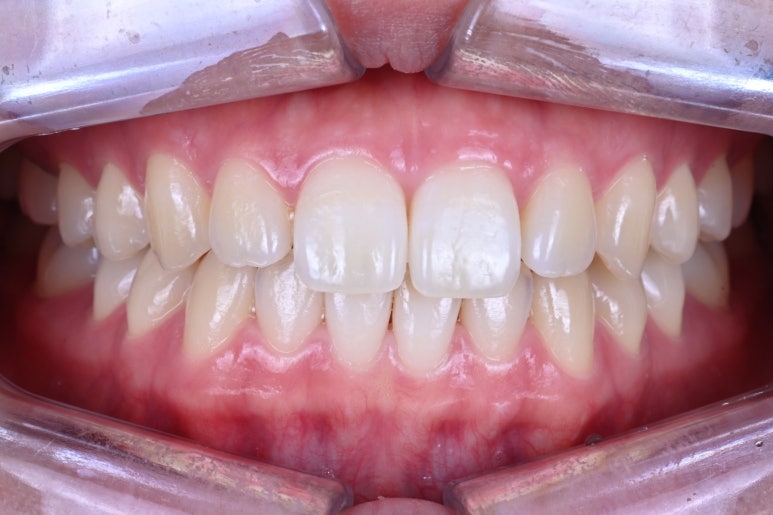
박ㅇㅇ 치아미백 전
일단 저희 치과는 치아미백기(오스템의 뷰티스라이트)를 많이 보유하고 있어, 많은 분들이 언제든 내원하셔도 기다림 없이 치아미백 치료를 제공할 수 있습니다.!!
보통 개인병원에서는 치아미백기가 1개 인 곳도 있고 없어서 대여해서 쓰는 곳도 있지만....
저희 강남 레브치과는 5대의 스탠딩 타입의 오스템 뷰티스라이트 치아미백기를 보유하고 있어, 친구분들이 같이 오셔도 편하게 치아미백 치료를 받으실 수 있습니다.!!

박ㅇㅇ 치아미백 후
그리고 치아미백도 자주 하는데가 미백제 유통기한도 길고, 그래서 성능도 쌩쌩합니다.!!
또 자주자주 하다보니 직원들이 능숙하게 척척 잘해내어 1시간 반이면 원데이 3회 미백도 거뜬하게 수행합니다.
그리고 저희 치과는 월화수목금토를 비롯하여 일요일과 공휴일에도 오픈하는 치과이기에, 직장인들이 쉬는 날에도 치아미백 치료가 가능하다는 큰 장점이 있습니다 !! 연휴에도 치아미백이 가능한 치과입니다.
일요일과 공휴일에는 오후 4시까지 운영하니 참고해주세요 ^^
치아미백의 부작용이 있나요?

최ㅇㅇ 치아미백 전
수 많은 환자들에게 치아미백 치료를 하였지만, 사실 특이할만한 부작용은 없었습니다.
치아미백을 하다보면 치아가 좀 시릴 수 있어요. 그리고 좀 아플 수 있어요.
보통 대부분 일시적인 증상이며, 타이레놀 정도 복용하시면 충분히 해결할 수 있답니다!!
그 외에 특이할만한 부작용은 없지만, 치아 미백제가 닿는 치아들에 충치가 있거나 심한 마모증이 있을 땐 통증이 더 심할 수 있기 때문에 반드시 치아미백 시작 전에 치과의사 선생님에게 진단을 받고 하셔야 한다는 것 꼭 기억하셨으면 좋겠습니다.

최ㅇㅇ 치아미백 후
이 분도 치아미백 3회 후 상당히 밝아진 것을 보실 수 있을거에요.
(이렇게 포스팅으로 남길 정도로 확연한 효과를 보여주려면, 1일 3회 미백치료가 거의 필연적입니다!..)
W-gel을 사용하였던 분이고, 느끼실 수 있겠지만 약~간 덜 화사한 느낌이 있는 것 처럼 느껴집니다.
구강내에서 구별이 확연하진 않으나 다른분들의 사진이랑 비교하면 티가 좀 난다는 것..
그래도 충분히 좋은 성능을 보여주고 있습니다!!
아참! 저희 치아미백 성지가 되고 싶은 강남 레브치과는 외국인 진료도 가능합니다 :)
저번 주말에도 해외 거주 중국인 여자 환자분이 오셨는데, 치아미백치료를 만족스럽게 받고 가셨어요!
주변에 치아미백 치료를 희망하는 외국인 친구가 있다면, 꼭 소개해주세요 ^^
라미네이트 치료하는 환자분들을 많이 만나보면서 느낀건, 아름다움에 대한 갈망은 누구에게나 있다는 것입니다.
쌍커풀 수술, 코수술, 리프팅, 보톡스 치료 등 다양한 미용 치료들이 점점 보편화되고 있는 가운데, 얼굴의 인상을 결정하는 '스마일'을 아름답게 개선하는 치아미백은 이젠 예뻐지기 위해 필수코스라고 할 수 있습니다.
치아미백은 주기적으로 받으셔야 화사한 톤의 치아를 유지할 수 있습니다. 6개월 이내에 시술을 하시면, 거의 톤다운 없이 유지하실 수 있을거에요.
다만, 그 주기가 치아미백을 거듭할수록 짧아진다고 생각해주셔야 합니다. 그래서 결국, 라미네이트 치료까지 이어지게 되곤 합니다.
다행히도 요즈음은 무삭제 혹은 아주 최소삭제 라미네이트가 강남에선 워낙 보편화되어 많은 분들이 치아의 손해 없이 치료를 받고 계신데요, 라미네이트를 하게되면 더 이상의 치아미백을 받을 필요가 없어지니 아주 큰 장점이 생긴다고 보면 될 것 같습니다.
마지막으로 편안하게 재밌게 보실 수 있을만한 라미네이트 치료 포스팅 두개 넣어보았습니다.
지금까지 강남 치아미백의 성지, 레브치과 포스팅을 잘 읽어주셔서 감사합니다.
이상 '강남 치아미백 성지 레브치과. 가격/비용/부작용/전후사진.' 에 관한 포스팅의 치과 백원장이었습니다. 긴 글 읽어주셔서 감사드리며, 가격 등 궁금한 점은 언제든지 댓글로 문의해주세요!
더 좋은 포스팅으로 또 찾아뵙겠습니다 ^^
본 포스팅은 환자분의 동의 후 작성하였습니다.
치료 시작: 2025.06~07
치료 완료: 2025.06~07 (원데이 치료)
예상되는 부작용: 가역적 치아 통증 등
이상 백원장의 치과공부였습니다.
감사합니다.