안녕하세요?
신사역 치과 대표원장 백원선입니다.
저희 레브치과의 라미네이트 ; 레브네이트의 라인업에 대해 문의가 꽤나 많이 들어오고 있습니다.
레브네이트는 오늘이 제일 쌉니다. 치과계의 보석같은 라미네이트를 제작하는 치과가 되겠습니다.
지난 포스팅에서 레브네이트 엑스퍼트를 소개해드렸는데요, 자연스러움을 살리면서도 치아의 톤업을 꽤하는 라인업으로 보시면 됩니다.
저희 레브치과 라미네이트 - 레브네이트는 총 3단계로 나뉩니다.
- 레브네이트 베이직 -> 레브네이트 엑스퍼트 -> 레브네이트 마스터
가장 눈에 띄는 특징은 컬러링과 치아 삭제량인데요, 베이직은 주로 mono 톤의 색감을 원하시는 분들에게 추천하고, 자연스러움을 배가시키려면 MiYO 컬러링을 추가시켜 엑스퍼트 단계가 필요합니다. (단계가 올라갈수록 치아 삭제량은 줄어들고 그에 따라 컬러링 과정이 더 길어집니다.)
레브네이트 마스터 등급은 흔히 광고하는 무삭제(최소삭제) 라미네이트이고, 제작과정 자체가 아예 달라 제작할 수 있는 치과가 몇개 없는.. 그런 끝판왕 하이엔드 라미네이트 입니다. (다음 포스팅에서 소개해드릴께요!)

최소삭제 라미네이트
레브네이트 베이직

하스 (HASS)라는 회사를 들어보셨나요?
기본적으로 대부분의 치과는 CAD로 작업하여 단단한 세라믹 블럭을 깎아 라미네이트를 제작합니다.
저희 레브네이트 베이직은 바로 하스(HASS)에서 생산한 세라믹 블럭을 이용하여 제작하는데요, 국내 회사이지만 세라믹 블럭으로 세계 2위를 하고 있는 자랑스러운 회사입니다. 색상이 예쁘고, 강도가 좋아서 많은 치과들에서 사용하는 블럭입니다. (참고로 세계 1위는 독일의 VITA 라는 회사로, 레브네이트 엑스퍼트에 필요할 때 씁니다. 미X쉬치과에서 많이 사용합니다.)
보통 우리가 알고 있는 하얗고 가지런하면서, 약간은 티가 나는? 스타일을 좋아하시는 분들에게 추천합니다.
연예인 치아라고 생각하시면 쉬워요오~

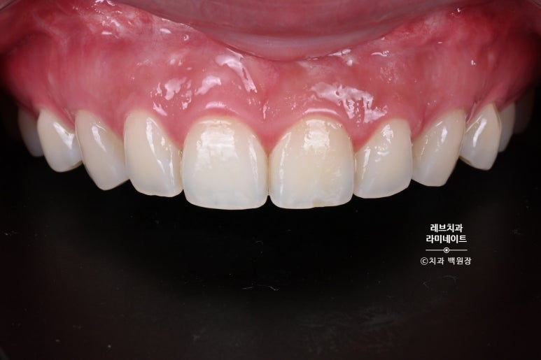
밝고 하얗고 가지런한 치아를 가지고 싶어 오신 환자분이었습니다.
사실 이미 치열은 상당히 가지런한 분이셨어요.
저희 신사역 치과 레브치과가 또 치아미백의 성지거든요..!? 하루에도 10분 20분 오셔서 치아미백 만족스럽게 시술받고 가시는데요~
오늘 환자분은 치아미백을 수회 경험해보셨고, 이제는 영구적으로 하얗고 가지런한 치아를 갖고 싶으셔서 내원하신 분입니다.


사실 치아로만 봤을 때는, 모양도 준수하여 더 이상 무언가를 하지 않는 것을 추천드렸습니다만..
하얗고 가지런한 치아를 가지고 싶은 것은 모두의 마음이고, 치아미백이 더 이상 효과를 보이지 않는다면..
레브네이트가 그 해결책이 될 수 있습니다.
생각해보면 레브네이트 제작을 위한 치아 삭제는 0.5mm 미만이므로.. 충치가 생겨서 치아를 다듬는거에 비하면 비교도 안되는 적은 양이긴 합니다. 얼마나 적으면, 치아를 다듬고 나서 시리지도 않아요~..
(얼마나 치아 깎았는지 보여드릴께요!)

치아의 건강함으로 따지면, 이미 더 이상의 개선이 필요 없는 상태인 것을 너무나 잘 알고 있습니다만,
본인이 원하시는 니즈에 맞춰서 치아 색상과 모양의 개선을 위해 레브네이트 베이직 시술을 하기로 했습니다.
레브네이트 베이직은 하얗고 가지런한 모노톤의 치아를 만드는데 가장 효율적인 치료입니다.
우리가 보통 생각하는 연예인 치아 생각하시면 딱 맞아요!
신사역에서 라미네이트 제일 잘하는 치과라고 생각하고 봐주세요 후후..

아래 치아도 조~금 삐뚠 느낌이 있긴 하지만, 대체로 가지런한 상태라고 생각합니다.
그래도 성형수술을 한다면, 약~간은 티나는게 좋지 않나요? ㅎㅎ
엇 라미네이트 했네!? 라고 인지되게끔 색상을 개선하고 싶은 분들에게 추천!!


치료를 시작하기 전 저희 레브치과에서 가장 먼저 하는 것은 당연히 주치의와의 상담입니다.
어느 치아를 어떻게 어느 정도 정리할 것인지에 대해서 대화로 먼저 상담을 해드리지요.
그 다음은 치과기공사 선생님 (전담 세라미스트)와의 상담인데요.
대부분의 치과에서 하지 못하고 있는, '내 라미네이트를 만들 그 사람' 과의 대화라고 생각하시면 됩니다.
상당히 미술적 감각이 훌륭한 세라미스트 들이 저희 신사역 레브치과에 근무중이시라구요~
전담 세라미스트와 어떤 치아의 색상으로 어떤 모양으로 제작할지 면밀히 상담합니다.
이게 바로 일반 치과와의 차이입니다. 기공소로 라미네이트 제작 맡기잖아요? 그냥 바둑돌 만들어옵니다.

다른치과 라미네이트.. 참고사진....
지난번에 라미네이트 깨져서 왔던 다른 치과 환자분인데... 이런 칙칙한 색깔의 바둑돌 라미네이트 만들어온단말이에요.... 그래서 라미네이트 치료를 계획하고 계신다면, 직접 자체제작하는 치과를 찾아다니셔야 합니다.
무조건 무조건입니다.
그리고 강남대로에서도 저렇게 만들어주는 치과 많습니다 진짜.... 진짜 많아요. 유명한 치과 중에도 있다구요. 유튜브 많이하는 거기..

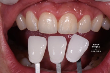
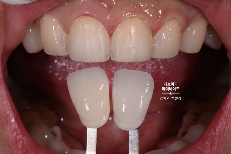
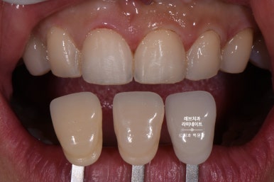
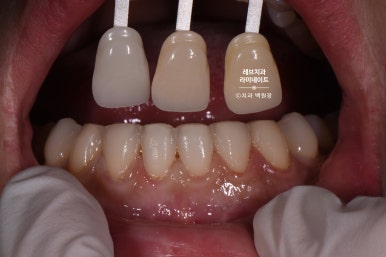
치아의 색상을 정하고, 스마일 사진을 기록해둡니다.
한국사람들이 잘 못하는게 있죠? 자연스럽게 웃기 ~~~
카메라 앞에서 너무 긴장하지 마시고 자연스럽게 웃어보세요!!!
치아를 가지런히 정리합니다.

레브네이트 베이직 치아삭제 후 사진
지금 보이시는 사진은 위턱 6개의 앞니를 정리하고 나서의 사진입니다.
정밀 가공이 가능한 저희 레브치과는 레브네이트를 붙이기 위해 치아를 많이 깎을 필요가 없습니다!!
보시면 오히려 처음보다 더 가지런한데? 라는 생각이 드실수도 있어요~~~
치아를 정리하고나서 다시 한 번 치아의 색상과 원하시는 색상을 기록해둡니다.

라미네이트 치료를 받고싶어서 이것 저것 많이 알아보셨던 분들이 눈치채셨을수도 있는데,
거의 다 윗니 치료 사진만 있을거에요~~ 윗니가 더 쉽거든요...
저희는 정직하게 아래 치아 다듬은 사진도 공개합니다!!!
아랫니는 이런 식으로 다듬어 드립니다! 아랫니 6개를 다듬고나서 사진입니다.
레브네이트 베이직
1일 만에 완성이 가능합니다. 바쁜 직장인, 외국인들에게 최적화된 치료..

레브네이트 베이직은 보시다시피 모노톤으로 밝고 화사하게 모양을 잡아주는 라미네이트입니다.
아무래도 색상이 모노톤이다보니, 컬러링에 필요한 시간이 적어 제작이 빠르다는 장점이 있죠!
그리고 모노톤의 장점은 무결점의 느낌이 강하다는 것입니다.
그러면서도 살짝의 광택과 반짝이는 텍스처를 주는 것이 기술의 핵심.
미리 예약만 하신다면 원데이 진료도 가능한 치료입니다. 오늘 아침에 깎아서 내일 아침에 붙여드릴 수 있어요.
그리고 자체 기공소가 있기 때문에, 혹시나 수정을 하게 되더라도 당일에 완성 가능!

아니 너무 하얀거 아니야? 라고 생각하실수도 있지만,
오랜 상담동안 환자분이 한결같이 말씀하셨던 색상이 바로 이 색상이었습니다!
제가 그래서 포스팅 앞에 연예인 치아라고 적어드렸던 것 그 이유입니다. ㅎㅎ
생각해보면 성형도 티 안나게 보다, 티 나게 하는 것을 더 희망하시는 분도 있듯 라미네이트도 하고나면 확실히 밝아져야 하는 것 아니냐!! 라고 생각히는 분들도 많더라구요.
조금 더 하얗게 제작했으면 좋겠어요.
퍼스널 컬러가 약간 쿨톤입니다.

조~금 더 icy하게 하얗게 원하셨던 환자분의 요구에 따라, 시간을 좀 더 갖고 조금더 쿨톤으로 하얗게 제작해드렸습니다.
사진상에선 미묘한 차이라 크게 못느끼실수도 있지만, 눈썰미가 좋으신 분이라면 좀 다르다는 것을 느끼실거에요.
그런 디테일까지 잡을 수 있어야 정말 하이클래스 라미네이트 치과가 될 수 있습니다.

그리하여 위 라미네이트는 이렇게 붙여드렸고,

아래 라미네이트도 이렇게 6개를 예쁘게 붙여드렸습니다.

환자분은 밝아졌다는 사실에 매우 만족해하셨어요!
다만, 위 6개 아래 6개만 하다보니, 레브네이트 안 한 뒷치아는 보일때마다 조~금 어두워 보이는게 아쉬운 점..
그래도 확실히 치아가 밝아진게 티가 팍팍 나네요!!
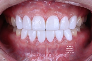
Before & After


당연히 왼쪽이 레브네이트 베이직 치료 전, 오른쪽이 치료 후 입니다.
보시면 색상이 상당히 밝고 쿨톤으로 변한 것을 보실 수 있을거에요.
12개보다 조금 더 해서 16개를 하면 좀 더 완벽했겠지만, 12개만으로도 환자분은 정말 너무너무 만족해하셨답니다.


치료 과정 사진을 보시면 아시겠지만, 치아의 삭제가 정말 적었습니다.
보통 밖에서 말하는 최소삭제 라미네이트가 이 정도의 치아 다듬음을 겪게 된다고 보시면 됩니다.
생각보다 기술이 많이 좋아져, 이젠 더 이상 옛날의 라미네이트가 아니에요.
(그래도 이게 가능한건 늘 열심히 최선을 다해 공들여 레브네이트 제작하는 우리 기공실 팀 덕분입니다.)
그렇게 느끼는 반증으로 저희 교정과 원장님, 라미네이트과 원장님, 세라미스트 실장님, 상담실장님들 모두 라미네이트 치료 예정입니다!!!
신사역 레브치과의 레브네이트 챌린지 기억해 주세요 :) 1호는 황우찬 교정과 대표원장님 입니다. ㅎㅎㅎ


위 아래 앞니의 색상과 형태 모두 개선된 것을 보실 수 있습니다.
그리고 중요한 것은, 레브네이트 두께가 충분히 얇아 치아가 더 돌출된 것 같은 느낌이 없다는 것입니다.
라미네이트 잘 못하는 치과에서 붙인 것을 보면.. 치아 적게 깎는답시고 적게 깎는건 좋은데, 치아가 너무 튀어나와보인단 말이죠......
그렇지 않게 보이는 착시현상을 이끌어내는 기술과 색상에 대한 이해가 있어야 이렇게 적절한 치료가 이루어집니다.
다시 보면, 환자분이 이제 더 크게 웃으실 수 있어보이는게 치료의 보람이네요 ^^
아름다움의 기준은 생각보다 상당히 다양합니다.
저희 치과의사는 사실 '자연스러운 치아 색상' '자연 그 자체의 치아 형태'를 고집하고자 하는 근성이 있어요.
저도 학생 때 자연치가 최고라고 배웠고, 치아를 깎는다는 것은 범죄자가 되는 기분이 들었습니다.
물론 쓸데 없이 자기 치아를 깎으면 안되겠지요.. 어금니도 안되지만 감히 앞니를 어찌 그러겠습니까.
그런 생각을 갖고 있었던 저도 어느 날 레진치료를 너무 여러번 받아 앞니 색깔이 누더기처럼 되어 있는 부모님을 보고 앞니를 한 번 깨끗하게 바꿔드리고 싶다는 생각이 강하게 들었습니다.
치과의사 부모가 앞니 색이 누렇다는게 정말 말이 됩니까 ? ㅠㅠ 그리하여 앞니 6개를 정말로 깨끗이 씌워드렸어요. 사실 제 의지대로 치료해버렸습니다만.. 솔직히 예뻐지는 것에 모두가 행복해했습니다.
아름다움의 기준은 다양합니다. 내 치아가 좀 더 하얗고 가지런했으면 하는 마음은 모두의 공통된 소망같아요.
치아를 하나도 깎지 않고, 정말 단어 그대로의 無삭제 라미네이트를 할 수 있다면 하고 싶지만 그래도 표면은 매끈하게 다듬고 붙여드려야 라미네이트 두께가 일정하여 오래 깨지지 않습니다.
딱 그만큼만.. 딱 0.5mm 이하로만 치아를 다듬으면, 그 다음은 저희 신사역 레브치과에서 예뻐지게 해드릴 수 있습니다.
이제 정말 기술이 너무 좋아졌고, 이런 세상에서 누렁니로.. 삐뚤빼뚤한 치아로 살아가는건 어찌보면 억울한 일 아닐까요? 어떻게 생각하면, 눈수술 코수술보다도 더 보존적이고 아름다운 수술일 수 있습니다.
레브네이트를 응원해주세요!
이상 '레브네이트 베이직. 치아미백과 치아교정을 한번에! 치아삭제 사진 있음. 신사역 치과 라미네이트 모델/비용/후기.' 에 관한 포스팅의 치과 백원장이었습니다. 긴 글 읽어주셔서 감사드리며, 궁금한 점은 언제든지 댓글로 문의해주세요!
더 좋은 포스팅으로 또 찾아뵙겠습니다 ^^
본 포스팅은 환자분의 동의 후 작성하였습니다.
치료 시작: 2025.07.02
치료 완료: 2025.07.09
예상되는 부작용: 변색, 파절 등.
이상 백원장의 치과공부였습니다.
감사합니다.