아카이브 요약
이 페이지의 역할
레브치과의원 강남점의 네이버 블로그 원문을 보존한 아카이브 페이지입니다. 이웃공개 치과컨텐츠 카테고리의 레브네이트 마스터 ; 예비신랑 앞니 무삭제라미네이트. 신사역 치과. 치료후기/비용/가격. 글을 통해 병원의 한국어 정보 제공 방식과 진료 관련 안내 톤을 확인할 수 있습니다.
원문 검증
필요하면 원문 블로그와 병원 프로필로 바로 이동해 문맥을 다시 확인할 수 있습니다.
출처 아카이브 열기아카이브된 블로그 글
레브치과의원 강남점 · Naver Blog
안녕하세요? 신사역 치과 대표원장 백원선입니다. 지난 포스팅에서 저희 레브치과의 라미네이트 (이하 레브네이트)의 라인업을 소개해드리고 있었습니다. 가장 기본적인 레브네이트 베이직 - 모노톤의 밝은 색상과 정돈된 형태가 특징이죠. 그리고 자연스러움이 추가되는 레브네이트 엑스퍼트 - 특별한 컬러링과 도자기 축성이 추가...
게시일
2025년 8월 6일
원문 기준으로 확인된 발행일입니다.
카테고리
이웃공개 치과컨텐츠
원문 블로그 카테고리를 정리해 함께 표시합니다.
이미지 수
18
현재 아카이브에 연결된 이미지 수입니다.
아카이브 요약
레브치과의원 강남점의 네이버 블로그 원문을 보존한 아카이브 페이지입니다. 이웃공개 치과컨텐츠 카테고리의 레브네이트 마스터 ; 예비신랑 앞니 무삭제라미네이트. 신사역 치과. 치료후기/비용/가격. 글을 통해 병원의 한국어 정보 제공 방식과 진료 관련 안내 톤을 확인할 수 있습니다.
원문 검증
필요하면 원문 블로그와 병원 프로필로 바로 이동해 문맥을 다시 확인할 수 있습니다.
출처 아카이브 열기안녕하세요?
신사역 치과 대표원장 백원선입니다.
지난 포스팅에서 저희 레브치과의 라미네이트 (이하 레브네이트)의 라인업을 소개해드리고 있었습니다.
가장 기본적인 레브네이트 베이직 - 모노톤의 밝은 색상과 정돈된 형태가 특징이죠.
그리고 자연스러움이 추가되는 레브네이트 엑스퍼트 - 특별한 컬러링과 도자기 축성이 추가되어 보다 자연스럽게 아름다움을 추구합니다.
이번엔 저희 신사역 치과 레브치과의 라미네이트 제작 기술의 정점. 레브네이트 마스터를 소개해드리겠습니다.
'레브네이트 마스터'는 1개 혹은 소수의 치아만 라미네이트를 해야할 때, 정말 무삭제라미네이트에 가까운 치료를 해야할 때 추천해드리는 치료입니다.
또한 기가막힌 색상 재현이 필요할 때가 레브네이트 마스터가 출동할 때죠.

무삭제 라미네이트
레브네이트 마스터 ( vs 베이직)

이 라미네이트들은 지난번에 소개해드렸던 '레브네이트 베이직' 라미네이트 입니다.
말씀드렸듯이 균일한 색상으로 하얀 치아를 가진 인상을 가지고 싶은 분들께 추천드립니다.
색상이 비교적 균일하기에 가공시간이 짧아 원데이 레브네이트로도 적합합니다.
다만, 자연스러움이 조금 적고 인공미가 조금 추가되는 경향이 있죠.
(이 또한 모두 다 취향차이입니다.)

그에 비해 한 땀 한 땀 만들어야하는 '레브네이트 마스터'는 아예 제작 과정부터 다릅니다.
일단 레브네이트 베이직과 엑스퍼트는 주로 CAD-CAM 방식으로 제작되는 반면 (기계가 블럭을 깎아 제조)
레브네이트 마스터는 도자기 파우더를 사용해서 한칸 한칸 담당 세라미스트가 직접 만들어내는 예술작품입니다.
제작 시간이 훨씬 길고, 소요되는 재료도 비싸긴 합니다만
0.1mm에 가까운 매우 얇은 두께를 자랑하며, 그야말로 수제 라미네이트 이기에 핏이 아주 좋다는 특장점이 있습니다. 또한 하나의 예술작품 - 그림작품과도 같아 다양하게 자연스러운 색깔을 연출할 수 있습니다.
위에 보이는 라미네이트는 얼룩이 아니라, 각각의 두께 차이로 인한 후면 비춤 현상입니다. 실제로 본인 치아의 상황에 따라 라미네이트 모습은 달라지니까요~~
현존하는 가장 하이테크한 방식으로 제작되는 라미네이트라고 생각하시면 됩니다.
실제로도.. 구현해 낼 수 있는 치과가 많지 않죠. 저희는 모든 환자분들의 케이스를 만나셨던 담당 세라미스트가 직접 만들어드립니다 !!! 그래서 재제작이 적어요.
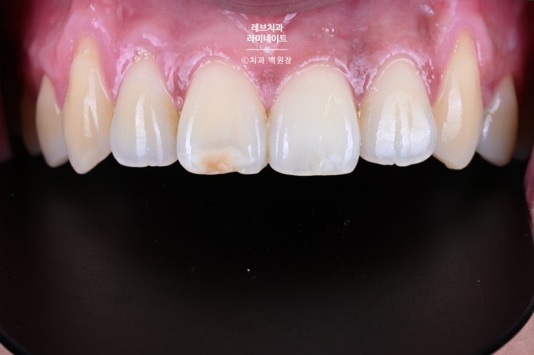
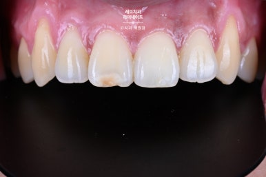
앞니의 갈색 점이 신경쓰여서 1개만 라미네이트 하고 싶어요.
1주일 뒤 결혼 예정인 예비신랑입니다.

아니!!!! 다음주에 결혼 예정인 남자 환자분이셨습니다.
시간이 많이 않았어요... 유독 갈색으로 변해있는 앞니 한 개만 라미네이트 치료를 받고 싶다고 오셨어요.
보시면 오른쪽 위 앞니 끝이 많이 색이 변해있는 것을 보실 수 있습니다.
초기 충치가 있었던 흔적이거나, 법랑질이형성증의 가능성이 있습니다.

법랑질이형성증, 법랑질형성부전증, enamel hypoplasia
실제로 구글에 Enamel hypoplasia (법랑질 이형성증, 법랑질 형성부전증) 이라고 검색하면,
애당초 법랑질 형성이 저해된 경우 라미네이트로 깔끔히 치료할 수 있다는 내용도 많아요.

신기하게도 앞니 하나가 유독 색상이 눈에 띄더라구요.

사실 주변 치아들이 약간 돌아가 있기도 했고, 끝이 깨져있기도 해서 대칭으로 4개 혹은 6개의 라미네이트를 추천드렸지만, 환자분은 확고하게 한개의 치아만 라미네이트 치료를 받고 싶어하시는 상태였습니다.
라미네이트는 1개만 하는 경우가 가장 어렵습니다 ㅠ0ㅠ

웃는 모습을 보시면, 입꼬리가 활짝 올라가는 스마일 라인을 갖고 계신 분이었고 앞니가 유독 잘 보이고 있었어요.
딱 봐도 티가 나는게.. 저도 라미네이트를 고려할 것 같다는 생각.
앞니 레진으로 치료하면 안되나요?
장점과 단점.
물론 갈색으로 보이는 부분을 제거하고 레진으로 떼워도 됩니다!!

약간 부자연스러운 모양이지만, 레진으로 떼우는 것의 장점은 아무래도 치아를 덜 깎는다는 것이겠죠?
충격적일수도 있겠지만, 이건 선입견입니다.
레진을 잘 붙이기 위해서 생각보다 넓은 면적의 Bevel이 필요합니다.

Bevel이란 치아를 삭제한 후 주변에 형성해주는 경사면인데요,
레진과 치아의 접촉면적을 넓혀 접착력을 증가시켜주고, 자연스러운 색상 구현을 위해 필수적인 과정입니다.
그래서 생각보다 앞니 레진을 하면 치아 삭제량이 은근 많아요.
무삭제 라미네이트 ; 최소삭제 라미네이트를 하는 삭제량에 비해 적다고 말하기도 어렵습니다.
레진은 다공정 재료이기 때문에 시간이 지나면 경계면 혹은 레진 전체의 변색이 무조건 생기게 됩니다.
결국 다시 떼우고 다시 떼우고 과정이 반복되죠......
내 소중한 치아를 아꼈다는 기쁨이 크지만, 결국 못생긴 재료가 떼워진채로 당당하게 웃지 못하는 상황..
정말 웃픈 이런 상황 - 저희 부모님도 많이 봤고, 참 사람 곤란하게 합니다.
그래서 세라믹 재질의 레브네이트로 치료받기로 결정!
단, 레브네이트 마스터 입니다.
라미네이트로 치료를 받으시면, 치아의 보이는 전면을 얇게 깎게 됩니다.
저희 신사역 레브치과 기준 - 라인업마다 0.6mm~0.1mm까지 다양한 삭제량이 생기게 됩니다.
이번 환자분은 치아 1개만 색상을 맞춰야 하는 매우 어려운 케이스였기에 레브네이트 마스터로 결정하였습니다.
물론 가장 만들긴 어렵지만, 치아 삭제량은 최소가 됩니다.
까다롭고 날카로운 감각이 있는 분이어서 정말 열심히 신경써서 제작했습니다.

레브네이트 마스터를 제작하여 치아위에 올려놓은 사진입니다.
너무 얇아서 거의 뒤가 비춰보일 정도죠...?
얇아서 깨지면 어떡하냐고 걱정하시는 분들도 많지만,
유리판 두장 사이에 물을 묻혀 붙이면 찰떡같이 붙는 것 아시죠? 그런 상황이기에 생각보다 파절이 잘 되지 않습니다. 사실 그러니 저희도 이런 치료를 할 수 있는 셈...

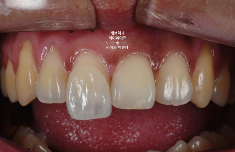
접착제를 넣어 붙이기 전, 치아 고유의 색상을 측정하기 위해 약간 어둡게 하여 사진을 찍어봅니다.
정말 알려주지 않으면 어디가 라미네이트인지도 모를 것 같아요..

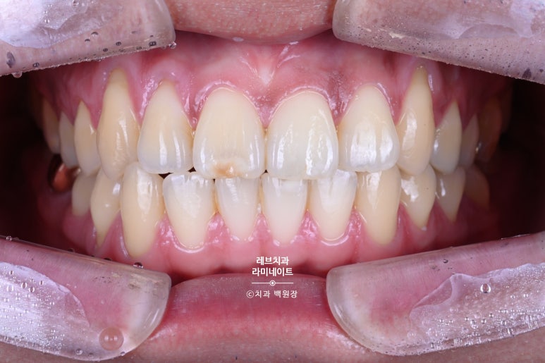
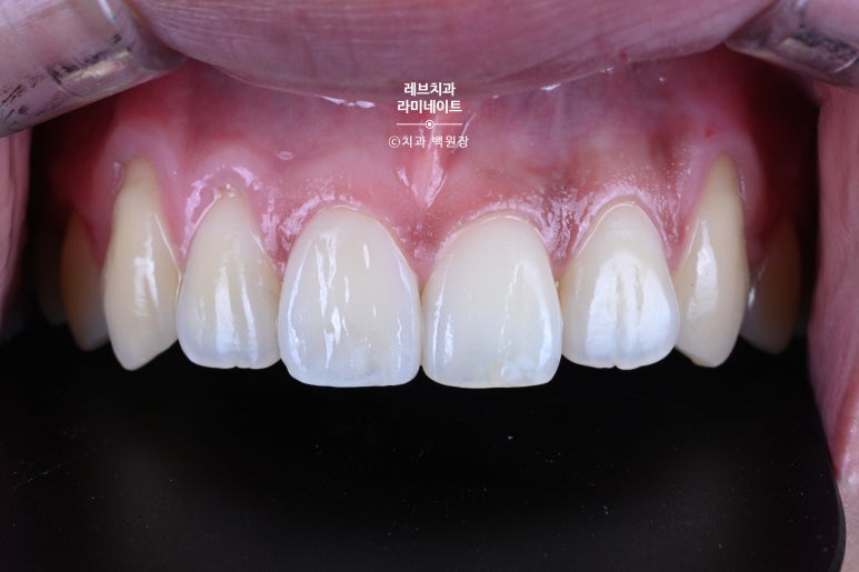
그리하여 완성 후 사진 !!!
그냥 너무 예쁘다는 생각이 들 뿐입니다.
저희 신사역 레브치과 세라미스트 (치과기공사) 선생님들의 실력이 어느정도인지... 사진으로 알 수 있죠?

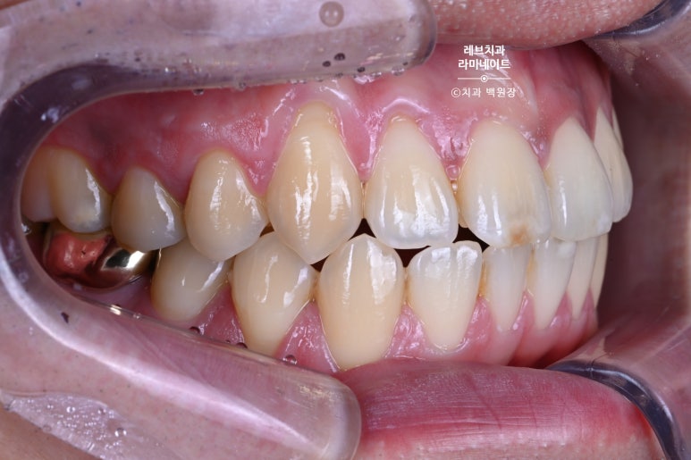
아랫이와 함께 찍어보면 보다 더 자연스럽답니다.
환자분이 깜짝놀랄 정도로 좋아하셨어요.
예비 신랑분께 최고의 선물이라고 할 수 있겠죠?
Before & After


전 후 사진을 보면, 꽤나 선명한 차이를 느끼실 수 있을겁니다.
갈색으로 보이던 초기 충치 - 법랑질 이형성증을 의심하던 부위가 하이엔드 세라믹 재질의 레브네이트 마스터를 만나 말끔하게 해결된 것을 보실 수 있을거에요.
이렇게나 색상을 정교하게 맞출 수 있는 것은, 저희 레브치과를 방문해주시는 환자분께 전담 치과의사도 매칭을 해드리지만 본인의 라미네이트를 제작할 세라미스트분까지 함께 매칭해드리기 때문입니다.

스마일 사진을 보시면 더욱 완벽한 모습을 확인하실 수 있을거에요.
환자분이 좀 더 활짝 웃으시고 계시다는 것도 느껴지시나요..?
이제 앞니가 더 이상 컴플렉스가 아니라 자신감의 포인트가 되셨다는 후문!!!!
라미네이트 치료 중 가장 어려운 치료는 '한 개의 치아만' 치료하는 싱글 라미네이트 케이스입니다.
저희 치과가 정말 라미네이트를 잘 하다보니, 환자분들이 감탄을 하시는 경우가 많습니다만....
못하는 라미네이트 치과에서 치료를 받아본 적이 다들 거의 없으시다보니... 이렇게 잘 만드는게 당연한거 아냐? 라고 생각하시는 분들이 많은 것 같아 좀 섭섭할 때가 있어요.
이번 예비신랑님처럼 색상이 많이 다른 측정치아 하나만 색깔을 맞춰달라. 이게 정말 제일 어려운 경우입니다.
사람 눈이 예민해서 좌우의 차이를 잘 구별하고, 또한 질감의 차이도 너무나 잘 캐치해내거든요...
차라리 6개, 8개 같이 치료하는게 더 쉽다고 말할 정도니깐요.
아무튼, 치아 하나에서 최소한의 치아 다듬기와 드라마틱한 색상 구현을 위해서
환자분께 이러한 상황을 상세히 설명드리고 레브네이트 마스터로 작업을 해 보았습니다.

platinum foil technique으로 제작되는 레브네이트 마스터 라인업은
여러 치과에서 홍보하는 '무삭제 라미네이트'의 제작방식입니다.
구현할 수 있는 세라미스트(치과기공사)가 몇 명 없고, 실제로 제작시간도 오래걸리는 라미네이트죠.
그렇지만 치아를 아주 최소한으로 (혹은 안깎고) 라미네이트 치료를 할 수 있고, 얇은 세라믹임에도 불구하고 파우더 색상을 조절하여 다양한 색상을 구현할 수 있다는 것이 특장점입니다.
이번 예비신랑님 같은 경우에 딱 맞는 상황이라고 할 수 있겠죠.
여튼, 블로그에 포스팅 할 수 있을정도의 훌륭한 퀄리티의 레브네이트 마스터 제작을 해준 우리 신사역 레브치과 기공실팀 모두에게 감사의 말씀 전합니다.
정말.. 라미네이트만큼은 신중하게 치과를 고르시길 권해드립니다. 치과 기공소로 의뢰하는 치과보다 자체 치과 기공실을 보유하고 제작하는 치과가 압도적인 퍼포먼스를 낼 수 있습니다!!!
본인이 방문하는 치과에서 직접 제작하는지 꼭 확인해보세요. 좋은 라미네이트 치과 만나는 꿀팁입니다!!!
레브네이트를 응원해주세요!
이상 '레브네이트 마스터 ; 예비신랑 앞니 무삭제라미네이트. 신사역 치과. 치료후기/비용/가격' 에 관한 포스팅의 치과 백원장이었습니다. 긴 글 읽어주셔서 감사드리며, 궁금한 점은 언제든지 댓글로 문의해주세요!
더 좋은 포스팅으로 또 찾아뵙겠습니다 ^^
본 포스팅은 환자분의 동의 후 작성하였습니다.
치료 시작: 2025.07.09
치료 완료: 2025.07.19
예상되는 부작용: 변색, 파절 등.
이상 백원장의 치과공부였습니다.
감사합니다.