아카이브 요약
이 페이지의 역할
레브치과의원 강남점의 네이버 블로그 원문을 보존한 아카이브 페이지입니다. 백원장과 치과공부 카테고리의 신사역 치과 - 이갈이와 이악물기의 치료. 좋은 보톡스와 이갈이 스플린트. 코어톡스 가격/주기/효과. 글을 통해 병원의 한국어 정보 제공 방식과 진료 관련 안내 톤을 확인할 수 있습니다.
원문 검증
필요하면 원문 블로그와 병원 프로필로 바로 이동해 문맥을 다시 확인할 수 있습니다.
출처 아카이브 열기아카이브된 블로그 글
레브치과의원 강남점 · Naver Blog
안녕하세요? 신사역 치과 대표원장 백원선입니다. 저희 치과가 개원한지 어연 3개월차에 접어들었습니다. 처음 오픈했을 때 임플란트 환자가 많나? 싶었는데, 이젠 치아미백과 라미네이트의 성지가 되어가고 있는 기분. 저희 치과가 주력으로 열심히 하고 있는 진료 중 하나가 레브치과 라미네이트 ; 레브네이트 입니다. 그...
게시일
2025년 8월 8일
원문 기준으로 확인된 발행일입니다.
카테고리
백원장과 치과공부
원문 블로그 카테고리를 정리해 함께 표시합니다.
이미지 수
10
현재 아카이브에 연결된 이미지 수입니다.
아카이브 요약
레브치과의원 강남점의 네이버 블로그 원문을 보존한 아카이브 페이지입니다. 백원장과 치과공부 카테고리의 신사역 치과 - 이갈이와 이악물기의 치료. 좋은 보톡스와 이갈이 스플린트. 코어톡스 가격/주기/효과. 글을 통해 병원의 한국어 정보 제공 방식과 진료 관련 안내 톤을 확인할 수 있습니다.
원문 검증
필요하면 원문 블로그와 병원 프로필로 바로 이동해 문맥을 다시 확인할 수 있습니다.
출처 아카이브 열기안녕하세요?
신사역 치과 대표원장 백원선입니다.
저희 치과가 개원한지 어연 3개월차에 접어들었습니다.
처음 오픈했을 때 임플란트 환자가 많나? 싶었는데, 이젠 치아미백과 라미네이트의 성지가 되어가고 있는 기분.
저희 치과가 주력으로 열심히 하고 있는 진료 중 하나가 레브치과 라미네이트 ; 레브네이트 입니다.
그리고 요새 레브치과에서 엄청 핫한 진료죠? 매일매일 치아미백 환자 예약이 수십개에 달한답니다.
오스템 뷰티스 제품을 사용하며, 오스템 정품 뷰티스 광조사기를 사용하는 제대로 된 치과입니다!
오늘은 이갈이, 이악물기에 대한 간단한 설명과 그에 대한 치료를 간단히 설명해드려볼께요.
이갈이 = Bruxism
이악물기 = Clenching

이갈이의 메커니즘은 정확히 밝혀진 바 없다고 합니다.
만병의 근원은 스트레스이니, 스트레스가 원인이라 추정하고 있을 뿐이죠.
어린 아이의 이갈이는 성인이 되어감에 따라 사라지는 경우가 대부분이지만,
어른의 이갈이는 주로 잠을 자는 동안 (야간이겠죠?) 심하며, 이악물기는 주간에도 많이 발견됩니다.
위에 그림에서 보시는 Masseter (교근, 깨물근) 는 광대와 아래턱을 이어주는 근육으로 이를 꽉 물면 볼쪽에서 튀어나와 만져지는 근육인데요, 입을 다무는데 사용하는 가장 주된 근육입니다.

Masseter는 위에 보시는 초록색 근육이고, 입을 닫는데 두번째로 크게 작용하는 근육이 Temporalis (측두근) 인데요, 위에 보시는 분홍색 근육입니다.
역시 근육이 작용하면 짧아지면서 아래턱이 위턱에 가까워지게 하죠. (이게 입을 다무는 것이겠죠?)

본래 입술의 자연스러운 위치란 이렇게 살~짝 떨어져 있어야 하는 법인데요.
제 모교인 연세대학교 치과대학병원 구강내과에서는 'N' 발음 할 때 위치라고 하여 N position 이라 했죠.
근데 사람에 따라 일에 집중하거나, 운동을 할 때 등등 입을 꼭 다물고 있으신 분들이 있어요.
더 나아가 꽉 물고 있기도 하죠. 그럼 이게 바로 이악물기가 됩니다. Clenching.

너무 꽉 다물고 있다보면 아래턱뼈와 머리뼈 사이에 있는 턱관절에 무리한 압력이 가해지게 되는데요,
이는 두 뼈 사이에 있는 연골(턱디스크)에 변형을 일으킬 수 있습니다.
물론 하루아침에 일어나는 일은 아니에요. 누적되고 누적되어야겠죠?
그 결과로 처음에는 턱에서 소리가 좀 나다가... 좀 아프다가, 더 진행되면 입도 안벌어지고.. 뭐 그런 일들..

당연히 누군가는 잘 때도 이를 꽉 물곤 합니다. 이것도 clenching 이죠.
근데 더 심하면 이를 갈기 시작합니다. 그러면 이갈이가 되죠. Bruxism.
그로 인한 결과는 위에서 설명드렸듯, 턱디스크의 변형 그리고 그로 인한 통증 혹은 개구장애 (입벌리기 어려움)
더 나아가서 치아가 닳고 깨지는 등 파절이 생기기 시작합니다.
이 모든게 Masseter와 Temporalis를 과도하게 사용하면서 생긴다는 말씀.
이악물기는 낮에 조심해봅시다. 습관을 바꿔보자구요.
그래도 이 악물기는 낮에 의식적으로 아래턱을 살짝 떼서 'N' position을 만들면 턱관절 그리고 치아 건강에 많은 도움을 받으실 수 있을겁니다. 물론 쉽지 않겠죠!.....

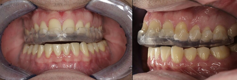
혹은 이런 물렁한 형태의 soft guard를 만들어볼 수 있습니다.
우리가 흔히 아는 마우스 가드보단 좀 더 작은 형태라고 할까요?
보통 치과에서 10만원 정도면 만들어드릴 수 있습니다. 오래걸리지도 않아요.
대신 잘 땐 빼고 주무시는걸 권해드립니다. ㅎㅎ 너무 세게 물거나 이를 갈면 금방 구멍나고 찢어져요~
이갈이는 뾰족한 수가 정말 없습니다. ㅠㅠ
그래서 필요한게 이갈이보톡스와 이갈이 장치죠.
이갈이는 보통 잘 때 해버리니 뾰족한 수가 정말 없습니다. 약물치료를 해도 효과를 본다는 보장이 없죠.
그렇다고 현대인에게 무턱대로 스트레스 free 하게 살라고 하는게 무슨 소용이겠습니까...

그래서 이렇게 이갈이보톡스 치료를 권유하게 됩니다.
보통 사람에 따라 다르지만 한 쪽에 25 unit 정도 자입되면 됩니다. 2-3 포인트를 정해서 놓아드립니다.
이갈이가 심하신 분들은 보통 더 놔야하는 경우가 생길 수 있습니다. (인터넷에 보톡스 알사탕 치면 나와요)
이렇게 이갈이 보톡스를 3-4개월 간격으로 4번 정도 맞으면 (1년 남짓 걸리겠죠?) masseter (교근) 자체가 부피도 줄고 힘이 줄어들어 이갈이를 잘 할 수 없게 됩니다 (?!)
또한 앞서 언급했던 temporalis (측두근)은 모든 이갈이 환자들에게 주사하진 않고, 심한 분들만 선택적으로 이갈이 보톡스 치료를 해드립니다. 보통 교근 먼저 하고, 1-2주 뒤에 재평가 하여 측두근을 놓죠.
재평가 없이 교근, 측두근 한 번에 다 맞았다가 힘없어서 밥 못먹을수도 있습니다 .

그리고 이갈이 장치도 만들어드리게 됩니다.
여기서 말하는 이갈이 장치는 앞에서 말씀드렸던, soft guard와 달리 딱딱한 레진으로 만드는 'resin splint' 입니다. 환자 입 안에서 뽄을 떠서 만드는 꽤나 딱딱한 장치죠. 보통 50만원 안팎 할겁니다.
일단 이갈이 장치를 끼고 주무시면, 턱관절이 과도한 힘을 받는걸 막아주므로 턱디스크 건강에 도움이 됩니다.
경우에 따라서 턱이 좀 쉴수 있는 위치로 유도할수도 있죠.
그리고 이를 갈더라도 치아 대신 resin splint가 닿고 있으니 치아가 깨질 일이 없어집니다.
대신 레진으로 만들어진 장치가 갈려나갈테니.. 정기 검진하면서 보수를 해줘야 합니다.
그렇기에 특징이라면, 주기적으로 오셔서 장치가 갈려있는지 보고 필요하면 치과의사가 높이 조정을 해드려야해요.
신사역 레브치과.
성공적인 이갈이 보톡스 치료를 위해 어떤 노력을 하고 있죠?


이갈이 보톡스 중 가장 비싼 재료 중 하나가 '제오민' 입니다.
아마 이갈이 보톡스 알아보신 분 치고 모르는 분이 없을거에요. 독일 제품이고 100 unit 을 구매하는데 원가가 수십만원입니다. 정말 과장 좀 보태면.. 싸구려 국산보다 10배 이상 비쌉니다.
비싼 이유는 추가적인 정제 과정을 거쳐, 내성이 적은 보톡스 약제를 만들어냈기 때문입니다. 효과도 더 좋대요.
비유를 하자면, 정말 효과에 필요한 성분만 남기고 나머지는 최대한 제거를 했다... 그래서 분자량도 적어요.
이런 제오민의 국산화 버전이 메디톡스 사에서 판매하는 '코어톡스' 입니다. (신사역 레브치과 것)
국산 회사 제품 중 가장 좋고, 마이너 제약사에서 판매하는 보톡스의 4-5배 비싼 수준입니다.
정말 꽤 많이 비싸요. ㅎㅎ 그래도 효과는 쁘디용 보톡스와 비교할 수 없습니다.
혹자는 제오민보다 더 좋다고도 합니다...
기사 보면 정말 많은 보톡스 회사들이 있다는 것을 아실 수 있을거에요.
치과에서는 미용이 아닌 이갈이 치료 목적으로, 보다 고용량의 보톡스를 사용합니다.
그리고 치료 목적이기에 미용 치료시 발생할 부가세도 없죠.
이갈이 자체를 해소해야하는데 초점을 맞추고 있는 치료이기 때문에, 무조건 성능 좋은 보톡스 제품을 사용해야만 한답니다. (주사 맞고 이갈이 안없어지면 안되잖아요..)
그리고 입을 움직이는 근육에 대해서는 치과의사가 제일 잘 알고 있겠죠? 턱관절 질환에 대한 이해와 진단 그리고 치아에 까지 이어지는 상황을 관찰하고 분석하는건 치과의사가 가장 적합하다는 것.
치과의사들은 평생 마취 주사를 많이 놓는 사람들이고, 아프지 않게 늘 주사를 놓아야 하는 숙명을 타고났죠..
이갈이 보톡스 치료를 이런 이유로 치과에서 치료받는 것이 좋습니다!!
보톡스는 3-6개월 단위로 4-5번 맞아주는 것이 영구적인 근육능력 감소에 유의한 효과를 준다고 합니다.
이갈이 보톡스를 맞으면 1-2주 내에 턱 힘이 상당히 줄어들고, 얼굴도 갸름해지는 것을 느끼실 수 있으실텐데요.
번거롭지만 주기적으로 잘 맞아주면 영구적으로 턱 근육이 줄어드는데 도움이 많이 된답니다.
(치과에서 예약 안내 문자 보내드립니다!! :)
혹시나 미용 용도로 턱보톡스를 맞으셨다면, 이갈이 환자에게 쓰는 용량보다 적게 맞으셨을 수 있습니다.
혹은 저렴한 제품을 사용시 확실히 효과가 떨어진다는 보고가 있습니다.
내가 이갈이 혹은 이악물기가 심해서 턱관절이 아프다면, 그리고 치아가 깨지거나 아픈 경험을 하셨다면
이번엔 치과에 내원해서 검사를 한 번 받아보시는게 어떠시겠어요?
이갈이 보톡스도 효율적인 치료이지만, 더 나아가 이갈이 장치를 잘만 사용해주면 턱관절의 통증과 치아의 통증에서 자유로워지실 수 있습니다!!
지금까지 신사역 레브치과 백원장의 포스팅을 잘 읽어주셔서 감사합니다.
이상 '신사역 치과 - 이갈이와 이악물기의 치료. 좋은 보톡스와 이갈이 스플린트. 코어톡스 가격/주기/효과.' 에 관한 포스팅의 치과 백원장이었습니다. 긴 글 읽어주셔서 감사드리며, 가격 등 궁금한 점은 언제든지 댓글로 문의해주세요!
더 좋은 포스팅으로 또 찾아뵙겠습니다 ^^
이상 백원장의 치과공부였습니다.
감사합니다.