안녕하세요?
신사역 라미네이트 치과 대표원장 백원선입니다.
저희 레브치과 레브네이트를 접해 보셨나요?
모노톤의 화사한 흰색으로 인상을 한 번에 바꿀 수 있는 레브네이트 베이직!
단정하면서도 정돈된 느낌을 가져가실 수 있습니다.
치아 1개만 라미네이트를 하고 싶으시다면? 정말 정말 치아를 안깎고 싶다면?
레브네이트 마스터가 제격입니다.

레브네이트 엑스퍼트
; 레브치과에서 가장 많이 시술되는 라미네이트 라인업.

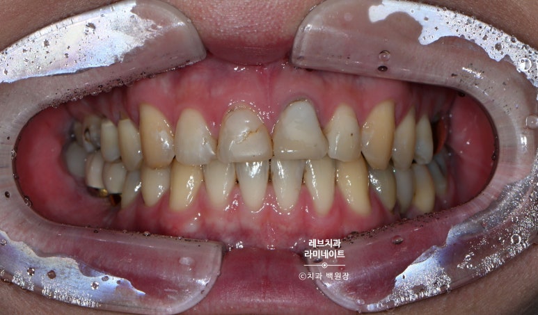
오늘 소개해드릴 환자분은 앞니의 충치 때문에 이미 여러번 레진치료를 받았던 환자분이었습니다.
아시다시피 레진이라는 재료는 '다공성'의 재료이기 때문에 매끈해보여도 현미경으로 보면 표면에 미세한 구멍이 많은데요, 그 때문에 변색에 취약한 재료입니다.
처음 떼워 넣은 레진은 참 색상이 예쁩니다. 인스타그램이나 유튜브 등등 많이 볼 수 있죠?
그 날은 예쁘지만, 시간이 지나면서 변색이 생기고 그 경계가 갈색이 되는건 레진의 숙명...........


저희 병원에 내원한 유튜버셨는데요, 앞니가 특히 레진으로 덕지덕지 치료되어 있는 것을 보실 수 있습니다.
치아를 보존하는 것. 물론 중요합니다만... 레진 치료 위에 또 레진을 붙이고 붙이고... 이제는 치아의 절반은 레진이었고 변색되는 치아에 지쳐있는 분이셨어요.
보다 밝고 하얗고 예쁜 모양의 앞니를 갖고싶어요.
인위적인 밝음은 싫어요.

보다 치아 색상이 밝아지길 원하셨습니다.
그리고 레진으로 만들어놓은 모양도 보다 이상적으로 개선하고 싶어하셨어요.
깔끔한 남자분의 외모와는 달리 깔끔해보이지 않는 치아였습니다.
그래서 웃음도 마음대로 못짓는 안타까운 상황...
신사역 레브치과의 레브네이트 엑스퍼트를 추천드렸습니다.
레브네이트 베이직의 경우 하얀톤으로 제작이 가능하나, 모노톤의 색상으로 인조미가 생기는데요.
환자분은 자연스러운 밝은 색을 원하셔서, 모노톤의 라미네이트 위에 추가로 세라믹을 얹고 MiYO 컬러링을 해드리는 라인업인 레브네이트 엑스퍼트로 시술하기로 하였습니다.
참고로 본래 치아가 배열도 좋고, 레진 충전물도 없고 좋은 상태라면 레브네이트 베이직으로도 대부분 원하는 결과를 얻을 수 있지만, 본래 치아가 색상이 이쁘지 않고 손상이 많은 치아라면 레브네이트 엑스퍼트는 선택해야 자연스러운 아름다운 결과를 가져갈 수 있습니다.

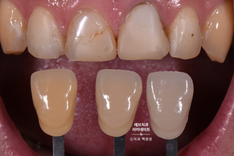
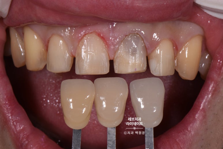
치료하기 전 치아의 색상을 채득해 두어야 합니다.
VITA shade guide를 사용하여, 치아를 깎아내기 전에 색상을 미리 기록해둡니다.
신사역 레브치과는 레브네이트 치료할 때
'전담 세라미스트'를 배정해 드리고, 특별한 상담시간을 갖습니다.

저희 신사역 레브치과의 특장점이라고 할 수 있는데요,
저희 치과는 다른 라미네이트 치과들과 달리 치과 내에 '전담 세라미스트' (치과기공사)가 상주하고 있습니다.
환자분께서 원하는 라미네이트를 제작해드리기 위해, 본인의 라미네이트를 만들 '전담 세라미스트'를 만나는 과정은 아주 특별합니다.
생각보다 환자분들이 원하는 라미네이트의 모습이 다양하거든요. 잇몸선, 웃음선, 치아의 shape 등을 디자인하고 정돈하는 것은 치과의사의 일이지만, 세상에 단 하나뿐인 내 라미네이트를 제작해주는 사람은 '전담 세라미스트'란 말이죠!! 이것이 바로 선진국 스타일 라미네이트 치료입니다.

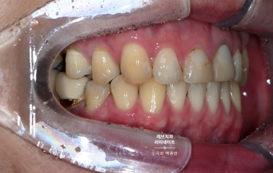
치아를 일부 다듬어드린 뒤 찍은 사진입니다.
치아가 다소 작아졌다고 생각하실텐데요, 기존에 치료되어 있었던 불필요한 레진들을 제거했기 때문입니다.
남아있는 old resin은 세라믹 재질의 레브네이트 엑스퍼트를 붙일 때, 완벽한 접착을 방해하기에 모두 깨끗이 정리되어야만 한답니다.


환자분의 평상시 입술 모양과 웃는 미소선을 기록해둡니다.
환자분의 좌우대칭과 웃을 때 치아가 얼마나 보이는지 등등 여러가지 정보를 기록하게 되죠.
그리고 레브네이트 치료를 받고 나시면 더 활짝 웃는 환자분들을 보시게 됩니다!!!
레브네이트 엑스퍼트를 완성하는데 3일의 시간이 소요되었습니다.

레브네이트 엑스퍼트의 경우 자연스러운 아름다움을 만들어드리기 위해, 보이는 라미네이트 면 위에 색상을 입체적으로 표현하는 세라믹 재질을 얹기도 하고 도료로 컬러링을 하기도 합니다.
그래서 원데이는 조금 어렵고, 예약 후 치료하실 경우 3일 정도 시간의 여유를 주셔야 한답니다. (그래도 빠른거에요!!!!)
정말 정말 왠만한 치과에서는 구사하지 못하는 디테일이라고 할 수 있습니다.
모든 라미네이트를 자체 제작하는 치과는 정말 정말 드물거든요... 그만큼 수작업이 많이 들어가는 라미네이트입니다. 하나하나가 '전담 세라미스트'의 예술 작품이지요.


같은 사람인가? 싶을 정도로 다른 모습이라고 할 수 있죠......?
사실 여러개도 아니고, 위 앞니 단 6개만 레브네이트 엑스퍼트로 바꼈는데... 이렇게 사람 인상이 달라진답니다.
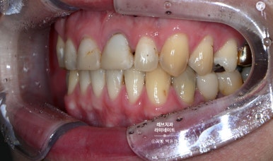
같은 사람임을 인증하기 위해서, 레브네이트 치료 받지 않은 어금니까지 보이는 사진을 첨부했습니다.
그리고 특별한 착시가 들어가 있는데요, 옆에서 보면 꽤나 송곳니가 넓어보이는 것을 확인하실 수 있을거에요. 심지어 좌우 사이즈도 좀 다르죠.
다만, 앞에서 보면 완전 대칭으로 보입니다! 앞에서 보이는 각도를 감안해서 만듦으로써 환자분이 갖고 있는 상황 내에서 최선의 결과를 내는 것.
이렇게 멋진 라미네이트를 해드리는 것. 그것이 저희 신사 레브치과의 자존심입니다.

완성된 라미네이트 사진... 인데요...

기억나실 지 모르겠지만, 처음과 비교하면......
이건 사기 아니야? 라고 생각하실수도 있겠습니다.....
자연스럽고 밝고 화사한 . 그리고 사람들이 라미네이트인지 알게 모르게 느끼게 만들어 드리는 것.
그게 진짜 예술이고 선진국형 라미네이트 입니다.
Before & After

일단 웃었을 때 모습이 달라지셨어요.
유튜버라면 웃는 모습을 많이 보일 수 밖에 없으실텐데요,
좌우 대칭과 화사한 색상, 그리고 자연스러움까지 ... 원하시는 요구를 모두 깔끔하게 맞춰드렸습니다.


무슨 말이 필요할까요. 우측 사진이 다소 밝게 찍혔다곤 하나, 정말 리모델링을 넘어 신축 아파트가 들어선 느낌입니다!! 이제 드디어 자연스럽게 활짝 웃을 수 있다고 말씀하신 환자분. 어려운 결정이셨겠지만, 앞으로도 활짝 웃음 가득한 나날이 가득하시길 바랍니다.

오늘 보여드린 라인업은 저희 신사역 라미네이트 치과에서 가장 많이 활용하고 있는 레브네이트 엑스퍼트였습니다.
웃음을 위해 필수라고 이름을 붙여보았는데, 비대칭 개선, 치아의 색상 개선, 깨지거나 닳은 치아의 모양의 개선, 변색치 왜소치 등 거의 모든 치아의 문제를 해결할 수 있는 라인업입니다.

최선의 자연스러운 라미네이트를 만들기 위해 레브치과의 전담 세라미스트들은 매일 연구하고 공부하고 있습니다.
M 치과나 T 치과의 라미네이트도 물론 예쁩니다만, 재능 가득한 세라미스트들이 제작해드리는 라미네이트들은 분명 보다 맑고 투명하며 하얗지만 자연스러운 느낌을 제시하고 있습니다.
라미네이트 치료에 앞서 잇몸 성형을 하고 치아를 어떻게 제작할지 기획하는 것은 분명 치과의사입니다만,
치과의사가 기획한 디자인을 구현해내는 것은 분명 세라미스트 (치과기공사) 라는걸 잊지 말아주세요.
그들의 실력을 믿고 레브네이트 치료를 받으러 오신 환자분들께, 만족할만한 결과로 보답하겠습니다.
긴 글 읽어주셔서 감사합니다. 앞으로도 더 좋은 치료결과를 보여드리려 최선을 다하겠습니다.
이상 '레브네이트 엑스퍼트 ; 유튜버가 선택한 앞니 라미네이트. 앞니 레진 벌어짐을 자연스러우면서 화사하게 바꿔봅시다. 신사역 치과. 치료후기/비용/가격.' 에 관한 포스팅의 치과 백원장이었습니다. 긴 글 읽어주셔서 감사드리며, 궁금한 점은 언제든지 댓글로 문의해주세요!
더 좋은 포스팅으로 또 찾아뵙겠습니다 ^^
본 포스팅은 환자분의 동의 후 작성하였습니다.
치료 시작: 2025.06.28
치료 완료: 2025.07.01
예상되는 부작용: 변색, 파절 등.
이상 백원장과 치과공부였습니다.
감사합니다.