아카이브 요약
이 페이지의 역할
레브치과의원 강남점의 네이버 블로그 원문을 보존한 아카이브 페이지입니다. 이웃공개 치과컨텐츠 카테고리의 신사역 퍼스널컬러 맞춤 치과. 전담 세라미스트가 앞니 크라운과 라미네이트를 만들어 드립니다. 글을 통해 병원의 한국어 정보 제공 방식과 진료 관련 안내 톤을 확인할 수 있습니다.
원문 검증
필요하면 원문 블로그와 병원 프로필로 바로 이동해 문맥을 다시 확인할 수 있습니다.
출처 아카이브 열기아카이브된 블로그 글
레브치과의원 강남점 · Naver Blog
안녕하세요? 신사역 레브치과 대표원장 백원선입니다. 저희 레브치과가 국내 최고의 라미네이트 치과를 꿈꾸며 개원한지 어연 3개월이 다 되어갑니다. 예쁜 앞니를 갖고 싶어하는 다양한 분들을 만나면서, 이런 저런 케이스 상담을 해드리고 있는데요, 우리가 익숙한 '퍼스널컬러'라는 단어와 '앞니 크라운, 라미네이트'가 접목된...
게시일
2025년 8월 17일
원문 기준으로 확인된 발행일입니다.
카테고리
이웃공개 치과컨텐츠
원문 블로그 카테고리를 정리해 함께 표시합니다.
이미지 수
16
현재 아카이브에 연결된 이미지 수입니다.
아카이브 요약
레브치과의원 강남점의 네이버 블로그 원문을 보존한 아카이브 페이지입니다. 이웃공개 치과컨텐츠 카테고리의 신사역 퍼스널컬러 맞춤 치과. 전담 세라미스트가 앞니 크라운과 라미네이트를 만들어 드립니다. 글을 통해 병원의 한국어 정보 제공 방식과 진료 관련 안내 톤을 확인할 수 있습니다.
원문 검증
필요하면 원문 블로그와 병원 프로필로 바로 이동해 문맥을 다시 확인할 수 있습니다.
출처 아카이브 열기안녕하세요?
신사역 레브치과 대표원장 백원선입니다.
저희 레브치과가 국내 최고의 라미네이트 치과를 꿈꾸며 개원한지 어연 3개월이 다 되어갑니다.
예쁜 앞니를 갖고 싶어하는 다양한 분들을 만나면서, 이런 저런 케이스 상담을 해드리고 있는데요,
우리가 익숙한 '퍼스널컬러'라는 단어와 '앞니 크라운, 라미네이트'가 접목된 케이스를 소개해드려봅니다.

라미네이트가 깨졌어요.
기왕 다시 하는 김에 쿨톤으로 제작해보고 싶어요.

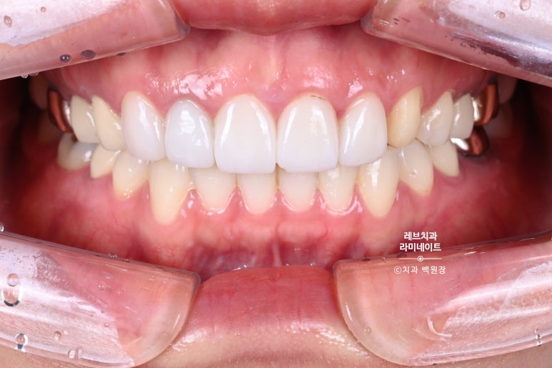
앞니 크라운 치료를 옛날에 받았던 환자분입니다.
위 앞니 6개가 올세라믹 크라운으로 치료 받으신 상태였어요.
그 중 왼쪽 위 송곳니 크라운은 깨져서 사라진 상태셨고, 왼쪽 위 앞니 크라운은 경계가 변색되고 끝단이 깨져있는 상태셨습니다.
크라운을 하나만 교체할까 하다가 상담 받고 몇 개 해볼지 고민하겠다는 분이셨어요.


좌, 우로 돌려서 보시면 왼쪽과 오른쪽 둘다 밝은 하얀색 치아지만,
뭔가 느낌이 좀 다르긴 하죠? 한 쪽은 좀 어둡고 한 쪽은 밝고.
그리고 전반적으로 색깔에 따뜻한 감이 있어요. 그래서 웜톤 크라운이라고 생각했습니다.

이렇게 보시면 더 확인히 보이실 듯!
기왕 크라운 다시 하는 김에 도시적인 느낌이 나도록 쿨톤 지르코니아 크라운으로 제작해보기로 했습니다.
올세라믹 크라운은 원래 치아 색상을 내는데 적합합니다. 보철물 자체가 반투명하고, 진짜 치아같거든요?
바꿔 얘기하면, 쿨톤으로 앞니를 치료받고 싶다면 올세라믹 크라운이 적절하지 않을 수 있습니다.
원래 자기 치아의 따뜻한 감을 바꿔주는 치료가 되니까요. 그래서 지르코니아 크라운으로 결정!!
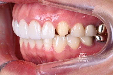
기존의 올세라믹 크라운을 제거하기 전에 치아 색상을 측정합니다.

저희 신사역 레브 치과에는 예뻐지는 앞니 치료를 받으시려는 분들을 위해,
전담 세라미스트를 배정해드립니다.
이번 케이스는 오동기 세라미스트님의 작품!
환자분의 피부색, 잇몸형태, 스마일라인 등을 고려해서 앞니를 어떻게 제작할지 디자인 하는 것은 치과의사이지만,
붙여드릴 레브네이트 혹은 크라운을 제작하는 사람은 바로 세라미스트 이기 때문이에요.
제작할 사람이 직접 치과에 상주하면서, 환자분과 함께 상의하고 원하는 바를 찾아가는 과정.
진짜 신사역 레브치과에서만 만나보실 수 있는 혜택입니다.
반드시 스마일라인 사진을 찍어두어야 합니다.

치과의사가 생각하기에 예쁜 스마일 라인을 가지고 계신 환자분이셨어요!
치과에서 치료를 받을 때 이렇게 사진을 많이 찍었나? 싶으실텐데요~
얼굴의 중심선, 수평선 그리고 입술과 어울리는 보철물을 만들기 위해선 반드시 필요한 과정입니다!!
그래서 외부로 공개하진 않지만, 환자분의 얼굴사진까지도 전담 세라미스트가 참고하면서 제작합니다.
여기서 바로 퍼스널 컬러도 반영되게 되는데요, 환자분이 갖고 있는 이미지에 맞춰 웜톤과 쿨톤이 반영이 되죠!
이렇게 심혈을 기울여서 제작해야만, 비로소 명품 하이엔드급 라미네이트가 완성된답니다. ㅎㅎ
본인을 위한, 나만의 라미네이트를 만들어드리려면 공장형 라미네이트 치과는 지양하셔야 합니다..
라미네이트... 1-2년 쓸거 아니잖아요~..
본인이 갖고 싶은 라미네이트 or 크라운 사진을 가지고 오시면
제작시에 많은 도움이 됩니다!!

환자분이 저희 치과에 와서 보여주셨던 사진입니다.
다른치과 사진이라, 이름은 가려두었어요!
아마, 환자분이 생각하시기에 예쁘게 잘 끝난 케이스라고 생각하여 사진을 가져오신 것 같아요.
사람마다 추구하는바가 매우 다양하기 때문에, 본인이 생각하시기에 예쁜 케이스 혹은 웃는 연예인 사진을 가지고 오시면 전담 세라미스트가 앞니 보철물을 만드는데 많은 도움이 됩니다 :)
(사실 년식이 좀 된 사진이라, 지금 저희가 제작하는 레브네이트랑은 퀄리티 차이가 많이 나네요..)
그렇게 제작되었던 앞니 지르코니아 크라운. PFZ.

본인이 원래 갖고 계신 웜톤의 크라운을 제거하고, 저희가 처음 만들어드렸던 크라운입니다!
단정하고, 진짜 치아같은 느낌이 완전 많이 생겼는데, 다소 톤다운된 느낌이 있었어요.

앞니 크라운은 한 번에 환자-치과의사-세라미스트 모두 만족하지 않을 수 있습니다.
어금니는 기능을 위주로 제작하니 대부분 한 번에 제작할 수 있지만,
앞니의 경우 "예쁘다"라는 기준에 부합해야하니, 1. 환자 2. 치과의사 3. 세라미스트
셋 중 하나라고 불만족스러우면, 다시 제작할 수 있어요.
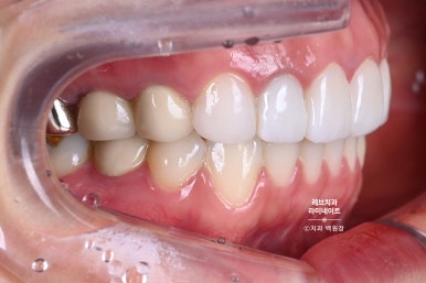
이 경우에, 1. 환자 2. 치과의사 3. 세라미스트 모두 만족했지만....
환자분이 약 3일 정도 지내보시고, '너무 자연스러워'서 수정을 원하셨답니다.
레브치과. 환자분의 만족을 위해서라면, 한 번 더 힘을 내야죠.

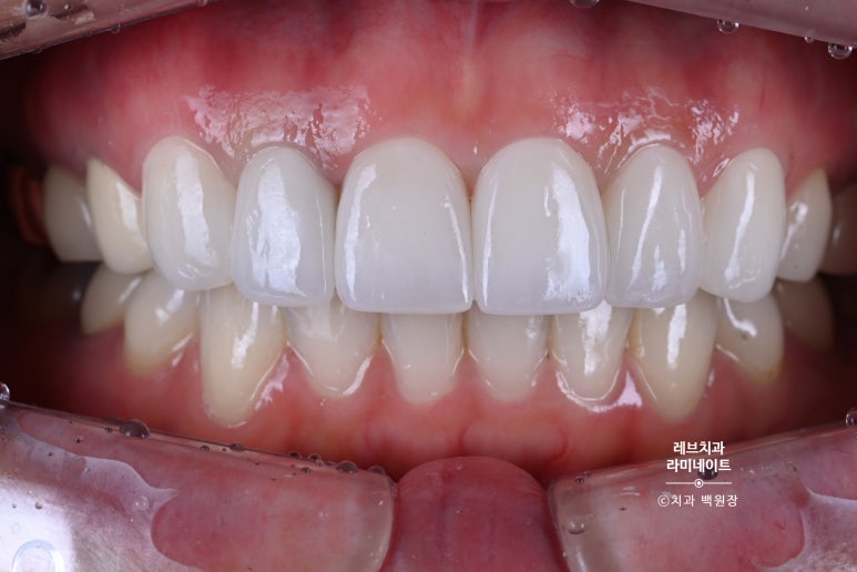
그래서 다시 수정해드렸던 앞니 PFZ (지르코니아 + 포세린) 크라운 입니다.
약간 빛 반사가 있으니 좀 더 확대한 사진으로 볼까요?


제가 느끼기에 상당히 도시적이고 시크한 컬러라고 생각했습니다. ㅎㅎㅎㅎ
이러한 오묘한 느낌을 내는 앞니를 만들어주는 치과가 정말 많지 않아요.
보통.. 다른치과 라미네이트들 현황은..

이런 식의 안 예쁜 앞니를 만들어 주는 경우가 대부분입니다.
왜냐면, 치과가 자체적으로 제작하지 않으면 치아의 오묘한 색을 반영하지 못해요.
아무리 디카로 찍어서 전송해서 보내도.. 치과기공소에서 직접 눈으로 본게 아니기 때문.
이는 영상통화로 색상을 보는 것도 같은 이치입니다.
결국은 하얗긴 하지만, 불투명하고.. 보통 바둑알 같다는 라미네이트만 만들어지게 되지요.

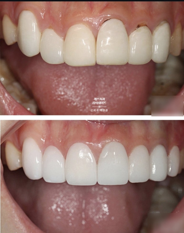
신사역 레브치과에서 만들어드리는 앞니는 한층 더 업그레이드 된 퀄리티라 자부합니다.!!
환자분이 선호하시는 쿨톤의 퍼스널컬러에 맞추면서도, 자연스러운 형태와 밝은 빛깔을 함께 불어넣어 만들어드리는게 저희 레브치과의 존재의 이유니까요 :)
얼마나 자연스러운지는 주변사람들한테 얘기해보시면 아실 수 있습니다. 바둑알 라미네이트와 차원이 다르옵니다.
얼마나 밝은지는 더 뒤의 어금니와 비교해보시면 알 수 있습니다. 색상의 차이가 확연하죠?
마지막으로 '쿨톤'의 느낌을 불어넣기 위해서 부가적인 여러 색상의 포세린과 특수 컬러링이 가미된답니다.
마치 하나의 미술작품처럼요.
그래서 전담 세라미스트가 중요하죠. 오동기 세라미스트님 감사해요 :)

변화된 반안모 사진을 보면, 환자분이 어떤 느낌을 추구하셨는지 알 수 있어요.
보다 쿨톤의 색상을 가지면서, 원래 가지고 있으셨던 앞니보다 약간 더 직선형의 외형.
그리고 완벽한 좌우 대칭을 갖는 치아 끝의 모양까지.
환자분께서 원하시는 방향에 맞춰서 앞니 제작이 되었고, 결과적으로 매우 만족하셨다는 후문!
실력으로 승부하는 신사역 라미네이트/앞니 크라운 잘하는 치과. 레브치과입니다 :)
모두에게 앞니는 아주 소중합니다. (당연한 얘기지만?)
그래서 보통 라미네이트 치료를 받기로 결정하기에 앞서, 여러 치과를 다니시게 되죠.
워낙 유명한 심미치료 치과도 많고, 브랜딩이 잘 되어있는 치과들도 많습니다.
저희 레브치과에서 강조하고 싶은 곳은, 웃음을 디자인하는 치과의사와 앞니 크라운과 라미네이트를 제작하는 전담 세라미스트가 모두 깊은 진심으로 모든 분들을 대하고 있다는 것입니다.
그러기에 가능한 것이 퍼스널 컬러의 반영입니다 :)
앞니가 어떤 색상과 모양을 갖느냐에 따라 환자분이 가지게 될 이미지가 달라지기 때문이에요.
한 번 다녀가보시면 느끼실 수 있을거에요 ^^
앞으로도 환자 맞춤형 ; 좋은 케이스 많이 소개해드릴 수 있도록 열심히 하겠습니다.
이상 '신사역 퍼스널컬러 맞춤 치과. 전담 세라미스트가 앞니 크라운과 라미네이트를 만들어 드립니다.' 에 관한 포스팅의 치과 백원장이었습니다. 긴 글 읽어주셔서 감사드리며, 가격 등 궁금한 점은 언제든지 댓글로 문의해주세요!
더 좋은 포스팅으로 또 찾아뵙겠습니다 ^^
본 포스팅은 환자분의 동의 후 작성하였습니다.
치료 시작: 각각 2025.06.27
치료 완료: 각각 2025.07.09
예상되는 부작용: 치아 파절, 이차 우식, 치근단 염증 등
이상 백원장의 치과공부였습니다.
감사합니다.