아카이브 요약
이 페이지의 역할
레브치과의원 강남점의 네이버 블로그 원문을 보존한 아카이브 페이지입니다. 이웃공개 치과컨텐츠 카테고리의 아래앞니 라미네이트도 무삭제로 가능한가요? 레브네이트 베이직 가격/비용/후기/추천. 글을 통해 병원의 한국어 정보 제공 방식과 진료 관련 안내 톤을 확인할 수 있습니다.
원문 검증
필요하면 원문 블로그와 병원 프로필로 바로 이동해 문맥을 다시 확인할 수 있습니다.
출처 아카이브 열기아카이브된 블로그 글
레브치과의원 강남점 · Naver Blog
안녕하세요? 강남 라미네이트 치과 대표원장 백원선입니다. 무삭제 라미네이트, 최소삭제 라미네이트 이런 얘기 정말 많이 들어보셨을거에요. 강남에서 라미네이트 치료를 받으려고 할 때, 꼭 듣게 되는 단어죠. 근데 혹시 그거 아시나요? 라미네이트 치료 사진을 보면 거의 다 위 앞니 라미네이트 사진만 나온다는 것. 왜 그...
게시일
2025년 8월 21일
원문 기준으로 확인된 발행일입니다.
카테고리
이웃공개 치과컨텐츠
원문 블로그 카테고리를 정리해 함께 표시합니다.
이미지 수
18
현재 아카이브에 연결된 이미지 수입니다.
아카이브 요약
레브치과의원 강남점의 네이버 블로그 원문을 보존한 아카이브 페이지입니다. 이웃공개 치과컨텐츠 카테고리의 아래앞니 라미네이트도 무삭제로 가능한가요? 레브네이트 베이직 가격/비용/후기/추천. 글을 통해 병원의 한국어 정보 제공 방식과 진료 관련 안내 톤을 확인할 수 있습니다.
원문 검증
필요하면 원문 블로그와 병원 프로필로 바로 이동해 문맥을 다시 확인할 수 있습니다.
출처 아카이브 열기안녕하세요?
강남 라미네이트 치과 대표원장 백원선입니다.
무삭제 라미네이트, 최소삭제 라미네이트 이런 얘기 정말 많이 들어보셨을거에요.
강남에서 라미네이트 치료를 받으려고 할 때, 꼭 듣게 되는 단어죠.
근데 혹시 그거 아시나요? 라미네이트 치료 사진을 보면 거의 다 위 앞니 라미네이트 사진만 나온다는 것.
왜 그럴까 고민해 본 적 있으신가요?
궁금하시면 제 글을 한 번 쭉 읽어보세요. ㅎㅎ
앞선 여러 포스팅으로 저희 신사역 레브치과에서 열심히 치료하고 있는 레브네이트 케이스를 보여드렸습니다.
레브네이트는 베이직 -> 엑스퍼트 -> 마스터 3단계로 나뉘며,
어떻게 라미네이트를 만드는지에 따라 나뉘는 단계랍니다.
강남 라미네이트 치과를 다녀보시면 아시겠지만, 생각보다 '이유 있는' 라인업이 있는 경우가 많지 않아요.
전담 세라미스트 상주하는 저희 레브네이트는 상세한 설명과 투명한 제작과정으로 정직한 라미네이트 치료를 하고 있는 곳이랍니다.
레브네이트 베이직
; 아래 앞니는 대부분 레브네이트 베이직으로 치료하게 됩니다.

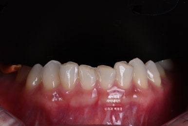
저희 레브치과에 내원하셨던 환자분입니다.
사실 아래 앞니가 거의 보이지 않는 스타일이신데요,
이렇게 위 앞니가 아래 앞니를 덮는듯한 모양을 갖고 계신 분들을 '과개교합'이라고 부릅니다.
레브네이트 치료를 받기로 결정하신 이유는 바로 아래 앞니의 색상 때문이었습니다.


윗니와 아랫니의 색상차이를 확연히 구별하실 수 있겠죠?
위 치아는 라미네이트 치료가 되어 있으시지만, 아래 치아는 자연치 그대로입니다.
사실 안보이는데 굳이 치료를 해야하나?? 라고 생각하시는 분들이 많으실 수 있겠으나...
말씀하시거나 웃을 때 아래 앞니가 누렇게 보이는게 당연지사.
더더구나 치아의 파절과 교모는 갖고계신 치아를 더 못생기게 보이게 하고 있죠.

아울러 치아가 모여있어 (치아의 총생이라고 합니다.) 배열도 예쁘지 않은 상태입니다.
게다가 끊어먹는 면인 절단연은 불규칙하게 닳아있었죠.
레브네이트 치료에 앞서 치아의 색상부터 측정합니다.

위 앞니와 비슷한 색상을 원하셨기에, 치료에 앞서 미리 치아 색상을 기록해둡니다.
저희 신사역 레브치과는 강남 여느 라미네이트 치과와 차별화된 과정으로,
환자분 한 분 한 분 마다 '전담 세라미스트'를 배정해드림으로써 내 라미네이트를 만드는 '그 분'과 직접 소통할 수 있게 해드리고 있습니다.
예쁜 라미네이트 치료를 위해 담당 치과의사에게 '예쁘게 해주세요' 라고 말하면 안됩니다!!!
그건 마치 저녁 메뉴를 정할 때, 맛있는걸로 먹읍시다. 라고 얘기하는 것보다 더 어려운 것이라구요..
그러기에 치아의 길이, 비율, 색상 등등 라미네이트를 제작해주는 분과 이야기를 하면서 상세히 정해야 만족스러운 결과를 얻으실 수 있습니다 !!
그래서 전담 세라미스트와 상담하실 때, 때론 연예인의 치아를 참고하여 상의하기도 합니다 :)

사실 정적인 자세로 계실 때 웃으면 잘 보이지 않습니다.
그렇지만, 말씀하시거나 웃을 때 보이는게 많이 신경쓰여하셨던 분입니다.

이렇게 보시면, 확실히 윗 치아와 아래 치아의 차이를 느끼실 수 있을거에요.
라미네이트 치료는 막상 하고나면 생각보다 예뻐지는 효과가 좋은 치료입니다.
얼굴의 1/3을 차지하는 아래 얼굴. 그리고 그 대부분을 차지하는 치아가 예뻐진다는 것은, 외모를 한 층 더 업그레이드 하는 중요한 일이니까요!
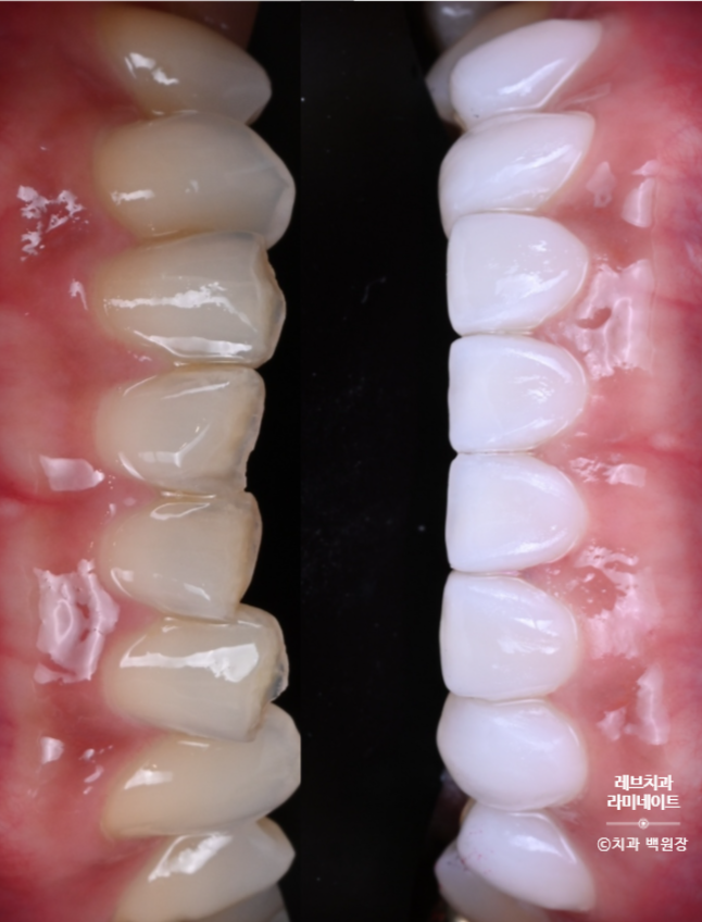
잇몸성형을 하면서, 치아를 다듬어주었습니다.
아래 앞니 레브네이트 베이직을 제작하기 위해 삭제된 치아의 모습입니다.

대부분의 치아가 무삭제 라미네이트를 할 수 있다고 홍보합니다.
저희 신사역 치과도 마찬가지입니다.
그 와중에 '무삭제' 라미네이트는 아주 허황된 과장광고라고 말하는 치과의사도 많습니다.
사실 반은 맞고 반은 틀린 말입니다.
치아를 하나도 안깎아도 되는 경우도 있지만, 애당초 치아를 깎아줘야 되는 상황도 분명 존재합니다.
이번 환자분 같은 경우, 위 아래 앞니가 매우 긴밀하게 그리고 깊게 물리는 상태셨어요.
이렇게 힘을 많이 받을 수 밖에 없는 상황인 경우, 아래 앞니 라미네이트 치료를 위한 치아 삭제는 필수입니다.
저희 강남 라미네이트 레브치과는 치아 삭제를 최소한으로 하기 위해 HASS 블록을 사용하고 있습니다.
라미네이트 블럭 중 가장 강한 강도를 갖는 블록에 속합니다.
다만, 색상이 단조로운 단점이 있어 특수한 컬러링으로 극복해내고 있습니다.

이 정도의 치아 삭제에 대해 어떻게 생각하실지 모르겠습니다만,
0.5mm 정도의 최소 치아 삭제를 한 모습입니다.
0.5mm 면... 도작 A4용지 5~10장 정도의 두께입니다. 정말 조금만 다듬는 기술!!!
자신감있게 얼마나 치아를 삭제하는지 보여드립니다.
레브치과는 환자분의 앞니를 지켜드립니다.
또한, 이렇게 최소한의 삭제만을 하려면 상당한 수준의 실력을 가진 치과기공사와 함께해야 합니다.
전담 세라미스트 (치과기공사)와 치아 디자인에 대해, 그 자리에서 환자와 상의하면서 만들어내는 라미네이트..
한국에 정말 잘 없는 고퀄리티 강남 라미네이트 치과라는 자부심이 있습니다. 열심히 하겠습니다!

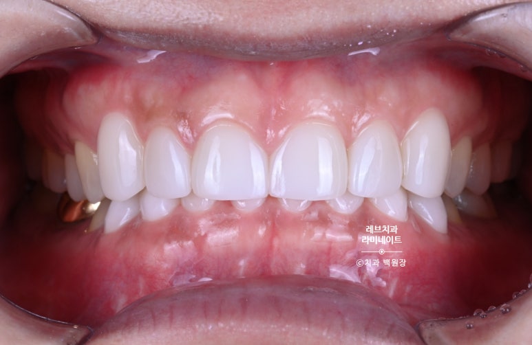
그렇게 해서 만들어온 레브네이트 베이직을 붙여드렸습니다.
치아가 조금 짧네? 라고 생각할 수 있습니다만, 위 치아의 모양과 환자의 외모를 고려한 치아 형태입니다.
더 길게했다면, 다른 치아들과 분위기가 잘 어울리지 않았을거에요.

그래서 이렇게 마무리 된 상황!!!
환자분이 너무 너무 만족해하셨고, 더 나아가 치아의 시림 없이 모양도 단정하고 보강된 치아를 만들어드릴 수 있어서 상당히 보람된 케이스였답니다.
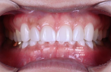
Before & After


약간의 잇몸성형을 통해 아랫니가 조금 더 보이게 함으로써 자연스러움을 추가하였습니다.
그리고 위 치아와 아래 치아 색상의 조화를 이루어 깔끔한 이미지를 가지실 수 있게 도와드렸습니다.


아래 앞니의 경우 신경치료 추가 없이, 치아가 시리지 않는 선에서 최소 삭제로 치료해드렸습니다.
길이를 단정하게 맞추고, 색상을 개선하니 정말 20년은 젊어보이는 느낌이 들더라구요.
이제 아래앞니 색상 때문에 치아미백을 하지 않아도 된다고 좋아하셨습니다.


웃어보시라 말씀드리니 조금 부자연스럽게 웃긴 하셨지만, 아래 앞니 치료에 대한 자신감으로 더 크게 웃게 되신 것을 보실 수 있을거에요.
레브네이트 치료 후 특징은 이제 더 자연스럽게 웃으실 수 있다는 것 !!
환자의 스마일을 찾아주는 치료입니다. 늘 자부심을 느끼며 치료하고 있습니다.

라미네이트 치료는 성형외과에서 하는 성형수술의 개념과 비슷하다고들 말합니다.
치아의 색상이 밝아지고, 모양이 가지런해지며 그에 따라 사람의 인상이 훨씬 화사해지죠.
그렇지만, 개인적인 생각으로는 치아를 지키고 보강하는 의미도 있다고 생각합니다.
깨져나가고 있는 치아를 다듬어드리고 겉면을 위생적으로 관리 가능한 세라믹으로 덮어줌으로써, 더욱 편하게 관리하실 수 있는 환경을 조성해 드리고 추가적인 치아 파절이 일어나지 않게 해드립니다.
게다가 레브네이트 치료 후 제작해드리는 치아보호장치는 레브네이트도 보호하지만, 자연치아 또한 아껴쓰실 수 있게 해드리는 큰 역할을 하죠.
왜 아래 앞니 라미네이트는 돌아다니는 사진이 잘 없을까?
라는 생각을 해보셨나요?
; 답은 치아를 깎는 모습을 보이고 싶지 않기 때문입니다. 대부분의 아래 앞니 라미네이트는 치아를 '깎아야만' 제대로 모양과 색상을 갖추어 만들어드릴 수 있습니다. 기억해두시고, 현명한 치료를 받으시길 바랍니다.
얼마나 치아를 깎는지 보여줄 수 있어야, 진정한 의미로 실력있는 라미네이트 치과겠지요.
레브네이트 비용이 궁금하시다면 댓글로 문의해 주세요!
이상 레브네이트 베이직을 추천하는 글이었습니다.
이상 '아래앞니 라미네이트도 무삭제로 가능한가요? 레브네이트 베이직 가격/비용/후기/추천.' 에 관한 포스팅의 치과 백원장이었습니다. 긴 글 읽어주셔서 감사드리며, 궁금한 점은 언제든지 댓글로 문의해주세요!
더 좋은 포스팅으로 또 찾아뵙겠습니다 ^^
본 포스팅은 환자분의 동의 후 작성하였습니다.
치료 시작: 2025.06.25
치료 완료: 2025.07.09
예상되는 부작용: 변색, 파절 등.
이상 백원장과 치과공부였습니다.
감사합니다.