아카이브 요약
이 페이지의 역할
레브치과의원 강남점의 네이버 블로그 원문을 보존한 아카이브 페이지입니다. 이웃공개 치과컨텐츠 카테고리의 신사역 치과. 아나운서 면접 전 앞니 벌어진 공간을 라미네이트로만 해결할 수 있었던 사연.. 글을 통해 병원의 한국어 정보 제공 방식과 진료 관련 안내 톤을 확인할 수 있습니다.
원문 검증
필요하면 원문 블로그와 병원 프로필로 바로 이동해 문맥을 다시 확인할 수 있습니다.
출처 아카이브 열기아카이브된 블로그 글
레브치과의원 강남점 · Naver Blog
안녕하세요? 신사역 레브치과 대표원장 백원선입니다. 저희 신사역 레브치과의 자랑은 단연코 전담 세라미스트가 제작해드리는 레브네이트입니다. 그 중 가장 마스터피스라고 할 수 있는 레브네이트 마스터 감상 포스팅을 먼저.. 오늘도 기가막히는 라미네이트 케이스 하나 보여드려 보고자 합니다. 보통 '라미네이트' 라고 하면, 앞...
게시일
2025년 8월 27일
원문 기준으로 확인된 발행일입니다.
카테고리
이웃공개 치과컨텐츠
원문 블로그 카테고리를 정리해 함께 표시합니다.
이미지 수
31
현재 아카이브에 연결된 이미지 수입니다.
아카이브 요약
레브치과의원 강남점의 네이버 블로그 원문을 보존한 아카이브 페이지입니다. 이웃공개 치과컨텐츠 카테고리의 신사역 치과. 아나운서 면접 전 앞니 벌어진 공간을 라미네이트로만 해결할 수 있었던 사연.. 글을 통해 병원의 한국어 정보 제공 방식과 진료 관련 안내 톤을 확인할 수 있습니다.
원문 검증
필요하면 원문 블로그와 병원 프로필로 바로 이동해 문맥을 다시 확인할 수 있습니다.
출처 아카이브 열기안녕하세요?
신사역 레브치과 대표원장 백원선입니다.
저희 신사역 레브치과의 자랑은 단연코 전담 세라미스트가 제작해드리는 레브네이트입니다.
그 중 가장 마스터피스라고 할 수 있는 레브네이트 마스터 감상 포스팅을 먼저..
오늘도 기가막히는 라미네이트 케이스 하나 보여드려 보고자 합니다.
보통 '라미네이트' 라고 하면, 앞니를 깎아서 조그맣게 만드는 나쁜 치료라는 인식이 있는데요,
때론 정말 '라미네이트'로만 치료가 가능한 특수한 케이스들도 분명!!! 있습니다.
어떤 치료 방법을 결정할 때, 치아가 썩고 안썩고만 기준이 되는 것은 아닙니다.
환자분의 경제적 상황, 주어진 시간적 여유, 연령, 성별, 건강상태 등 우리 눈에 안 보이는 것들도 많이 작용하죠.

아나운서 면접 전인데 앞니 사이 벌어진 공간을 메꾸고 싶어요.
시간이 없어서 교정치료는 안되고, 비용도 최소한으로 하고싶고..

아나운서 면접 전 저희 치과에 라미네이트 치료를 받고자 내원하신 분이었습니다.
그냥 얼핏 보기엔 뭐.. 치열이 조금 틀어져 있네? 이 정도라고 생각이 드실텐데요
(저 또한 그랬습니다.)


이게 왠걸 ! 고개를 돌려보니 치아가 하나 없는겁니다...
어딨지? 하고 보니,

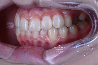
오른쪽 송곳니가 보다 안쪽에 있는 부정교합이라, 마치 치아하나가 없는 것 처럼 보이는 상태셨어요.
정면만 딱 보면 안보이는 것 같은데, 얘기하거나 웃을 때 엄청 잘 보이는 앞니 사이 공간이 있는거에요..

그리고 잘 보면, 치아들이 조금 뻐드러져 있기도 하고.. 뭔가 돌아가 있기도 하고..
어떻게 해결해야 할까요...
교정치료를 권해드렸어요.
레브치과 인비절라인도 괜찮거든요~

치아 교정을 해서 치아를 고르게 만들고 싶었습니다.
치아 색이 좀 누래보이는 것은 치아 교정하고나서 치아미백도 좋고.. 그 때 라미네이트 해도 되고..
열심히 설명을 드렸는데, 아뿔사! 아나운서 면접이 얼마 안 남은거죠...
그럼 치열도 가지런해야하고 치아 색도 예뻐야 하는데, 시간은 없고.......
그럼 레브네이트 6개로 치료해보기로 해요!
아래까지 12개 치료하면 훨씬 더 밝은 인상을 가지실 수 있어요.


일단, 아나운서 면접이라는 기회를 잡은게 중요하니, 최선의 치료부터 권해드려보기로 했어요.
이상적인 치열이 되기 위한 배열의 개선과 치아의 고르게 하얀 색상을 연출하려면
위 6개, 아래 6개 라미네이트가 최소한으로 권유되는 상황이었습니다.
근데...
비용이 많지 않아서... 일단 임시라고 생각하고 4개만 치료해주세요.

비용이 넉넉치 않아 4개만 치료해야한다는 어린 여성분.
예산을 정말 딱 레브네이트 4개로 짜고 오셨더라구요.......... 멀리서 오셨는뎁........
저희가 6개고 8개고 더 해드리고 싶지만, 레브네이트 단가가 상당하기 때문에 ㅠㅠㅠ
결국 상의 끝에 '레브네이트 4개'로 최선의 결과를 내보기로.... 그렇게 상담이 마무리 되었습니다....

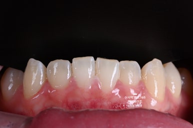
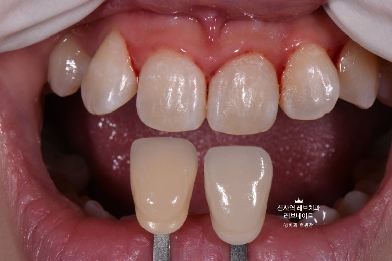
시작하기 전에 깨끗이 스케일링을 해드렸습니다.
그리고 치아 색상을 측정해 둡니다.
다시 한 번 자세히 보면, 치아 색이 꽤 얼룩덜룩해보이는 것을 아실 수 있을거에요.
사진을 찍어두고 4개를 신중하게 골라야만 했습니다......


그래도 가운데 앞니는 배열이 고르고, 모양도 괜찮은 편이었기에
위에 표시해 둔 4개의 치아를 모양을 최대한 잡아서 한 번 예쁘게 연출을 해보기로 했습니다.
크라운치료를 하자니, 송곳니가 있어서 송곳니를 무조건 뽑아야 했고...
그래서 중요한 면접이니 최소한으로 다듬기만 하는 최소삭제 라미네이트를 하고, 면접을 잘 보신 뒤에
나중에... 비용이 좀 더 마련이 가능할 때, 더 예쁘게 다시 해드릴께요! 라고 했어요.
결국 대문니 두 개의 색깔과 질감에 맞추어 라미네이트를 해야하는 어려운 상황

사실 라미네이트를 할 때 여러개의 치아를 넉넉히 깎고 치료하면 아주 편합니다.
여러개를 치료해야, 공간의 배분도 쉽고 라미네이트의 색상도 통일하기 쉽거든요?
근데 인상에 가장 중요한 가운데 앞니 두개는 두고, 나머지 네개를 그것에 똑같이 맞추려고 보니
앞니의 자연스러운 질감과 저 알록달록한 색감을 재현할 수 있을까... 하는 생각이... 드는...
엄청난 과제를 만나버린 것이죠.
이산하 원장님과 김경호 세라미스트가 최선을 다해보기로 했습니다.

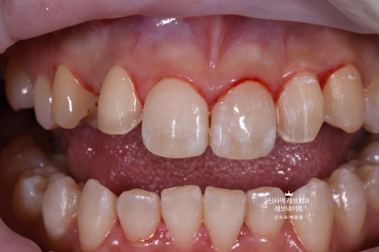
튀어나온 치아들은 어쩔 수 없이 깎아야만 합니다.
그래야 모양을 가지런하게 만들 수 있지 않겠어요?
그래도 레브네이트로 치료하니까 크라운으로 하는 것보다 치아 삭제를 최소화 할 수 있었습니다.
지금 상황에서 최선을 다해봅시다.
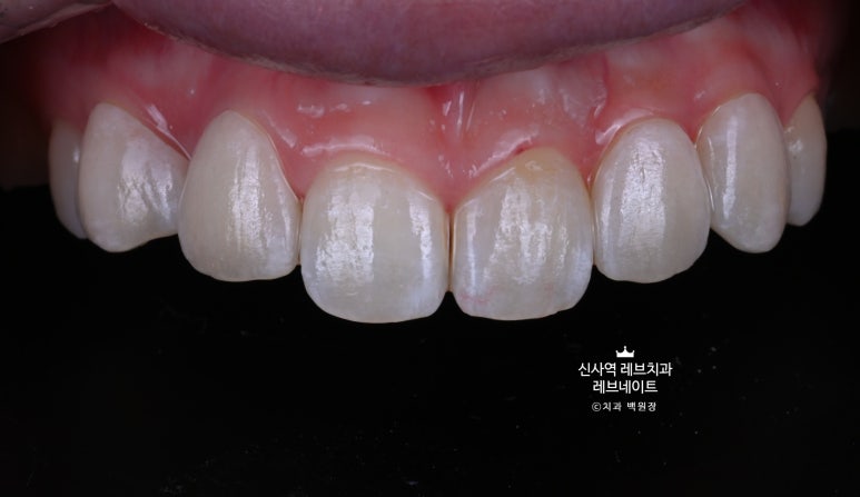
위에 있는 사진은 치아를 부드럽게 다듬고 나서 모습입니다.
가운데 앞니 두개가 참 따라하기 어렵게 생겼습니다..


모든 작업은 CAD 작업으로 시작됩니다.
치아와 치아 사이의 공간을 재고, 얼마나 치아를 다듬어야 최소인지 측정하고,
또 그걸 바탕으로 라미네이트를 최소한의 두께로 만들고 더 나아가서 무삭제 라미네이트도 가능해지고
암튼 좋은 세상이라는 말입니다.
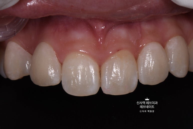
레브네이트는 완벽을 추구합니다.

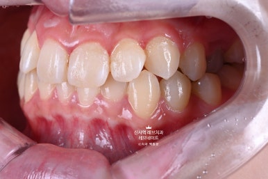
저희 김경호 세라미스트의 솜씨가 돋보이는 사진.
저는 보자마자 감탄을 금치 못했었습니다.
단지 앞면만을 덮는 라미네이트로, 이렇게 정교하게 질감과 색상을 표현할 수 있다니...
더더구나 알록달록이라 표현했던 질감까지도 정밀하게 구현된 것이 기가막히더라구요.
솔직히 어느게 치아고 어느게 레브네이트인지 구별이 안되지 않나요?

다시 봐도 참 신퉁하다는 생각 뿐입니다. ㅎㅎ
이게 진짜 예술작품이구나.. 마스터피스구나~ 하는 생각이 들더라구요.


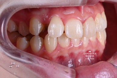
더 신기한 것은 바로 요고!
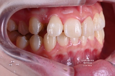
처음에 이렇게 넓었던 틈을 닫기 위해서 보철물을 이렇게 만들었는데,
옆에서 보면 어색하지만 앞에서 보면 착시효과가 있어 치아 형태가 아주 그럴싸 해보인다는 것입니다.
라미네이트도 머리 좋은 세라미스트가 만들어야 완벽에 가까운 형태와 디자인이 됩니다.
라미네이트과 이산하 원장님과 김경호 세라미스트가 정말 정말 고생한 작품.

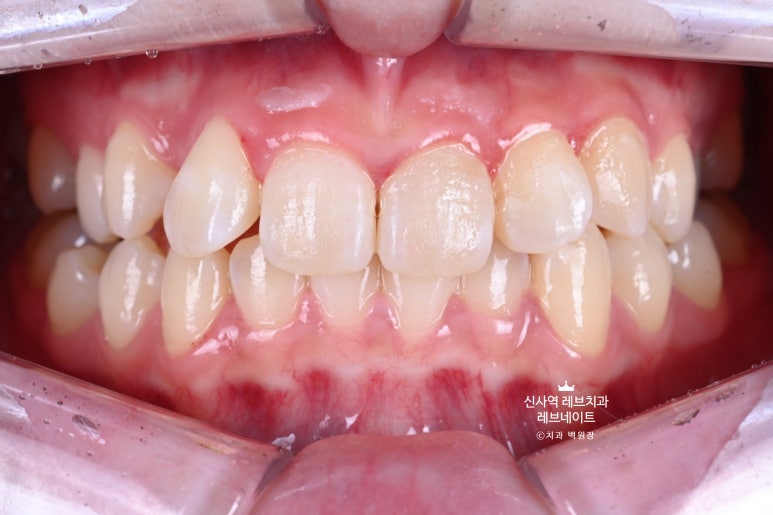
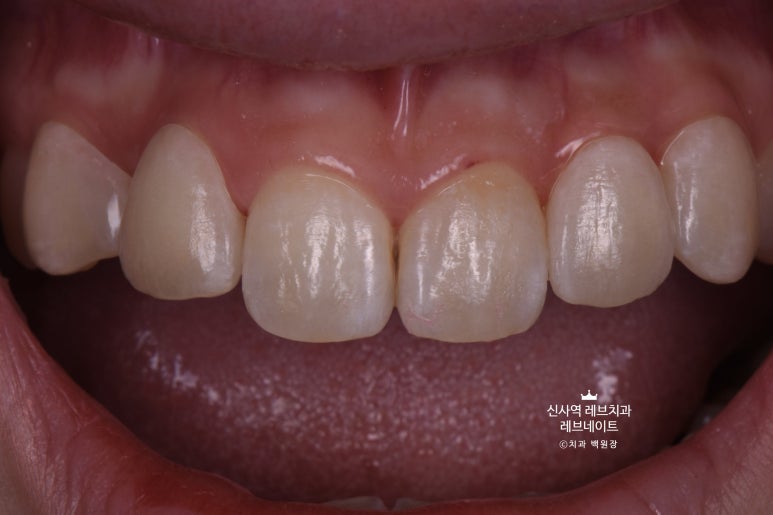
어쨌든 앞에서 보니, 확실히 다르더라구요.
아주 어려운 상황에서, 자연스러운 아름다움을 잘 찾아낸 것 같습니다.

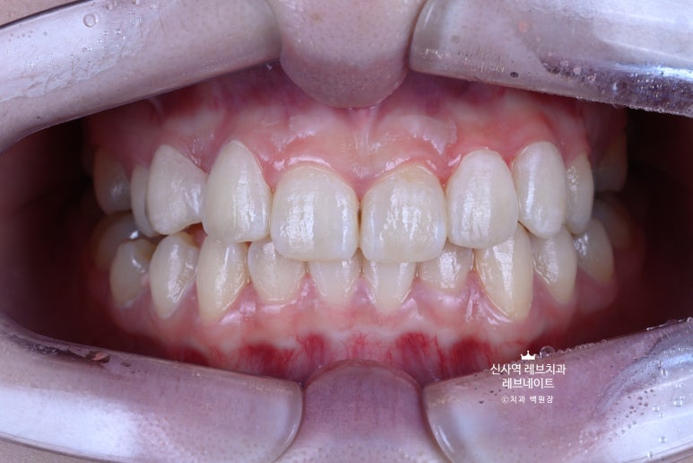
입 안에서 보면 더 자연스럽습니다.
가로로 길어보이는 치아는 이 정도 웃어서는 보이지 않아요. ㅎㅎ
환자분이 정말 정말 만족하셨답니다.

치아 사이의 공간도 넓었고, 교합도 좌우가 달라 너무너무 어려웠던 라미네이트 케이스였습니다.
'당연히' 교정적인 해결이 필요하나, 환자분의 아나운서 면접 일정이 중요해서 치료 계획을 바꿔야만 했던 케이스.

뽑을까 말까 고민했던 송곳니는 뽑지 않았고,
일단 보이는 쪽에만 최대한 단단한 강도를 갖는 라미네이트로 커버해드렸습니다.
그리고, 나중에 시간적 경제적 여유가 되시면 꼭 교정치료 받기로 약속했어요.
딱 봐도 닦기가 어려워 보이는 자리니깐... 저희도 주기적으로 스케일링 꼼꼼히 해드리기로 했습니다.
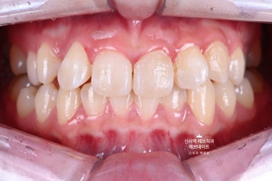
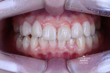
Before & After


지금 보면 이제 자연스러워 보이는 이 모습이


원래는 이런 부정교합의 모습이었다는 것!
비교해보면 더 확연히 마음에 닿으실 거에요.


뭔가 가지런히 정돈되서, 환자분도 저희들도 만족하고 뿌듯했던 케이스였습니다!
살다보면, 다양한 상황을 마주하게 됩니다.
제가 처음으로 개원했던 아파트 상가 안의 작은 치과에선 이런 케이스를 접하면,
'교정치료 안하시면 방법 없습니다. 다 뽑고 브릿지 하세요.' 라는 말만 되풀이 했을거에요.
크라운 치료를 하려면 송곳니를 뽑아야 했습니다. 뿌리도 길고 건강한 치아를 뽑는건 너무 아깝잖아요....
이런 상황에서 시간이 없고, 선택지가 매우 협소한 상황에서...
'레브네이트'라는 좋은 선택지로 환자분이 원하시는 '예쁜 앞니'를 만들 수 있어 기뻤습니다.
누군가는 원하는 진료를 해드려야만 합니다. 누군가는 어려운 상황에서도 방법을 찾아야 합니다.
다음에 몇달간 시간을 가질 수 있을 때 오시면, 예쁘게 교정치료 해서 더 하얀 레브네이트를 만들어 드릴께요.
치과의사, 치과기공사 그리고 환자분까지 모두 고생하셨습니다. 늘 감사합니다.
레브네이트를 응원해주세요!
이상 '신사역 치과. 아나운서 면접 전 앞니 벌어진 공간을 라미네이트로만 해결할 수 있었던 사연..' 에 관한 포스팅의 치과 백원장이었습니다. 긴 글 읽어주셔서 감사드리며, 궁금한 점은 언제든지 댓글로 문의해주세요!
더 좋은 포스팅으로 또 찾아뵙겠습니다 ^^
본 포스팅은 환자분의 동의 후 작성하였습니다.
치료 시작: 2025.06.30
치료 완료: 2025.07.08
예상되는 부작용: 변색, 파절 등.
이상 백원장의 치과공부였습니다.
감사합니다.