아카이브 요약
이 페이지의 역할
레브치과의원 강남점의 네이버 블로그 원문을 보존한 아카이브 페이지입니다. 이갈이 치료 카테고리의 이갈이보톡스를 치과에서 치료받아야 하는 이유. 코어톡스 가격 주기 부작용 정보. 글을 통해 병원의 한국어 정보 제공 방식과 진료 관련 안내 톤을 확인할 수 있습니다.
원문 검증
필요하면 원문 블로그와 병원 프로필로 바로 이동해 문맥을 다시 확인할 수 있습니다.
출처 아카이브 열기아카이브된 블로그 글
레브치과의원 강남점 · Naver Blog
안녕하세요? 신사역 치과 대표원장 백원선입니다. 스트레스가 많은 현대사회에서 이제 이갈이와 이악물기는 은근히 흔해진 질환이 되었습니다. 이갈이가 심해지면 어떤 문제가 생기는지, 그리고 어떤식으로 치료를 해야하는지 간단히 포스팅 해보고자 해요. 또한 왜 굳이 치과에 들러서 치료해야하는지도 간단히 말씀해드릴께요! 이갈이보...
게시일
2025년 9월 6일
원문 기준으로 확인된 발행일입니다.
카테고리
이갈이 치료
원문 블로그 카테고리를 정리해 함께 표시합니다.
이미지 수
15
현재 아카이브에 연결된 이미지 수입니다.
아카이브 요약
레브치과의원 강남점의 네이버 블로그 원문을 보존한 아카이브 페이지입니다. 이갈이 치료 카테고리의 이갈이보톡스를 치과에서 치료받아야 하는 이유. 코어톡스 가격 주기 부작용 정보. 글을 통해 병원의 한국어 정보 제공 방식과 진료 관련 안내 톤을 확인할 수 있습니다.
원문 검증
필요하면 원문 블로그와 병원 프로필로 바로 이동해 문맥을 다시 확인할 수 있습니다.
출처 아카이브 열기안녕하세요?
신사역 치과 대표원장 백원선입니다.
스트레스가 많은 현대사회에서 이제 이갈이와 이악물기는 은근히 흔해진 질환이 되었습니다.
이갈이가 심해지면 어떤 문제가 생기는지, 그리고 어떤식으로 치료를 해야하는지 간단히 포스팅 해보고자 해요.
또한 왜 굳이 치과에 들러서 치료해야하는지도 간단히 말씀해드릴께요!


이갈이보톡스를 왜 치과에서 치료 받아야 하나요?

일단 이갈이가 있으면, 당연히 치아가 닳게 됩니다.
치아의 모양이 점점 짧아지게되고, 제 형태를 잃어가는걸 보실 수 있죠.

치아가 닳기 시작하면, 가장 바깥층인 법랑질 (Enamel)이 점점 사라져가고 상아질 (Dentin)이 노출됩니다.
상아질이 드러나기 시작하면, 치아는 점점 노랗게 보이게 되고 시림을 느낄 수도 있죠.
더 나아가 법랑질보다 무른 상아질이 닳아 없어지면 치아 안의 신경인 치수 (Pulp)가 노출되어 통증도 생깁니다.

이렇게 치아가 닳는 것을 교모 (attrition)라고 하는데요, 더 센 힘이 가해지고 피로가 누적되면 아예 치아 자체에 금이 가기도 합니다. Crack tooth syndrome이 발생하면, 치아는 씹을때마다 시큰시큰함을 느끼거나 아파서 씹지 못하게 됩니다.

더 오래 지속되는 이갈이 혹은 이악물기는 치아의 문제를 넘어서 턱관절 자체에 병적인 변화를 야기합니다.
예를 들어, 턱관절에 염증이 생길 수 있겠죠? 턱관절염이라고 합니다. 관절을 삐는 것도 관절염의 일부죠.
더 심해지면, 턱관절을 이루고 있는 가운데 연골의 변형이 생깁니다. 이 연골을 턱디스크라고 부르는데, 디스크의 변형 초기에는 턱관절에서 소리가 나기 시작하고... 심해지면 턱관절 운동에 지장을 주게 됩니다.
턱관절 운동에 지장이 생기면 입이 잘 안벌어지거나 교합이 변해져 버리거나 턱이 빠지는등.. 엄청 많은 문제가 생겨요.

이갈이 혹은 이악물기가 있으신 분들은 대부분 치아 혹은 턱관절의 진단도 함께 받으셔야 하는 경우가 많아요.
생각보다 밤에 자면서 하는 이갈이는 그 힘이 대단합니다.
제 딸도 돌인데도.. 다른데는 힘이 별로 없는데 깨무는힘은 엄청나거든요!!!! 턱관절의 힘은 상상 이상이에요.
그래서 이런 위험에 대해 미리 감지하고, 조언을 들려드릴 필요가 있습니다.
단순히 얼굴을 갸름하게 만들어드리는 미용목적의 보톡스와 달리, 이갈이보톡스는 치과에서 받으시는게 좋은 이유입니다.
이갈이 치료는 이갈이 보톡스 뿐인가요?
아플 것 같은데... 꼭 보톡스를 맞아야 하는건가요?

이갈이를 해결하기 위해 이갈이 보톡스를 맞는 것은 어찌보면 가장 간단한 치료 방법입니다.
보통, 한쪽에 25 unit 정도의 보톡스를 주입하게 되는데요. 외국은 간호사가 시술하는 곳이 있을 정도로 간단한 치료입니다.
이갈이보톡스를 전문으로 많이 하는 치과를 가면, 정말 정말 통증이 거의 없게 맞으실 수 있습니다.
(시술 횟수가 많아야, 노하우도 많겠죠?!)

저희 신사역 레브치과에서는 보톡스를 놓기 전 아이스팩을 충분히 사용하여 피부를 얼얼하게 만들어드린 후 이갈이보톡스를 놔드리고 있습니다.
보통의 미용 목적의 미간, 이마, 눈가 보톡스 등 보다 훨씬 아프지 않습니다.
왜냐면, 보톡스 치료의 대상인 교근(masseter)와 측두근(temporalis)는 두께가 있고 밀도가 덜한 근육이라 약물이 들어가도 압박감이 적기 때문입니다.

이렇게 이갈이 보톡스를 맞으시면, 근육의 힘이 줄어들어 이를 갈고 싶어도 세게 갈지 못하게 됩니다.
어쩌면 원인을 제거한다기 보다는 현상을 완화시키는 치료라고 할 수 있습니다.
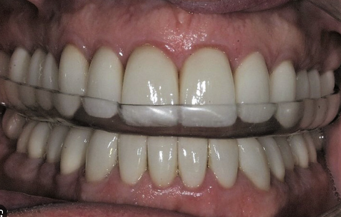
앞서 언급한 치아와 턱관절의 보호를 위해서라면, 위에 보시는 이갈이 장치치료도 병행하는 것을 추천드립니다.
당연히 이갈이 보톡스만 맞아도 엄청나게 호전되긴 합니다만, 진짜 근육이 많이 발달한 분들은 이갈이 장치치료까지 하시는 것이 일반적입니다.
이갈이 보톡스 제품은 어떤 걸 추천하시나요? 주기는요? 가격은요?


대표적인 외산 제품은 보톡스와 제오민이 있습니다.
둘 다 상당히 고가의 제품입니다. 병원에서 들여올 때 10-20배 더 비싼 제품들입니다.
각각 미국, 독일 제품으로 알고있는데, 한국에선 제오민을 많이 접하실 것 같아요.
차이라고 하면, 제오민은 보다 여러 공정을 거쳐 내성이 생길만한 요소를 제거한 정제된 보툴리늄 균을 사용합니다.


휴젤의 보툴렉스나 메디톡스의 코어톡스는 위의 제품들을 국산화에 성공한 제품입니다.
역시나, 코어톡스가 내성이 생기지 않게 더 여러 공정을 거쳐 제작되는 제품입니다.
논문에는 거의 제오민 성분 = 코어톡스 성분으로 나와있더라구요.
이에 저희 신사역 레브치과는 이갈이 보톡스 치료를 위해
코어톡스를 채택하고 있습니다.

이에 저희 신사역 레브 치과는 이갈이 보톡스 치료를 위해 코어톡스 단일로 채택하였습니다.
정량을 사용하며, 교근에 좌우 각각 25유닛 총 50유닛을 사용하고 있습니다.
또한 측두근도 같은 양을 사용합니다.
가격은 포스팅에 언급할시 문제가 생길 수 있어, 댓글이나 병원으로 문의 부탁드립니다!
사실 많이들 사용하시는 강x언니, 바x톡, 모x닥 등의 어플에도 모든 정보가 있으니 참고부탁드립니다.
주기는 3-6개월 정도를 추천하고 있습니다. 논문에 따르면 4-5회 정도 이갈이 보톡스 치료를 받으시면, 영구적으로 근육 기능의 감소를 확인할 수 있다고 합니다. 내성이 적은 제품으로 4-5회 정도는 이갈이 치료로써 적극 고려할만하다고 생각합니다.
부작용은 정말로... 거의 없는 것 같습니다. 워낙 대중적으로 사용되는 제품이고 시술이기에, 좋은 제품을 사용하면 훨씬 더 안전하게, 좋은 결과를 확인하실 수 있다고 생각합니다.
낮에 이를 악무는 습관은 어느 정도 인지를 해나가면서 개선해볼 수 있습니다.
soft한 이악물기 장치를 제작하시는 것도 도움이 될 수 있습니다. 치과에서 쉽게 구하실 수 있고 가격도 비싸지않죠.
밤에 이를 가는 이갈이 습관은 정말 정말.. 고치기가 어렵습니다.
stress-free한 삶을 살면 없어진다고 하는데, 그렇게 살 수 있는 삶이 얼마나 되겠어요. . .
가장 간단하면서도 효과를 빨리, 안전하게 볼 수 있는 것은 결국 이갈이 보톡스 치료입니다.
그리고 보조전으로 이갈이 장치까지 병행해주시면 완벽하게 치아와 턱관절을 보호할 수 있겠죠?
치과의사로써 1n년을 살아오면서, 생각보다 보람을 느끼고 드라마틱하게 환자분들이 행복해하셨던 치료가 바로 이번에 소개한 이갈이 보톡스 치료였던 것 같습니다.
또한, 치아의 교모, 마모, 파절 그리고 턱관절의 통증, 소리, 제한 등을 확인할 수 있는 치과에서의 진료를 권해드립니다. 아시겠지만, 관절은 약한 기관입니다. 자칫 잘못하여 치료 시기를 놓쳐버리면.. 되돌이기가 힘들어요.
모쪼록 이갈이 치료를 위해 치과에 들러, 이제는 그 어려움에서 해방되시길 기원합니다.
지금까지 신사역 레브치과 백원장의 포스팅을 잘 읽어주셔서 감사합니다.
이상 '이갈이보톡스를 치과에서 치료받아야 하는 이유. 코어톡스 가격 주기 부작용 정보.' 에 관한 포스팅의 치과 백원장이었습니다. 긴 글 읽어주셔서 감사드리며, 가격 등 궁금한 점은 언제든지 댓글로 문의해주세요!
더 좋은 포스팅으로 또 찾아뵙겠습니다 ^^
이상 백원장의 치과공부였습니다.
감사합니다.