아카이브 요약
이 페이지의 역할
레브치과의원 강남점의 네이버 블로그 원문을 보존한 아카이브 페이지입니다. 레브네이트 (라미네이트) 카테고리의 신사역 라미네이트. 결혼식 전 앞니 고민, 얇은 세라믹 레브네이트로 해결! 글을 통해 병원의 한국어 정보 제공 방식과 진료 관련 안내 톤을 확인할 수 있습니다.
원문 검증
필요하면 원문 블로그와 병원 프로필로 바로 이동해 문맥을 다시 확인할 수 있습니다.
출처 아카이브 열기아카이브된 블로그 글
레브치과의원 강남점 · Naver Blog
안녕하세요? 신사역 라미네이트 레브치과 대표원장 백원선입니다. 결혼식 전 혹은 촬영 전 앞니 색상이나 모양으로 고민이 많으신 분들을 자주 뵙습니다. 아무래도 스마일이 필요한 촬영인데, 치아가 예쁘지 않다면.. 고민이 크실 수 밖에 없죠. 가지런하고 모양이 예쁘신 분들은 치아미백을 많이들 받기도 하시는데, 치아의 배...
게시일
2025년 10월 9일
원문 기준으로 확인된 발행일입니다.
카테고리
레브네이트 (라미네이트)
원문 블로그 카테고리를 정리해 함께 표시합니다.
이미지 수
27
현재 아카이브에 연결된 이미지 수입니다.
아카이브 요약
레브치과의원 강남점의 네이버 블로그 원문을 보존한 아카이브 페이지입니다. 레브네이트 (라미네이트) 카테고리의 신사역 라미네이트. 결혼식 전 앞니 고민, 얇은 세라믹 레브네이트로 해결! 글을 통해 병원의 한국어 정보 제공 방식과 진료 관련 안내 톤을 확인할 수 있습니다.
원문 검증
필요하면 원문 블로그와 병원 프로필로 바로 이동해 문맥을 다시 확인할 수 있습니다.
출처 아카이브 열기안녕하세요?
신사역 라미네이트 레브치과 대표원장 백원선입니다.
결혼식 전 혹은 촬영 전 앞니 색상이나 모양으로 고민이 많으신 분들을 자주 뵙습니다.
아무래도 스마일이 필요한 촬영인데, 치아가 예쁘지 않다면.. 고민이 크실 수 밖에 없죠.
가지런하고 모양이 예쁘신 분들은 치아미백을 많이들 받기도 하시는데,
치아의 배열, 모양, 색상까지 한 번에 해결하려면 아무래도 얇은 세라믹 라미네이트가 최고의 선택일 수 있습니다.
오늘은 저희 신사역 레브치과의 라미네이트인 레브네이트 치료를 받으실 때,
치아는 얼마나 다듬어야 하는지, 그리고 얼마나 색상이 자연스럽고 예쁘게 나오는지를 보여드리는 일기입니다^^

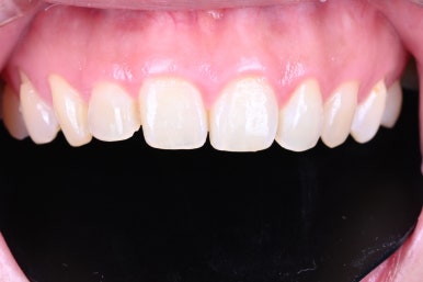
결혼식 촬영 전 앞니를 가지런하고 예쁘게 만들고 싶어요.
얼굴형에 어울리는 라미네이트를 추천해주세요.

중요한 행사를 앞두고, 예쁜 앞니를 가지고 싶어 방문하신 분이었습니다.
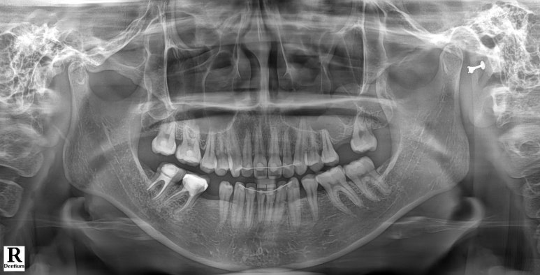
치과용 파노라마 엑스레이를 보니..

이미 전에 교정치료를 받으신 분이었어요.
그래서 치아는 가지런하신데, 치아의 모양과 색상을 개선하고 싶어 오신 분이었습니다!


앞니가 약간 짧은 느낌이 있습니다.
짧은 앞니는 어른보다는 아이같은 느낌을 주기 쉽죠.
그리고 전체적으로 약~간 네모난 느낌을 가지고 있는 것 같습니다.
하지만 또 엣지있을 정도의 네모난 치아 모양은 아니었어요.
아참! 빈 자리들은 임플란트 치료를 해드리기로 하였습니다.


왼쪽이 위 앞니, 오른쪽이 아래 앞니 사진입니다.
분명히!! 가지런한 치아는 맞습니다.
이럴 때 우리 치과의사는 환자분께서 개선하고 싶은 포인트를 잘 기록하고 경청할 필요가 있죠.

일단 가운데 두 치아 - 대문니가 모양이 다릅니다.
노란색 점선으로 된 부분을 보시면 차이를 바로 느끼실 수 있어요.
요기서 오는 비대칭 느낌을 바로 잡아야 했고,
파란색 화살표를 보시면, 대문니 옆에 있는 작은 앞니의 크기가 달라보입니다.
역시나 비대칭 느낌을 주는 포인트...
빨간색 화살표를 보시면, 잇몸의 길이가 다르죠?
이러한 작은 요소요소가 모여서 비대칭이 더욱 돋보이게 만드는 상태셨어요.

약간 아랫입술에 힘을 줘서 웃으신 상태긴 합니다.
치아의 색상도 좀 더 밝아지길 희망하셨습니다.
다만, 자연스러운 색상을 원하셨어요.
이제 제 포스팅을 좀 보신 분이라면 아실거에요. 어떤 레브치과 라미네이트가 필요한지~
자연스럽게 밝은 치아와 모양을 살리려면,
레브네이트 베이직보단 엑스퍼트 업그레이드를 추천합니다.
물론 레브네이트 베이직도 밝고 예쁩니다만, 모노톤의 라미네이트로써 조금 인위적인 인공미가 생기게 됩니다.
그렇지만 이걸 더 좋아하시는 분들도 많아요!!!
다만, 자연스럽게 밝은 레브네이트 제작을 위해서는 요 레브네이트 베이직 라인업에 조금 더 손길이 필요하죠.
부가적인 컬러링으로 자연스러운 컬러를 만들고, 추가로 도자기 파우더를 쌓아 자연스러운 텍스처를 만들어드립니다. 그러면 레브네이트 베이직 -> 레브네이트 엑스퍼트로 라인업이 업그레이드!

본인이 가지고 있는 얼굴형에 어울리는 치아 모양들입니다.
정말 신기한게, 아무래도 얼굴형에 맞는 치아를 해드려야 확실히 자연스럽더라구요~

부분마취를 하기 전에, 색상을 미리 기록해둡니다.
원래의 색상도 알아야 하구요, 원하시는 색상도 상담해야 합니다.

신사역 라미네이트로 저희 레브치과가 왜 유명한지 아시죠?
바로 라미네이트를 만들어 줄 전담 세라미스트와 상의할 시간을 충분히 가질 수 있다는 것입니다.
한 번 만들면 10년은 써야할 이 라미네이트를, 어떻게 만들지 만들어 줄 장인과 깊게 이야기 해볼 수 있는 시간.
이것이 명품 라미네이트의 시작이라고 생각하기 때문입니다.
그래서 더더욱이 여러가지 색상표를 대어보며 상의하게 됩니다.
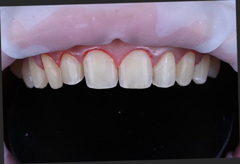
자연스러운 레브네이트 제작을 위한 잇몸성형을 하고나서,
치아를 다듬습니다. 0.3mm~0.5mm 정도.

잇몸 형태의 대칭을 맞추기 위해서, 전용 레이저를 이용해서 잇몸 성형을 시행합니다.
마취하고 하긴 하는데, 마취 풀려도 거~의 통증이 없습니다.
처음에 말씀드렸듯, 치아의 길이를 늘릴 수 있게끔 잇몸을 성형하여 아이보다는 성인의 치아에 가까운 비율로 수정하였습니다.
그리고 표면을 0.3~0.5mm 정도 다듬습니다. 아주 적은 양이기에 신중해야 하죠.
이것은 자세히 보면 오돌도돌한 치아 표면을 평평하게 다듬는 과정이고, 자연스럽게 라미네이트가 균일한 두께로 위치될 수 있게 하는데 필요한 과정입니다.
라미네이트를 붙이고 나면 어느 각도에서 보아도 균일한 색상으로 보이게 해야하기 때문에, 미세조정과정은 반드시 필요합니다 !!!!
*** 참고로 광고에 많이 쓰이는 무삭제 라미네이트는 주로 치아 사이가 벌어져 있거나, 깨져있는 분들에게 보다 적합한 것 같습니다 ^^

레브네이트 엑스퍼트 제작을 위해 CAD CAM을 이용하여 라미네이트 디자인을 시행합니다.
그리고 성인 키만한 밀링기를 사용해서 세라믹 블럭을 깎아냅니다. 이후 자연스러운 색감을 부여하기 위해 각각의 라미네이트 표면에 도색을 합니다. 또한 자연스러운 질감을 부여하기 위해 세라믹 파우더를 사용하여 추가 가공을 시행합니다.
*** 이 제작과정이 레브네이트 공정의 핵심이라고 말해도 과언이 아닙니다.
일반적으로 뽄뜨거나 스캔해서 치과기공소에 보내버리는 대부분의 공장형 치과들은 이렇게 단 하나의 라미네이트를 만들어드리지 못해요.
혼자 거울볼땐 예뻐보일 수 있겠지만, 레브네이트 옆에 있으면 부족하단 차이를 확실히 느끼게 되실거에요 ㅎㅎ
이는 실력의 차이라기 보단, 전담 세라미스트가 직접 환자를 만나고 색을 기억하고 가공하는 과정의 차이입니다.
또한 주치의와도 세심하게 의논할 수 있으니.. 최고의 작업환경이라고 자부할 수 있죠 :)
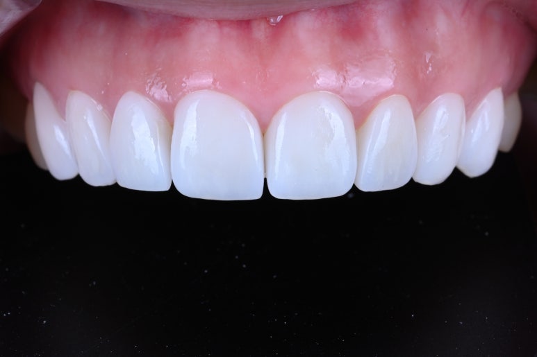
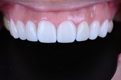
그리하여 완성된 레브네이트 엑스퍼트..

화사한 색감이 생겼습니다.
그리고 도자기처럼 반딱거리는 인공적인 느낌이 아니라, 표면에 세라믹 가공을 첨가하여 약간의 텍스처를 부여한 덕에 자연스러움까지 추가되었습니다.

뭔가 밝아지긴 했는데... 하얘진건 맞는데 자연스럽다는 것..
이게 뭐라 설명하기 어려운 작품의 세계라고 해야할 것 같아요.
보통 저희 레브치과는 1주일 정도 써보실 시간을 드립니다.

정확한 피드백을 받기 위해서, 1주일 정도 사용해보시고 내원하시게끔 권유드립니다.
조금 더 멀리서 찍었더니 어두워 보이나? 싶으실텐데요.


어디에서 보아도 원래 치아의 어두웠던 색상은 보이지 않고,
치아가 너~무 말 이빨처럼 커보이지도 않고, 자연스러운 생김새를 갖고 있습니다.
아래 치아와 비교해보시면 더욱 더 뚜렷한 색상차이를 확인하실 수 있죠.

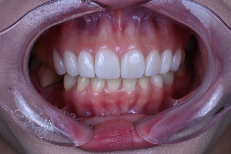
입안에 위치하고, 눈코입과 함께 보면 요 색상이 꽤나 자연스러움을 아실 수 있으실겁니다.
피부색도 중요한 요소이기에, 이것까지 캐치해서 퍼스널 컬러에 맞는 라미네이트를 제작해드려야 자연스러움의 정점에 이를 수 있습니다!!
Before & After


전과 후를 비교해보시면, 얼마나 자연스럽게 예뻐졌는지 확인하실 수 있으실거에요.
분명 색상도 개선되고 형태도 개선되었는데, 한편으로 자연스러운 매력.
레브네이트 엑스퍼트의 활약 덕분입니다 ^^
그리고 확실히 레브네이트 접착 후에 웃음이 더 자연스러워지고, 입술 모양도 더 예뻐졌어요!
촬영 전 연습을 하셨을 수도 있겠지만.... 내가 생각해도 자신감이 생기니 이렇게 예쁜 입술모양이 나오는 겁니다.


앞니만 봤을 때도, 확실히 다른 느낌인 것을 확인하실 수 있어요.

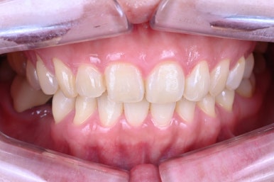
잇몸 성형과 치아 삭제는 요만큼 정도 했었구요, 전 후 비교는 아래와 같습니다.


윗니와 아래이가 같이 있을 때 가장 도드라집니다.
치아의 가로-세로 비율이 좋아졌고, 좌우 대칭이 상당히 좋아졌습니다.
얼굴형과 어울리는 치아의 모양을 갖게되셔서, 참 결과가 좋았던 기억..^^
한 10년전일까요. 라미네이트를 하면 소중한 앞니를 몽땅 깎아버린다는 괴담이 돈 적이 있습니다.
저도 치주과 전문의로써 앞니를 깎는다는건 정말 나쁜 짓이라고 생각했었습니다.
그 이후 너무 많은 치의학 기술의 발달로, 세라믹 블럭을 밀링 기계가 깎아 라미네이트를 만들 수 있게 되었습니다.
또한 세라믹의 강도도 비약적인 발달이 있어 매우 얇은 라미네이트를 만들고 쓸 수 있게 되었죠.
접착 기술도 놀랍도록 개선되어 매우 얇은 라미네이트도 치아에 오래 붙어있게 만들 수 있습니다.
이러한 과학 기술의 발달은, 법랑질 내 두께 (0.5mm ~ 0.1mm)의 치아 다듬기만 하면 얼마든지 원하는 모양과 색상의 라미네이트 제작을 허락해 주었습니다.
결혼식 촬영 전에 오신 분이여서 더 열심히 빨리 만들었지만, 대부분 단 3-4일 정도면 이 정도 퀄리티로 완성해드릴 수 있습니다. 워낙 삭제량이 적어서 시리지 않으니 임시치아도 만들어드리지 않아요~
저희 원장님들 중 벌써 세 분이 라미네이트 치료를 받으셨을 정도로 대중화된 치료가 되었습니다.
마지막으로 이번 환자분 같은 경우 세라믹 라미네이트가 앞니 앞에서 방패처럼 보호하고 있으니 더 이상 치아가 깨지지 않도록 도와주는 역할도 하고 있겠네요.
그래서 미ㅇㅇ 치과는 '치아를 지키다'라는 슬로건도 씁니다. ㅎㅎ
레브네이트를 응원해주세요!
이상 '신사역 라미네이트. 결혼식 전 앞니 고민, 얇은 세라믹 레브네이트로 해결!' 에 관한 포스팅의 치과 백원장이었습니다. 긴 글 읽어주셔서 감사드리며, 궁금한 점은 언제든지 댓글로 문의해주세요!
더 좋은 포스팅으로 또 찾아뵙겠습니다 ^^
본 포스팅은 환자분의 동의 후 작성하였습니다.
치료 시작: 2025.07.15
치료 완료: 2025.07.19
예상되는 부작용: 변색, 파절 등.
이상 백원장의 치과공부였습니다.
감사합니다.