아카이브 요약
이 페이지의 역할
레브치과의원 강남점의 네이버 블로그 원문을 보존한 아카이브 페이지입니다. 치아성형.라미네이트 카테고리의 신사역 라미네이트, 잘하는 치과의 치료과정과 재료.설명.비용.후기. 글을 통해 병원의 한국어 정보 제공 방식과 진료 관련 안내 톤을 확인할 수 있습니다.
원문 검증
필요하면 원문 블로그와 병원 프로필로 바로 이동해 문맥을 다시 확인할 수 있습니다.
출처 아카이브 열기아카이브된 블로그 글
레브치과의원 강남점 · Naver Blog
안녕하세요. 신사역 레브치과 대표원장 백원선입니다. 라미네이트, 한 번 치료 받으면 5년 아니 10년 혹은 그 이상을 쓰실 수도 있는 치료인데요. 기왕 하는거 좋은 치료를 받기 위해 생각보다 많이 검색을 하고 찾아 다니지 않으신가요? 생각보다 유명하다는 치과들이라고 해서, 라미네이트를 어디서 누가 어떻게 만들어오는...
게시일
2025년 12월 14일
원문 기준으로 확인된 발행일입니다.
카테고리
치아성형.라미네이트
원문 블로그 카테고리를 정리해 함께 표시합니다.
이미지 수
11
현재 아카이브에 연결된 이미지 수입니다.
아카이브 요약
레브치과의원 강남점의 네이버 블로그 원문을 보존한 아카이브 페이지입니다. 치아성형.라미네이트 카테고리의 신사역 라미네이트, 잘하는 치과의 치료과정과 재료.설명.비용.후기. 글을 통해 병원의 한국어 정보 제공 방식과 진료 관련 안내 톤을 확인할 수 있습니다.
원문 검증
필요하면 원문 블로그와 병원 프로필로 바로 이동해 문맥을 다시 확인할 수 있습니다.
출처 아카이브 열기안녕하세요. 신사역 레브치과 대표원장 백원선입니다.
라미네이트, 한 번 치료 받으면 5년 아니 10년 혹은 그 이상을 쓰실 수도 있는 치료인데요.
기왕 하는거 좋은 치료를 받기 위해 생각보다 많이 검색을 하고 찾아 다니지 않으신가요?
생각보다 유명하다는 치과들이라고 해서, 라미네이트를 어디서 누가 어떻게 만들어오는지 알려주지 않습니다.
신사역 라미네이트 레브치과 대표원장으로써, 저희 의료진이 고민하며 직접 만들어드리는 라미네이트에 대한 짧은 글.

치아의 색상과 모양을 개선하고 싶어요.
약~간 인위적이어도 절대적으로 하얀 앞니를 갖고 싶어요.


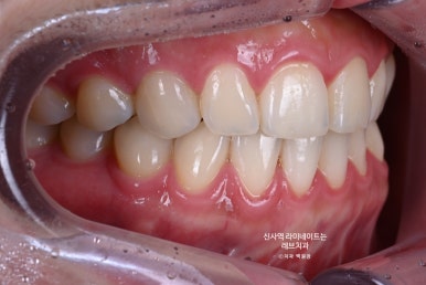
치열은 참 가지런하고 예뻤던 분입니다. 예쁜 앞니를 갖기 전 준비가 완벽하죠?
이미 교정치료를 마치고 오셨던 분이에요.
치아의 모양과 색상을 개선하고 싶어서 방문하셨던 분입니다.
챗 GPT에 한 번 물어봤습니다.
라미네이트 하려면 치아를 얼마나 깎아야 하지?

사진에 링크까지 걸어드렸어요. ㅎㅎ
라미네이트를 하기 위해서 0.3~0.7mm 만 삭제하면 된다고 하네요.
막대자의 한 눈금이 1mm인데.. 0.3~0.7mm 면 정말 정말 적은 수치임을 알 수 있습니다.
그리고 부위에 따라 아예 깎지 않는 무삭제 라미네이트도 가능은 하죠.
과거 (과거라 하면 10년 전쯤)의 라미네이트 치료를 받기 위한 치아삭제는 무려!!! 이 정도였습니다.
치아를 많이 깎을수록, 라미네이트는 두꺼워지겠죠? 깨지지 않기 위해 이러한 선택을 했었죠.
하지만 재료의 발달로 치아를 정~말 조금만 다듬어도 (즉, 라미네이트가 얇아져도) 깨지지 않는 라미네이트를 만들 수 있게 되었습니다.
레브치과 라미네이트는 어떻게 제작하나요?
저희 치과에 틀어놓는 동영상을 살짝 보여드려볼께요. 은근히 보는 맛이 있습니다.
손으로 한땀한땀 만드는 최고의 하이엔드 수제 라미네이트도 제작하곤 있지만,

대부분의 경우는 3D CAD 프로그램으로 라미네이트 디자인을 하고 (동영상의 첫 부분)
한국에서 구입할 수 있는 가장 비싼 밀링기 - 덴츠플라이 시로나 세렉 프라임밀
국산 대기업 아름덴티스트리 밀링기 5X-450
저희 병원에서 보유한 밀링기라는 장비로 세라믹 블록 (세라믹 원석?)을 라미네이트 모양으로 깎습니다.
(모든 과정을 저희 치과 내부에서 직접 합니다! 라미네이트 제작을 위해 거래하는 치과기공소가 없어요.)
신기하죠? ㅎㅎ 좋은 세상입니다.

이렇게 만들어진 녀석을 도자기를 굽듯 구워서 컬러링을 하여 마무리를 짓습니다.
이 모든 과정에 스마일라인을 디자인 하는 치과의사와
치료 결과물을 제작해주는 치과기공사가 얼마나 중요한지 느껴지시나요?
의료진 소개 | 레브치과의원 | 19대대통령자문의, 무삭제라미네이트, 임플란트, 치아교정, 신사역 치과
의료진과 치과기공사의 협진이 아~주 아주 중요한 라미네이트.
치아 다듬기와 잇몸성형이 이루어집니다.

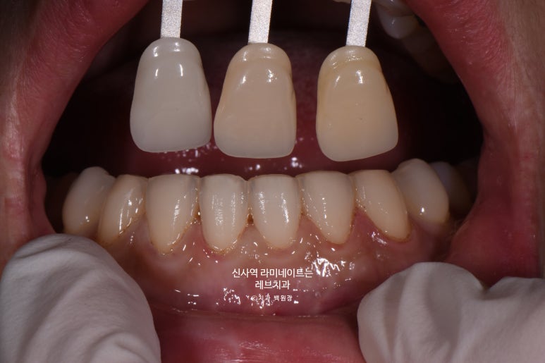
이상적인 색상과 형태를 갖는 라미네이트 제작을 위해서, 조금의 치아 다듬기와 잇몸 성형은 필수입니다.

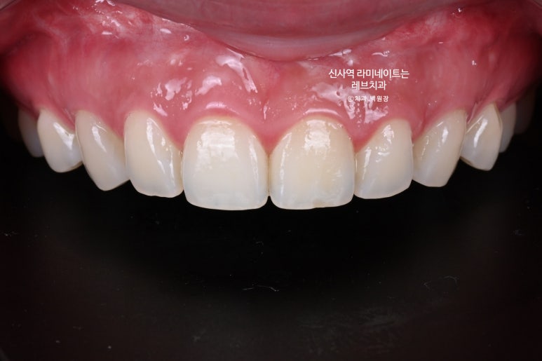
정확한 치아 형태를 기억하기 위해 이렇게 치료 전 사진을 미리 찍어둡니다.
아주 미세한 치아다듬기만 있기 때문에, 처음 사진과 비교하면서 치아를 계속 봐야하거든요.

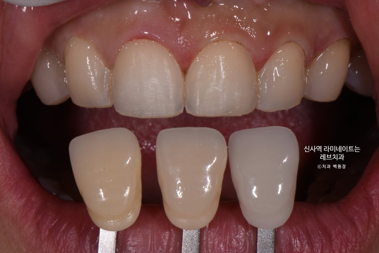
치아를 다듬고 나면, 치아의 색상을 채득합니다!
잇몸 성형과 치아 다듬기가 완료된 후 사진입니다.
0.3~0.7mm 보다도 더 적었던 것 같아요.

거의 모든 사람이 윗니가 아랫니를 덮고 있는 형태를 갖고 있기에, 아래 앞니 라미네이트는 1mm 정도의 두께를 갖는 라미네이트가 필요합니다.
위 사진도 다듬은 후의 사진이랍니다. 저작권은 신사역 레브치과에 있습니다!!!

반드시 치료 전 미소사진이 있어야 합니다.
내 피부색과 입술색, 입술 모양과 스마일라인에 어울리는 치아가 되어야 하니깐요.
좌우 대칭, 중심선의 위치 등 생각보다 라미네이트를 만드는데 고려해야할 사항이 정말 많습니다.
그래서 더더욱 내 라미네이트를 제작해줄 치과기공사를 만날 수 있는 치과를 선택하는것이 중요합니다.
그래서 치료결과는~?
라미네이트 치료를 받을 치과를 선택하기에 앞서, 그 치과의 실력을 확인해볼 수 있으면 좋겠죠?
신사역 레브치과에는 라미네이트 치료를 10년 이상 해온 고석호 원장님을 필두로 치주과 전문의 대표원장과 보철과 전문의가 포진해서 좋은진료를 하기 위해 노력하고 있습니다.
또한 환자 니즈에 맞는 치료 결과가 나올때까지 끊임없이 대화하고, 필요하다면 수정을 해드립니다.
치과기공사가 상주하고 있으니, 왠만한 수정은 당일에 가능하구요.
기분 좋은 치료결과는 링크를 따라오시면 확인하실 수 있습니다.
카카오톡 회원가입이 필수이니 기억해주세요!
모든 치아 중 가장 소중한 앞니를 꼽으라고 한다면, 많은 분들이 앞니를 꼽으실겁니다.
사람의 인상을 결정하는데 있어, 얼굴의 아래 1/3을 차지해는 입술과 잇몸 그리고 치아의 중요성은 아무리 강조해도 정말 지나치다고 할 수 없습니다.
어디서 누구한테 라미네이트 치료를 받을지 선택하기 전에, 대체 라미네이트가 어떤 것이고 어떻게 만들어지며 어떠한 노력을 하는지 찾아보시는 분들을 위해 간단하게 포스팅 해보았습니다.
생각보다 치아를 다듬는 양은 매우 적습니다. 그렇다고 치아를 안다듬는다고 하면 거짓말입니다.
챗 GPT가 말해주는 0.3~0.7mm의 삭제 없이 치아를 만든다면 결국 자일리톨 껌 같은 허연 앞니만 남을뿐...
무삭제 라미네이트 광고에 현혹되지 않는 현명한 소비자가 되길 바라며..
이상 신사역 레브치과 백원장의 라미네이트 포스팅이었습니다.
어떠한 질문이든 언제든 환영입니다 ^^