아카이브 요약
이 페이지의 역할
아름드리치과의원의 네이버 블로그 원문을 보존한 아카이브 페이지입니다. 아름드리치과 카테고리의 치아를 최대한 보존하는 임플란트 치료 글을 통해 병원의 한국어 정보 제공 방식과 진료 관련 안내 톤을 확인할 수 있습니다.
원문 검증
필요하면 원문 블로그와 병원 프로필로 바로 이동해 문맥을 다시 확인할 수 있습니다.
출처 아카이브 열기아카이브된 블로그 글
아름드리치과의원 · Naver Blog
젊은 남자분께서 아름드리치과를 찾아오셨습니다. 어릴 때부터 이런저런 치료를 많이 받았다고 하시네요. 밥 먹기가 불편해서 치료를 받으려고 지인 소개로 오셨습니다. 머 이젠 자랑도 능력인 시대이니까~ 마케팅이 아닌 소개환자분들이 오실 때마다 큰 보람을 느낀답니다.^^ 소개라는 게 쉽지 않죠~ 저희 병원이 소개환자가 많은데...
게시일
2025년 1월 24일
원문 기준으로 확인된 발행일입니다.
카테고리
아름드리치과
원문 블로그 카테고리를 정리해 함께 표시합니다.
이미지 수
5
현재 아카이브에 연결된 이미지 수입니다.
아카이브 요약
아름드리치과의원의 네이버 블로그 원문을 보존한 아카이브 페이지입니다. 아름드리치과 카테고리의 치아를 최대한 보존하는 임플란트 치료 글을 통해 병원의 한국어 정보 제공 방식과 진료 관련 안내 톤을 확인할 수 있습니다.
원문 검증
필요하면 원문 블로그와 병원 프로필로 바로 이동해 문맥을 다시 확인할 수 있습니다.
출처 아카이브 열기젊은 남자분께서 아름드리치과를 찾아오셨습니다.
어릴 때부터 이런저런 치료를 많이 받았다고 하시네요.
밥 먹기가 불편해서 치료를 받으려고 지인 소개로 오셨습니다.
머 이젠 자랑도 능력인 시대이니까~
마케팅이 아닌 소개환자분들이 오실 때마다
큰 보람을 느낀답니다.^^
소개라는 게 쉽지 않죠~
저희 병원이 소개환자가 많은데
이 부분에 대해서 큰 자부심을 가지고 있답니다.
자 본론으로 들어가서~
환자의 요구사항
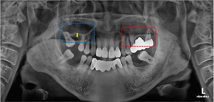
앞니가 벌어졌다.
어금니가 쓰러져서 밥 먹기 힘들다.
이 두가지였습니다.

빨간색 : 보철 후 앞니가 벌어짐
노란색: 치조골이 녹아서 잇몸상태가 좋지 않음
파란색: 발치 후 방치하여 어금니가 쓰러짐
위 설명처럼 여러가지 문제가 보입니다.
우선 벌어진 앞니는 두가지 방법이 있습니다.
첫째. 교정으로 모으기
둘째. 앞니보철 다시하기
앞니 보철이 예쁘지는 않지만 치료한 지 얼마되지 않았고,
다른 곳도 치료할 곳이 많기 때문에
비용적으로 유리한 방법을 찾기로 했습니다.
그래서 보철을 다시하지 않고 부분교정으로
벌어진 앞니를 모아주기로 했습니다.
이때 장치를 붙이는 방법과
투명교정을 이용하는 방법이 있는데요.
장치를 붙였다 떼었다하는 과정에서
앞니 보철이 손상될 수 있고
벌어진 공간이 크지 않기 때문에
투명교정이 더 유리합니다.
비용도 35만원이니~
너무너무 현명한 선택이겠죠?
이 정도로 살짝만 벌어진 상태라면
굳이 장치를 붙이지 않고도
저렴하게 좋은 결과를 낼 수 있답니다.
색상이 맘에 들지 않는 부분은
추후 나중에 여유가 생겼을 때
다시 예쁘게 교체하면 되니까요~
두번째 문제인 어금니로 넘어가보겠습니다.
어금니의 경우 두가지 문제가 있는데요.
첫째로 어금니들이 쓰러져있다는 것
둘째로 위턱뼈가 모자라다는 것
해결법
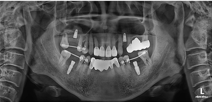
첫째. 쓰러진 어금니 발치 후 임플란트
둘째. 쓰러진 어금니 세운 후 임플란트
첫번째 방법을 선택하면 치료가 쉽고 빨리 끝납니다.
그렇지만 젊은 환자였고
이미 치아를 많이 발치한 상태셨기에
저는 최대한 남아있는 치아를
살려드리고 싶었습니다.
그래서 복잡할 수도 있겠지만
부분교정으로 쓰러진 치아들을 세우기로 했습니다.

쓰러진 치아를 세우려면
최소 4개월 이상 걸리기 때문에
기다리는 동안 상악동거상술을 해서
임플란트 심을 공간이 생기면
곧바로 식립할 준비를 해놨습니다.

양쪽 상악동 뼈가 종잇장 정도로만 남아있네요.
그렇지만 왼쪽은 기존브릿지를 그대로 사용하고
오른쪽만 임플란트를 심을 예정입니다.

임플란트 4개로 마무리 되었습니다.
쓰러진 치아들도 제자리오 잘 세워졌습니다.
이렇게 치료하면 내치아를 최대한 살릴 수 있습니다.
더불어 임플란트 치료 갯수도 줄어드니까
비용적으로도 유리합니다.
아무리 임플란트가 좋아도
내 치아보다는 못합니다.
내치아를 최대한 살리려는 노력이
좋은 결과로 이어졌을 때 저도 뿌듯하답니다.

치료가 마무리되었더니 환자분께서 앞니도 기왕이면
예쁘게 바꾸고 싶다고 마음을 바꾸셨어요.
원래 임플란트 치료에 비용이 많이 들어갈 계획이었는데
임플란트 갯수를 줄이고 비용을 절약했더니
아낀 비용으로 앞니까지 해결이 되었네요.
앞니 모습도 사진을 올리고 싶은데...
바빴는지 사진을 못 찍었네요.
아쉽습니다.ㅠㅠ
아름드리치료철학
내 치아를 최대한 살리자
합리적인 비용으로 치료가 가능하도록 하자
추 후 유지관리가 용이하도록 하자
치과 치료는 한번에 끝나는 치료가 절대 아닙니다.
사용하면서 계속 관리하고 추가적인 치료가 필요합니다.
당장 눈에 보이게 똭!! 치료하고 끝낼 수도 있지만
거기서 끝내는 것이 아닌
추후 사용하면서 발생될 문제까지 고려해서
치료계획을 세우고 관리한다면
절대로 후회하지 않는 치료가 될 것입니다~~
본 포스팅은 실제환자의 진료내용으로 사전 동의하에 작성되었습니다.
치과치료 시술 및 수술은 개인에 따라 염증반응, 출혈, 부기 등의 부작용이 나타날 수 있습니다.