아카이브 요약
이 페이지의 역할
아름드리치과의원의 네이버 블로그 원문을 보존한 아카이브 페이지입니다. 치료전후이야기 카테고리의 전체임플란트 전악임플란트 전후 아름드리치과 진료일기 글을 통해 병원의 한국어 정보 제공 방식과 진료 관련 안내 톤을 확인할 수 있습니다.
원문 검증
필요하면 원문 블로그와 병원 프로필로 바로 이동해 문맥을 다시 확인할 수 있습니다.
출처 아카이브 열기아카이브된 블로그 글
아름드리치과의원 · Naver Blog
전체임플란트 전악임플란트 전후 아름드리치과 진료일기 오늘은 전체 임플란트 케이스를 보여드리겠습니다. 젋은 여자분이신데, 치아가 일찍 상실되었습니다. 치아가 상실된 채로 오랜 기간 지내게 되면 치아를 지탱해주고 있던 치조골이 점점 없어지면서 얼굴모양도 많이 변하게 됩니다. 이렇게 치조골이 녹아 없어지면서 얼굴모양...
게시일
2025년 3월 12일
원문 기준으로 확인된 발행일입니다.
카테고리
치료전후이야기
원문 블로그 카테고리를 정리해 함께 표시합니다.
이미지 수
10
현재 아카이브에 연결된 이미지 수입니다.
아카이브 요약
아름드리치과의원의 네이버 블로그 원문을 보존한 아카이브 페이지입니다. 치료전후이야기 카테고리의 전체임플란트 전악임플란트 전후 아름드리치과 진료일기 글을 통해 병원의 한국어 정보 제공 방식과 진료 관련 안내 톤을 확인할 수 있습니다.
원문 검증
필요하면 원문 블로그와 병원 프로필로 바로 이동해 문맥을 다시 확인할 수 있습니다.
출처 아카이브 열기
오늘은 전체 임플란트 케이스를 보여드리겠습니다.
젋은 여자분이신데, 치아가 일찍 상실되었습니다.
치아가 상실된 채로 오랜 기간 지내게 되면
치아를 지탱해주고 있던 치조골이 점점
없어지면서 얼굴모양도 많이 변하게 됩니다.
이렇게 치조골이 녹아 없어지면서
얼굴모양이 많이 바뀌게 되면
이것을 이전처럼 되돌리는 일은
굉장히 어려운 일이됩니다.
이 분은 젊은 여성분이셨기 때문에
치료과정에서 가장 중요하게 생각했던 부분은
미용적인 만족도였습니다.
전악 임플란트 치료가 끝난 후 얼굴모양을
예쁘게 잡는 것이 아주 아주 중요한 부분이었지요.
그런데 이미 치조골이 많이 없어서 전체임플란트
치료를 계획하는데 어려움이 많았습니다.

옆 얼굴 엑스레이를 보시면 윗입술 각도가
많이 말려들어간 것(노란화살표)이 보입니다.
윗턱뼈는 녹아서 없어질 때 화살표 방향으로 흡수가
일어나며 그로 인해 윗입술이 말려들어가고 입술이
얇아지며 코 아래쪽이 푹 꺼진 듯한 얼굴로 변합니다.
이렇게 얼굴뼈의 변화가 많이 생긴 전체임플란트
치료에서 가장 중요한 것은 임시틀니입니다.
임플란트 치료하러 왔는데 틀니?
하실 수도 있지만 임플란트 치료 시 정말
중요한 것이 임플란트가 심어지는 위치입니다.
위치가 잘못되는 경우, 대수롭지 않게 생각했다가
나중에 이러지도 저러지도 못하는 문제가
생길 수 있기 때문에 신중을 기해야 하는데요.
단순히 임플란트를 뼈 가운데
잘 심기만 하면 된다?
절대로 그렇지 않습니다!
특히 이렇게 남아있는 치아가 없을수록
임플란트가 심어지는 위치와 각도는
10000번 강조해도 될 만큼 중요합니다.
특히 얼굴의 모양도 바뀔 것을 고려해서
임시틀니를 만들어서
얼굴의 길이
입술의 지지형태
앞니의 각도
임플란트의 식립 위치
등을 미리 예측하는 것이 필수입니다.
3D 기술이 발달되어 임시틀니 없이도
가상으로 예측은 가능하지만 이렇게
치아가 하나도 없는 경우 기준점이 없기 때문에
3D 기술만 믿어서는 안됩니다.
반드시 임시틀니를 만들어서 최종적인
치아 위치를 정해야 합니다.
저는 교정진료를 함께하다보니
이런 치료를 진행할 경우 교정과에서 진행하는
얼굴분석프로그램을 활용합니다.
이런 것들을 활용하면 기본골격 형태와
치료계획을 세우는데 도움이 됩니다.
임시틀니를 수정하여 최종적인 치료 목표를 정합니다.
그리고 그 목표에 맞도록 수술을 합니다.
디지털 치과기술이 많이 발전하기 이전에는
원장님의 감과 능력에 모든 것을 의존했습니다.
요즘은 디지털 기술이 많이 좋아져서
이를 활용하면 내가 계획했던 목표를
좀 더 정확하게 이뤄낼 수 있습니다.

여기 여기에 심자~ 라고 목표를 정해도
막상 수술할 때 그 위치에 정확하게 심는 것은
정말 어려운 일이거든요~
그렇지만 디지털 기술은 전체임플란트를 비롯한
모든 치과치료를 보다 쉽고 빠르게 만들어줍니다.
하지만!
이런 기술을 내 치과에 접목시키려면
사실 비용투자와 직원교육 등
귀찮고 힘든 일이 발생하기 마련입니다.

사실 모든 치과에서 접목시키기에는
비용투자가 꽤 많이 필요한 것이 사실입니다.
그렇다보니 대형치과 위주로
이러한 기술을 많이 사용하고 있습니다.

저희 아름드리치과가 대형치과는 아니지만
뒤쳐지는 걸 참지 못하는 성격때문에...ㅠㅠ
항상 장비와 기술에 많은 투자를 하게 되네요.
대형치과로 전향해서 월급의사들 뽑고 가격을
싸게 낮춰서 돌리는 것도 방법이지만
저는 환자를 처음부터 끝까지
내 눈으로 다 확인하고 책임지고 싶은 마음
을 아직까지 내려놓지 못하고 있습니다.
그러다보니 대형치과로 가지 못하고
아름드리치과에서 열심히 직접하고 있습니다.
하하하~
사족이 너무 길어졌네요~
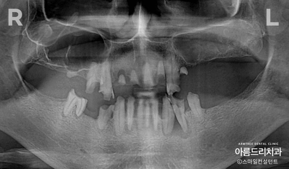
전악임플란트 치료전 사진(상악/하악)

환자분의 전체임플란트 치료 전 사진
(상악/하악)부터 보여드리도록 하겠습니다.

아래 보이는 사진 중 흰색이 뼈입니다.
원래는 녹색라인 정도로 뼈가 있어야 하지만
발치를 한 상태로 오래 지내면 뼈가 흡수되면서
남은 뼈가 사진에서 보이듯 저렇게 얇아집니다.

이렇게 얇은 뼈에 임플란트를
식립하는 것은 쉽지 않은 일이죠.
단순히 심는 것에만 포커스를 둘게 아니라
장기적인 유지와 관리까지 고려를 하는데 아무리
좋은 뼈를 이식해도 내 뼈만큼 좋지는 않습니다.
게다가 환자분이 젊으시기 때문에
오랜 시간 문제없이 사용할 수 있도록
치료하는 것이 중요하다고 판단했습니다.

이 부분은 그래도 어느정도 뼈가 있긴하네요.
그렇지만 앞/뒤 공간이 조금 있긴 해도
좌/우 공간은 매우 좁은 상태!
뼈가 없는 경우 임플란트
식립 각도에 제한이 많이 생기는데,
뼈만 생각하고 식립하는 경우, 추후 머리부분을
올릴때 골치아픈 경우가 생겨 이런 부분들은
임플란트를 심기 전 미리 확인을 하는 것이 좋습니다.
이렇게 해야 임플란트 심어놓고
나중에 머리 올릴 때 후회하는 일이 없어집니다.

전악임플란트 식립과 머리부분(크라운)까지
모든 치료가 잘 끝난 상태입니다.
처음 저희 아름드리치과에 상담왔을 때 치아가
없는 상태 때문에 눈물을 흘리던 모습이 생생하네요.
하.지.만!
전악임플란트 치료가 성공적으로 끝나서
정말 너무너무 행복해하던 모습은 더 생생하네요.
지금도 정기적으로 검진을 오시는데 그렇게
수줍음이 많으셨는데 오실 때마다
"원장님~~!" 하면서 저한테 안깁니다.^^
이럴 때가 참 뿌듯하답니다.
오늘 아름드리치과에서는 전악임플란트 치료전후
및 치료사례에 대해 소개해드렸는데요.
아래에는 전체임플란트 치료 및
그밖의 다양한 임플란트 사례의 영상과
포스팅도 함께 모아서 소개해드리도록 하겠습니다.
※ 앞니치아상실 앞니임플란트 디지털임플란트로 당일 완성
※ 풀아치임플란트에 대한 모든것!
※ 임플란트가 무조건 최선은 아니다!
※ 앞니임플란트 디지털임플란트로 당일 완성
본 포스팅은 실제환자의 진료내용으로
사전 동의하에 작성되었습니다.
치과치료 시술 및 수술은 개인에 따라
염증반응, 출혈, 부기 등의
부작용이 나타날 수 있습니다.